Как я победила бруксизм: рецепт, который не купишь в аптеке
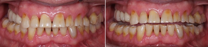
Бруксизм — это не просто привычка скрежетать зубами. Это хроническое, изматывающее напряжение, которое не отпускает ни днем, ни ночью. Я прошла классический путь отчаяния, который знаком каждому, кто страдает этим недугом и потратила годы на поиски решения.
Тупик: Почему стандартные решения не работают
Мой путь к исцелению был вымощен разочарованиями:
1. Капы - это был первый эксперимент. Они защищают эмаль от стирания, но не устраняют причину. Наоборот, они часто провоцируют еще большее напряжение, поскольку челюсть пытается найти удобное положение, которого в капе просто нет. Я просыпалась с ощущением, что всю ночь боролась с инородным телом во рту.
2. Ботокс. Решение, которое обещало мгновенное расслабление. Ботокс временно парализует жевательные мышцы. Да, боль уходит, но это лишь симптоматическое лечение. Мышцы слабеют, но мозг не учится расслабляться. Через полгода эффект проходит, и проблема возвращается, часто с удвоенной силой, поскольку вы не работали над причиной.
3. Психологи и терапия. Я погружалась в бесконечный анализ стресса, тревоги и невысказанных эмоций. Безусловно, психологическое напряжение является спусковым крючком, но оно не объясняет, почему тело физически не может расслабить челюсть ночью. Мне не хватало физического инструмента для отключения этого мышечного спазма.
Я поняла, что бруксизм — это не только проблема головы, но и проблема механики, которую нужно решать двумя путями: сознательным перепрограммированием и внешней поддержкой.
5 Шагов к расслаблению
Перед началом сеанса важно обеспечить адекватное поступление воды в организм, так как гидратация является ключевым аспектом кинезиологического баланса.
Шаг 1: Расслабление жевательной мышцы
• Сожмите зубы, и вы почувствуете, как напрягается крупная мышца на щеках, идущая от скулы к нижней челюсти.
• Расположите подушечки трех средних пальцев обеих рук на этих мышцах. Мягко приоткройте рот, чтобы мышцы под пальцами расслабились. Удерживайте 2-3 минуты, представляя, как напряжение уходит из этой области.
Шаг 2: Расслабление височной мышцы
• Это веерообразная мышца находится на висках.
• Поместите кончики пальцев на виски. Слегка приоткройте рот. Удерживайте пальцы 2-3 минуты, позволяя мышцам ослабнуть под вашими руками.
Шаг 3: Работа с областью под скулами
• Установите кончики средних пальцев в ямочки под скулами, примерно на уровне ноздрей. Слегка приоткройте рот и мягко удерживайте эту позицию 1-2 минуты. Это помогает расслабить глубокие мышцы челюсти, которые часто остаются в спазме.
Шаг 4: Воздействие на нижнюю челюсть
• Одной рукой мягко обхватите подбородок. Другую руку положите на лоб для стабилизации. Очень медленно и аккуратно позвольте нижней челюсти слегка опуститься, как бы под собственным весом. Рука на подбородке лишь сопровождает это движение, не создавая давления. Повторите 5-7 раз, фокусируясь на плавности.
Шаг 5: Завершающее расслабление
• Положите ладони обеих рук на щеки так, чтобы они полностью покрывали область ВНЧС (чуть впереди ушей). Закройте глаза и удерживайте эту позицию 3-5 минут, направляя свое внимание на тепло рук и ощущение полного покоя в челюсти.
Даже после этих упражнений, ночью, когда сознательный контроль отключается, тело возвращается к привычному паттерну. Здесь на помощь пришло решение, которое стало моим спасением.
Идея была в том, чтобы создать подушку, которая одновременно: 1) поддерживает шею и голову в нейтральном положении, и 2) полностью исключает давление на челюстной сустав и лицо.
Самой сложной частью было формирование центрального углубления. Оно должно быть достаточно глубоким, чтобы голова "висела" в нем, но при этом края должны мягко поддерживать затылок и шею.
Благодаря этой подушке вес головы больше не давит на челюстной сустав, жевательные мышцы могут расслабиться. Исчезает главный провокатор ночного сжатия — механическое смещение.
Я впервые за много лет проснулась без ноющей боли в висках и без ощущения "заклинивания" челюсти.
Кроме того, при сне на боку кожа лица (щеки, область вокруг глаз) буквально сминается и растягивается. А здесь еще получился дополнительный приятный бонус - значительное уменьшение морщин на лице.
Бруксизм — это сложное состояние, но это не приговор. Если вы устали от неэффективных методов, попробуйте этот подход. Желаю вам комфортного сна.




