Urology

Urology

Канал по реконструктивной урологии. Врач-уролог Клименко Алексей Алексеевич (г. Москва).
Пикабушник
Дата рождения: 2 декабря
3561 рейтинг 77 подписчиков 0 подписок 60 постов 11 в горячем
10

Стриктура уретры после трансуретральной резекции предстательной железы - клинический случай

Довольно редкое нежелательное явление после хирургического лечения гиперплазии предстательной железы.

За 1 месяц сформировано сужение мочеиспускательного канала после ТУР предстательной железы реализовавшееся в эпизод острой задержки мочи (ОЗМ).

Группа в MAX - https://max.ru/join/NEf99A3G1_QNUwSA_-frGi0jawpzSsz90daJgWpezM4
Группа в ТЛГ - https://t.me/

Пациент, 81. 

Жалобы: на невозможность самостоятельного мочеиспускания.

Анамнез: 18.07.2025 г. выполнена ТУР  предстательной железы (ДГПЖ). В послеоперационном периоде отмечал постепенное ухудшение качества мочеиспускания.

29.08.25г. ОЗМ, выполнена троакарная цистостомия.

Уретрография от 26.02.26:

Восходящая уретрография выполнена в условиях рентгеноскопического контроля. При антеградном введение КВ в цистостому - полость мочевого пузыря вытянутая, неправильной овальной формы. Определяется ТУР-дефект в области простатического отдела уретры. Микционная цистография не проводилась.

При ретроградном введении контрастного вещества в проекции пенильного отдела уретры отмечено критическое сужение (до 2,7 см). Затеков контрастного вещества за пределы уретры и пузыря не выявлено.

Стриктура уретры после трансуретральной резекции предстательной железы - клинический случай
1 - стриктура пенильного отдела уретры, 2 - ТУР - дефект, 3 - область мембранозного и простатического отдела уретры

1 - стриктура пенильного отдела уретры, 2 - ТУР - дефект, 3 - область мембранозного и простатического отдела уретры

Дальнейшая тактика по данному пациенту - выполнение чресфистульной гибкой цистоуретроскопии для оценки шейки мочевого пузыря, простатического и мембранозного отдела уретры.

Выбор метода коррекции стриктуры пенильного отдела уже по завершению доп.диагностики.

Из возможных вариантов:

- Аугментационная уретропластика с использованием слизистой ротовой полости.

- Перинеостомия - выведение просвета мочеиспускательного канала на промежность.

Показать полностью 2
46

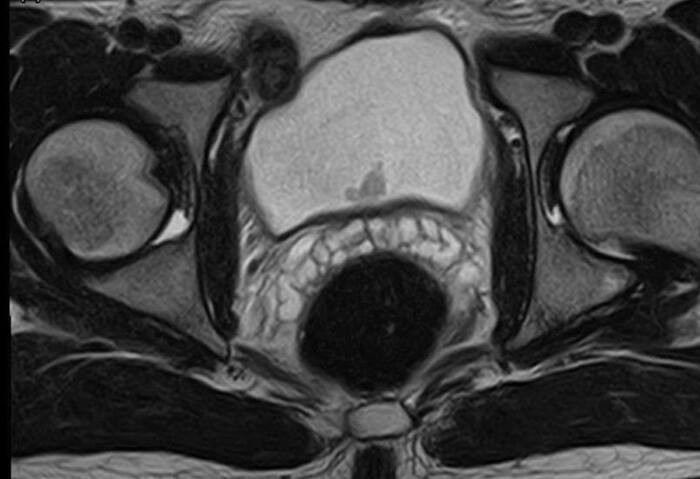
Склероз шейки мочевого пузыря после трансуретральной резекции предстательной железы. Хирургическое лечение

М, 78

Жалобы: невозможность самостоятельного мочеиспускания.

Анамнез: 2018 г.  - ТУР предстательной железы. С 2023г. отмечает затрудненное мочеиспускание. 08.2025 г. - острая задержка мочи, выполнена троакарная цистостомия.

На ретроградной уретрографии визуализируется критическое сужение в области шейки мочевого пузыря.

Взято из моих групп:
тлг -  https://t.me/Reconstructive_Urology
MAX - https://max.ru/join/NEf99A3G1_QNUwSA_-frGi0jawpzSsz90daJgWpezM4

Диагноз: ДГПЖ. Трансуретральная резекция предстательной железы от 2018г. Склероз шейки мочевого пузыря. Цистостома. Конкременты мочевого пузыря.

Выполнено: Трансуретральная лазерная инцизия шейки мочевого пузыря. Цистолитотрипсия.

Оперирующий хирург:

врач-уролог Клименко Алексей Алексеевич @aleksei_Mk02

ММКЦ «Коммунарка» ДЗМ г. Москва.

Показать полностью 1
13

Утолщение полового члена путем введения вазелина

К сожалению, в практике встречаются случаи, когда ложная экономия приводит к выраженным деформациям полового члена, вплоть до невозможности проведения полового акта.

Показательный пример этой ошибки — в телеграм-канале: https://t.me/Reconstructive_Urology/1889

Метод подкупает дешевизной и возможностью самостоятельного введения, но при этом несет высокие риски инфекционных осложнений и образования олеогранулемы. Единственный способ коррекции такого осложнения — хирургический.

Зачем подвергать себя неоправданному риску, когда существуют более безопасные и сертифицированные препараты для утолщения?

Если есть вопросы по безопасному увеличению полового члена — пишите.

23

Варикоцеле. Самодиагностика


В своей практике довольно часто приходят пациенты с запущенной степенью расширения вен яичка (варикоцеле) с отсутствием специфических жалоб. Это одна из частых причин мужского бесплодия, которая может долгое время протекать бессимптомно.  Встречается у 15–17% мужчин, причем в 96% случаев проблема затрагивает левую сторону.

Диагноз выставляем на основании:

  • Наличие жалоб (боль, дискомфорт в мошонке)

  • Физикальное обследование (смотрим ниже)

  • УЗИ органов мошонки

Варикоцеле. Самодиагностика

Видео операций в тлг-канале  - https://t.me/Reconstructive_Urology

🩺 Как его обнаружить самостоятельно:

Для самостоятельного обследования (самодиагностики) выполните следующие действия:

1. Занимайте правильное положение в теплой комнате, стоя перед зеркалом.

2. Проведите осмотр при хорошем освещении. Обратите внимание на видимые изменения: выпуклые, извитые вены, которые иногда описывают как "мешок с червями" или "клубок спагетти", а также асимметрию (провисание) мошонки.

3. Пропальпируйте (прощупайте) мошонку. Осторожно ощупайте каждое яичко и область над ним. В норме вены не должны прощупываться. Расширенные вены могут ощущаться как мягкие, извилистые трубчатые структуры.

4. Выполните пробу Вальсальвы. Это ключевой прием. Сделайте глубокий вдох, задержите дыхание и аккуратно потужьтесь (как при опорожнении кишечника). В этот момент повышенное внутрибрюшное давление может сделать расширенные вены более заметными или ощутимыми наощупь.

Если будут вопросы - пишите.

Показать полностью 1
17

Стриктура бульбозного отдела уретры после катетеризация мочевого пузыря

Пациент: Мужчина, 71 год.
Жалобы: В течение 2-х лет прогрессирующее ухудшение качества мочеиспускания (затрудненное, чувство неполного опорожнения мочевого пузыря). В анамнезе установка уретрального катетера во время операции (2018г.)

Фото этапов хирургического лечения в тег-канале - https://t.me/Reconstructive_Urology

Данные обследования:

  • Урофлоуметрия: Qmax = 2,8 мл/сек.

  • УЗИ мочевого пузыря с определением объема остаточной мочой: 50 мл.

  • Ретроградная уретрография: Выявлено критическое сужение до 1,5 мм на протяжении 15 мм в проксимальном бульбозном отделе уретры

Стриктура бульбозного отдела уретры после катетеризация мочевого пузыря
  • Этиология: Посткатетерная.


    Основной диагноз: Стриктура проксимального бульбозного отдела уретры.

    Хирургическая тактика: Анастомотическая пластика уретры «конец в конец».

  • Метод дренирования НМП: Уретральный катетер.

  • Длительность: 10-14 дней.

    Решение насчет удаления уретрального катетера по результатам перикатетерной уретрографии.

Показать полностью 1 1
87

Разрыв мочеиспускательного канала и некроз полового члена после неоднократных катетеризаций мочевого пузыря

Пост без фотографий до и после операции (будет опубликован в Тг-канале завтра — https://t.me/Reconstructive_Urology ).

Мужчина, 78 лет.

С 06.01.2026 г. отмечал задержку мочеиспускания, вызывал скорую медицинскую помощь. Скорая приезжала, предлагала госпитализацию, пациент отказывался, выполнялась установка уретрального катетера с целью раздренированировать мочевой пузырь. Учитывая задержку мочеиспускания, с 06.01.2026г. по 11.01.2026г. он ежедневно вызывал бригады СМП, каждый раз отказывался от госпитализации и каждый раз выполнялась установка катетера в мочевой пузырь.

11.01.2026 г. - выраженный отек полового члена, появление синюшности кожного покрова, повышение температуры тела до 39,0С. Вызов бригады, доставлен в приемное отделение нашей больницы, откуда по экстренным показаниям сразу подается в операционную. Интраоперационно: В полости мочеиспускательного канала 3 конкремента (максимальный размер - 1,5 см). Дефект мочеиспускательного канала. Некроз мягких тканей полового члена.

Вот и прокручиваешь все.

У пациента задержка мочи, в анамнезе рак простаты. СМП приезжает, осматривает, предлагает госпитализацию и с каждой установкой уретрального катетера происходит травматизация уретры с уже известным исходом к 11.01.2026 г. Скорее всего, основная причина хронической задержки мочи по мнению СМП (скорой медицинской помощи) был РПЖ, имея вводные данные - квартира, мужчина, 78 лет, данные ЕМИАС. Наличие конкрементов можно было бы заподозрить на основании пальпации полового члена и мочеиспускательного канала. Но это задача врача приемного отделения, куда пациент должен был еще приехать 06.01.2026г., но увы.

Показать полностью
17

Рак полового члена в 41 год. Яркий пример как люди сами ставят себе приговор - продолжение1

Фотографий до и после операции опубликованы https://t.me/Reconstructive_Urology

Читая комментарии, задаешься вопросом, почему все так проклинают ОМС?
Ты обратился за медицинской помощью и понимаешь, что идет время, обследования затягиваются, очереди - в чем проблема обратиться за медицинской помощью в частный центр? Как минимум - консультация врача. Сомнительно, что 2 или 3 тысячи за консультацию значимо усугубит Вашу жизнь, когда стоит вопрос о здоровье. А еще есть телемедицина, что дает возможность получить медицинскую помощь в любом уголке нашей страны.
Дефицит врачей в ОМС- проблема системная. И когда она стабилизируется - кто ж знает.

Бесплатные консультации по урологии для пикабушков в ТЛГ? Если интересно, подписывайтесь, пишите, по возможности - буду помогать .
Всего голосов:
Показать полностью 1
1636

Рак полового члена в 41 год. Яркий пример как люди сами ставят себе приговор

Серия Онкология

Пост без фотографий до и после операции (будет опубликован в Тг-канале завтра/послезавтра — https://t.me/Reconstructive_Urology). Это просто мысли вслух.

12.01.2026 г. захожу в операционную к врачам-онкологам. На операционном столе — пациент, которому планируется резекция полового члена по поводу РПЧ.

Обращаю внимание на возраст — 41 год. Смотрю анамнез — 1 год. В течение целого года пациент растил на крайней плоти опухоль, которая достигла размеров 2 см.

Целый год! Вопрос: как пациент вел половую жизнь? Загадка. Был ли у него половой партнёр? Даже если не постоянный — разве никто не задавался вопросом, что это такое? Комментариев нет.

Объём хирургического лечения строится на принципе радикальности. В середине операции встал вопрос о глубине инвазии, потому что ткани под опухолью оказались со значительной инфильтрацией. К счастью, в нашей клинике есть возможность выполнить интраоперационное гистологическое исследование подлежащих тканей, чтобы исключить положительный край резекции. В данном случае это позволило обойтись только иссечением крайней плоти, избежав резекции полового члена и сохранив пациенту возможность вести полноценную сексуальную жизнь.

Мораль: если на половых органах появляется то, чего там быть не должно, — немедленно идите на приём к урологу. Не ждите ни дня.

Показать полностью
Отличная работа, все прочитано!

Темы

Политика

Теги

Популярные авторы

Сообщества

18+

Теги

Популярные авторы

Сообщества

Игры

Теги

Популярные авторы

Сообщества

Юмор

Теги

Популярные авторы

Сообщества

Отношения

Теги

Популярные авторы

Сообщества

Здоровье

Теги

Популярные авторы

Сообщества

Путешествия

Теги

Популярные авторы

Сообщества

Спорт

Теги

Популярные авторы

Сообщества

Хобби

Теги

Популярные авторы

Сообщества

Сервис

Теги

Популярные авторы

Сообщества

Природа

Теги

Популярные авторы

Сообщества

Бизнес

Теги

Популярные авторы

Сообщества

Транспорт

Теги

Популярные авторы

Сообщества

Общение

Теги

Популярные авторы

Сообщества

Юриспруденция

Теги

Популярные авторы

Сообщества

Наука

Теги

Популярные авторы

Сообщества

IT

Теги

Популярные авторы

Сообщества

Животные

Теги

Популярные авторы

Сообщества

Кино и сериалы

Теги

Популярные авторы

Сообщества

Экономика

Теги

Популярные авторы

Сообщества

Кулинария

Теги

Популярные авторы

Сообщества

История

Теги

Популярные авторы

Сообщества