Вожжи
Вот тут родили один пост, с осуждением того, что малец в специальном корсете и с ремнём-поводком. Какая-то дичь чуть ли ни про рабство детей, и прочая галиматья. Прочитал пост и комментарии, и впал в уныние от человеческой дремучести. Время такое, что все помешаны на защите прав всего и вся, вплоть до прав бродячих собак. Вот и воюют со всем, что кажется каким-то ограничением швабоды детей. Ни одного комментария по существу, сплошной бред про «личность ребёнка». Прямо какой-то шабаш либерастни.
Итак, ближе к делу: это устройство называется «вожжи». Их предназначение в том, чтобы снять нагрузку на плечевое соединение ребёнка. Почему написано «соединение», а не «сустав»? Да потому что плечевой сустав у детей полностью формируется только после пятилетнего возраста, ближе к семи-восьми годам. До этого времени там только островки хрящей и мышцы. Которые лишь слегка удерживают плечевую кость в правильном месте.
Так что же может пойти не так? А всё может пойти не так. Очень часто можно наблюдать картину, когда несчастного малолетку нещадно волокут за руку. Особенно часто вверх по ступенькам. Тянут так, что дитё аж провисает на собственной руке! НИ В КОЕМ СЛУЧАЕ ТАК ДЕЛАТЬ НЕЛЬЗЯ!!!
На рентген-снимке видно полное отсутствие плечевого сустава. Взято с wishescards.ru
Люди совсем не в курсе, что если таскать малыша за руку, то можно очень легко вывихнуть ему плечо. А это со временем, в более старшем возрасте, приведёт к формированию т.н. "привычного вывиха плечевого сустава". С возможным разрывом околосуставной сумки. Лечение подобной патологии хирургическое, понадобится операция. С последующей продолжительной и нудной реабилитацией. На долгие годы. И стопроцентный успешный результат никем не гарантируется. Вот потому, для профилактики вывиха, и были придуманы специальные приспособления-вожжи. Чтобы можно было не нагружать плечо ребёнка, и спокойно вести его туда, куда понадобится.
В связи с вышесказанным смею предложить мамам-папам, у кого есть малые дети, не поскупиться на приобретение подобного устройства. На плеймаркетах их много, самых разнообразных, на любой вкус. Рассуждая цинично, дешевле купить эти пресловутые вожжи, чем потом лечить ребёнка от привычного вывиха. На самый крайний случай, если под рукой нет вожжей, советую водить ребёнка, держа его за воротник одежды, а не за руку.
Разрыв акромиально-ключичного сочленения
Разрыв акромиально-ключичного сочленения – это повреждение связок, соединяющих акромион лопатки с ключицей. Чаще всего возникает при падении на плечо или прямом ударе.
Классификация (по Rockwood)
Iстепень – растяжение связок, без разрыва.
II степень – частичный разрыв связок, небольшое смещение ключицы.
III степень – полный разрыв АКС и клювовидно-ключичных связок, заметное смещение ключицы вверх.
IV–VI степени – тяжелые повреждения с вывихом ключицы в разных направлениях (редкие).
Симптомы
Боль в области плеча, усиливающаяся при движении.
Отек, гематома.
Деформация (выступающая ключица при III степени).
Ограничение подвижности руки.
Диагностика
Рентген, МРТ, УЗИ.
-Оперативное лечение при III cт. и выше.
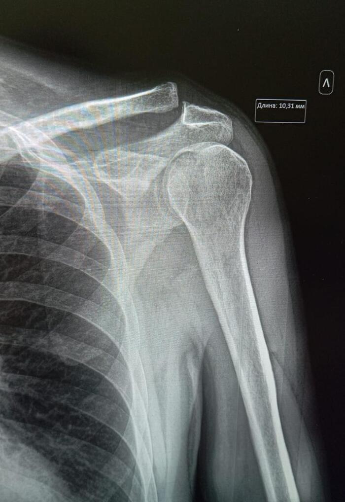
Смещение акромиального конца левой ключицы на 10 мм выше акромиона.
Заключение: Вывих акромиального конца левой ключицы, вследствие разрыва акромиально-ключичного сочленения.
Категория годности по ст.85(Временные функциональные расстройства костно-мышечной системы, соединительной ткани, кожи и подкожной клетчатки после лечения болезней, ранений, травм, отравлений и других воздействий внешних факторов)-Г(временно не годен к в/сл),-с учетом предстоящего оперативного лечения, реабилитации после него, отсрочка будет составлять 6 мес.
Артро-Латарже
Всем привет.
Есть кто нибудь кому делали операцию на привычный вывих плечевого сустава Артро-Латарже? Хотелось бы отзывы, были ли повторные вывихи после операции, в целом как ощущения после реабилитации?
У меня у самого привычный вывих, тяжело заниматься единоборствами, постоянно боюсь, что вылетит.
Почитал про Артро-Латарже, пишут, что возвращает полную стабильность плеча и повторные вывихи не случаются больше.
Вот дейстивительно ли это так...
Навеяно другими публикациями...
Было мне 14 лет. Надо было утром идти закрывать больничный. Проснулась и вывихнула челюсть. А все почему? Потому что нельзя резко открывать челюсть спросонья, так вывих и случился.
Пришлось мне продлить больничный, только уже не у терапевта по простуде, а у хирурга по суставу.
Месяц ходила с подвязанной челюстью на прогревания. Суп и любую пищу через трубочку, ибо челюсть размыкалась максимум на 1 см. Особенно помню взгляды одноклассников, когда с повязкой на голове, для поддержания челюсти ходила. Забавный опыт, хотя тогда было не смешно.
Хотя через 20 с лишним лет, сустав все же начал опять беспокоить, но это уже другая история.





