Инфаркт, курение и молодая женщина
Если лень читать вот краткое описание клинического случая:
Женщина 45 лет, курящая, инфаркт миокарда (в развитии) лечили успешно стентом, предварительно просканировав сосуд изнутри ультразвуком. Вывод - курить женщинам вредно, вреднее, чем мужчинам... ))))
Иногда в к нам попадают достаточно молодые женщины с дебютом ишемической болезни сердца, иногда с инфарктом, как правило все они курящие или ранее курили достаточно активно. Вот типичный случай, который был недавно.
Ж. 45 лет (рост 168, вес 77 кг), Из истории болезни (копи-паста с расшифровкой): поводом для госпитализации послужил дебют клиники КН (коронарной недостаточности) в виде жгуче-сдавливающей боли за грудиной, возникшей при ходьбе в обычном темпе у пациентки 45 лет с длительным стажем курения, ранее не контролировавшей уровень АД на амбулаторном этапе. Ранее убедительно клинику КН не описывает.
Настоящее ухудшение от утра 24.08.2025, когда при ходьбе в обычном темпе отметила появление жгуче-давящей боли за грудиной. Остановилась. Боль купировалась в течение 10 минут после прекращения ФН (физ. нагрузки). В течение дня выполняла привычную ФН без жалоб.
Вечером 24.08.2025 обратилась в поликлинику. В поликлинике выполнена ЭКГ и пациентка перенаправлена в стационар *** ГКБ. На ЭКГ: синусовый ритм с ЧСС 70 в минуту, элевация (подъем) сегмента ST на 0,5 мм I, двухфазные зубцы Т в отведениях V3-6.
Зарегистрировано значительное повышение биомаркеров повреждения миокарда.
Согласован перевод в *** для проведения КАГ (коронароангиографии).
В стационаре дано 250 мг АСК (аспирин), 300 мг клопидогрела, п/к введено 0,8 мл эноксапарина.
Бригадой СМП доставлена в ПП (приемный покой) ***. На Этапе СМП дано дополнительно еще 300 мг клопидогрела.
На ЭКГ при поступлении: синусовый ритм с ЧСС 90 в минуту, двухфазные Т + элевация ST на 0,5 мм V3-6. Повышение Тропонина подтверждается (тропонин T 0,37).
С учетом признаков повреждения миокарда пациентка транспортируется в рентгеноперационную для КАГ и ЧКВ (чрескожное коронарное вмешательство).
Диагноз: ИБС: Первичный инфаркт миокарда без подъема сегмента ST перегородочной, верхушечно-боковой стенок левого желудочка от 24.08.2025. Killip I class. Гипертоническая болезнь III стадии, без достижения целевого АД (артериального давления) в настоящее время, риск 4 (очень высокий). Целевой уровень АД 130-139/70-79 мм рт.ст. Функциональные маточные кровотечения от мая 2025. Ремиссия на фоне гормональной терапии. Гипохромная анемия легкой степени тяжести.
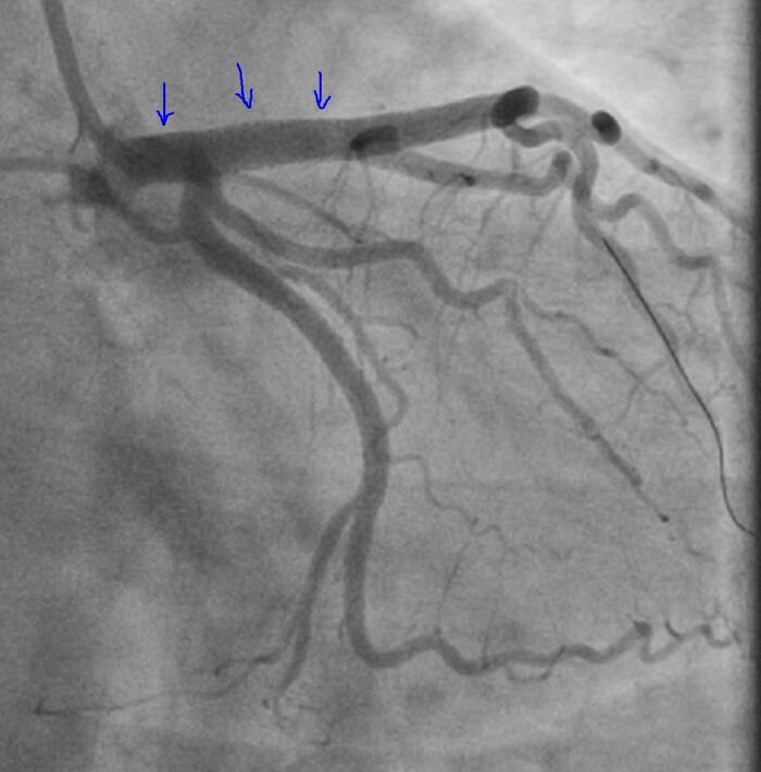
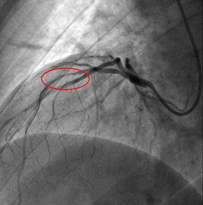
Итак на коронарографии такая картина при первой же съемке:
Стенозирование передней межжелудочковой артерии (ПМЖА) в начальном (проксимальном сегменте), инфаркты при полном закрытии ПМЖА в этом сегменте часто фатальные, либо приводят к инвалидизации
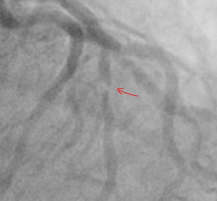
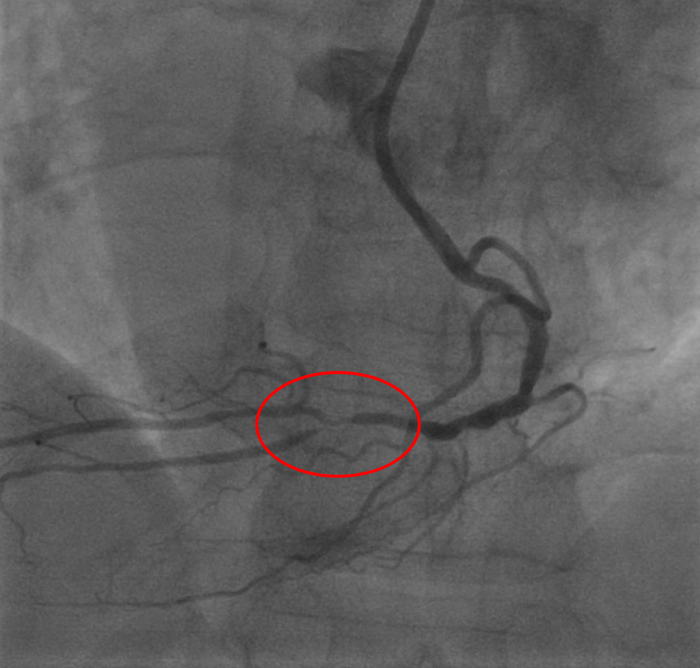
Оператор, с учетом такой картины, решает уточнить морфологию поражения, для выбора правильной тактики лечения (то что это нужно стентировать сомнений нет).
Делает ВСУЗИ (внутрисосудистое ультразвуковое исследование = специальный датчик заводится в сосуд через катетер и он изнутри датчик сканирует сосуд ультразвуком, в нашем случае частотой 40 Мгц)
Картина на ВСУЗИ:
Выявлена в начальном сегменте ПМЖА большая нестабильная атерома (желтым) с липидным ядром с распадом, на устье ПМЖА уже сформирована фиброзная атеросклеротическая бляшка (красным) с переходом на ствол левой коронарной артерии. Сама артерия по ВСУЗИ большая
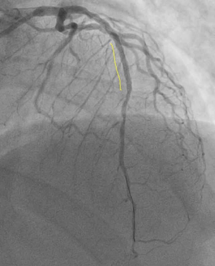
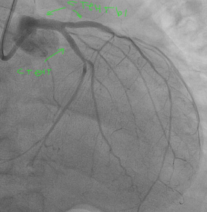
С учетом данных ВСУЗИ проводится сразу прямое (без предварительной предилатации баллоном) стентирование ПМЖА с покрытием ствола левой коронарной артерии.
Получаем такой результат
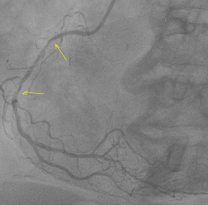
Контроль ультразвуком:
Клинически тоже все хорошо, на следующие сутки переведена в отделение. Готовится к выписке.
Почему же курение для женщин более мощный фактор развития ИБС и является более "тяжелым" по последствиям чем у мужчин?
Гормональный фактор: сочетание курения и приема оральных контрацептивов катастрофически повышает риск образования тромбов и инфаркта. Вот почему гинекологи категорически не рекомендуют курить женщинам, принимающим оральные контрацептивы. Кроме этого наличие эстрогенов в женском организме является некой протекцией сосудов в плане развития атеросклероза (далее после 60 лет женщины, когда падает гормональный фон, они уже догоняют мужчин по темпам образования бляшек), а курение у женщин снижает эстрогены и повышает андрогены.
Есть исследования, что у курящих женщин риск ишемической болезни сердца на 25% выше, чем у курящих мужчин при прочих равных условиях.
В итоге риск инфаркта у курящей женщины в 2-6 раз выше, чем у некурящей.
Те кто начал курить в молодом возрасте (даже легкие сигареты) имеют значительно более высокий пожизненный риск сердечно-сосудистых заболеваний.
Ну и про пассивное курение - оно увеличивает риск инфаркта на 30%.
PS: cам не курю.

























