42

Случаи из практики: брешь в броне

Серия Случаи из практики

Всем привет!

Сегодня очередной случай из практики. Ничего особенного, видим мы это довольно часто, но менее интересно от этого не становится.

Для тех, кто видит меня в первый раз, представлюсь: врач-рентгенолог, выкладываю здесь в соответствующей серии интересные (на мой взгляд) случаи из своей практики.

Женщина, 33 года, жалобы на затруднение дыхания, одышку, боли в грудной клетке. Клиницисты назначают компьютерную томографию с вопросом есть ли эмболия лёгочных артерий. Не вопрос, делаем. Эмболию не находим, но как случайную находку видим это, а именно отверстие в грудине:

аксиальный срез

аксиальный срез

сагиттальный срез

сагиттальный срез

корональный срез (реконструкция с толщиной среза 8 мм)

корональный срез (реконструкция с толщиной среза 8 мм)

Дырка!

3D-реконструкция

Вопрос: Опасно или нет? Что делать?

Ответ: Это т.н. отверстие грудины или перфорированная грудина или sternal foramen - ни что иное, как врождённое отверстие в грудине (кость, прикрывающая спереди органы средостения и, частично, сердце), которое встречается у от 2,5% до 13,8% (по разным данным) населения. Особой клинической ценности данная находка не имеет, считается анатомическим вариантом нормы, и делать с этим ничего не нужно, но указывать стоит (на всякий случай, вдруг у пациентки будет потом когда-нибудь подозрение на патологию грудины, например после травмы / огнестрела или при подозрении на разрушение кости по причине рака / метастазов) + полезно об этом знать при иглоукалывании (если есть точки в районе грудины), чтобы не повредить средостение / сердце.

Если есть вопросы - пишите. Увидели грамматическую / иную ошибку в тексте - дайте знать: исправлю, пока не поздно.

Всем хорошей пятницы и хороших выходных!

1
а не это вот все
Автор поста оценил этот комментарий

То есть раньше ей эта дырка не мешала, а вдруг стала мешать?

раскрыть ветку (1)
2
DELETED
Автор поста оценил этот комментарий

нет, это случайная находка, которая к жалобам пациента отношения не имеет

3
Автор поста оценил этот комментарий

Симптомы пациентки из-за этого отверстия?

раскрыть ветку (1)
2
DELETED
Автор поста оценил этот комментарий

нет, случайная находка

1
Автор поста оценил этот комментарий
Попробую узнать в понедельник детали, если интересно, и отпишусь
раскрыть ветку (1)
1
DELETED
Автор поста оценил этот комментарий

было бы здорово )) спасибо!

показать ответы
1
Автор поста оценил этот комментарий
О, коллега (врач, но не рентгенолог), можно вам один снимок скинуть? Вдруг скажете, что с пациентом...
раскрыть ветку (1)
1
DELETED
Автор поста оценил этот комментарий

Кидайте изображение или залейте куда-нибудь (без данных пациента) и киньте ссылку под одним из старых постов.

показать ответы
1
Автор поста оценил этот комментарий

Можно как-то в "домашних условиях" из 2д снимков сделать такую 3д реконструкцию или нужен труднодоступный софт?

раскрыть ветку (1)
1
DELETED
Автор поста оценил этот комментарий

Конкретно эта реконструкция - т.н. cinematic rendering или специальная "реалистичная" реконструкция, и она идёт за деньги (мы пользуемся на работе софтом от Сименса). Но есть и бесплатный софт типа Horos (я просто пользуюсь дома маком), где есть возможность обычной 3Д-реконструкции с различными параметрами (кости, мягкие ткани и т.п.). Для подобных реконструкций нужны обследования с тонкими срезами (КТ или МРТ с толщиной среза менее 2 мм, а лучше 1 мм или ещё меньше).

1
Автор поста оценил этот комментарий

у себя такое можно нащупать ?

раскрыть ветку (1)
1
DELETED
Автор поста оценил этот комментарий

теоретически можно, если отверстие относительно большое (пишут может быть до 16 мм в диаметре)

1
Автор поста оценил этот комментарий
Немножко могу ошибаться в некоторых терминах, румынский не мой родной, но учат нас на нем и работаем тоже на нем
раскрыть ветку (1)
0
DELETED
Автор поста оценил этот комментарий

Ничего страшного, всё понятно. Я тоже рентгенологию, по большому счёту, на немецком учил ))) мой диагноз по снимку - в самую точку оказался (учитывая, что скопления жидкости в средостении увидеть на снимке лёжа невозможно, равно как и отличить эмпиему от другого плеврального выпота) :-)

показать ответы
1
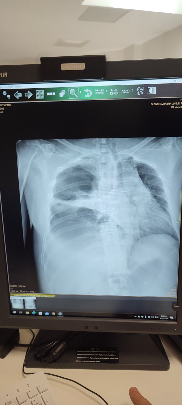
Автор поста оценил этот комментарий
В двух словах там пневмоторакс массивный и эмпиема плевры. Это коллега написал.
завтра зайду в больничную систему и гляну конкретней...
раскрыть ветку (1)
0
DELETED
Автор поста оценил этот комментарий

спасибо!

показать ответы
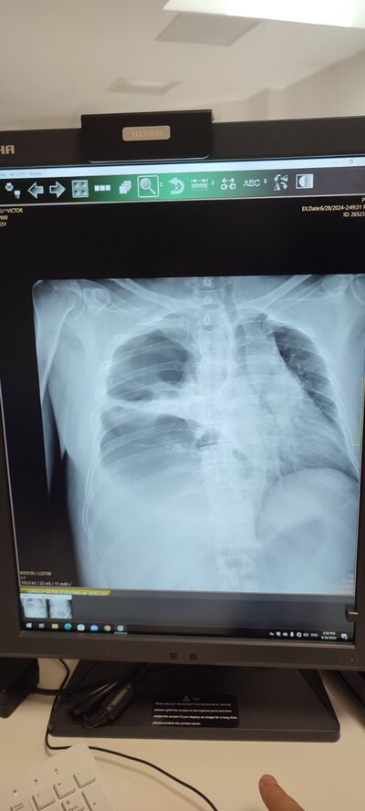
1
Автор поста оценил этот комментарий
Вот. Если получится что-то понять... Мне тоже скинули, оригинала нет
Иллюстрация к комментарию
раскрыть ветку (1)
0
DELETED
Автор поста оценил этот комментарий

Очень похоже на напряжённый пневмоторакс справа с коллабированным правым лёгким (отсутствие лёгочного рисунка справа, смещением средостения влево). Скорее всего есть ещё выпот плевральный справа, тогда получается гидро(серо)пневмоторакс справа.

показать ответы

Темы

Политика

Теги

Популярные авторы

Сообщества

18+

Теги

Популярные авторы

Сообщества

Игры

Теги

Популярные авторы

Сообщества

Юмор

Теги

Популярные авторы

Сообщества

Отношения

Теги

Популярные авторы

Сообщества

Здоровье

Теги

Популярные авторы

Сообщества

Путешествия

Теги

Популярные авторы

Сообщества

Спорт

Теги

Популярные авторы

Сообщества

Хобби

Теги

Популярные авторы

Сообщества

Сервис

Теги

Популярные авторы

Сообщества

Природа

Теги

Популярные авторы

Сообщества

Бизнес

Теги

Популярные авторы

Сообщества

Транспорт

Теги

Популярные авторы

Сообщества

Общение

Теги

Популярные авторы

Сообщества

Юриспруденция

Теги

Популярные авторы

Сообщества

Наука

Теги

Популярные авторы

Сообщества

IT

Теги

Популярные авторы

Сообщества

Животные

Теги

Популярные авторы

Сообщества

Кино и сериалы

Теги

Популярные авторы

Сообщества

Экономика

Теги

Популярные авторы

Сообщества

Кулинария

Теги

Популярные авторы

Сообщества

История

Теги

Популярные авторы

Сообщества