NNadoeda

NNadoeda

На Пикабу
Дата рождения: 28 июля
12К рейтинг 1 подписчик 17 подписок 28 постов 13 в горячем
Награды:
Инженер года 5 лет на Пикабу
209

Ответ на пост «Не поеду пока не помолюсь»14

Предлагаю всем, кто находится рядом с молящимся, громко на телефоне включать православную (или любую другую не мусульманскую) молитву. На вопросы и просьбы выключить говорить, что у меня тоже время молитвы

10

Ответ на пост «Возник вопрос по "Эффекту Зловещей Долины"!»2

А почему нельзя брать с бабки расписку, что она не находится под влиянием мошенников? Если будет оспаривать потом сделку - значит она врала при даче расписки и пусть идёт лесом!

91

Ответ Aplos в «МЛЯ что хочу полной компенсации за испорченную чужим ребёнком вещь?»98

У меня тоже травма есть. На первом курсе института я купила в магазине для неформалов футболку. На ней был изображён пёс (типа как из мультика "жил-был пёс", с костылём и вместо одной лапы (нижней) протез как у пирата. Рядом вдалеке летает лапка с крыльями и подпись: "не ешь хот-дог". Мне она так нравилась, надевала пару раз. И одногруппница попросила меня её поносить недолго. Конечно, отдала она её сильно не скоро, после кучи напоминаний. И в таком виде, что я её так ни разу больше и не смогла надеть. Во-первых, материал был изначально чёрный, но стал каким-то застиранным. И она совершенно потеряла форму. Она стала какой-то кривой трапецией и очень широкой. Я так была расстроена. И такую уже купить не смогла. И сейчас даже не нахожу какой-то подобный рисунок((((

35

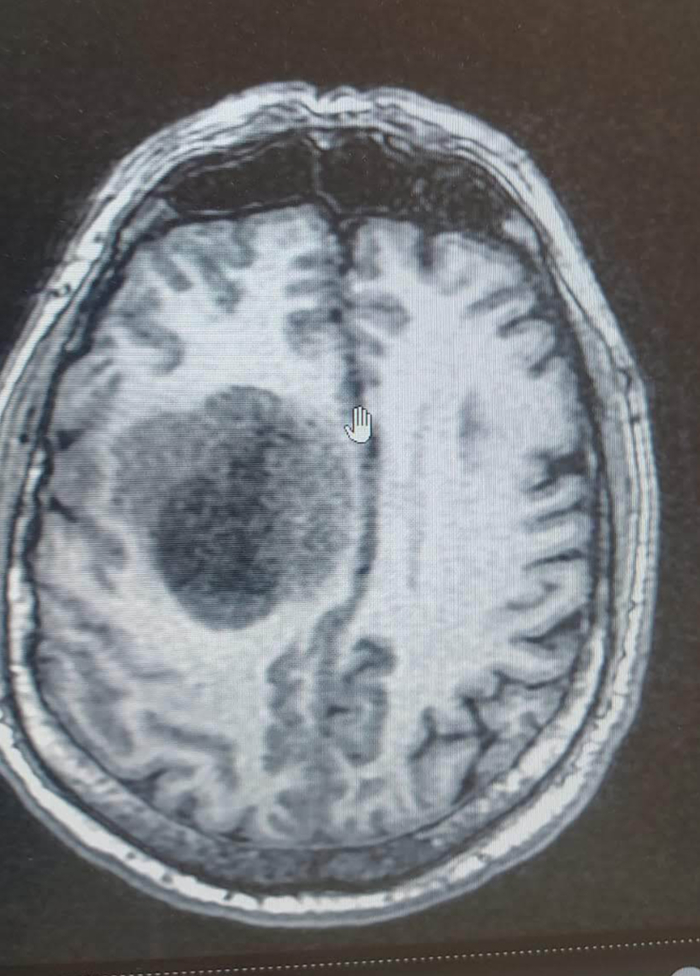
Ответ Harmstring в «Думали мигрень, а это…»17

Отвечу тоже постом. Бывает даже и без Эпи приступов. Отец всегда был весёлым, активным, общительным человеком. А тут стали замечать, что "подвисает", будто не тут он, где-то в себе. Не такой болтливый. Мы с ним часами могли по телефону разговаривать, а тут звонит раз в день просто узнать как дела, только по делу, без болтовни. Думали может стареет, энцефалопатия. Где-то в июле- августе это началось. Когда потом врач его спрашивал про жалобы, отвечал: "жена сказала, что я изменился", то есть он не замечал ничего. Осенью за рулём на встречку его начало тащить. Потом вообще левая рука слушаться перестала. После того, как упал несколько раз за день, повезли в больницу. Там МРТ с контрастом: глиома IV, 5 на 5 см. Состояние буквально за два дня ухудшилось до такой степени, что перестал вставать (но сам он был в полной уверенности, что встаёт и ходит, видимо, мозг отказывался осознавать беспомощность тела). Причём, МРТ всего, и головы тоже, делали за полгода до этого. То есть болезнь развилась за считанные месяцы. Потом операция, химия, восстановление как после инсульта. Но прогнозы по этой болячке не слишком оптимистичные, он статистику не нарушил, к сожалению.

Вообще ничего не болело, больше никаких симптомов не было. Прислушивайтесь к себе и к близким. Иногда если что-то кажется, оно не кажется

Ответ Harmstring в «Думали мигрень, а это…»
Показать полностью 1
95

Ответ на пост «Хорошо, что 90-е закончились!»1

Есть у меня пара историй из детства из того времени. Начнём с грустного. Родители смогли урвать мешок макарон "рожки". Ели мы его долго. Даже когда стало уже не так всё плохо. В общем, рожки я начала есть несколько лет назад только. Любые ела, а рожки не могла. Вторая история: у мамы подруга работала на птицефабрике и подогнала курицу. Морозилка была маленькая и мета не было для курицы, хранили её за окошком в сумке, привязанной за ручку веревкой. Полезла мама за ней как-то раз, а верёвка перетерлась и курица улетела вниз, под ноги удачливого прохожего. Мама по пояс в форточку высунулась, кричит: "не трогай, это моё". Но чувак не растерялся, схватил сумку и бежать

Мама ка была, в халате побежала вниз с 6-го этажа пешком. Почти догнала чувака с курицей, но он впрыгнул в автобус и уехал. Эх и трагедия была. До сих пор помню как мама по пояс в форточку наружу торчала

15

Ответ на пост «Для ВАС»1

Последние дни очень много таких грустных тем. То про болезни, то про смерть. Они все очень сильно откликаются в моём сердце. Решила вот ответом на ваш пост свой написать

Я потеряла папу 6 сентября. Ему было 67. Не намного старше вашего. Я очень сильно вас понимаю. Он был мои другом, опорой, советчиком, помощником. Очень любил внуков, помогал с ними, водил на занятия, когда были маленькими, а я работала.

В апреле прошлого года заметила у него родинку, она мне не понравилась, отправила к онкологу. По итогу в мае вырезали меланому, 1А, вовремя "поймали", без метастаз и последующего лечения. Сделали МРТ почти всего организма: всё хорошо. Уже потом начали вспоминать, что с конца лета он стал не такой как обычно. Он всегда был балагур, душа компании, рассказывал истории, анекдоты. А тут на днях рождения родных в августе всё больше молчал. Осенью съездили в Египет, потом в ноябре поехали с мамой а Сочи в санаторий. Он ни разу не был до этого на Чёрном море. В санатории стало хуже, падал с кровати, проблемы с координацией и какая-то заторможенность. Сделали КТ, подозревали инсульт. В выписке: данных за инсульт нет, срединные структуры смещены на 1,5 см. И ничего у врачей даже не дернулось с такими данными. Должны были из Сочи 1 декабря лететь домой, но взяли билеты на неделю раньше- 24 ноября (и санаторий отстой, и состояние ухудшалось). В аэропорт заходил сам, из самолёта уже на коляске везли, левая сторона не работает. 27.11 положили в больницу, когда с кровати не смог встать. По МРТ опухоль головного мозга 5*5*3 см объемом 35 мл с прорастанием в мозолистое тело. 29.11 прооперировали, врач сказал, что на день-два позже и смысла оперировать уже не было бы. Диагноз был как гром среди ясного неба. Понимание, что это всё. Врачи давали 2-3 месяца. Он 4 месяца пролежал. В марте встал на ноги, хорошо себя чувствовал. Каждые 28 дней химия. На её фоне вроде не было роста опухоли. Но начались приступы эпилептические. Сначала иногда, потом чаще. Летом они с мамой жили на даче, ездили за грибами, гуляли. В конце августа был мой ДР, я пригласила семью в кафе. Он на следующий день мне написал: "хорошо посидели". Я ответила: "хорошо, что все пришли". 4 сентября был последний приём химии. Ему стало хуже, приступы были всё чаще и сильнее, начали противоэпилептические препараты. 5 числа заходила к нему, он жаловался, что очень плохо себя чувствует, слабость и вообще... 6 числа звонит мама с работы: "не могу дозвониться до папы, сходи к нему, проверь" (я работаю рядышком). Пришла, а он лежит в ванной. Поняла, что всё. Он был ещё теплый. Видимо, опять приступ случился. Или сердце. Мы вскрытие не делали: какая разница, что конкретно добило? На похоронах у меня было полное ощущение нереальности происходящего, что это не правда, не может быть так. Как теперь без него? Очень долго одёргивала себя, когда хотела ему отправить что-нибудь смешное или интересное. До сих пор, видя что-то смешное, ловлю себя на мыслях: "папе бы понравилось". Про себя постоянно разговариваю с ним, рассказываю, как дела у нас. Хоть понимание, что с таким диагнозом долго не живут, было с декабря (выживаемость 1,5 года с глиомой 4 составляет около 10%, а у него, к тому же, был дикий тип, который плохо реагирует на лечение), но всё равно казалось, что всё наладилось, всё хорошо. Ждали, конечно. Но не ожидали. Не сейчас. Очень вам соболезную.

Показать полностью
230

Ответ на пост «Два простых вопроса»8

Деду пришло уведомление, что нужно получить на почте письмо из налоговой. Налоги все уплачены, деда девяностолетнего тащить на почту за письмом не стали, позвонили в налоговую: чего надо? Налоговая: "у вас переплата 15 копеек нарисовалась, получите".

Не, вы нормальные вообще??? Чтобы отправить письмо потратили деньги на конверт, на услуги почты, бумагу, время сотрудника, чтобы уведомить о переплате в 15 копеек? А на следующий год нельзя просто начислить меньше? Вот налоговой больше заниматься нечем? Там тоже эффективная сова, видимо

118

Ответ A.J23 в «Ад на даче: Моя битва с безумными арендаторами и громкой музыкой»11

Вот на днях плавали на сапбордах. Маршрут популярный, народа много. И навстречу мне на одном сапе плывут парень и девушка. И на моих глазах парень что-то кидает на берег реки! Как я орала!!! Слышно было, думаю, по всей реке! Вот человек плывёт с девушкой, наслаждается природой и откуда в его голове возникает мысль выкинуть мусор тут??? Здесь нет уборщиков. Вот человеку нравится плыть по красивой чистой воде. Зачем??? Ну прихвати ты эту коробку (бутылку, не успела увидеть, что именно) с собой, положи под резинку сапа, много места не займёт, грести не станет тяжелее. Просто рукалицо

И отдельный вид извращения: люди, включающие на полную громкость музыку на телефоне или даже на специально взятой с собой колонкой. Я не хочу слушать вашу музыку! Я хочу наслаждаться звуками природы! Разозлили!

Отличная работа, все прочитано!

Темы

Политика

Теги

Популярные авторы

Сообщества

18+

Теги

Популярные авторы

Сообщества

Игры

Теги

Популярные авторы

Сообщества

Юмор

Теги

Популярные авторы

Сообщества

Отношения

Теги

Популярные авторы

Сообщества

Здоровье

Теги

Популярные авторы

Сообщества

Путешествия

Теги

Популярные авторы

Сообщества

Спорт

Теги

Популярные авторы

Сообщества

Хобби

Теги

Популярные авторы

Сообщества

Сервис

Теги

Популярные авторы

Сообщества

Природа

Теги

Популярные авторы

Сообщества

Бизнес

Теги

Популярные авторы

Сообщества

Транспорт

Теги

Популярные авторы

Сообщества

Общение

Теги

Популярные авторы

Сообщества

Юриспруденция

Теги

Популярные авторы

Сообщества

Наука

Теги

Популярные авторы

Сообщества

IT

Теги

Популярные авторы

Сообщества

Животные

Теги

Популярные авторы

Сообщества

Кино и сериалы

Теги

Популярные авторы

Сообщества

Экономика

Теги

Популярные авторы

Сообщества

Кулинария

Теги

Популярные авторы

Сообщества

История

Теги

Популярные авторы

Сообщества