БОЛЬ В ЛОКТЕВОМ СУСТАВЕ. Эпикондилит
Эпикондилит (латеральный / медиальный) - одна из самых частых причин боли в локте. Обращаются, как правило, люди в диапазоне 35-55 лет.
При эпикондилите воспаляется место прикрепления сухожилий к плечевой кости: общее сухожилие разгибателей в случае латерального эпикондилита (который снаружи) и общее сухожилие сгибателей при медиальном эпикондилите (который внутри).
По сути это тендинопатия - дегенеративные изменения сухожилий из-за микроповреждений.
*Общее сухожилие разгибателей состоит из нескольких сухожилий, особенно нагружаемым является короткий лучевой разгибатель запястья. Оно сложнее восстанавливается, т.к. состоит из сухожильной части, а не мышечной, и место прикрепления меньше).
Причины: повторяющиеся физические нагрузки или интенсивные резкие движения.
Проявляется: боль по наружной или внутренней поверхности локтевого сустава, может иррадиировать до кисти, усиливается при движении; отмечается снижение силы хвата.
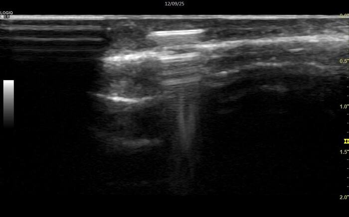
Диагностика:
Есть довольно простые тесты для выявления латерального/медиального эпикондилита, поэтому диагноз часто можно поставить клинически (например, тест Козена).
Для убедительности все же лучше получить инструментальное подтверждение, УЗИ для этого прекрасно подойдет, с его помощью можно оценить наличие воспаления, состояние связочного аппарата.
В случае сомнений можно сделать МРТ для лучшей визуализации синовиальных складок, оценки отека костного мозга.
Лечение:
Согласно данным литературы, может пройти само за 1-2 года, но все это время будет болеть, поэтому такой вариант обычно не устраивает.
Что используют в терапии?
ЛФК - эксцентричные упражнения (растяжение мышцы под действием внешних сил), растяжка, глубокий массаж.
Лучший выбор в категории “цена-качество”.
Физиотерапевтические методы лечения:
ударно-волновая, лазерная, низкочастотная чрескожная электрическая стимуляция нервов , ультразвук или импульсная магнитно-волновая терапия
- по результатам исследований оказывают слабое действие. Хотя стандартизации этих методов не проводилось (все используют разные приборы, с разной интенсивностью и продолжительностью).
Это же касается ортезов и тейпирования.
PRP (плазмотерапия) - результаты пока противоречивы, но есть результаты показывающие хорошее облегчение боли после ПРП (на 70% через 24 недели).
(Правда есть мнение, что любое введение иглы оказывает положительный эффект независимо от препарата).
Хирургия.
Применяется, когда не помогает ничего.
Проводят иссечение измененной нерастяжимой ткани.
*Есть старое исследование старое исследование (2002г.), где пациентов разделили на 3 категории:
-без лечения,
-физиотерапия (ультразвук, массаж, упражнения),
-инъекции стероидов
Наблюдали в течение года. От стероидов был самый быстрый эффект, но с высоким риском рецидива (положительный результат сохранился у 69%), физиотерапия дала лучший результат в долгосрочной перспективе (92%) по сравнению с выжидательной тактикой (83%).
Личное мнение практикующего врача.
Я практически не использую инъекции ГК при эпикондилите, да, можно получить быстрый хороший эффект, но дальнейшая картина его не оправдывает.
Лечение подбирается индивидуально исходя из интенсивности боли и ограничений качества жизни пациента, чаще всего это комплексный подход, который включает в себя:
- рекомендации по ЛФК (со специалистом) - эксцентрические упражнения,
- противовоспалительная терапия,
- физиотерапевтические методы лечения (HIL/SIS/УВТ),
- при недостаточной эффективности - локальная инъекционная терапия.
Следующие материалы будут про другие причины боли в локтевом суставе, их никак нельзя пропустить.
Раньше выходит материал, как принято, на тг











