Метастатическая меланома головного мозга + новые КР по меланоме



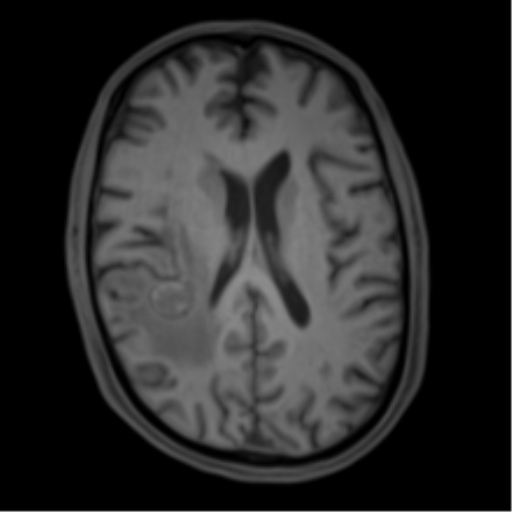
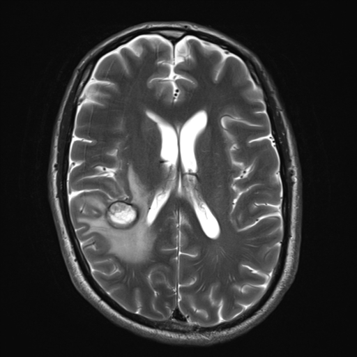
Изображения и частично текст взяли с радиопедии radiopaedia.org. 1 МРТ Т1, 2 МРТ Т2 (кейс 1), 3 - КТ с контрастом (кейс 2)
Меланома — это не просто самый агрессивный тип рака кожи, отличающийся высокой частотой метастазирования. Ее распространенность неуклонно растет во всем мире, и столкнуться с этой проблемой может любой человек, особенно со светлым фенотипом кожи и имеющий в анамнезе солнечные ожоги. Ключевыми для раннего обнаружения являются клинические симптомы, такие как изменение существующей родинки (симптом «гадкого утенка») или ее дерматоскопические особенности (симптом «красной шапочки»). Для пациента критически важно понимать эти признаки, так как ранняя диагностика напрямую определяет благоприятный прогноз. Для лечащего врача — это основа онкологической настороженности. Но когда речь заходит о запущенных стадиях, именно данные лучевой диагностики становятся определяющими для тактики лечения.
Метастазы меланомы в головной мозг занимают третье место по частоте среди всех внутричерепных метастазов.
Общая информация
Первичная опухоль: Злокачественная меланома
Вид метастазирования: Метастазы в головной мозг
Эпидемиология
Меланома обладает высокой склонностью к метастазированию в ЦНС. Согласно популяционному исследованию, охватившему 169 444 онкологических пациента в Детройте (1973-2001 гг.), внутричерепные метастазы развивались примерно у 7% пациентов с первоначальным диагнозом меланомы.
Клиническая картина
Наиболее частые симптомы включают головную боль, судороги (эпилептические приступы), изменения психического статуса, атаксию (нарушение координации), тошноту, рвоту и зрительные нарушения. Важно отметить, что примерно 10% пациентов могут не иметь никаких симптомов на момент обнаружения метастазов.
Патология и патофизиология
Метастазы меланомы принято разделять на два типа:
Меланотические: содержат более 10% меланоцитов (пигментированные).
Амеланотические: содержат менее 10% меланоцитов (малопигментированные или беспигментные).
Это разделение критически важно для лучевой диагностики. Исследование Isiklar (1995 г.) показало, что характерные признаки МРТ (гиперинтенсивный сигнал на T1 и гипоинтенсивный на T2) сигнал наблюдается только у меланотических метастазов. К сожалению, на их долю приходится лишь около 25% случаев, в то время как амеланотические метастазы имеют неспецифическую картину.
Визуализационные характеристики
Компьютерная томография (КТ)
Без контраста: Одиночные или множественные узлы повышенной плотности, расположенные на границе серого и белого вещества. Характерны перифокальный отек и частые внутриопухолевые кровоизлияния.
С контрастом: Узлы, как правило, активно накапливают контраст. При дуральной локации их бывает сложно отличить от менингиом.
По данным серии исследований (101 пациент), у 62% пациентов метастазы были множественными, а в 72% случаев они имели повышенную плотность на нативных КТ-сканах. Кистозная дегенерация и некроз для этих опухолей нехарактерны.
Магнитно-резонансная томография (МРТ)
Ключевой особенностью является высокая частота спонтанных кровоизлияний, что делает меланому одним из самых геморрагичных метастазов наряду с хориокарциномой.
Влияние на МР-сигнал:
Меланин и продукты распада крови (метгемоглобин) одинаково укорачивают T1- и T2-время релаксации.
Это приводит к сходной картине: гиперинтенсивный сигнал на T1-ВИ и гипоинтенсивный на T2-ВИ.
Различить их влияние на стандартных последовательностях часто невозможно.
Ключевые МР-признаки:
T1-ВИ: Обычно гиперинтенсивный сигнал (за счет меланина и/или крови).
T2-ВИ: Часто гипоинтенсивный.
T1-ВИ с контрастом: Контрастирование по периферическому (ободковому) или гетерогенному диффузному типу.
*T2 (GRE) / SWI:** Важный диагностический признак. Выраженные артефакты магнитной восприимчивости (гипоинтенсивный "ободок") связаны в первую очередь с геморрагическим компонентом (гемосидерин), а не с меланином, который обладает слабым диамагнитным эффектом.
Артефакты восприимчивости встречаются в 42% случаев метастазов меланомы (для сравнения, при метастазах рака легкого — лишь в 8%).
Некоторые мелкие метастазы могут быть видны только на T2*/SWI, однако интерпретировать изолированные гипоинтенсивные очаги на этих последовательностях следует с осторожностью.
Дифференциальный диагноз
При выявлении геморрагического внутричерепного образования следует учитывать:
Другие геморрагические метастазы:
Почечно-клеточный рак
Хориокарцинома
Рак щитовидной железы (папиллярный)
Рак легкого
Рак молочной железы
Гепатоцеллюлярная карцинома
Другие меланотические опухоли:
Менингеальная меланоцитома
Меланотическая менингиома
Прочие причины кровоизлияний:
Кровоизлияние в первичную опухоль мозга (например, глиобластому)
Первичное паренхиматозное кровоизлияние (например, на фоне гипертонической болезни)
Именно в таком формате, кратко и без воды, мы помогаем врачам разбираться в МРТ и КТ. На нашем сайте xray-doctor.ru вас ждёт более 300 полноценных разборов с детальными изображениями и пояснениями. Наша деятельность на сайте позволяет делиться знаниями и здесь. Если хотите больше таких бесплатных материалов — поддерживайте нас лайками, комментариями и подпиской! Ваша активность — лучший сигнал, что мы делаем полезное дело.
А что пишут в новых клинических рекомендациях по меланоме?👇
А вы говорите симптом " какающей утки" странно звучит...
Сначала о внешней диагностике (тут и пациентам будет полезно)
"Другим приемом клинической диагностики меланомы кожи является внутрииндивидуальный сравнительный анализ (симптомы «гадкого утенка» и «красной шапочки»). Симптом «гадкого утенка» основан на общей оценке всех имеющихся новообразований кожи и явном отличии меланомы от имеющихся доброкачественных пигментных новообразований. Другим вариантом симптома «гадкого утенка» является обнаружение единственного изменяющегося с течением времени новообразования в определенной топографической области, особенно если динамические изменения противоречат стереотипным эволюционным и возрастным особенностям течения доброкачественных пигментных опухолей кожи. Симптом «красной шапочки» характеризуется дерматоскопическими отличиями злокачественного новообразования от доброкачественных невусов при клинически однотипной картине.." В продолжение темы меланомы..
На что важно обращать внимание при описании КТ/МРТ у пациента с меланомой?
"Поражение опухолью следующих структур связано с плохим прогнозом или классифицируется как стадия Т4b (например, неоперабельность, ассоциированная с технической невозможностью получить чистые края резекции):
✔️значительное поражение крыловидно-небной ямки, тяжелые тризмы из-за инфильтрации опухолью крыловидных мышц;
✔️макроскопическое распространение опухоли на основание черепа (например, эрозия крыловидных пластинок или основной кости, расширение овального отверстия и др.);
✔️возможная инвазия (охват) стенки общей или внутренней сонной артерии. А вот сейчас внимание, что важно не упустить при описании❗ Охват обычно оценивается радиологически (по данным КТ и МРТ) и диагностируется, если опухоль окружает ≥270° окружности сонной артерии; непосредственное распространение опухоли из регионарных ЛУ с поражением кожи, прямое распространение на структуры средостения предпозвоночную фасцию или шейные позвонки.
Для чего это нужно❓
В случае если опухоль прилежит к двигательному или сенсорному нерву, не исключено наличие периневральной инвазии. В данной ситуации следует выделить нерв в проксимальном и дистальном направлениях и выполнить его резекцию для получения чистого края резекции. Подтверждено, что для получения ткани, свободной от опухоли, полезна диагностика проксимального и дистального краев нерва методом замороженных срезов (срочное патологоанатомическое исследование биопсийного материала). Адекватное вмешательство может потребовать выполнения краевой, плоскостной или сагиттальной резекции подлежащих костных структур при опухолях, поражающих надкостницу или прилежащих к ней. Резекция костей показана при массивной инфильтрации опухолью надкостницы кости (что определяется при фиксации к ней опухоли) или при обнаружении во время операции либо при полном дооперационном обследовании признаков прямого прорастания кости опухолью.
Таким образом, для рентгенолога при описании КТ/МРТ у пациента с меланомой ключевое внимание должно быть сосредоточено на оценке инвазии в критические структы: основание черепа, крыловидно-небную ямку, сосуды (особенно сонные артерии) и нервы. Выявление периневральной инвазии или прорастания кости — это не просто констатация факта, а прямая подсказка для хирурга об объеме необходимого вмешательства. Пациенту с подозрением на меланому или с установленным диагнозом следует обращаться к дерматологу и онкологу. Лечащему врачу на основании данных визуализации необходимо четко планировать совместно с хирургом и радиологом возможность и целесообразность радикальной резекции, используя интраоперационное патогистологическое исследование для контроля краев резекции.















































