Потраченные деньги и совершенные усилия того стоят. Молодец. Ты решил одну из задач в своей жизни. Значит много чего ещё можешь сделать
Ебэт забор был.
А сейчас клёво, лучше молодого Тома Круза
Правда центровка тоже поехала.
У меня нос просто сломанный 2 раза был. Думаю это тоже играет свою роль в центре лица.
расскажи, как сильно изменилось лицо, когда такую симметрию восстановил. За зубами челюсть следует же.
пока что замечаю что рот стал более ровнее. Уголки губ вроде как встали в одну линию. Но у меня ещё нос два раза сломан был, это даёт тоже свой косяк)
Вот нифига не смешно)
Самый интересный вопрос и главным момент сомнения в брекетах. Как вообще такую конструкцию чистить-то? Столько всяких углов/ложбинок. Там же зарастет все слоями и разрушится за такой период... Или все это время питаться жидкой пищей?
Очень слабо верится, что до/после это один человек.
Давайте честно: результат стоил того. Вообще, результат выглядит даже намного дороже :)
Я просто в целом нахожусь в постоянном охреневании от цен на стоматологию, но тут это выглядит оправдано))
Да, за всё.
Согласен, сам не жалею что потратил деньги на зубы. А то бы "айфон" купил или ещё что хуже)))
когда были молочные зубы, всё было идеально. Но когда начали меняться на постоянные, всё поплыло.....
Благодарю!
Да нет. Укольчик и всё. чуть меньше часа и зуб достали) Врач ещё хороший попался.
Прыгал во круг меня что бы поудобнее было подобраться к зубу.
Прыгал, прыгал, вспотел. Говорит тебе не жарко? Нет. А я что то устал уже. Сейчас водички попью и снова в бой с этим зубом.
Весёлый хирург)))
я слышал что на сердце как то влияет даже. Думаю к следующей зимы может решусь.
Да и кривую перегородку можно по полюсу ОМС делать бесплатно говорят.
А там доплатил и нос рихтанули за одно)))
2.5 года.
За установку отдал 120 тр
за снятие 18 тр
Каждый приём по 400 рублей обходился. Приёмы каждый месяц были.
Обалденный результат! Не зря носил эту конструкцию, получилось очень здорово. Уверена, теперь у тебя замечательная улыбка! Давай как привыкнешь, выкладывай себя довольного и улыбающегося, а мы все подхватим немножко твоего настроения
в сумму около 150 тр.
Ощущения только в первый дни не приятные, как будто на зубы давят пальцем, ну и жевать по началу не приятно. Всю пищу через мясорубку пропускал))))
Я быстро привык к ним, потом и не замечал из даже)
Подерись с кем- нибудь, пусть зубы выбьет. И движуха, и повод будет с зубами продолжить, и уже никаких сожалений про "а может ".
Надо опять учится говорить) я с брекетами иногда заплетался) посмотрим что будет по ходу)
думаю тут явно брекеты мне дешевле вышли, чем нос исправить будет в исходное состояние))) Да и не помню я уже оригинал.
Я первый раз его сломал ещё лет 8 наверное. Меня на рынке мужик тележкой сбил и я носом прям об железку ударился смачно.л
нет. Только губам не привычно. Чего то не хаватает)
При ношении тоже особо боли не было.
Я вот тоже не верю. Слишком глобальные изменения, а значит, тут дело не только в брекетах.
Это кажется невероятным, но это правда.
У меня с зубами похожая фигня. Никогда не мешала, для куни разницы нет, да и просто с поцелуями всё ок. В юные годы это всё-таки скорее было проблеиой,чем нет, но значительной никогда.
А у ребёнка - вот они гены, и я предпочёл решать эту проблему, ведь фиг его знает, как он психологически с этим справится. Всё-таки изъян.
Используем не брекеты, а зубные каппы. Результат-выше всяких ожиданий, я не верил, что так может быть; да и каппы сами по себе-на порядок круче брекетов, практически не видны, хотя и не всегда применимы.
И недёшево, хотя это вопрос относительный.
я вашей ситуации не знаю, но в основном оно так. Или родителям все равно, или нет денег. Я знаю несколько случаев, где родители даже не пытались что-то сделать.
ну меня к зубным водили. Думаю скорее денег не было как и у многих. Но зубы у меня все здоровенькие были всегда.
красивыми из делают и ровными) где опущенные, там приподнимают. Где слишком высокие - опускают.
Красоту делают.
Мне кажется, рановато сняли. Учитывая ваш возраст, так зубы медленнее двигаются, чем у детей и даже чем в 20 лет.
А что делал после снятия брекетов?Должны были прописать капы или ретейнеры. Для фиксации результата. Я надеюсь, что у вас они есть. Потом у что без этого вся красота уедет обратно рано или поздно)
мне рентген делали что бы посмотреть что там и как. Всё нормально)
И ретейнеры поставили на обе челюсти, и капы слепки сняли.
это какая-то тайна, которую узнают лишь после установки брекетов?
Теперь нужно будет всегда капу носить? Насколько знаю зубы стремятся вернуться в прежнее положение.
искала , где будет сумма. Парень, ты просто НЕРЕАЛЬНО круто и здорово все сделала. Умница. Это нереально круто!!!!!!!!! Идеальная улыбка, улыбайся обязательно!
на нижней единицы небольшая. Но вроде сказали можно поправить, только сказали немного подождать надо что бы "дёсна немного отдохнули от передвижения зубов"
Кстати, время очень быстро прошло.
Но вот чистить всё это чудо медицинской мысли, да. Не просто.
Я уже со школы не дрался. Поумнел.
Да и мой уровень оберека зубного теперь прокачан очень сильно)))
чтобы были такие зубы - надо с ними родиться, а родителям забить хуй на ребенка и не пытаться что-то исправить
хм... компьютер мб. У меня зависимость игровая была раньше. Я больше ноутбука себе не рискую ничего покупать что то мощнее)
Я тут на себя немного Вашей славы перетянула, извините) Ваш пост, а пишут про мои уши)
Наоборот хорошо что одна тема приносит радость не только одному человеку, а всем позволяет высказаться и рассказать свою историю)
Короче я не улыбалась, а когда улыбалась, то всегда прикрывала рот рукой. И однажды меня отчитала за это одноклассница, расспросила о причинах и прям натурально отчитала. И я начала стараться. Оказалось это реально сложно. Так как за годы выработался рефлекс улыбаться не обнажая зубы, или закрывать рот. Прям натурально пересиливать приходилось себя. Надеюсь, что у вас дело проще пойдёт, но улыбаться спокойно это здорово)
мне врачи сказали на консультации сказали, что место для зубов достаточно было что бы ровные выросли. А почему кривые получились сами не поняли)
установка на обе челюсти - 120 тр
снятие - 18тр
каждый месяц за приём по 400р
Ну и там растраты на чистку было пару раз.
Благодарю! Думаю теперь я более открытым стану и побольше общительным. А то сдерживал себя в этом. Надо каких нибуть книжек почитать для повышения уверенности в себе)))
и до этого двойка слева тоже как будто подпилена
У меня во дворе была девушке, чуть чуть косолапая. Это так сексуально выглядело. Ммммм. Зря вспомнил
По опыту моей подруги могу сказать, что больно только первую неделю после установки, потом при смене дуги пару-тройку дней. Ну а так иногда щеку можно прикусить и концы дуги могут колоться (но нужно сразу ортодонту говорить об этом). И самое главное - пользоваться ирригатором.
Я, кстати, тоже много лет откладывала, мол, дефект не такой уж и заметный, да и денег жалко, да и ходить пару лет как дурочка. Но все равно рано или поздно эта идея фикс, как я смотрю, накрывает многих. Я в 31 в итоге себе поставила, хожу. А могла бы раньше, если б вот таких советчиков не слушала, а сходила б к ортодонту (а лучше нескольким) сразу.
А меня ортодонт мучал 5 лет, не смог закрыть промежуток на удаленной четверке, не смог сделать зубы на нижней челюсти в одной плоскости, испортил прикус. Сейчас буду ставить заново у хорошего ортодонта, еще +2 года страданий).
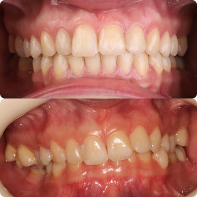
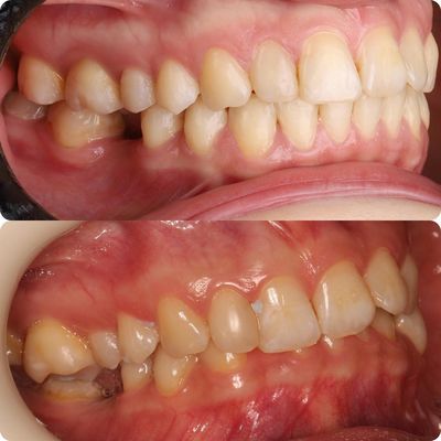
какой-то прям невероятный результат, выглядит потрясающе, еще и с учетом того, что вам не ставили виниры-коронки. Часто и после виниров (из-за них) портятся зубы и форма их и состояние как таковые бывают не в идеальной кондиции, так что потом дорабатывают. У вас прямо идеальная форма и состояние зубов, мне аж не верится, при таком изначальном прикусе и с учетом возраста, что такое бывает.
Сам в шоке, я вообще думал мне скажут "сынок куда ты пришёл? Тебе либо мосты либо имплатны, какие брекеты" ))))) А тут вон как всё получилось)
ну думаю нос выпрямлять это уже слишком кардинальные изменения будут)))
Хотя из за перегородки кривой, дышать иногда сложновато. Поэтому думаю когда нибуть рискну наверное.
Орто Центр. Степана Разина 54. Тагир Басирович
Там владельцы больницы сами ортодонты. И руководят и работают.
Саратов. Сейчас чуть подороже вроде будет. Валюта жи.
У нас в городе во всех калинниках цены почти везде одинаковые.
Нет, просто после снятия проф.гиоиену сделали и почистили. На отбеливание я пока не рискую.
Поток мощный, но не больной. Легче теплую, она лучше чистит чем холодная) там в инструкции все написанно будет)
Благодарю. Только два зуба мудрости на верхней челюсти. Все остальные целые и на месте)
Для такого случая как у ТС год - это слишком быстро - чревато ресорбцией корней зубов и прочими проблемами костей челюстей.
Все делали плавно - не быстро. И делали "ренгенты" смотрели что там происходит куда глаз не достаёт. Всё хорошо.
2.5 года относил.
Ночью зимой камазист меняет колесо и приговаривает: говорила мама учись на стоматолога и деньги будут и руки в тепле
Неа, держались до последнего) Хорошо приклеили наверное или я просто осторожничал сильно)
ну когда мне делали проф.гигиену полости рта.
Они брали железную капу, надавливали туда пасту фосфорсодержащую какую то.
И надевали на зубы и сидел я так 5 минут. Потом её вынимали, ополаскивали рот и всё.
13 процентов от суммы потраченной на лечение можно вернуть)
Почитайте на досуге, полезная тема)
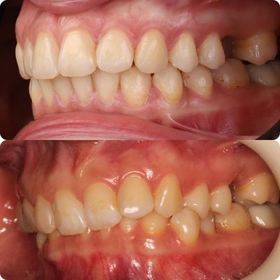
В юношестве были брекеты. Для клыков не нашлось места и они были сильно сверху над основным рядом зубов. Выдергивали лишнее и тянули вниз. Снизу ровняли забор.
Не особо следил за зубами после снятия скобок (доктор не особо объяснила важность по этому поводу, а мне мелкому было и так пох).
Потом лет в 20 мне выдернули восьмерку (вроде так, крайний задний зуб если проще), хотя я так понял можно было спасти.
Но вот доктор сказал зачем он мне и вырвал, а теперь антогонист этого зуба сверху стремится вниз все сильней (упирается уже в десну). Что делать непонятно со всем этим.
В общем и целом, не запускай обретенное совершенство.
На ночь одевают на весь зубной ряд специально сделаные капу
Не скажу насколько оно эффективнее ретейнеров
я знаю, у меня в детстве не было много шмоток, дорогих игрушек, но были брекеты и я очень благодарна за это. Для девочки кривые зубы - это еще хуже, чем для парня
Согласен. Когда пошёл на консультацию, рассчитывал на побольше. А в худшем случае вообще пинок под зад)))
Эх. У меня было почти так же. В старших классах исправили. Если бы родители раньше этим озадачились, мб совсем другой характер был бы )
Значит такие все таки достаточно много, кому не сиделось спокойно ближе к 30 и решили добавить особых ощущений. До 26 вообще было неинтересно до зубов, а потом как-то понеслось и в 27 поставил брекеты. Вроде время быстро летит, а всего год прошел и ещё столько же примерно носить, о-хо-хо. Тоже мне «приключение» на старую жеппу
Автор, поздравляю тебя с прошедшим испытанием :)) Сама недавно походила, полтора года. Когда мне только установили брекеты, я сразу же отбросила комплексы и начала улыбаться, зная, что скоро у меня будет ослепительная улыбка :))) Удачи тебе, и всего хорошего! :)
И там и там. Неа не мешает. Только слюни текут))) но с брекетами первое время тоже текли)
Ровные зубы - это основа их здоровья. Многие стоматологи считают, что ортодонт - главный врач зубов, так как от перекосов и неправильной стыковки зубы в основном и страдают - стачиваются, появляется кариес. Очень классный результат у вас! Здоровья!
У меня кривые зубы и неправильный прикус, и хоть кто-нибудь меня гнобил за это. Для родителей это было не страшно, и для друзей нормально. Но я всегда стеснялся улыбаться, в том числе из-за этого всегда был стеснительным. В итоге в 34 года ставлю брекеты. Сегодня удалил 3й по счету зуб мудрости)
Успехов тебе чувак, надеюсь твоя жизнь стала легче и приятнее)
Подскажите, говорят, что после снятия устанавливают пластину за зубами, что бы они обратно не ушли? Так ли это?
ну так и я почти 3 года потратил. Лучше 3 года потратить чем ходить с хрен пойми чем)))))
Кривые зубы кстати потом сложнее протезировать и коронки на них сложно надевать.
Пиздец, уже 4 года ношу брекеты, при этом у меня вот вообще все было нормально, до вашего случая очень далеко. И что-то пока даже неизвестно когда снимать.
Если бы сейчас выбирал - то инвизилайн, а не классические брекеты. Все-таки устаешь от них. Больно, неудобно есть.
это обезболивание отдельного участка. анестезия местная. укольчик как при лечени зуба.
Ой, ну засмущали)) самое бесячье всегда и по сей день то, что в красивом ухе не держится ни один наушник, а в оттопыренном идеально)))
Ну если нос свёрнут, то поправят вместе с перегородкой. Мой друг с таким кривым носом, пособирал справочки и бесплатно починил себе нос. Походил по врачам, сдал все анализы и прооперировался успешно.
Это хорошо. Надо по изучать будет информацию. И опять в борьбу с врачами вступать что бы дали сделать всё по ОМС.
Капец, блин, я свои ношу уже 2 года, хотя нужно было всего-то один зуб выравнять. По итогу ещё выравнивают нижнюю челюсть ыаыа.
Вообще, всё это классно, что люди инвестируют в себя. Люблю таких.
Блин, я думала, брекеты где-то год носят. Но 2,5 года - это вообще жесть какая-то...
Как вспоминаю своё желание выровнять зубы и его "обломинго", так прям грустно. И зависть...
А за вас я прям искренне рада. Уверена, улыбаться привыкнете быстро, ведь теперь можно быть точно уверенным, что улыбка красивая :) Недостатки в себе всегда смущают, понимаю. Работа прям внушительная, весьма сложное искривление было, а сейчас всё идеально. Перфекционист внутри меня впал в кайф














История болезни
5.9K поста6.7K подписчиков
Правила сообщества
1. Нельзя:
- 1.1 Нарушать правила Пикабу
- 1.2 Оставлять посты не по теме сообщества
- 1.3 Поиск или предложения о покупке/ продаже/передаче любых лекарственных препаратов категорически запрещены
2. Можно:
- 2.1 Личные истории, связанные с болезнью и лечением
- 2.2 Допустимы и не авторские посты, но желательно ссылка на источник информации
- 2.3 Давать рекомендации
- 2.4 Публиковать соответствующие тематике сообщества, новостные, тематические, научно-популярные посты о заболеваниях, лечение, открытиях
3. Нужно
- 3.1 Если Вы заметили баян или пост не по теме сообщества, то просто призовите в комментариях
- 3.2 Добавляйте корректные теги к постам
4. Полезно:
- 4.1 Старайтесь быть вежливыми и избегайте негатива в комментариях
- 4.2 Не забываем, что мы живем в 21 веке и потому советы сходить к гадалке или поставить свечку вместо адекватного лечения будут удаляться.
5. Предупреждение:
- В связи с новой волной пандемии и шумом вокруг вакцинации, агрессивные антивакцинаторы банятся без предупреждения, а их особенно мракобесные комментарии — скрываются