Sharkboy или проблемы с зубами
Здравствуйте! В посте про проблемные зубы мудрости https://pikabu.ru/story/segodnya_byil_u_zubnogo_5340108
Я написал что это еще ничего страшного, и зубы иногда прикалываются по жестче. На меня подписалось 10 человек, и чтобы оправдать их надежды я публикую свою историю с зубами.
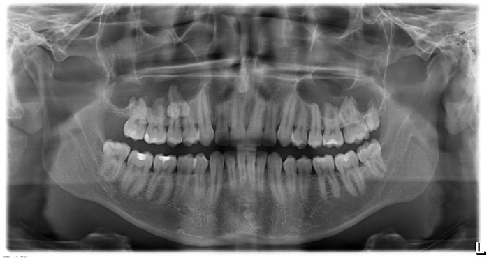
Началось все с того что я решил поставить "брекеты" и обратился к врачу. На тот момент меня ничего не беспокоило, но несколько зубов были очень кривыми. Врач при осмотре обнаружил сверхкомлпектный зуб, он выбивался из зубного ряда и был небольшого размера. Врач отправила меня сделать рентгеновский снимок челюсти, и вот что я обнаружил на нем:
Прошу прощения за качество, но лучшего у меня нет. Снимок был сделан в 2009 году.
Как видно на снимке, в нижней челюсти располагается ДВА сверхкомлпектных зуба. При детальном рассмотрении снимка можно так же рассмотреть справа еще ДВА сверхкомлпектных зуба. ОДИН сверхкомплектный зуб в пазухе слева в корнях 4 и 5 зубов. А так же некоторое искажение снимка слева которое не дает 100% гарантии отсутствия там зубов сверхкомплекта.
В итоге я отправился в путешествие по врачам чтобы узнать что с этим всем делать. Мнения разделились: кто-то говорил что нужно идти к челюстно-лицевому хирургу и операбельно удалять все зубы под наркозом, а кто-то оставить так как есть, ссылаясь на то что сверхкомлпектные зубы часто сидят в корнях и люди могут даже о них не знать, так всю жизнь с ними и проходить. Т.к. я не очень умный и ссыкло я решил ничего не трогать...
Спустя 1-2 года зубы из нижней челюсти начали пробиваться. Росли они вне зубного ряда, изнутри челюсти, они не сдвигали и не мешали другим зубам. После того как они показались - хирург их без особого труда удалил. Очень долго заживала лунка на их месте. Спустя еще год зубы справа в количестве двух штук вылезли полностью сдвинув семерку... Их так же без особого труда удалили. Та же участь постигла и один сверхкомлпектный зуб справа...
Ниже представлен более свежий снимок. Большая часть сверхкомлпекта удалена, однако остался ОДИН зуб с которым пока нет проблем но я переживаю по поводу того что с ним делать... Этот тот что в корнях 4-5 зуба сверху
Некоторые врачи говорят что его нужно убирать однако для этого надо будет выпиливать кость. Другие говорят что лучше его не трогать, т.к. он очень близко к пазухам и могут быть очень сильные осложнения.
Что мне с ним делать не знаю...




