20 дней с батарейкой в пищеводе
Недавно мой коллега (врач-детский хирург) поделился интересным медицинским случаем. Пусть эта история будет вам очередным напоминанием о важности наблюдения за изменениями в самочувствии ваших детей.
Далее - от его лица.
Работаю я в частной клинике, все слоты заняты. Заходит ко мне педиатр с круглыми глазами и спрашивает: "Что с этим делать?"
Вручает рентгенограмму грудной клетки ребёнка 1-2 лет. В нижней трети пищевода - металлическое инородное тело (!).
Со слов родителей: уже 20 дней (!!) ребёнок периодически покашливает, отказывается от твёрдой пищи и долго её жует. Родители как-то не особенно тревожились. Приехали в Москву, чтобы сделать МРТ (!!!) грудной клетки по поводу другого заболевания.
На всякий случай напомню, что бывает, когда подносишь к МРТ-аппарату металлический предмет (спойлер: ничего хорошего):
В итоге МРТ-центре отказались проводить исследование, потому что от ребёнка "фонит". Посоветовали сделать рентген.
Вот они и пришли к нам. Сделали. Нашли. Инородное тело в пищеводе (!!!!!).
С присущим человеку, повидавшему всякое (в том числе и металлические бусы в уретре), спокойствием я сказал, что ребёнка срочно нужно везти в НИИ.
Благо, дежурным оказался отличный хирург-эндоскопист. Всё удалил сам.
И удалил батарейку.
БАТАРЕЙКУ. (!!!!)
Занавес.
Рак предстательной железы PI-RADS 5-МРТ
Симптомы рака простаты:
На ранних стадиях болезнь часто протекает бессимптомно. Позже могут появиться:
Учащённое мочеиспускание (особенно ночью).
Слабая или прерывистая струя мочи.
Кровь в моче или сперме.
Боли в тазу, спине (при метастазах в кости).
Эректильная дисфункция.
Важно! Эти симптомы могут быть и при аденоме простаты (доброкачественной гиперплазии), поэтому нужна точная диагностика.
Диагностика:
Анализ ПСА (простат-специфический антиген) – повышение уровня может указывать на рак, но также бывает при простатите или аденоме, сдача анализа 1р/год после 40 лет.
Пальцевое ректальное исследование (врач проверяет простату через прямую кишку).
Биопсия простаты (основной метод подтверждения диагноза).
МРТ, КТ, ПЭТ-КТ – для определения стадии и метастазов.
Сцинтиграфия костей – при подозрении на метастазы.
ТРУЗИ
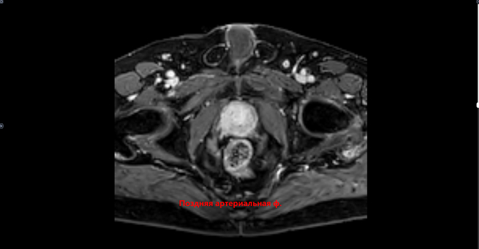
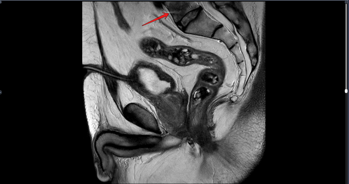
В анамнезе рак-предстательной железы,биорхэктомия.
Преимущественно в периферической зоне предстательной железы, определяются участки, размерами 21х11мм,28х8мм, с 3 до 6 часов, с 6 до 11 часов условного циферблата гиперинтенсивного МР сигнала на DWI B1000,гипоинтенсивного сигнала на ИКД карте-соответствуют истинному ограничению диффузии. С быстрым накоплением контраста в раннюю артериальную фазу контрастирования, с последующим вымыванием контраста с позднюю артериальную фазу. В теле L5 позвонка -участок гипоинтенсивного сигнала на Т2 с не четкими, не ровными контурами,d 2.9см. Заключение: МР картина рака предстательной железы, V класс по PIRADS v.2.1. Участок в теле L5 позвонка наиболее соответствует mts. Состояние после троакарной цистостомии, биорхэктомии.
Категория годности с диагнозом рак предстательной железы с mts -по статье 8(Злокачественные новообразования (кроме злокачественных новообразований лимфоидной, кроветворной и родственных им тканей))а-Д-не годен к в/сл по I, II, III графам.
О влиянии магнитного поля на телепортацию
Медицинская… мудрость (а может это юмор такой) гласит: здоровых людей нет, есть необследованные. Я придумал продолжение: а кто здоров по результатам обследования — тем просто еще МРТ не делали.
МРТ мне делали не менее 100500 раз. Сделают, бывало, потом доктор посмотрит, потом еще один посмотрит, потом третий… и вот они коллегиально принимают решение, что «учитывая операционные риски» живи-работай, дорогой пациент, еще некоторое время. А через некоторое время «посмотрим динамику». Пару раз этот цикл даже прерывался назначением операции, написанием завещания, передачей дел на работе… потом уже непосредственно перед операцией снова принималось коллегиальное решение отпустить меня «на свободу» на новый срок. Не то, что бы я жаловался, но от каждой такой итерации прибавляется седых волос. И, да, я вполне понимаю, почему некоторые деятели религиозного толка держат гроб в своих рабочих пространствах.
Неоднократно читая стенд про МРТ, современной медицинской наукой утверждается, что МРТ — процедура совершенно безопасная, т.к. это просто «хитрое» магнитное поле и еще более «хитрые» датчики вокруг него. Но на нашей плоской земле этой науке имеет смысл верить только в той части, где она сама характеризует свою точность формулировкой «вторая после богословия». История медицины помнит и детский «абсолютно безопасный для здоровья» болеутоляющий чудо-сироп с героином, и лечение ртутью всего подряд, и избавление от депрессии трепанацией черепа. Уринотерапия, кровопускание, удары током — этот список можно продолжать долго. Да, это все дела давно минувших дней, современная доказательная медицина все эти способы предала анафеме, но… это сегодня.
А завтра — научатся, к примеру, разбирать тело на атомы, передавать об атомах информацию через подпространство, а на другом конце галактики заново собирать. И окажется: атомы водорода, которые слишком часто подвергались воздействию магнитного поля, вот беда-то, собираются на другом конце подпространственного оптоволоконного кабеля с ошибкой. И прощай отпуск на другом конце галактики, и снова здравствуй, уже опостылившие за столько сотен лет земные Мальдивы.
Был ли у вас случай, когда врач поставил неверный диагноз? Как это сказалось на вашей жизни?
(Ответы пользователей Reddit)
В возрасте одного года мне сообщили, что из-за расщелины позвоночника повреждены нервы, влияющие на работу мочевого пузыря. Мне предложили принимать определённые лекарства и научиться мочиться через специальную трубочку.
Когда мне исполнилось 12 лет, врач заметил, что лекарства не дают ожидаемого эффекта, и спросил, правильно ли я их использую.
В 16 лет мне порекомендовали попробовать другое лекарство для снятия спазмов.
В 21 год мне предложили попробовать ботокс для лечения мочевого пузыря.
В 22 года врач обратил внимание на возможные проблемы с мочевым пузырём и сообщил о наличии второго мочеточника на левой почке.
В 23 года мне сообщили, что, вероятно, у меня врождённая дырка в мочевом пузыре. Врач предложил подождать шесть месяцев, после чего мы проведём операцию по устранению этого дефекта.
С самого рождения мне делали несколько МРТ, и, судя по всему, второй мочеточник и дефект мочевого пузыря не были обнаружены ранее. Я всё ещё жду даты операции.
Нарушив правила процедуры МРТ, пациентка получила пулю в ягодицу
Далеко не все из нас разбираются в тонкостях медицинских процедур, а потому стоит просто прислушиваться к рекомендациям медработников и делать так, как они говорят.
Например, если во время МРТ нельзя держать при себе металлические предметы — то надо просто послушаться. Но некая жительница США советам не последовала и умудрилась протащить с собой пистолет. Который в ходе МРТ произвёл выстрел, ранив свою хозяйку в правую ягодицу.
К счастью, рана оказалась лёгкой и поверхностной, и дама тут же на месте получила помощь. Ну, а винить в произошедшем она может лишь себя.
Продолжение поста «Стерео ЭЭГ»1
Пришел ответ от Генетико, у меня поломка гена, поэтому стерео мониторинг и дальнейшая операции отменяется 😭
С таким количеством приступов в ближайшее время меня не станет.
А сейчас придется уволиться и жить на маленькую пенсию по инвалидности.
Все собранные средства на дорогу до места обследования отложу на погребение.
Спасибо всем огромное кто меня поддерживал.
Кстати, может кто знает, сколько сейчас стоят похороны?
Продолжение поста «Продолжение поста "Деньги"»4
Бабушки такие бабушки.. Вроде милые одуваны..
Но почему-то игнорируют душ, аргумент "мы ж не шахтеры".. Так что наслаждаемся ароматами гладиолусов.









