Инфаркт в 25
Возвращаясь к предыдущему посту про курение и наследственность: Курение или наследственность? Что важнее?
Похожий случай был вчера (у меня было суточное дежурство).
Молодой мужчина/парень 25 лет, с отягощенной наследственностью - у отца инфаркт в 40 лет, курящий по пачке в сутки сигарет, утром в шесть затяжной приступ болей в грудной клетке, сопровождающийся слабостью, потливостью, чувством нехватки воздуха. Накануне вечером после приема алкоголя, был похожий получасовой приступ боли, прошедший самостоятельно.
Привозит его скорая в 9 утра, с приемника он сразу к нам в операционную, через 10 минут уже на столе.
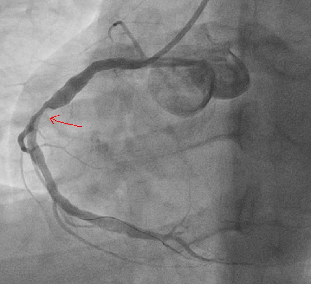
И что мы видим?
Далее реканализация окклюзии и удаление тромбов
После два стента с таким результатом:
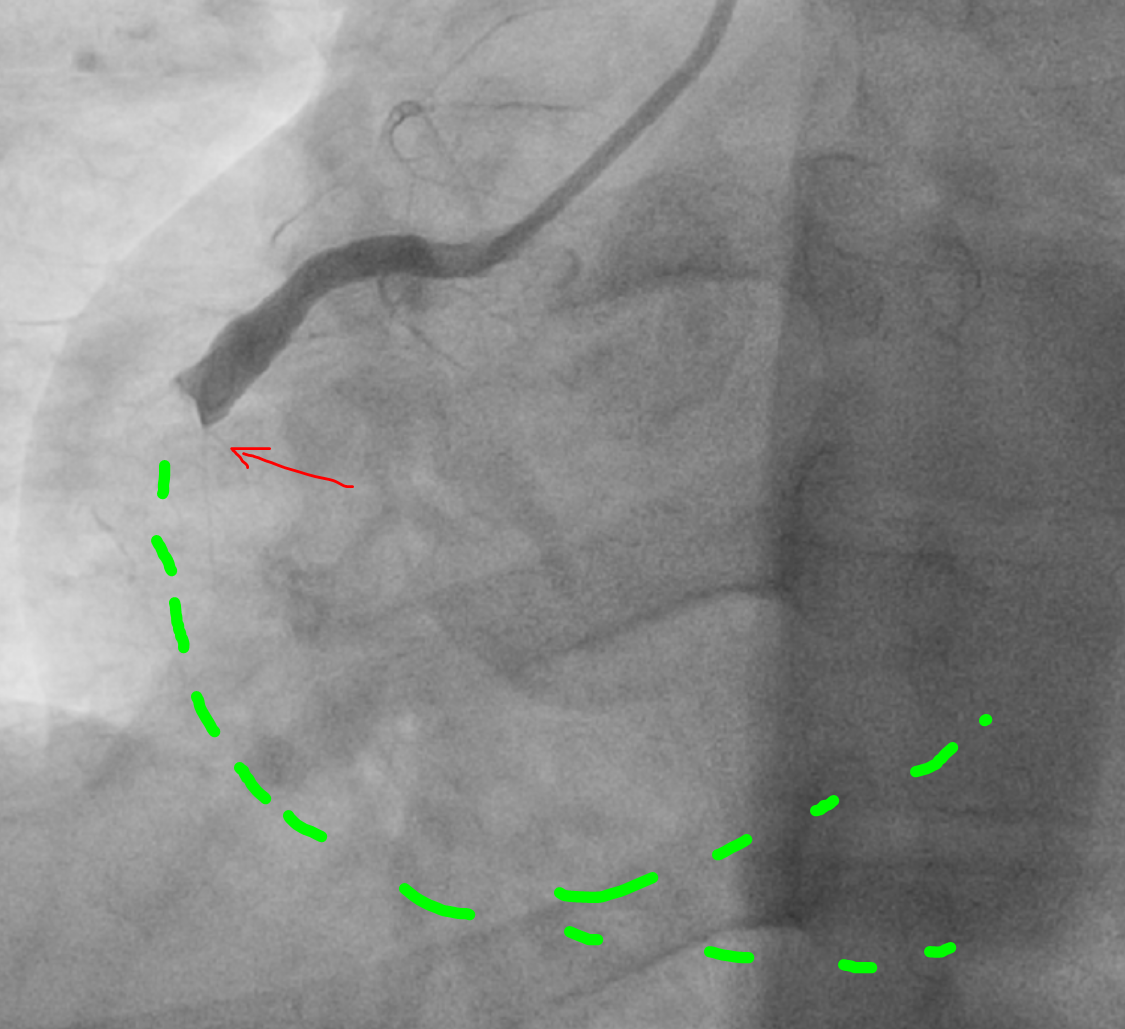
Желтым зоны с замедленным кровотоком (остатки рыхлого тромба вверху и внизу "условно" - загущение крови, которое потенциально опасно повторным тромбозом)
С учетом этого начинаем вводить препарат для блокирования тробоцитов (блокатор 2Б-3А рецепторов тробоцитов - Агграстат).
Для финального контроля "как стоят стенты" и прочих нюансов выполняем оптическую когерентную томографию (ОКТ):
В целом удовлетворительно, в конце виден остаточный тромб и элементы разрушенной бляшки. Стент там недостаточно плотно прилежит к сосудистой стенке, но с учетом измененной артерии (расширение - эктазия) в этом сегменте и остаточного тромбоза, решаем оставить так, не додувая (риски развития феномена no-reflow), на контроле можно поправить в холодном периоде.
----------------
Итак, опуская технические моменты самой процедуры, этот случай наглядная демонстрация опасной связки - наследственность+курение (как и в предыдущем у молодой женщины), у отца инфаркт в 40 лет, у сына уже в 25...
Вывод - бросайте курить.
PS у пациенту утром сегодня все хорошо, насчет курения подумает ))
Upd: кому интересна левая коронарная артерия:



Все о медицине
14K постов41.6K подписчиков
Правила сообщества
1)Не оскорбляйте друг друга
2) Ув. коллеги, при возникновении спора относитесь с уважением
3) спрашивая совета и рекомендации готовьтесь к тому что вы получите критику в свой адрес (интернет, пикабу в частности, не является медицинским сайтом).