Будни приёмника
Есть у меня один товарищ, который любит шутить про мою работу. Мол, я настолько "везуч", что ко мне на дежурства всë время приезжают мужики с градусником в члене, например, и подобными бедами. Конечно, бывают и такие случаи, но все же чаще - обычная рутина с вполне обычными диагнозами, на первый взгляд.
Так случилось и в моё воскресное дежурство.
Время 6ч утра. В приёмное отделение поступает вполне здорово выглядящая женщина (пациент М.), но с усталым и грустным видом. Примерно как у меня по результату прошедших суток.
Основная жалоба - болезненное мочеиспускание на протяжении одной недели. Чему, конечно, я не обрадовался. Не из-за того, что это какой-то тяжёлый клинический случай. Просто человек в очередной раз долго болеет дома и решается приехать рано утром (часто это происходит в интервале времени от 22 до 6ч), хотя в симптомах ничего не изменилось.
В общем, думал уже отправить пациента М. в поликлинику, предварительно назначив препараты против цистита (воспаление мочевого пузыря, сопровождающегося болезненным мочеиспусканием), но по традиции (так положено) продолжил расспрос.
Оказывается, пациент уже месяц страдает лихорадкой, был на приёме у терапевта и принимал противовирусные препараты. Эффекта ноль. Продолжает болеть дома.
И вот решается вызвать скорую. И оказывается на кушетке в тёмном помещении (УЗИ кабинет) рядом со мной. Туда мы отправились, потому что причин у длительной лихорадки множество. Я, как уролог, хорошо знаю парочку из них.
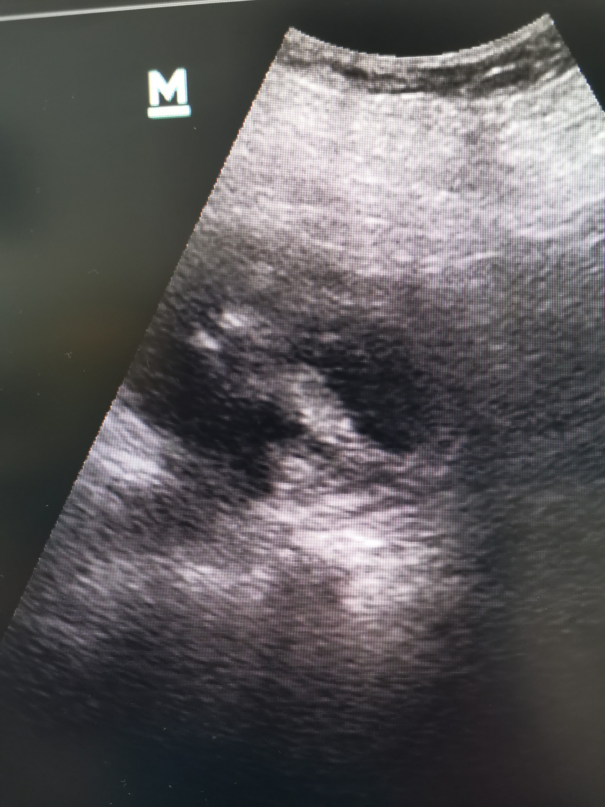
На УЗИ видны вполне обычные почки (не стал фоткать), а по нижнему сегменту левой почки гетерогенное, солидно-кистозное, отграниченное, с ровным, не чётким, гипоэхогенным контуром образование около 6 см (см фото).
В подобной ситуации может быть несколько интерпретаций: нагноившаяся киста почки (полость с гнойной мочой), рак, карбункул (гнойник на почке).
Исход следующий:
Пациент госпитализируется для проведения КТ почек с контрастом (чтобы установить более точный диагноз) и пробной антибиотикотерапии.
В итоге хвалю волю случая и себя за проделанную работу.
Если интересно, чем закончилась данная история, жмём плюс и оставляем комментарии.
Дальше - больше
Присоединяйтесь ко мне в тг канале t.me/adamovdc

История болезни
6K постов6.8K подписчика
Правила сообщества
1. Нельзя:
- 1.1 Нарушать правила Пикабу
- 1.2 Оставлять посты не по теме сообщества
- 1.3 Поиск или предложения о покупке/ продаже/передаче любых лекарственных препаратов категорически запрещены
2. Можно:
- 2.1 Личные истории, связанные с болезнью и лечением
- 2.2 Допустимы и не авторские посты, но желательно ссылка на источник информации
- 2.3 Давать рекомендации
- 2.4 Публиковать соответствующие тематике сообщества, новостные, тематические, научно-популярные посты о заболеваниях, лечение, открытиях
3. Нужно
- 3.1 Если Вы заметили баян или пост не по теме сообщества, то просто призовите в комментариях
- 3.2 Добавляйте корректные теги к постам
4. Полезно:
- 4.1 Старайтесь быть вежливыми и избегайте негатива в комментариях
- 4.2 Не забываем, что мы живем в 21 веке и потому советы сходить к гадалке или поставить свечку вместо адекватного лечения будут удаляться.
5. Предупреждение:
- В связи с новой волной пандемии и шумом вокруг вакцинации, агрессивные антивакцинаторы банятся без предупреждения, а их особенно мракобесные комментарии — скрываются