"Здоровый образ жизни" и инфаркт?
Из недавнего, у коллеги на дежурстве, интересный пациент.
Итак молодой мужчина 40 лет, спортивный ("бодифитнес").
Выдержки из истории болезни:
Настоящее ухудшение: У пациента без указаний на ГБ, хорошо переносившего физнагрузки (занимается фитнесом, силовыми и кардиотренировками), с приемом тестостерона, мельдония, рибоксина на фоне тренировок, не курящего, Настоящее ухудшение во время очередной кардионагрузки в тренажерном зале около 17-30 в виде высокоинтенсивного приступа жгучей загрудинной боли с иррадиацией в левое плечо. Прекратил нагрузку, боль не прошла. Решил "не переходить к силовой тренировке и поехать домой". За рулем сохранялся болевой синдром в груди. Из дома вызвал СМП
ЭКГ СМП Синусовый ритм с ЧСС 84 в минуту, Одиночные ЖЭС. ЭОС влево, горизонтальная элевация ST до 0,2 мВ в II, III, aVF, реципрокная депрессия ST до 0,2 мВ в I, aVL, V5-V6
на СМП обезболен морфином эффективно. Дана нагрузочная доза АСК 300 мг, тикагрелор 180 мг.
Вредные привычки Курение отрицает. Употребление наркотических средств отрицает.
Для сопровождения силовых и кардиотренировок регулярный прием: мельдоний 200 мг 2 р сут
рибоксин 3 таблетки 2 р в неделю, тестостерон 500 мг 2 р в неделю.
Рост 182 см ; Вес 115 кг ;
В анализах обращает внимание повышениe креатинина крови до 138.649 мкмоль/л (норма 40-110), КФК общая 400 (в 2 раза выше нормы), печеночные: АСТ 59 (повышена), АЛТ 51 повышено. В крови лейкоцитоз 12,5, в остальном б/о.
Диагноз: ИБС: первичный инфаркт миокарда с подъёмом сегмента ST нижней стенки левого желудочка от **.08.2025, Killip I class.
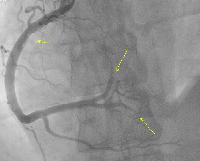
На коронароангиографии - левая коронарная артерия без поражения, правая - начальные признаки коронарного атеросклероза без значимого стенозирования, нестабильная атеросклеротическая бляшка с пристеночным тромбозом, осложненная дистальной эмболией в заднюю межжелудочковую и задне-боковую ветви.
ВИДЕО:
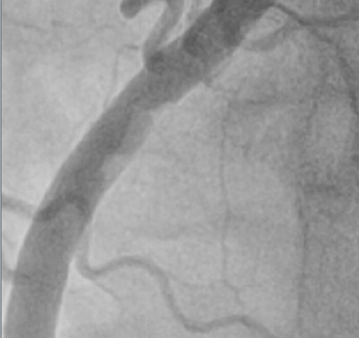
Более крупно место где все началось:
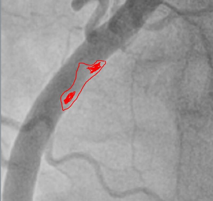
Красным зона пристеночного тромбоза, он неоднороден по плотности, рыхлый и отсюда мигрировали тромбы вниз, закупорив дистальные ветви -> как итог инфаркт.
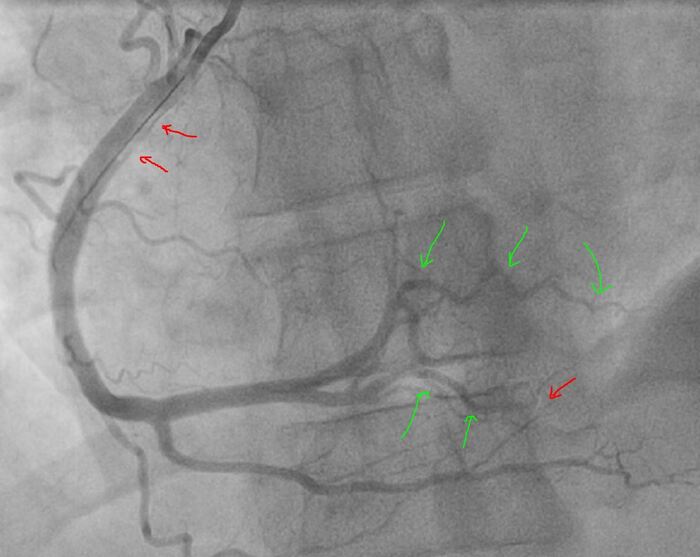
Лечение в рентгеноперационной: пятикратно тромбаспирация (удаление тромба) специальным катетером - удалось полностью удалить тромбы из ЗБВ и частично из ЗМЖВ (Тип аспирата: крупные красные тромбы). Ввиду характера поражения в самой правой артерии (пристеночный тромбоз без значимого стенозирования) решено обойтись без стентирования - начато введение препарата Агграстат (тирофибан) по схеме с продленной инфузией, который избирательно блокирует тромбообразование (блокатор 2Б-3А рецепторов).
Финальный результат:
В дальнейшем на 2 сутки:
На фоне проводимого лечения ангинозные приступы не рецидивируют, одышки в покое нет, расширение режима активности под контролем мед персонала переносит удовлетворительно.
с целью дальнейшей терапии переводится в кардиологическое отделение.
Для справки: известно, что риск внезапной сердечной смерти у профессиональных бодибилдеров, более чем в пять раз выше, по сравнению с любителями. Чаще всего при вскрытии обычно выявляется утолщение миокарда (гипертрофия) или увеличение сердца (кардиомегалия), кроме этого у некоторых находят стенозирующее поражение коронарных артерий (ИБС).
Для интересующихся более глубоко вот одна из последних публикаций от Европейского Общества Кардиологов (ESC) https://www.escardio.org/The-ESC/Press-Office/Press-releases...#
На моей памяти было как минимум два топовых профессиональных бодибилдеров с инфарктами, у одного из было даже два. Все были на "препаратах".
Тут в общем мужчина не профессионал - любитель бодифитнеса, причем некурящий, насчет алкоголя анамнез неизвестен, ведущий относительно здоровый образ жизни (за исключением тестостерона, к мельдонию я отношусь критично - как к пустышке, а рибоксин вообще витамины из 80-х), но тем не менее где то его организм просчитался, но где?
Мой персональный вывод по этому случаю - лучше просто физкультура ))










