Пост 17. Неочевидный результат ДТП — рубцовый стеноз трахеи
Глубокоуважаемые друзья, когда мы слышим о последствиях ДТП, на ум приходят переломы, повреждения внутренних органов, скорая помощь, экстренные операции и последующая реабилитация.
Но есть осложнение, о котором мало кто знает, которое почти не освещается в массовой культуре, но которое есть.
Это рубцовый стеноз трахеи, проблема современной медицины и проблема пациентов которых спасли вопреки всему.
Представим стандартный, к сожалению, сценарий:
тяжелое ДТП → множественные травмы, потеря крови, шок, кома → пациента срочно доставляют в больницу и для поддержания жизни интубируют (вводят трубку в трахею), подключают к аппарату ИВЛ.
Недели, а иногда месяцы, проведенные на искусственной вентиляции, — это нагрузка на слизистую. Трубка давит изнутри, нарушает кровоснабжение, вызывая воспаление и последующее образование грубой рубцовой ткани.
После экстубации (удаления трубки) рубцы сужают просвет дыхательных путей, как тугое кольцо.
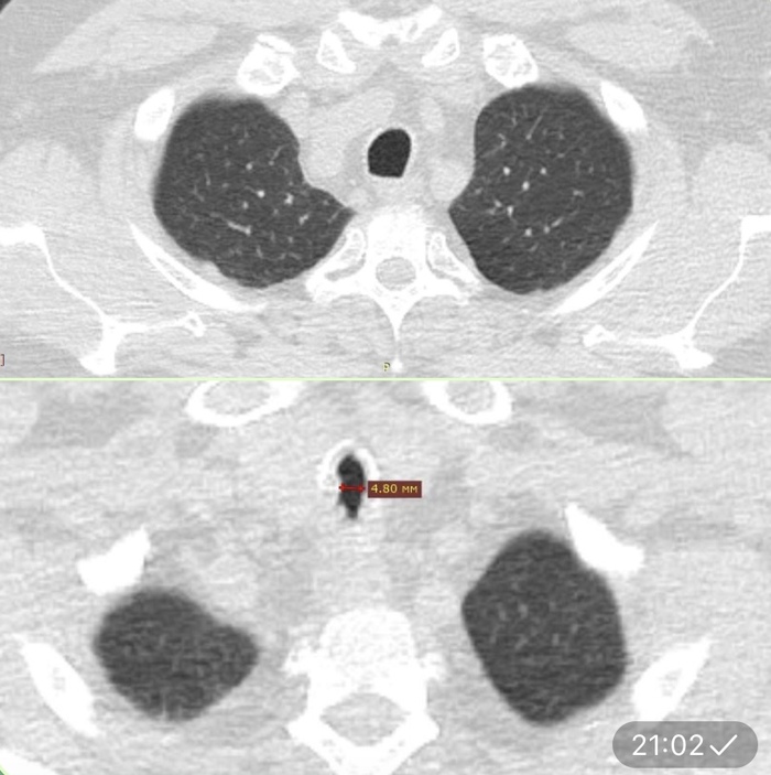
Компьютерная томография. Вверху неизмененная часть трахеи. Внизу щелевидный стеноз трахеи до 4 мм. Ниже видео - эндосокпическая картина рубцового стеноза (бронхоскопия).
Чтобы уменьшить повреждающее действие ИВЛ врачи в стационаре делают контринтуитивную, на первый взгляд, операцию - разрезают шею и вводят трубку в трахею напрямую, миную рот, нос, гортань и голосовые связки. Это называется трахеостомия.
Казалось бы и так плохо, зачем же еще разрез на шее?
Дело в том, что так многократно снижается площадь давление трубки на ткани в организме и все что выше разреза (особенно голосовые связки) остается нетронутым. Плюс, за интубационной трубкой удобно ухаживать.
Это помогает уменьшить вероятность будущего стеноза. Но, всегда есть «но»:
Трубка, установленная через шею, продолжает давить на трахею, иногда этого давления достаточно для формирования рубцов
Иногда при трахеостомии, особенно экстренной, рассекаются или ломаются хрящи трахеи, что тоже вызывает появление рубцов
Мы не одинаковые. Бывает, что пациент реагирует формированием рубцов на любые, даже самые незначительные вмешательства
Иногда рубцовый стеноз успевает сформироваться до трахеостомии и трубка в шее - единственная возможность для дыхания
Не редкая ситуация: пациент выжил после ДТП, выписался, начал проходиться реабилитацию, но вдруг чувствует одышку, дыхание становится шумным и ситуация с каждым днем ухудшается.
Это стеноз трахеи.
Как его лечить?
Есть два пути:
Расширение просвета трахеи изнутри, то есть эндоскопия
Удаление пораженного рубцами участка, то есть хирургия
Почти всегда лечение начинается с эндоскопии, как наиболее простого и быстрого способа улучшить состояние пациента, кроме того после успешного эндоскопического лечения (иногда требуется серия эндоскопических вмешательств) наступает безрецидивной период, то есть рубцы больше не растут и хирургия такому пациенту не нужна.


На первом фото я молодой и смелый приехал в больницу Джанелидзе, бужирую стеноз трахеи, пациент после ДТП. На втором фото ригидный бронхоскоп (металлические трубки, которыми происходит бужирование).
Если эндоскопически вылечить пациента не удается, то пациента оперируют.
Но, снова есть «но»:
Стенозы бывают очень протяженные, что не позволяет перейти к хирургии, потому что нельзя удалить всю трахею (иногда конечно и можно, но это все-таки пока редкость)
Циркулярная резекция трахеи - операция тяжелая и бывает что пациенты не могут ее перенести из-за других болезней
Сверху схематическое изображение циркулярной резекции трахеи. Снизу как это выглядит в реальности. Фото заимствовано из диссертации Паршина А. В.
В таком случае мы снова возвращаемся к эндоскопии и возможным вариантом становится установка стента в трахею - специальной силиконовой трубки поддерживающий достаточный просвет для дыхания.
С трубкой внутри пациенты прекрасно себя чувствуют и это время может быть использовано для реабилитации и лечения сопутствующих болезней, с дальнейшей операцией.
В случаях когда операция не возможна стент устанавливается надолго, с последующей его периодической заменой.
Но как часто развивается рубцовый стеноз трахеи?
В этом исследовании приводится диапазон от 6% до 21% у всех пациентов после длительной интубации.
В отечественной литературе цифры сходные - до 18% стенозов у пациентов с тяжелыми травмами.
Округляем и получаем:
у каждого 7 пациента после тяжелой травмы и ИВЛ будет рубцовый стеноз трахеи.
А напоследок минутка не медицинской статистики, ведь я блогер, а значит являюсь экспертом абсолютно во всем.
Исследования подтверждают, что ремни безопасности радикально меняют прогноз выживаемости:
Снижение смертности: Использование ремня снижает риск гибели водителей и пассажиров передних сидений на 45–50%.
Тяжелые травмы: Риск получения серьезных травм снижается на 45–50%.
Сравнение рисков: Непристегнутые водители в 8,3 раза чаще попадают в смертельные аварии и в 5,2 раза чаще получают тяжелые травмы по сравнению с пристегнутыми.
А как же: «меня выбросило из машины и я выжил, а был бы пристегнут - умер».
Это пример ошибки выжившего.
Люди пересказывают истории о том, как кто-то вылетел через лобовое стекло и остался жив, в то время как салон автомобиля был сплющен.
В чем ошибка: мы слышим эту историю только потому, что человек выжил.
Реальные данные: По статистике NHTSA, около 75–80% людей, выброшенных из автомобиля при столкновении, погибают. Те, кто вылетел и погиб, не могут прийти в комментарии и сказать: «Меня выбросило, и я ударился головой об асфальт/столб/свою же машину», обязательно повторю. Вылет из авто увеличивает риск смерти в 4 раза.
Вы скажете: «а мотоциклисты?».
Ну, у них есть шлем. ⛑️
Не болейте, пристегивайтесь и берегите себя.
Если у вас:
Рубцовый или опухолевый стеноз трахеи или бронхов,
Ахалазия кардии,
Дивертикул Ценкера,
Грыжа пищеводного отверстиях диафрагмы,
Другое заболевание легких, дыхательных путей и пищевода,
то вы можете пройти лечение в рамках ОМС или ВМП, в СПб НИИФ, где мы с вами встретимся.
ДТП, ищем свидетелей!
Сегодня примерно в 8:53 на 127-м километре трассы Р-23 "Псков" в Лужском районе неустановленный кроссовер белого цвета выскочил на встречку, в результате чего мой отец потерял управление и вылетел с проезжей части с переворотом. Отец, слава богу жив, но машина здорово пострадала.
Видео вроде обрезал, но что-то у меня оно "полное". Сам момент ДТП с 1:09:00
Тимашевск, Краснодарский край
Ищу свидетелей ДТП на выезде с Тимашевска, кольцо ул. Зорге - Новокорсунская. 06.02.2026 с 18 до 19.40 ч. Участники - белый Мерседес Актрос и Ниссан Куб. Ниссан стоял на обочине в темное время суток без света и аварийки и ждал удачного момента для удара. Дождался, когда я уступлю дорогу всем проезжающим и, пристроившись за фурой, влетел в задний угол моего прицепа. У данного деятеля это уже четвертое дтп за три года вождения, машина тоже перекрашена только что не кисточкой. Очень не хочется оплачивать ремонт там, где ты не виноват. Помогите пожалуйста! Важна любая информация!
Не смог промолчать...как вольвовод1
И тысячи вот таких комментов. Но стоит уточнить, что скорее всего у тупой зависти глаза велики. Неоднократно встречал пускающих слюни на авто, которым уже 15 лет и они дешевле весты, но ведь бмв(!).
Для многих авто - действительно понты...но и отменять ценность удовольствия от вождения тоже не следует. У человека есть недвига, иногда в тихом районе и со знакомыми соседями - зачем ему стремиться в район с понтами? Потому что для кого-то понты не в авто, а в "элитном" доме?
Хотя в комментах даже всплыли вольво(!) в качестве долбоебизма.
И тут мне вспоминается мой знакомый из ЖЖ. Жил он в Кирове и принципиально не любил иномарки, как левый. Ехал он с семьей(жена и 2 детей) на своей оде. Но встретился ему наркоман на фокусе. Всего лишь фокус убил сразу 4-х людей. Наркоман выжил.
Есть еще более эпичная история из моего города - есть у нас один меценат года и владелец рыбного производства. И вот так случилось, что она на своем лендровере...столкнулся с одой с рыбаками. Там 3 трупа, ему - не царапины. Действительно, зачем владеть вольво?
ДТП с участием курьера в Н.Новгороде
Сегодня около 9 часов утра на улице Ванеева, 32, случилось дорожно‑транспортное происшествие. Водитель автомобиля ВАЗ‑2114 совершил наезд на 19‑летнего молодого человека, который передвигался на электросамокате. Пострадавшего оперативно доставили в медицинское учреждение. Источник: https://max.ru/dtp_nn/AZxNeMzDRvg




















