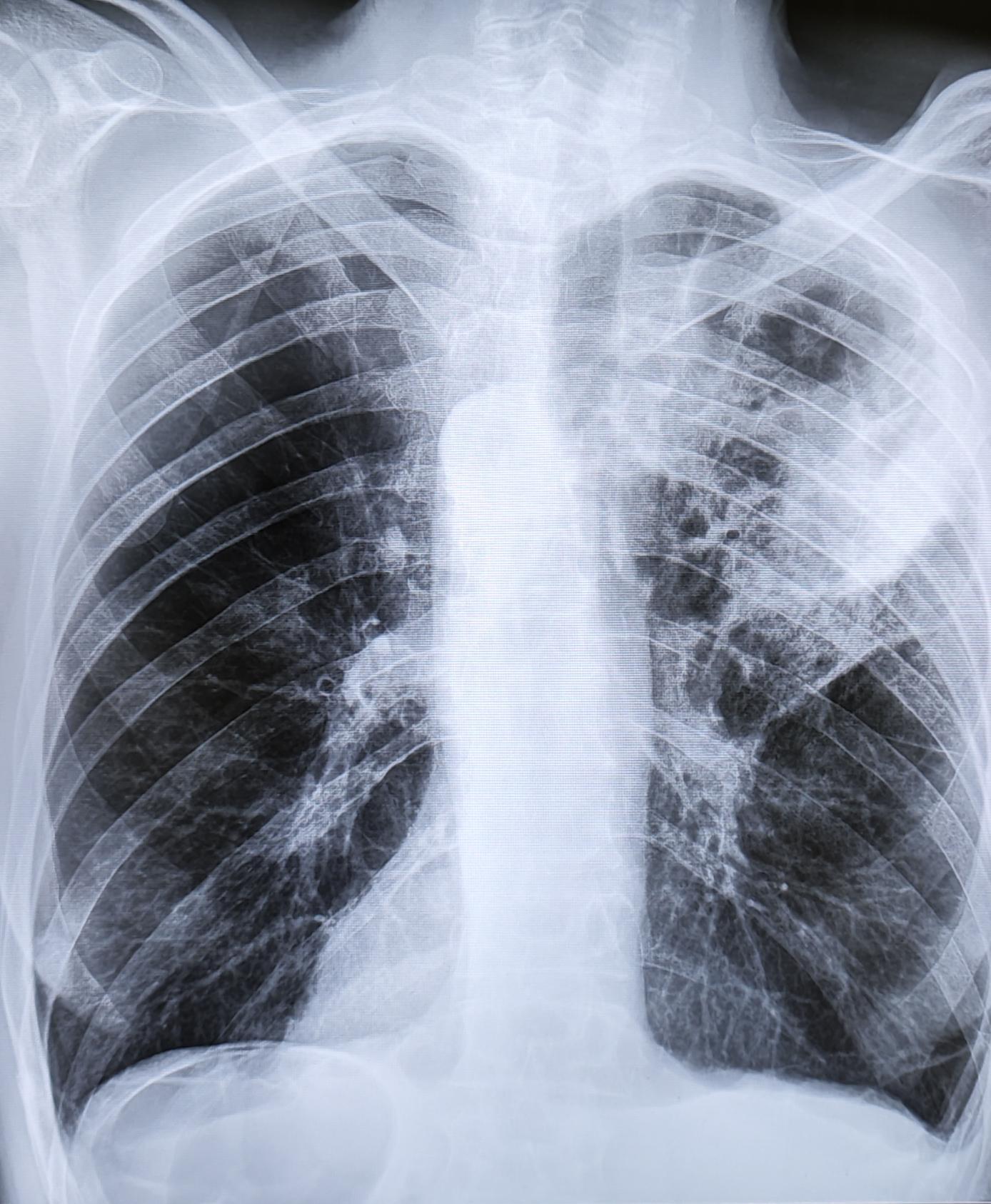
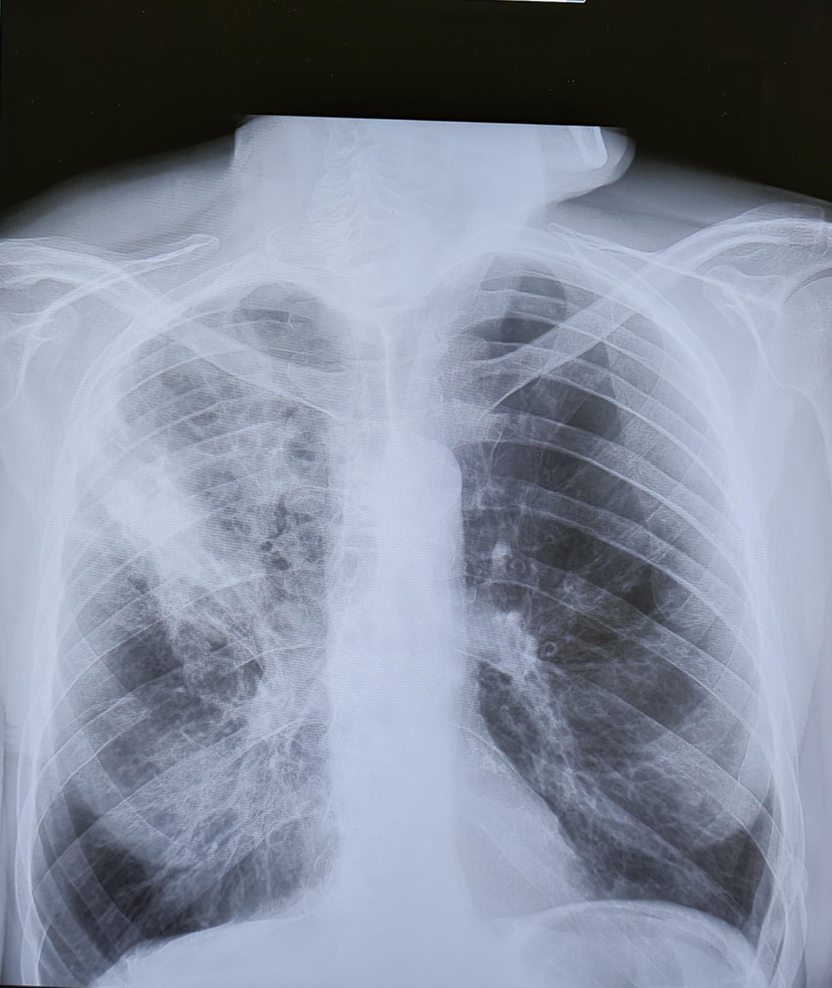
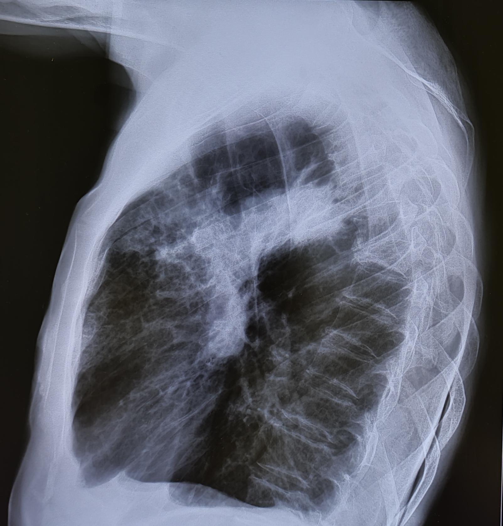
Внебольничная пневмония-рентген
Жалобы на слабость, одышку, не продуктивный кашель ,повышение температуры тела до 38.8 град.
На Р-граммах ОГК в 3х проекциях: На фоне сниженной пневматизации, визуализируются инфильтративные изменения легочной ткани в S2, S3 правого легкого. Легочный рисунок усилен за счет сосудистого компонента. Корень слева-не увеличен, справа-увеличен. Диафрагма не изменена, контуры ее ровные, четкие. Тень сердца обычного расположения не расширена в поперечном размере. Дуга аорты склерозирована. Дегенеративно-дистрофические изменения грудного отдела позвоночника.
Заключение: Правосторонняя бисегментарная S2, S3 пневмония.
Рек: конс.пульм./тер. Р-контроль через 12 дн. после лечения.
Данный диагноз соответствует ст.53-Временные функциональные расстройства органов дыхания после острого заболевания, обострения хронического заболевания, травмы или хирургического лечения- Г-временно не годен к военной службе сроком 1-3 мес. в зависимости от решения терапевта ВВК.


