RotS91

RotS91

Врач-рентгенолог
Пикабушник
Дата рождения: 24 июля
1262 рейтинг 1 подписчик 4 подписки 8 постов 1 в горячем
Награды:
Финансовый гений Ежегодное приключениеПизанская ёлкаМакаронная статуяСкуфзаводЧайкам тут не местоЗа киберзащитуЗа киноманство5 лет на Пикабу За талант к предпринимательству За супергеройскую помощь Высокий разум За победу в шоу «Самый-самый» За победу над кибермошенниками
10

Опасная доля в лёгком

Всем здравствуйте! Кто оказался здесь впервые, позвольте представиться - я врач-рентгенолог, и в этом сообществе делюсь с вами интересными случаями из практики, включая как варианты нормы, так и прочие интересные состояния.

Сегодня хочу поделиться очень частым состоянием, с которым живут люди вокруг нас и даже не подозревают об этом.

Это - добавочная долька непарной вены. Располагается она в правом лёгком и выглядит вот так:

Красным выделена сама непарная вена, "вклинивающаяся" в ткань лёгкого.

Ситуация не несёт за собой никаких проблем для пациентов, является случайной находкой и жить никак не мешает.

Так что, если вдруг увидели в заключении своего рентгена ОГК или ФЛГ эту фразу, не беспокойтесь, всё нормально!

Показать полностью 4
11

Зеркальный человек

UPD:

Всем здравствуйте! Кто оказался здесь впервые, позвольте представиться - я врач-рентгенолог, и в этом сообществе делюсь с вами интересными случаями из практики, включая как варианты нормы, так и прочие интересные состояния.

Добро пожаловать!

Прошу прощения, что пропал - работы что-то навалило.

Хотел начать с другого случая, но не мог найти подходящую картинку. А тут такой интересный пациент.

Итак, позвольте представить - situs inversus.

Это состояние, при котором в теле человека все внутренние органы грудной клетки и живота зеркально отражены - сердце справа, желудок и селезёнка справа, печень слева, также отзеркалены сосуды, нервы, кишечник (в том числе аппендикс).

Situs Inversus

Situs Inversus

Собственно, чем это чревато для пациента?

Из плюсов: если Вам будут стрелять или бить в сердце - не попадут и у вас будет шанс выжить повыше, нежели у того ,у кого сердце расположено как надо.

Из минусов: в случае возникновения заболеваний несимметричных органов, не зная об этом состоянии, можно долго решать, что происходит.

Например, при аппендиците боль локализуется справа в нижней части живота (чаще всего). При данном состоянии боль будет слева снизу, что не характерно для аппендицита. Выяснение причин может быть чревато развитием осложнений аппендицита.

То же самое касается желчекаменной болезни и печёночной колики, кстати говоря.

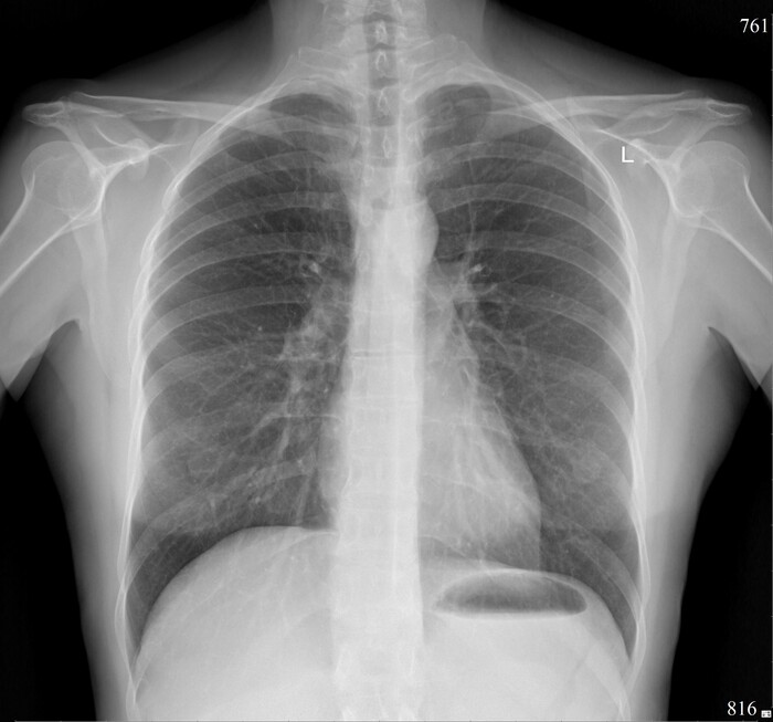
Ну и бонусом - как выглядят "нормальные" лёгкие.

Норма на рентгенограмме ОГК

Норма на рентгенограмме ОГК

Всем спасибо за внимание ,постараюсь почаще что-нибудь интересное находить!

Показать полностью 2
10

Приветствие

Всем здравствуйте!

Я врач-рентгенолог и решил начать делиться с вами, пикабушниками, интересными случаями из своей практики. Здесь будут как варианты нормы, которые, периодически, пугают несведущих людей, так и патологии, в том числе и случайные находки (то есть, такие вещи, которые пациентов не беспокоят совершенно и выявляются при выполнении исследований по другим поводам).

А пока держите цветочки

Гиацинты

Гиацинты

Розы

Розы

Лилии

Лилии

Показать полностью 3
15

Наказание неотвратимо?

Вчера здесь, на Пикабу, встретил отвратительное видео, где две человекоподобные образины женского пола танцевали, а одна из них пнула ногой в спину мелкого пацана (лет двух), который чуть с кровати не упал из-за этого. Я сам, как молодой отец (ребёнку скоро 3 года будет), представить даже не могу, как это возможно - так поступать с абсолютно беззащитным существом, тем более ,по информации, ребёнок - младший брат одной из них.

И вот, сегодня, совершенно случайно, натыкаюсь на новости о том, что ситуация на контроле у Московского омбудсмена.

А ещё, в ГД планируют ввести наказание для несовершеннолетних за издевательства над сверстниками и теми, кто младше (я бы ещё добавил, в принципе, ответственность за маргинальное поведение, в том числе, в отношении и взрослых, т.к. взрослые и ответить-то не могут обычно, ведь эти маргиналы сразу жалобы пишут).

Конечно, я прекрасно понимаю, что и в этом законопроекте могут и, скорее всего, будут перегибы или куча лазеек по избеганию ответственности.

Но внутри себя, в глубине души, я рад, что, в этом плане, дело начало двигаться и эти обнаглевшие подростки (речь не про всех, сразу скажу, а именно о тех, кто позволяет себе маргинальное поведение) могут начать нести ответственность за своё поведение.

Показать полностью 1
5

Не совершайте ошибку, глупцы!


Сходите в магазин за покупками сегодня или завтра! Потом сами же будете офигевать от толп народа, цен и очередей! Сейчас ещё можно успеть и на скидки!

3

Ответ на пост «Опять про лекарства»8

Ксарелто - препарат-оригинал

Ривароксабан-ПФ - препарат дженерик. Нет ни испытаний, ни клин. исследований, ничего. Просто то же самое действующее вещество. А так да, никакой разницы.

Это первый пункт, почему оригиналы ВСЕГДА стоят дороже дженериков. И речь не только про Ксарелто, но и про любые другие препараты.

Второй пункт - ну так а вы купите в РФ препарат из Беларуси по той же самой цене. Либо через родственников, либо барыги, чьи услуги, в итоге, выйдут дороже, чем купить Ксарелто.

Третий момент - это уже к комментаторам. Какая разница, что выбрал автор поста - деньги или лекарства. Он говорит совершенно про другое, а именно - какого чёрта подобные препараты стоят настолько дорого. Я бы лучше высказал претензию, что какого чёрта так дорого стоит препарат из жизненно необходимых для 90% населения. Одно дело условный препарат для лечения СМА (хотя там тоже пи***ц, но по другим, относительно, причинам), другое дело - препараты по типу Ксарелто. Или тот же инсулин

19

Ответ на пост «Заметки китаянки о России»23

13 пункт про архитектуру - хосспади, как же я с ней согласен!

Но у меня это распространяется вообще на любую архитектуру:

Готика - да, красиво, все эти шпили, высота, эпик. Ну ок.

Всякие колонны - круто, что смогли такое в те времена, сейчас, вон, даже квартиру не могут построить без косяков

Китайское и японское вот это вот всё - ну это их зоморочки. Прикольно, но не более.

Ещё в детстве, помнится, возили меня на развод мостов в СПб впервые (сам я из ленобласти, на тот момент лет 12 было) с роднёй из Прибалтики. И вот мы приехали часов в 7 вечера, весь вечер гуляли, чё-то куда-то ходили, и вот час Хэ. Мы заняли удачные места, чтобы прям фотки красивые и всё такое. Час, вмять, наверное, стояли и ждали начала. И вот, началось! 10 минут створка вверх поднималась, если не больше. Все прям такие "ооо! Круто! Красиво! Кайф!". И я такой "И вот ради этого я не сплю уже несколько часов???" (а я реально устал).

Так что я точно не из тех, кто может оценить крутость чёрного квадрата и всякого такого. Быдло, похоже.

Зато однажды кайфанул, когда приехал на поезде из Крыма, а метро уже закрылось, и я пёрся с рюкзаком, сумкой, пакетами со всякими арбузами-дынями-персиками от Московского вокзала на Петрогорадку в общагу. И вот, спустя примерно час-полтора дохожу я до набережной, а там тихо так, почти беззвучно, практически невидимые, потому что на фоне чёрной водной глади чёрными же тенями, плыли корабли разные по Неве... Вот это было кайфово! А потом я увидел, что сводят мост, который мне нужен и так рванул туда, что мама не горюй! XD

Показать полностью
Отличная работа, все прочитано!

Темы

Политика

Теги

Популярные авторы

Сообщества

18+

Теги

Популярные авторы

Сообщества

Игры

Теги

Популярные авторы

Сообщества

Юмор

Теги

Популярные авторы

Сообщества

Отношения

Теги

Популярные авторы

Сообщества

Здоровье

Теги

Популярные авторы

Сообщества

Путешествия

Теги

Популярные авторы

Сообщества

Спорт

Теги

Популярные авторы

Сообщества

Хобби

Теги

Популярные авторы

Сообщества

Сервис

Теги

Популярные авторы

Сообщества

Природа

Теги

Популярные авторы

Сообщества

Бизнес

Теги

Популярные авторы

Сообщества

Транспорт

Теги

Популярные авторы

Сообщества

Общение

Теги

Популярные авторы

Сообщества

Юриспруденция

Теги

Популярные авторы

Сообщества

Наука

Теги

Популярные авторы

Сообщества

IT

Теги

Популярные авторы

Сообщества

Животные

Теги

Популярные авторы

Сообщества

Кино и сериалы

Теги

Популярные авторы

Сообщества

Экономика

Теги

Популярные авторы

Сообщества

Кулинария

Теги

Популярные авторы

Сообщества

История

Теги

Популярные авторы

Сообщества