Боль в локтевом суставе. Часть II. Воспалительные заболевания
Спустя мгновение продолжаем разбирать почему может болеть локтевой сустав.
В первой части говорили про эпикондилит.
Во второй поговорим про воспалительные заболевания.
РЕВМАТОИДНЫЙ АРТРИТ - хроническое иммуновоспалительное заболевание суставов и внутренних органов. Болезнь, как правило, характеризуется симметричным поражением суставов кистей и стоп, а также крупных суставов.
И редко, но не с нулевой вероятностью, может произойти дебют с локтевого сустава.
Описан клинический случай (есть вопросы).
Проявляется: болью, скованностью в суставе (больше в утренние часы), ограничением подвижности, может быть заметна припухлость, но не должно быть красноты.
Диагностика:
Лабораторные отклонения - повышение СОЭ, СРБ, ревматоидного фактора, АЦЦП - в подавляющем большинстве случаев.
Инструментальная:
- Рентгенография на ранней стадии не должна выявить отклонений.
- УЗИ - поможет определить наличие жидкости в суставе, утолщение оболочки сустава и степень кровоснабжения, по сути, исчерпывающий метод для подтверждения артрита.
- МРТ - когда нужно дополнить УЗИ, оценить наличие отека костного мозга.
- Биопсия синовиальной оболочки - если совсем непонятно, что за артрит.
Лечение: подбор основной терапии (назначается не в интернете, а доктором на приеме, про принципы лечения писал ранее).
ГРУППА ПЕРИФЕРИЧЕСКИХ СПОНДИЛОАРТРИТОВ (в том числе анкилозирующий спондилит, псориатический артрит, реактивный артрит, ВЗК-ассоциированный спондилоартрит) -
семейство хронических иммуноопосредованных заболеваний суставов/позвоночника/энтезов/глаз/кожи/кишечника по отдельности или сразу.
Для данной группы заболеваний изолированное воспаление локтевого сустава уже не является редкостью.
Чаще поражаются энтезы - места крепления сухожилий к костям (примерно в 55% по скромным данным статьи).
Применительно к локтевому суставу обычно вовлекается общее сухожилие разгибателей, реже - общее сухожилие сгибателей и сухожилие треглавой мышцы. Примерно в 20% случаев возникает синовит - воспаление оболочки сустава с выпотом, утолщением синовии и усилением кровоснабжения.
Проявляется: болью и тугоподвижностью, усиление в момент нагрузки.
Помимо локтевого сустава могут быть (должны оцениваться) боли в других суставах/энтезах, воспалительные боли в спине.
Диагностика: специфической лабораторной картины может не быть.
Инструментально:
- Рентгенография на ранних этапах также может не дать полезной информации.
- УЗИ - метод, позволяющий оценить состояние сухожилия (волокнистость, отек, утолщение, кровоснабжение, наличие кальцинатов), место крепления к кости (эрозии), состояние оболочки сустава (выпот, утолщение, кровоснабжение) - все моменты которые нужны для диагностики.
- МРТ - более обширная картина сустава, включая определение отека костного мозга.
Лечение: основного заболевания (разбирали здесь).
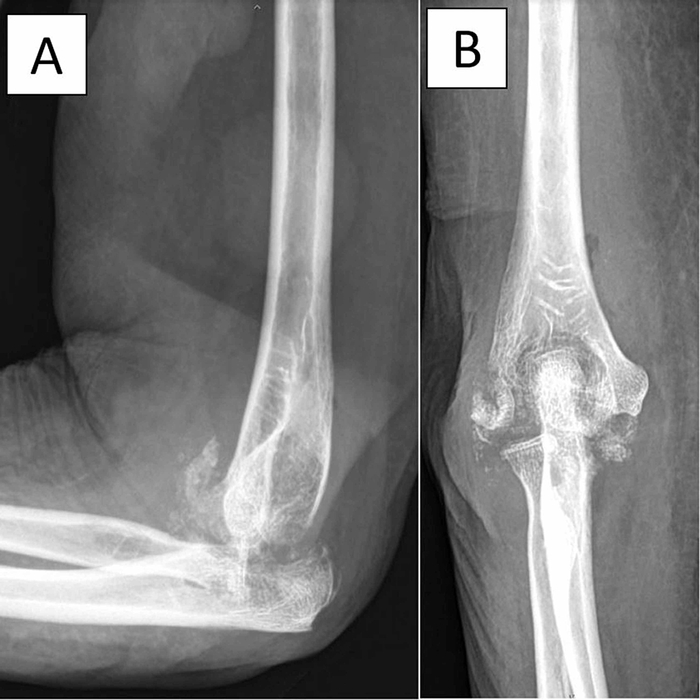
МИКРОКРИСТАЛЛИЧЕСКИЕ АРТРИТЫ - хронические аутовоспалительные заболевания, связанные с отложением в тканях избыточно накопленных веществ (кристаллы моноурата натрия (более известные, как мочевая кислота), пирофосфата кальция, гидроксиапатита кальция). Организм реагирует на такие запасы острым воспалительным процессом. Считается, что такая реакция предопределена генетическими причинами.
Проявления: острая боль в суставе с припухлостью и покраснением, нарастает в течение первых суток, может пройти самостоятельно, но не дольше чем за 2 недели. Характерны повторяющиеся атаки, при многолетнем процессе, отложения кристаллов (в частности моноурата натрия при подагре) видны визуально в виде мягких подкожных образований - тофусов.
Описан интересный клинический случай с огромным, но бессимптомным расширением локтевой сумки.
Диагностика:
“Золотой стандарт” - взять жидкость из сустава и посмотреть под микроскопом (клинические рекомендации по подагре от 2025г. предлагают это делать даже из сустава вне приступа, что звучит несколько негуманно). Метод хороший, но не всегда выполнимый).
Лабораторная диагностика:
подагра в момент приступа - повышение СОЭ, СРБ; мочевая кислота повышена, но может быть в норме,
вне приступа - СОЭ, СРБ в норме; мочевая кислота повышена.
пирофосфатная артропатия - в момент приступа - повышение СОЭ, СРБ; специфических лабораторных маркеров нет.
Инструментальная диагностика:
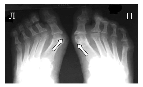
Рентгенография - в начальной стадии при подагре почти не дает информации; при длительном течении, когда кристаллы накапливаются внутри кости, их видно как четкие округлые образования - “пробойник ”.
При пирофосфатной артропатии иногда можно увидеть кальцификацию суставного хряща.
УЗИ - отличный метод для безопасной диагностики, признаком подагры является “двойной контур” - отложение кристаллов мочевой кислоты на суставном хряще, “снежная буря” - скопление кристаллов в суставной полости. Если это видно при исследовании, диагноз почти "в кармане", но, к сожалению, такая картина визуализируется не всегда.
При пирофосфатной артропатии - кристаллы, как правило, внутри хряща.
При гидроксиаппатитной артропатии - внутри мягких тканей вокруг сустава, как правило, сухожилия.
МРТ - обычно малоинформативно
Лечение: снятие приступа и устранение накопленных запасов кристаллов (применимо только для подагры).
СЕПТИЧЕСКИЙ (ИНФЕКЦИОННЫЙ) АРТРИТ - острое инфекционное заболевание сустава, возникающее в результате попадания в него патогенных микроорганизмов - через кровь (наиболее часто), лимфу или напрямую через раневую поверхность. Без своевременного лечения приводит к быстрому разрушение сустава и потери его функции.
Причиной в большинстве случаев является золотистый стафилококк (40-80%), в сустав он чаще попадает через кровь (70%).
Другими возможными возбудителями могут быть стрептококки, бруцеллы, грибки, а также микобактерия туберкулеза.
С микобактерией туберкулеза есть особенности, внелегочный туберкулез встречается редко, изолированный внелегочный туберкулез с поражением одного сустава еще реже, поэтому настороженность низкая, но на задворках сознания все равно должна присутствовать. Протекает атипично с хронической болью, когда не складывается впечатление об остром процессе; без эффекта от стандартной антибактериальной терапии. К моменту постановки диагноза уже может быть разрушение сустава.
Лечение заключается в подборе противотуберкулезных препаратов, как правило, на длительный срок.
Проявляется: острая боль (в 81,7% случаев), покраснение, припухлость, ограничение движений в суставе, лихорадка (3,7% случаев).
очень похоже на микрокристаллические артриты
Акцентируем внимание на участки локальной травматизации в проекции локтя.
Диагностика: в каждом случае подозрительном на септический артрит необходимо делать пункцию сустава с исследованием полученной жидкости - бактериальный посев с определением возбудителя и чувствительности к антибиотикам, исключения кристаллов мочевой кислоты, определения клеточного состава.
При подозрении на внелегочный туберкулез - окрашивание на микобактерии туберкулеза, ПЦР и культуральное исследование на туберкулез.
Лабораторная диагностика - лейкоцитоз с нейтрофильным сдвигом (у 48%), повышение маркеров воспаления СОЭ, СРБ.
С-реактивный белок имеет большее прогностическое значение, быстрее повышается при бактериальной инфекции (встречается у 95% пациентов с септическим артритом).
может сбить с толку при наличии у пациента хронического аутовоспалительного заболевания или приема кортикостероидов.
Повышение прокальцитонина - более точный показатель бактериальной инфекции.
Инструментальная диагностика.
- Рентгенография - в основном для исключение перелома (если была травма), определения стадии деструкции сустава.
- УЗИ - видно наличие и количество жидкости в суставе, характер жидкости (однородная/неоднородная), целостность окружающих структур, усиление кровотока.
По УЗИ можно заподозрить септический артрит, но похожая картина встречается и других воспалительных заболеваниях.
УЗИ также необходима для точного удаления жидкости.
- МРТ - более точный метод диагностики, позволяет оценить состояние мягких тканей и костной ткани, увидеть отек кости, заподозрить остеомиелит.
Инфекционный артрит с остеомиелитом.
Лечение - антибиотики широкого спектра действия, после определения возбудителя - коррекция исходя из выявленного патогена.
Кто в зоне риска?
- пожилые люди с ослабленным иммунитетом;
- лица, с протезированным суставом;
- пациенты с ревматологическим заболеванием на фоне
- иммуносупрессивной (гормональной) терапии;
- пациенты с сахарным диабетом:
- пациенты на гемодиализе.
- лица замеченные в употреблении внутривенных наркотических средств в сомнительных эпидемиологических условиях.



















