Сакроилиит- Рентген, КТ, МРТ
Сакроилиит — это воспаление одного или обоих крестцово-подвздошных суставов.
Основные причины:
Аутоиммунные и воспалительные заболевания:
Анкилозирующий спондилит (болезнь Бехтерева) — сакроилиит является его ранним и характерным признаком.
Псориатический артрит.
Реактивный артрит.
Инфекционные :
Бактериальная, реже грибковая инфекция, попавшая в сустав с кровотоком. Требует срочного лечения антибиотиками.
Дегенеративные :
Остеоартроз крестцово-подвздошных суставов, часто вследствие травм, постоянных перегрузок.
Травматические:
Падение на ягодицы, авария, резкая нагрузка (например, у тяжелоатлетов).
Беременность и роды:
Гормоны расслабляют связки, вес плода увеличивает нагрузку на суставы, что может привести к воспалению.
Симптомы сакроилиита:
Боль в нижней части спины, ягодицах, бедрах.
Иррадиация боли: боль может отдавать в пах, по задней поверхности бедра, редко — ниже колена.
Усиление боли:
При длительном стоянии или сидении.
При подъеме по лестнице.
При беге.
При переносе веса на одну ногу.
Утренняя скованность в пояснице и тазе, которая уменьшается после разминки.
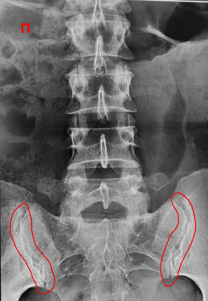
Рентгенограммы поясничного отдела позвоночника пациента с длительным, выраженным болевым синдромом(6 мес.) в пояснице, с временным эффектом от приема НПВС. При описании снимков выраженной костной патологии в поясничном отделе позвоночника не выявлено: структура тел позвонков не изменена, травматических, деструктивных изменений не выявлено, субхондральный склероз замыкательных пластин тел позвонков отсутствует, краевые остеофиты тел позвонков не выявлены, имеется не выраженное неравномерное сужение межпозвонковых щелей как начальное проявления остеохондроза-такая рентгенологическая картина не дает столь выраженного и длительного болевого синдрома.
Обращают на себя внимание крестцово-подвздошные сочленения(КПС),отмечается неравномерное не выраженное сужение щелей КПС с локальными участками расширения, субхондральный склероз- более выраженный слева, имеются двусторонние краевые остеофиты, в нижней трети левого КПС суставная щель не ровная, "изъеденная", по причине наличия единичных эрозий костной ткани. Заключение: Двусторонний сакроилиит 2 ст.(более выраженный слева).
В дальнейшем пациенту потребуется стац. обследование в ревматологическом отделении т.к. наиболее часто сакроилиит является проявлением анкилозирующего спондилита(болезнь Бехтерева), потребуются такие обследования:
• Подвижность поясничного отдела позвоночника: прямое и боковое сгибание, тест Schober.
• Рентгенография позвоночника и костей таза: сакроилиит, синдесмофиты.
• Магнитно-резонансная томография позвоночника и крестцово-подвздошных суставов.
• Анализ крови: С-реактивный белок, СОЭ.
• Лейкоцитарный антиген В27 (HLA-B27).
• Шкала ASDAS.
Рентгенологические градации сакроилиита в соответствии с модифицированными Нью-Йоркскими критериями диагноза англизирующего спондилита:
0 стадия - Отсутствие изменений
1 стадия - Подозрение на наличие изменений (отсутствие конкретных изменений, смазанность субхондрального слоя).
2 стадия - Минимальные изменения (небольшие локальные области с эрозиями или склерозом, сужение или неравномерность суставной щели.)
3 стадия - Безусловные изменения (умеренный или значительный сакроилиит с эрозиями, склерозом, расширением, сужением щели или частичным анкилозом)
4 стадия - Далеко зашедшие изменения (полный анкилоз)
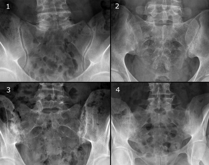
Примеры сакроилиита на КТ,МРТ:
Категория годности при двустороннем сакроилиите 2 ст. по ст.64(Артриты и артропатии инфекционного, воспалительного и аутоиммунного происхождения, системные заболевания соединительной ткани:)в-В(ограниченно годен к в/сл),однако при впервые выявленном заболевании будет присвоена кат. годности Г(временно не годен к в/сл)-для стац. обследования на наличие б. Бехтерева, отслеживания динамики на эффект от терапии.






























