Avzavza

Пикабушник
4073 рейтинг 51 подписчик 18 подписок 24 поста 6 в горячем
Награды:
10 лет на Пикабу
61

От вазотомии до аденомы гипофиза (пролактиномы). Часть 4

Часть 1: От вазотомии до аденомы гипофиза (пролактиномы)
Часть 2: От вазотомии до аденомы гипофиза (пролактиномы). Часть 2
Часть 3: От вазотомии до аденомы гипофиза (пролактиномы). Часть 3

Для ЛЛ: Обнаружилась у меня тут доброкачественная опухоль гипофиза (пролактинома), которая выделяет гормон пролактин.

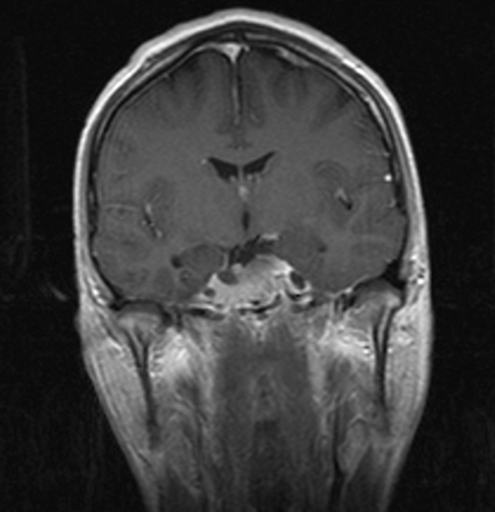
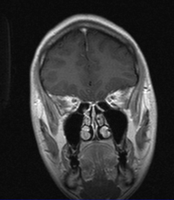
Сделал МРТ:

От вазотомии до аденомы гипофиза (пролактиномы). Часть 4

На этот раз описание очень подробное, аж страшно стало. Получается опухоль снова уменьшилась, но свободное пространство замещается лИкворной кистой. Нейрохирург сказал приходить на МРТ через год.

Сдал гормоны 23.10.19:
Пролактин 170.187 нг/мл (3621 мМЕ/л)
Т4 (свободный) и кортизол в норме.

Когда получал направление на анализы, на приеме с врачом снова были студенты в учебных целях :)

С анализами пошел к главному эндокринологу города. Говорит, что пока оставим дозу таблеток прежней, сдашь через пол года повторно кровь на гормоны, и посмотрим что дальше делать. Я спросил, можно ли сейчас уже делать какие то прогнозы? Говорит, что могло бы быть и получше, но и так не плохо. Лучшее враг хорошего и все такое. На счет кисты, нейрохирурги уже решат потом. Может быть опухоль еще уменьшится, и они потом уберут разом и кисту и остатки опухоли, может быть просто проколят кисту и выкачают жидкость, может быть ничего трогать не будут, оставим дозу таблеток на определенном уровне, чтоб опухоль была просто на одном уровне, да и все.

На счет самочувствия: где то лучше, а где то хуже. Общее самочувствие вроде улучшилось, весной гормоны забурлили, и химия произошла к одной девушке. Давно со мной такого не было.

Депрессуха накатывает часто, постоянное чувство тревоги, тлена, тоски и прочего. Все время плохое настроение, жизнь не радует, одна отрицательная мотивация и негатив. Не хочется ничем заниматься и познавать новое. К психиатру есть возможность сходить только по ОМС, но так и не сходил. Бывает голова побаливает и за правым глазом. Головокружения, слабость и быстрая утомляемость.

Такие дела. До встречи через год!

Показать полностью 1
118

От вазотомии до аденомы гипофиза (пролактиномы). Часть 3

Часть 1: https://pikabu.ru/story/ot_vazotomii_do_adenomyi_gipofiza_pr...

Часть 2: https://pikabu.ru/story/ot_vazotomii_do_adenomyi_gipofiza_pr...


Мне тут на почту пишут, не помер ли я. Так вот, не помер.


Для ЛЛ: Обнаружилась у меня тут доброкачественная опухоль гипофиза (пролактинома), которая выделяет гормон пролактин.


Кароч, сходил к челюстно-лицевому хирургу, который зав.каф. отделения оториноларингологии 40 больницы. 3к заплатил за прием. Рассказываю, показываю. Сказал, что нужно сделать КТ цистернографию, ну и повторить МРТ, на которое я уже записан был. В общем ничего нового, это мне и нейрохирург говорил. От челюстно-лицевого, как и от других врачей, информацию приходилось клещами доставать и самому задавать вопросы.


Провел осмотр полости носа. Сказал, что ничего делать сейчас не нужно. Это конечно не хорошо, что лИквор течет из носа, но туда лезть, ну такое себе.


Сдал кровь на гормоны 20.02.19:

Пролактин 732.5 нг/мл (15529 мЕд/л)
Т4 (свободный) 0.95 нг/дл при норме 1.04 - 1.65

Сахар, тестостерон и ТТГ в норме.


4.04.19 пролактин 470 нг/мл (9964 мЕд/л)


22.04.19 стал принимать 2.5 мг (5 таблеток) в неделю. Разделил на 3 приема.
Где то за 3 дня до МРТ заметил, что течь с носа стало значительно меньше. Само МРТ:

Итого опухоль уменьшилась примерно в 2.5 раза от предыдущего размера. Было 64х55х49, потом 52х52х19, а теперь 43х22х18. МРТ почему то делали без контраста, хоть и было в направлении указано, что нужен контраст. Ну и диск не дали.


16.05.19 пролактин 542.3 нг/мл (11496,76 мЕд/л). Сходил к нейрохирургу:

Говорит, что ничего делать не будем, продолжай пить таблетки. Следующее МРТ в октябре. Нужно сходить еще к офтальмологу.


Сходил к главному эндокринологу города, куда меня направляли обычные эндокринологи. Говорит, что дозу таблеток уже нет смысла повышать. Пролактин колеблется примерно на одном уровне. Нужно просто продолжать пить 5 таблеток в неделю и надеяться, что опухоль продолжит уменьшаться, а с ней и пролактин. Пролактин и другие гормоны сейчас смысла мониторить нет. В следующий раз после МРТ перед приемом эндокринолога нужно будет сделать анализ пролактина, Т4 (свободный) и кортизола в крови.

Показать полностью 6
248

От вазотомии до аденомы гипофиза (пролактиномы). Часть 2

Часть 1: https://pikabu.ru/story/ot_vazotomii_do_adenomyi_gipofiza_pr...

Здравствуйте. Созрел на продолжение.


Для ЛЛ:

Обнаружилась у меня тут доброкачественная опухоль гипофиза (пролактинома), которая выделяет гормон пролактин.


Вот такая красотулька:

В общем пересдал я кровь на гормон пролактин. 4715 нг/мл (99958,00 мЕд/л), при норме 2,83-10,69. Расчет макропролактина невозможен из-за высокого уровня пролактина. Месяц назад пролактин был 149,46 нг/мл.


Начали лечение каберголином 30.07.2018. Препарат Достинекс (оригинал) (Бесплатно по квоте можно получать бромокриптин, от которого побочек намного больше, поскольку он старого поколения). Дозировка 0.25 мг (пол таблетки) 2 раза в неделю. Первые 2 недели побаливала голова, немного сильнее, чем обычно. Потом головные боли пропали. Других побочек не ощутил.


01.09.2018 пролактин стал 3504,29 нг/мл (74290,95 мЕд/л). Повысили дозу таблеток до 0.5 мг (1 таблетка) 2 раза в неделю. Дали направление на гормоны ТТГ, Т4 (свободный), пролактин и тестостерон. Сдать через месяц. Замечал, что если сморкнуться в себя и выплюнуть, было немножко крови. При резких вставаниях и наклонах головы были боли в правой части носа. 16.09.2018 кружилась голова и подташнивало. Но самое стремное: после сна встаю с кровати, а по стенке горла течет прозрачная жидкость. Если в это время наклоняться, то капает с левой ноздри. Читал, что это скорее всего лИквор - спинномозговая жидкость. Рассказал это все эндокринологу. Сказал идти к нейрохирургам.


Помнится, нейрохирург сказал, что перед походом к нему нужно снова к офтальмологу сходить.

Сходил:

Поля зрения снова не проверяли, там за установкой посидеть времени не было (в конце приема пришел), поэтому записали старые данные. Из новых - "затушивание", или что то вроде, зрительного диска справа.


Пошел к нейрохирургам:

"Вот где операцию делали, туда и идите. Пусть там с Вами разбираются"


В 40 больнице к нейрохирургам запись по телефону, а по телефону хрен дозвонишься. Поясняю я в онкологии. Мне ответили, что у меня неотложное состояние и в наглую нужно идти и просить меня принять.


Ну пришел, в регистратуре отправили к заведующей, там она занята чем то. Жду, периодически напоминаю, что я все еще тут. Потом подошел заведующий другого отделения. Вот он меня и принял. Я пояснил, что вот так и так, такие вот дела, течет после пробуждения утром немного. В это время, если хоть немного вперед наклониться, то с носа капает прозрачная жидкость. Через час - два можно уже более менее жить нормально. Пью Достинекс, и вот на фоне лечения появились протечки. Сначала меня хотели положить в больницу и провести шунтирование, потом сказали, что нет, нужно контраст в позвоночник вколоть, наклонить меня и провести КТ, чтобы видно было, откуда конкретно течет. Потом решили, что нужно МРТ, срочности нет, иди записывайся, будем действовать в плановом режиме. Если сильнее будет течь, тогда будем уже че то делать.

Пошел записываться, а там ближайшая запись почти через месяц. Пошел проситься платно, а то профессор говорит, что у меня неотложное состояние, а другие считают, что нет. Тетеньки в кабинете МРТ тоже говорят, что не нужно платно, подождешь. Я настоял. 6к рублей, 5 дней, и вот я в томографе.


На этот раз мне дали диск. Постарался найти те же снимки, которые выложил в прошлый раз. Вот картинки:

Хорошие новости, опухоль в половину стала меньше. Нейрохирург пояснил, что опухоль была как пробка, вот и полилось. Попросил оставить доки, чтобы с коллегами посовещаться в другой день, а то уже конец рабочего для был.


Пришел в другой день. Мне сказали, что ничего делать сейчас не будем, наблюдайся и лечись у эндокринолога. МРТ нужно будет повторить в феврале - марте. Ну ок.

Сходил к нейроофтальмологу: Примерно тоже самое. Краевой отек диска зрительного нерва

Сдал кровь на гормоны 26.10.2018. Не в норме только ТТГ (щитовидка) - 5.05 мкМЕ/мл, при норме 0.27 - 4.20 и пролактин 1788 нг/мл (37905,60 мЕд/л). Как то один раз было хреново: тяжело дышать, мутит, ощущение, будто в обморок упаду. Пришел домой и померял давление: 105 на 59, 62 уд/мин. С этими новостями пришел к эндокринологу. На счет щитовидки мне сказали, что на фоне лечения это нормально и ничего страшного. На счет давления. Меряю дома, вроде как ниже чем обычно (обычно что то типа 115 на 72), но я слышал, что автоматические тонометры занижают давление, да и я может быть не так меряю. Меряет врач - 120 на 80 всегда. Потом я как то в программку на телефоне стал заносить данные, и на фоне лечения давление все ниже и ниже становилось, от самочувствия слабо зависело, а у врача неизменно 120 на 80. Написали сдать пролактин через месяц.


29.10.18 стал принимать 0.75 мг (1.5 таблетки) 2 раза в неделю.

24.11.18 пролактин 1150 нг/мл (24380,00 мЕд/л). Вот тут я заметил, что пролактин не так сильно падать стал, как раньше. Думал может таблетки фальшивые подсунули в аптеке, не такие эффективные.


*С этим вопросом я вышел в интернет.jpg*


Почитал всякие диссертации про пролактиномы, ликворею и прочее. Там написано, что пролактин будет падать не линейно, и это типа нормально. И что у молодых людей с космическим уровнем пролактина, гигантскими размерами пролактиномы с прорастанием в окружающие структуры, пролактинома очень хорошо поддается лечению таблетками.


26.11.18 стал принимать 1 мг (2 таблетки) 2 раза в неделю.

Течи по утрам вроде как меньше стали. И теперь нужно спокойно посидеть не пару часов, как раньше, а пол часа всего. Но если как то наклониться, то по прежнему капелька потекти может. Стал замечать у себя апатию, безразличие к своему состоянию, нежелание что либо делать, даже в душ сходить порой лень.


10.01.19 пролактин 635,1 нг/мл (13464,12 мЕд/л). Начал замечать, что вроде как иногда подташнивает, но довольно редко. Бывало левый бок болит. Не могу как то связать это с приемом таблеток. Бывает тянущее ощущение в затылке. Еще будто бы на переносицу надавили и отпустили. Было, что просыпаюсь, и пальцы на руках сжать сложно до конца, и это ощущение примерно до локтей передается. Колени побаливают, плечи, но это у меня вроде как старые травмы дают о себе знать, но и читал, что пролактин повышенный на кости может влиять. Частенько при движениях или зеваниях булькает в голове, кряхтит, скрипит. В последнее время участились случаи, что кажется, будто давление упало, и ща в обморок упаду. Замечал ухудшение общего самочувствия в первые 2 недели после повышения дозы таблеток, а потом вроде как нормально.


Недавно был у эндокринолога, дозу таблеток оставили пока без изменений. Сказали сдать кровь на сТ4, ТТГ, тестостерон, сахар. Кортизол в суточной моче. Осталось записаться на МРТ, на этот раз сделаю бесплатно. И схожу еще на консультацию к челюстно лицевому хирургу. Пока на этом все.


Я видел, тут есть нейрохирурги @Paraxism, @MrLindsey. Можете как то прокомментировать мою ситуацию?

Показать полностью 14
108

От вазотомии до аденомы гипофиза (пролактиномы)

Здравствуйте, мне 21 и у меня аденома гипофиза. Постараюсь описать свой, так сказать, экспириенс. Возможно будет много не очень нужной информации, но она может помочь кому то вовремя заподозрить у себя болячку, так что сильно не пинайте.


*  В возрасте 2 лет сильно ударился об угол тумбочки головой, зашивали, остался шрам;

*  В 7 лет разбил нос об лед;

*  В 9 слетел с карусели и ударился об соседствующую качель лицом. Пол лица было в синяках, даже ухо. Шатались немного 8 передних, уже коренных, зубов. Так заработал себе небольшое искривление носовой перегородки;

*  в 13 лет лежал дней 9 в больнице по поводу скачков давления, головокружений, крови из носа (преимущественно из правой ноздри). Написали диагноз ВСД, но мы ведь знаем, что это не диагноз, и его ставят, когда не знают, че с тобой происходит.


Ну и вообще в детстве меня частенько тошнило от всяких химозных запахов, запахов в салоне автомобиля, от пахучек всяких, укачивало в транспорте, кружилась голова и иногда текла кровь из носа. На счет крови из носа обращался к ЛОРу. Говорил, что искривлена перегородка и сосуды в носу ломкие и слабые, нужно принимать аскорутин и капать аминокапроновую кислоту. Если искривленная перегородка не мешает дыханию, то ее лучше не трогать.


Далее вроде как лучше себя чувствовать стал, видимо, перерос болячки. В подростковом возрасте росли усы как у всех, но вот мне 21, а бороды до сих пор нет. Вырастает пару волосинок и все. Бреюсь 1-2 раза в месяц. Заметил ухудшение общего самочувствия лет в 16-17, вернулись носовые кровотечения, появился оттек в правой ноздре, заметный только при сморкании по утрам, а так не мешающий дыханию. Врачи по старой схеме написали ВСД, перегородка, капайте аминокапронку и кушайте аскорутин. Если дыхание будет ухудшаться, то необходима операция, а это записываться, ехать в другой город, ждать своей очереди и т.д.


Вообще в старшей школе как то настроение поменялось и моя личность. Не мог понять, то ли все это от переходного возраста, учебой, предстоящими экзаменами, поступлением в ВУЗ и прочими проблемами. Раньше всегда был на веселе, душа компании и прочее. А потом вдруг стал интровертом и немного занудой.


На 1 курсе универа жил в общаге, боролся с пиздецом 1 курса, общажной жизни и прочим. Часто простужался, и один раз как то слишком затяжно болел. Вроде как только-только вылечился, а тут опять простудился да еще и с температурой под 38. Врач поликлиники при универе прописала антибиотики, вроде пролечился, а заложенность носа как то не проходит, хоть и не простужен.


Потом вдруг появилась бородавка на пальце руки, дерматолог сказал, что обычная бородавка, можно удалять. Удалили жидким азотом.


Вроде все нормуль было, и где то через год заметил у себя слабость, утомляемость, депрессию, но думал, что при студенческом образе жизни, недосыпаниях, сбитом режиме, нервотрепках и прочим - это нормально, и нужно просто отдохнуть.


Потом были с друганами в батутном парке, и другой посетитель случайно зарядил мне ногой по голове. Не тошнило, голова не кружилась, сознание не терял. Разве что голова болела, шея и при сморканиях немного крови было. На следующий день пошел в травмпункт, сделали рентген головы, сотрясения мозга нет и вообще все нормуль, нужно просто обезболивающие попить и все.


Заложенность носа прогрессировала, при ходьбе как то побаливало между бровями и булькало. При прыжках и беге болело в основном между бровями и во лбу. Я понимал, что надо бы уже сходить к ЛОРу и записаться на операцию. Снова появилась бородавка на пальце уже другой руки, удалили жидким азотом. В середине 3 курса обратился к ЛОРу, сделали рентген, гайморита или чего то такого не обнаружили, пазухи чистые. Меня зачем то лечили виброцилом и лоратодином, хотя я говорил, что у меня нет аллергии. Лечение, естественно, помогло не очень. Далее уже поставили диагноз вазомоторный ринит, прописали назонекс и супрастинекс (дорогие блэт). Лечился супрастинексом 1 месяц, а назонексом 3 месяца. Какие то заметные улучшения наступили только спустя месяц лечения. Потом дышалось очень даже хорошо, но замечал, что в правой ноздре как будто че то мешает, грешил на перегородку.


После прекращения лечения, недели через 2 снова вернулся оттек в носу. Обратился к ЛОРу, сказали, что нужно записаться туда то, и пройти консультацию о проведении операции под названием вазотомия (удаление нижних носовых раковин). Записался, через 2 недели пришел, меня посмотрели, никаких полипов и прочего в полости носа не обнаружили, только оттек в носу из-за разросшихся нижних носовых раковин и немного искривившуюся перегородку. Записали на операцию, она аж через пол года, спросили под наркозом или местной анестезией хочу делать операцию (раскошельтесь на ультракаин 1000р, если местная) и дали направление на всякие анализы и обследования.

Обратите внимание на 1 пункт, где написано, что нужен Общий Анализ Крови, но НИГДЕ НЕ НАПИСАНО, ЧТО НУЖЕН ИМЕННО РАСШИРЕННЫЙ. Из-за этого недочета мне пришлось экстренно сдавать кровь в платной клинике, чтобы меня положили в палату. Так бы пришлось снова записываться, проходить эти обследования, ждать пол года и тратить деньги.


Далее заложенность носа прогрессировала, дошло до того, что вдохнуть мог, а выдохнуть еле как. Хорошо что до операции месяца 2 оставалось. Удивлялся, как люди терпят годами такое состояние и тупо брызгают сосудосужающие. Снова бородавка на другом пальце, уже спрашиваю от чего это вдруг они лезут и лезут. Говорят что город большой, деньги трогаешь, перила и все такое, ну и иммунитет, возможно, ослаб. Из-за неправильного режима сна бывало болела голова, были какие то стреляющие боли от правой части шеи и до правого виска или глаза.


Про операцию можно отдельный пост пилить, но постараюсь вкратце. Приходишь в отделение, документы, все дела, располагаешься в палате, делают мазок из носа, потом тебя опрашивают и смотрят, вставляют в нос длинные металлические палочки с лекарством на ватке, чтобы убрать оттек, и снова смотрят. Лично мне сказали, что хватит вазотомии, и перегородку трогать не нужно, она не мешает носовому дыханию. Далее у врачей проходит консилиум. Каждому говорят когда будут оперировать, а кто под наркозом, с ними еще беседует анестезиолог.


Утром перед операцией меряют давление, ты раздеваешься до трусов и надеваешь чулочки, берешь с собой ультракаин, тебя кладут на каталку, накрывают простынкой и везут в холоднющие подвальные помещения, где находится операционная. Там я лежал и ждал минут 40. Успел замерзнуть. Женщина, которая так же лежала на соседней каталке, попросила мимопроходящую медсестру накрыть ее еще одной простынкой. Я попросил тоже. Потом меня завезли непосредственно в операционную. Пришел оперирующий врач провел вводный инструктаж, что нужно не дергаться, особо не разговаривать, и все, что будет попадать в горло, глотать :D.


Далее накрывают тебе лицо плотной тканью, чтобы ты ничего не видел, оставив место только для оперируемой зоны и рта, протирают нос и вокруг него адским спиртом и начинают колоть нос, внутри носа и нёбо ультракаином. Потом раскрывают одну ноздрю какой то адской штукой, от которой у тебя хрустят кости и хрящики в носу, мажут всякими лекарствами и мазюками, режут эту нижнюю носовую раковину, зашивают/прижигают и переходят на следующую ноздрю.


Когда с этим было закончено, оперирующий врач начал просматривать пазухи и че то заметил. Сказал, что щас вернется. Пришел, говорит, что в правой пазухе на глубине 6-7 см сидит атрохоальный полип, при осмотре его не увидел никто (я делал только рентген, потому что мне не требовалось делать КТ, я ее мог сделать только для своего успокоения платно), и вот нужно удалять. Ну ок, удалили. Когда его достали из носа, я почувствовал нутром, что врачи будто бы в ахуе, попросили не глотать, собрали кровушку (как я потом понял, для гистологии), спрашивали о самочувствии. Ну у меня все хорошо. Я спросил, че там, как, все нормально? Врач сказал, что нормально. Смотрит у меня в носу и просит сказать раз, два, три. Я сказал, потом спросил, а для чего это? Мне ответили, чтобы посмотреть, как перегородка работает. Врачи закончили, вставили мне в нос тампоны (довольно неприятно), прикрепили к носу "памперс", собрали инструменты, убрали накидку с лица. Врач спросил, хочу ли я посмотреть, че надергали из меня, я сказал: конечно. Мне показали, что вот левая носовая раковина, вот правая, а вот... полип. Смотрю, а там какая та непонятная ебота, вроде выглядит как обычный полип, но на нем сосуды какие то, и цвет местами сероватый. Я сказал, ужас, и отвернулся, ну и меня увезли.


Через сутки нас позвали на вынимание тампонов. Заходим по очереди, 3-4 врача сидят и вынимают тампоны. Там был и оперирующий меня врач. Он вдруг подозвал к себе именно меня, хотя я мог подойти к любому из присутствующих врачей. Вынул тампоны, кровь стекла. Он посмотрел, сказал, что все хорошо. Мне промазали лекарством в носу до горла длиннющими металлическими палочками с ваткой, приложили к носу кусок марли, чтобы туда кровь оставшаяся стекала, сказали промывать нос 3-4 раза в день аквамарисом или аквалором и отправили в палату. Чувствовал я себя заебись. На следующий день снова промазывание. Спросили о самочувствии, я ответил, что все отлично. Так я пролежал неделю, а потом меня выписали, дав справку.

Через 2 недели мне позвонили и сказали, что нужно явиться на дообследование. Я спросил зачем, поскольку меня ничего не тревожит и я себя хорошо чувствую, разве что отходняки послеоперационные. Ответили, что не по телефону, нужно прийти. Ну ок. Пришел, показывают заключение гистологии:


*  Слизистая респираторного типа с сосудистым сплетением;

*  Недифференцированный рак с воспалением и кровоизлиянием.


Шок, ступор, страх, непонимание. Я спрашиваю, что нужно делать? Мне говорят, что нужно записаться там то, чтобы вас записали в онкологию. Там пересмотрят ваши стекла (там кровь) и блоки (кусочки тканей). Мне выдали мои стекла и блоки, и я пошел домой. Решил пока никому не рассказывать, вдруг не подтвердится.


Итак, я в онкологии. Пришел к ЛОРу-онкологу, отправили на пересмотр:


*  в одном из полипов мономорфная, крупноклеточная низкодифференцированная опухоль. Гистогененз на светооптическом уровне затруднен. Сукаблят


Вернулся к ЛОРу-онкологу, вышла медсестра, собрала карты и зашла в кабинет. По очереди выносят людям заключения, что мол все нормуль, не подтвердилось. Сижу жду своей очереди. Мою карту всё не выносят. Сижу нервничаю. Подождал еще пол часа. Постучался и спросил, не забыли ли про меня? Ответили, что сейчас вызовут. Вызвали, начали опрашивать на жалобы, щупать меня, смотреть горло и нос. Потом сказали, чтобы узнать, что это такое, нужно делать еще исследования, мол глазом в микроскоп не все увидишь. Вот проходи быстрее обследования и мы думаем, что диагноз не подтвердится. Предварительно написали С30.0 З.Н. полости носа? ДН? Дали направление:


*  ПЭТ/КТ для оценки метаболической активности основного очага, наличия мтс (походу, метастаз);

*  ИГХ в СОПАБе (патологоанатомическое бюро).


Сразу пошел в здание ПЭТ-Технолоджи, мне сказали, что запись через 10 дней. Я сообщил, что мне врач сказал проходить исследование как можно быстрее. Мне ответили, что бывает так, что люди не могут прийти или еще какие нибудь причины, и бывает освобождается место. В общем надо быть готовым к звонку с 6 до 10 утра и не кушать в это время. Если в это время вам не позвонили, то можно кушать и ждать следующего дня. Дали ампулу с контрастом, анкету и памятку.

Стоит отметить, что ПЭТ/КТ подразумевает введение через вену РФП (радиофарм препарата), и только через 8 часов он распадается до приемлемого уровня. Пока он не вывелся из организма и не распался, вы являетесь источником излучения. Поэтому после обследования пьем много воды, близко к родственникам не подходим и не задерживаемся в общественных местах.


В общем пришел домой, рассказал обо всем брату (снимаем квартиру на период обучения). На всякий случай уже стал придерживаться диеты, а то вдруг уже на следующий день позвонят (не прогадал). Утром пошел на учебу, не кушал, в пол 10 утра звонят и говорят приходить после обеда. Свалил с учебы, пришел домой, начал разводить ампулу к контрастом и пить по инструкции. Приехал в ПЭТ-Технолоджи, меня отправили на консультацию к радиологу. Объяснили что и как, опросили меня, измерили рост и вес, проверили сахар в крови глюкометром, спросили об аллергиях. Радиолог сказал, что после операции прошел только месяц, желательно бы 3 месяца. А то в месте очага сейчас идет восстановительный процесс, и поэтому там все засветит и ничего толком видно не будет, и нельзя будет определить распространение в головном мозге. Но будет сканирование всего тела, и посмотрят наличие метастаз. Ну ок.


Жду своей очереди. Меня подзывают и ведут по большим, просторным и светлым коридорам, везде кодовые двери, предупреждения, значки радиации. Приводят в кабинет, садят на здоровенное кресло-стул, похожее на стоматологическое. Персонал спрашивает, кто это меня такого молодого к ним привел. Пока я рассказывал, мне вставили в вену катетер, через окошко персоналу передали радиофарм препарат в металлическом сундучке, ввели его мне в вену, я ничего не почувствовал. Отвели в помещение релакса, где люди просто лежат не двигаясь, чтобы радиофарм препарат равномерно распределился по телу. Переоделся в теплую одежду (в комнате с томографом очень холодно) без застежек и металлических частей и лег отдыхать (минут 20). Потом отвели к двери, где находится томограф, усадили на диванчик, и сказали ждать, пока позовут.


Позвали, я лег в томограф, сказали не двигаться, не кашлять и прочее. Обследование минут 15-20 проходило в моем случае. Ну загрузили меня, покатали немного на столике туда сюда. Когда луч проходит через тело, довольно тепло становится. Как все закончилось, отвели в комнату с диванчиком и телевизором с журнальчиками, сказали отдыхать минут 10-15 и идти домой. За результатом через 3-4 дня. ПЭТ/КТ была бесплатной. Когда шел домой, во всем теле было очень тепло, мутило, кружилась голова. Потом начало побаливать горло, воспалились десны, голова пиздец кружилась.


На следующий день пошел в патологоанатомическое бюро для ИГХ, там сказали, что если есть какие то исследования, то дать им, чтобы диагноз был точнее. Я сказал, что вот сделал ПЭТ/КТ и жду результаты. Ответили, чтобы я им на почту скинул их, все равно исследование 3-4 недели делается. Уточнили, что это исследование будет платным, т.к. стекла и блоки получены в 40 больнице. А если бы они были получены при биопсии у онколога, то было бы бесплатно. Стоило это мне около 6500 руб.


Тем временем получил результат ПЭТ/КТ.

Отослал результаты в патологоанатомическое бюро.


Обратился к неврологу по поводу головокружения и болей в голове. Показал документы, что у меня не все так просто. Прописала вестикап 1 месяц пить. Эффект будет где то через месяц. Боли возможно из-за шейного осеохондроза, нужно делать МРТ.


В горле когда болело, заметил, что в миндалинах появились тонзиллитные пробочки. Пришел к ЛОРу, говорит, что воспалительного процесса и ангины нет, миндалины не увеличены и ваще по хуйне у меня, щас пропишем тебе дорогущий полиоксидоний на 10 дней, тонзилгон и полоскание горла солью, содой и йодом - будешь как бычара. Во время лечения парочку пробок маленьких вылезло и все. Особого эффекта в лечении не заметил. Снова ЛОР. Говорит, что нужно узнать, почему лечение не помогло, и надо сделать мазок из горла и носа на микрофлору и устойчивость к антибиотикам. Ну ок.


Тем временем получил результат ИГХ.

Говорят мне, что понаписывали вам там всякого, а у вас все попроще, нужно полечиться и все.


С результатами ПЭТ/КТ и ИГХ, пошел к ЛОРу-онкологу, он говорит, что опухоль доброкачественная, но вот она инвазивная, что характерно злокачественным, во всяком случае, я вас направляю к нейрохирургам, они этими опухолями занимаются.


Пришел к нейрохирургам, рассказал все что вспомнил (рассказал еще о том, что радиолог перед ПЭТ/КТ сказал: после операции прошел только месяц, желательно бы 3 месяца. А то в месте очага сейчас идет восстановительный процесс, и поэтому там все засветит и ничего толком видно не будет, и нельзя будет определить распространение в головном мозге), они говорят нужно делать МРТ с контрастом, но у нас контраста сейчас нет. Но у тебя какой либо клиники четкой нет, поэтому занимайся учебой, получай диплом (там месяца полтора оставалось), сходи к эндокринологу и окулисту. А потом к нам, контраст уже будет.


Сходил к эндокринологу. Осмотрела, опросила, все нормально. Выписала направление на анализ крови на гормоны: ТТГ, Пролактин, ИФР-1, Кортизол, ЛГ, ФСГ и Тестостерон. Сказала, что нужно МРТ гипофиза с контрастом.


Сходил к окулисту, все у меня нормуль, только агиопатия сосудов, но говорит, что после перенесенной операции это нормально, и надо покапать глаза вид-комодом 1 месяц.


Сдал кровь на гормоны, сделал мазок из горла и носа.


Учеба, диплом, все дела.


Я снова у нейрохирургов, сделали МРТ.

Снимки выбрал самые интересные.

Нейрохирурги сказали, что это вообще редкость, когда аденома гипофиза прорастает в кость. На счет операции они пока точно сказать не могут. Сказали, что они ее всю не уберут. Могут ее уменьшить, а потом надо будет ее добить химио/лучевой терапией. Оперировать в 40 больнице и еще в нескольких других не возьмутся, поскольку опухоль большая, и они все равно направляют обратно в онкологию. Сказали снова идти к эндокринологу (результаты анализов только в тот день получил).


Сходил с результатами к эндокринологу. Все в норме, кроме пролактина (149,46 нг/мл при норме 2,83-10,69). Дали направление для анализа крови на макропролактин, сахар, калий, натрий и хлориды, анализа суточной мочи на кортизол.


С результатами мазка из горла и носа пошел к ЛОРу. Обнаружили в носу Staphylococcus haemolyticus 10^3, в горле Staphylococcus aureus 10^5. Говорит, что антибиотики рано, и нужно полечиться хлорофиллиптом, мирамистином и исмигеном, 10 дней подождать и снова сделать мазок из горла и носа (заебала).


Звонят мне с лаборатории и говорят, что у вас макропролактин высокий, и нужно явиться и бесплатно пересдать кровь, чтобы исключить ошибки. Я говорю, что знаю, почему у меня макропролактин повышен, дайте мне результат. Говорят мол лаборатория не выдает и нужно пересдать. Выспитесь, никаких половых контактов и прочее.


С имеющимися результатами снова к эндокринологу. Все нормуль, но нужен анализ на макропролактин. Говорит, что разговаривал с главным эндокринологом города и, возможно, получится обойтись без операции, и полечиться таблетками, раз уж опухоль клинически себя толком не проявляет и не мешает.


Вот такие дела, ребята. Не болейте, делайте МРТ, обследуйтесь, не забивайте на свое здоровье. Жду вопросов и советов.


Вот всякие статейки на эту тему:

http://www.neuro-med.ru/Adenoma%20hipophis.htm

http://health-ua.com/article/5984-kabergolin-v-lechenii-inva...

https://www.lvrach.ru/2013/03/15435649/

https://diseases.medelement.com/disease/%D0%BF%D1%80%D0%BE%D...

http://onkolib.ru/dobrokachestvennye-opuxoli/adenoma-gipofiz...

http://onkolib.ru/dobrokachestvennye-opuxoli/prolaktinoma/

https://doctor-neurologist.ru/adenoma-gipofiza-simptomy-i-le...

http://msk-artusmed.ru/pozvonochnik/adenoma-gipofiza-golovno...

Показать полностью 15
Отличная работа, все прочитано!

Темы

Политика

Теги

Популярные авторы

Сообщества

18+

Теги

Популярные авторы

Сообщества

Игры

Теги

Популярные авторы

Сообщества

Юмор

Теги

Популярные авторы

Сообщества

Отношения

Теги

Популярные авторы

Сообщества

Здоровье

Теги

Популярные авторы

Сообщества

Путешествия

Теги

Популярные авторы

Сообщества

Спорт

Теги

Популярные авторы

Сообщества

Хобби

Теги

Популярные авторы

Сообщества

Сервис

Теги

Популярные авторы

Сообщества

Природа

Теги

Популярные авторы

Сообщества

Бизнес

Теги

Популярные авторы

Сообщества

Транспорт

Теги

Популярные авторы

Сообщества

Общение

Теги

Популярные авторы

Сообщества

Юриспруденция

Теги

Популярные авторы

Сообщества

Наука

Теги

Популярные авторы

Сообщества

IT

Теги

Популярные авторы

Сообщества

Животные

Теги

Популярные авторы

Сообщества

Кино и сериалы

Теги

Популярные авторы

Сообщества

Экономика

Теги

Популярные авторы

Сообщества

Кулинария

Теги

Популярные авторы

Сообщества

История

Теги

Популярные авторы

Сообщества