Ответ Harmstring в «Думали мигрень, а это…»17
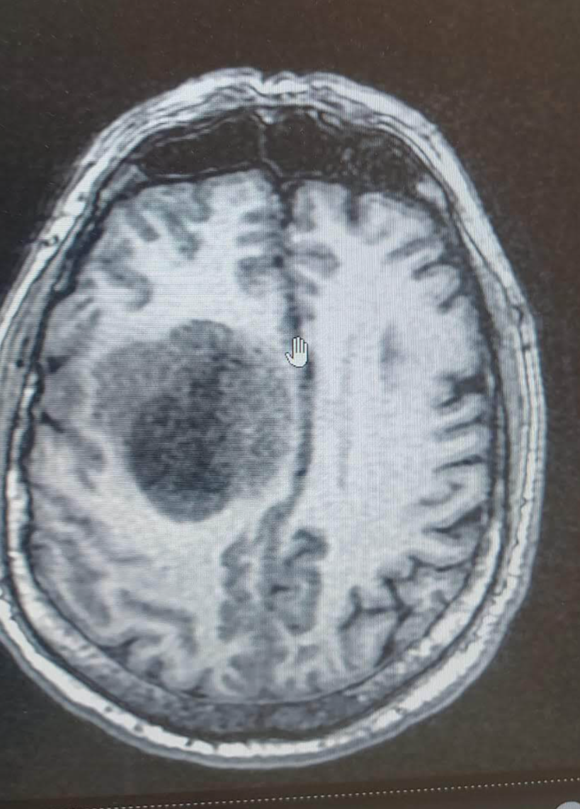
Отвечу тоже постом. Бывает даже и без Эпи приступов. Отец всегда был весёлым, активным, общительным человеком. А тут стали замечать, что "подвисает", будто не тут он, где-то в себе. Не такой болтливый. Мы с ним часами могли по телефону разговаривать, а тут звонит раз в день просто узнать как дела, только по делу, без болтовни. Думали может стареет, энцефалопатия. Где-то в июле- августе это началось. Когда потом врач его спрашивал про жалобы, отвечал: "жена сказала, что я изменился", то есть он не замечал ничего. Осенью за рулём на встречку его начало тащить. Потом вообще левая рука слушаться перестала. После того, как упал несколько раз за день, повезли в больницу. Там МРТ с контрастом: глиома IV, 5 на 5 см. Состояние буквально за два дня ухудшилось до такой степени, что перестал вставать (но сам он был в полной уверенности, что встаёт и ходит, видимо, мозг отказывался осознавать беспомощность тела). Причём, МРТ всего, и головы тоже, делали за полгода до этого. То есть болезнь развилась за считанные месяцы. Потом операция, химия, восстановление как после инсульта. Но прогнозы по этой болячке не слишком оптимистичные, он статистику не нарушил, к сожалению.
Вообще ничего не болело, больше никаких симптомов не было. Прислушивайтесь к себе и к близким. Иногда если что-то кажется, оно не кажется

Лига врачей
2.5K постов4.7K подписчиков
Правила сообщества
1)Оскорбления запрещены
2)Взаимоуважение в комментариях и публикациях
3)Все материалы носят рекомендательный характер, так как данный сайт и сообщество не носят медицинский характер
4) Токсические негативные комментарии не по теме поста против авторов оригинальных постов не допустимы