Первый российский МРТ-совместимый кардиостимулятор запустили в серийное производство
💓 Ростех запустил серийное производство первого российского кардиостимулятора Apollo MRI, совместимого с МРТ. Устройство помогает пациентам с тяжёлой аритмией и позволяет проводить обследования без ограничений — к 2027 году выпуск достигнет 5 тысяч приборов в год.
Записать сновидения
Команда учёных заявила о завершении разработки технологии, позволяющей визуализировать мысли посредством мозгового сканера. Технология позволит понять, что происходит с мозгом человека во время сна.
Команда исследователей из японской Лаборатории Вычислительной Неврологии воспользовалась
-сканированием, пока участники эксперимента находились на ранних стадиях сна. После наступления сна, испытуемых будили и спрашивали о том, что они видели. Ответы записывались, после чего опыт повторялся ещё 200 раз для каждого из участников.
Благодаря серии подобных экспериментом, ученым удалось собрать базу данных изображений, связанных с мозговой деятельностью. Все полученные изображения сгруппировали по смысловым категориям.
Следующим этапом ученые попытались проанализировать активность мозга во время сна участников и предугадать, что же они видел во сне. Результаты показали, что исследователи смогли предсказать сны добровольцев с точностью 60 %. Полученная точность далека от идеальной, но, тем не менее, впечатляет.
Как объяснил профессор Юкиаши Камитани, это только начало. Следующим шагом ученые собираются изучить сновидения и мозговую активность человека во время стадии глубокого сна.
Хотите быть в курсе последних открытий в мире науки, космоса и технологий? Присоединяйтесь к нам! Наука Космос Технологии! 🐼
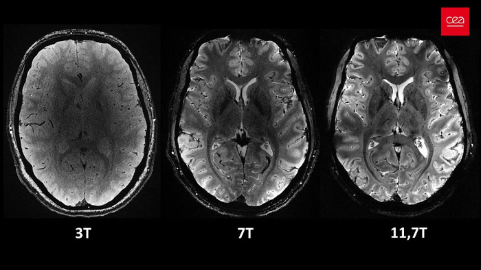
Самый мощный в мире МРТ-аппарат Iseult в несколько раз превзошел конкурентов
Во Франции разработан самый мощный в мире МРТ-аппарат под названием Iseult, который способен создавать магнитное поле с интенсивностью вплоть до 11,7 тесла. Это значительно превосходит возможности традиционных МРТ-сканеров, используемых в современных клиниках.
Основным преимуществом Iseult является его способность выполнять сканирование мозга с невероятно высоким разрешением. Всего за 240 секунд этот аппарат способен создать изображения мозга человека с толщиной срезов всего в 1 миллиметр. В то время как обычному МРТ потребовалось бы два часа для достижения подобных результатов, при этом пациент должен был бы находиться неподвижно.
Несколько лет назад Iseult проходил испытания на тыквах, а сейчас его успешно протестировали на 20 добровольцах. Полученные изображения демонстрируют все возможности этой технологии МРТ и способствуют более глубокому пониманию работы мозга. Помимо этого, этот мощный томограф может быть полезен не только ученым, но и медикам. С его помощью можно изучать и диагностировать нейродегенеративные заболевания, такие как болезнь Паркинсона и болезнь Альцгеймера.
Сообщается, что Iseult весит 132 тонны и имеет размеры 5 на 5 метров, а внутри него установлено 183 километра сверхпроводящих кабелей. Для охлаждения магнитов до рабочей температуры -271,35 °C требуется 7500 литров сжиженного гелия. О стоимости устройства нет информации, однако очевидно, что она очень высока. Новый МРТ-аппарат, предлагающий уникальные возможности, может появиться в некоторых передовых научных учреждениях в ближайшие годы.
Людям потребуются "нейроправа", чтобы защитить свой мозг и мысли от технологий
Сторонники защиты мозга человека от нейротехнологий ("нейроправа"), предлагают ввести соответственные нормы до того, как появится машина "для чтения мыслей".
Фото: adobe.prf.hn
К примеру, в Чили в 2021 году сенат впервые в мире принял законопроект о внесении поправок в конституцию, касающихся защиты "нейроправа". Правительство этой страны уверено, что появление технологии, способной читать мысли человека — вопрос времени.
Ученые США наглядно показали потенциальный способ "считывания мыслей" нейросетью. Сначала добровольцы просматривали видеоролики во время МРТ их мозга. После этого в нейросеть отправлялись данные, которые связывали зарегистрированную активность мозга с каждым кадром.
Затем просмотр видео с МРТ повторили, но новые данные отправили в уже обученную нейросеть.
По информации Involta.media, в результате модель ИИ смогла воссоздать, хоть и не точно, некоторые просмотренные изображения.
Модель на основе компьютерного зрения диагностирует опухоли головного мозга
В Государственном Университете Новосибирска инженеры совместно с нейрохирургами разработали программный модуль, который находит и классифицирует опухоли в головном мозге.
Фото: adobe.prf.hn
Технология работает во время оперативного вмешательства и МРТ-диагностики.
Основой для создания модуля стали двух- и трехмерные модели, функционирующие на базе компьютерного зрения, с предварительной обработкой данных снимков МРТ мозга, сделанных в двух вариантах — с введением пациенту в вены контрастного вещества и без его задействования.
По информации Involta.media, созданные модели с высокой точностью, достигающей 92%, способны распознавать 4 вида образований: невриному, менингиому, астроцитому и глиобластому.
МРТ-снимки посылаются на сервер, откуда в качестве ответа модуль выдает тип, размер и прочие параметры опухоли.
Новые сканеры МРТ размером со стиральную машину
Пациент, мужчина лет 70 с копной седых волос, лежит в отделении нейрореанимации в Йельской больнице Нью-Хейвен. Глядя на него, ни за что не догадаешься, что несколькими днями ранее из его гипофиза удалили опухоль. Операция не оставила следов, потому что, как обычно, хирурги добрались до опухоли через нос. Он весело болтает с парой научных сотрудников, которые пришли проверить его успехи с новым и потенциально революционным устройством, которое они тестируют.
МРТ сканер с низким разрешением снимает пациента на кровати в отделении интенсивной терапии Йельской больницы Нью-Хейвен
Цилиндрическая машина высотой по грудь и может быть задумчивым старшим братом R2D2, робота из «Звездных войн» . Один из исследователей осторожно направляет 630-килограммовый самоходный сканер к изголовью кровати, управляя им с помощью джойстика. Подняв человека за простыню, исследователи помогают ему опустить голову в Swoop — портативный магнитно-резонансный томограф (МРТ), изготовленный компанией Hyperfine.
— Хочешь беруши? — спрашивает Винита Ядлапалли, второй исследователь.
— Это так же громко, как обычная МРТ?
— Нисколько.
— Тогда, думаю, они мне не нужны.
Подперев ноги пациента, чтобы уменьшить нагрузку на его спину, Ядлапалли запускает машину, вводя несколько инструкций с iPad. Машина издает низкое рычание, затем начинает издавать звуковой сигнал и щелкать. Через несколько минут на планшете Ядлапалли появляется изображение мозга пациента.
Полчаса мужчина лежит спокойно, сложив руки на животе. В некотором роде он пионер, помогающий вывести МРТ на новый уровень.
Во многих случаях МРТ устанавливает золотой стандарт медицинской визуализации. Первые полезные изображения МРТ появились в конце 1970-х годов. В течение десятилетия коммерческие сканеры распространились по медицине, позволяя врачам получать изображения не только костей, но и мягких тканей. Если врачи подозревают, что у вас был инсульт, опухоль или разрыв хряща в колене, они, скорее всего, назначат МРТ.
Сканер МРТ использует магнитное поле для вращения атомов в живой ткани, особенно протонов в сердцевине атомов водорода, чтобы они излучали радиоволны. Для создания поля в стандартном сканере используется большой мощный сверхпроводящий электромагнит, который увеличивает стоимость аппарата до 1,5 миллиона долларов и более, что делает МРТ недоступным для 70% населения мира. Даже в Соединенных Штатах для получения МРТ могут потребоваться дни ожидания и полуночная поездка в какую-нибудь отдаленную больницу.
В течение многих лет некоторые исследователи стремились создать сканеры, в которых используются постоянные магниты гораздо меньшего размера, сделанные из сплава, который часто используется в настольных игрушках. Они производят поля примерно на 1/25 слабее, чем стандартный магнит МРТ, который когда-то был слишком слабым, чтобы получить пригодное для использования изображение. Но, благодаря лучшей электронике, более эффективному сбору данных и новым методам обработки сигналов, несколько групп получили изображения мозга в таких слабых полях, хотя и с более низким разрешением, чем стандартная МРТ. В результате сканеры стали мобильны, чтобы их можно было подкатить к кровати пациента, и, возможно, достаточно дешевы, чтобы сделать МРТ доступной по всему миру.
Разрешение сканирования мозга с помощью низкопольного аппарата (первое изображение) более грубое, чем у обычной МРТ (второе изображение), но на обоих изображениях четко видно кровоизлияние.
Кэтрин Кинан, инженер-биомедик в Национальном институте стандартов и технологий, которая тестирует сверхтонкий сканер, говорит: «Все, кто проходит через него, впечатлены тем, что он вообще работает». Некоторые говорят, что сканеры также могут изменить медицинские изображения. «Потенциально мы открываем совершенно новую область», — говорит Кевин Шет, невролог из Йельской школы медицины, который много работал со Swoop, но не имеет финансового интереса к Hyperfine. «Это не вопрос «Случится ли это?» Это будет вещью».
В августе 2020 года Swoop стал первым низкопольным сканером, получившим одобрение Управления по санитарному надзору за качеством пищевых продуктов и медикаментов США (FDA) для визуализации мозга, и врачи проводят его клинические исследования в Йельском университете в Нью-Хейвене и других местах. Остальные устройства отстают. Но Эндрю Макдауэлл, физик и основатель консалтинговой фирмы NeuvoMR, LLC, предупреждает, что неясно, существует ли рынок сканеров с низким полем зрения и более низким разрешением. «Настоящей задачей будет убедить врачей начать его использовать», — говорит он. «Это очень сложно, потому что по уважительным причинам они очень консервативны».
Устройство мобильного МРТ-сканера.
Одним из ключевых элементов является современные комплектующие, говорит Джошуа Харпер, инженер-нейронолог из Немецко-Парагвайского университета. «Теперь у нас есть очень быстрая и очень дешевая электроника», — говорит он. «Вот почему это действительно работает». Тем не менее, делать низкопольную МРТ в больничной палате сложно. Металл в других машинах и даже стены могут искажать поле, а статика от других устройств может нарушать радиосигнал. Поэтому сканеры применяют контрмеры. Например, Swoop от Hyperfine использует антенны для измерения радиошума и его подавления, подобно тому, как шумоподавляющие наушники блокируют звук.
Тем не менее, сбор данных достаточно быстро для стандартной реконструкции изображений остается проблемой. Одним из решений является использование новых методов обработки сигналов, включая искусственный интеллект. Инженеры Hyperfine используют набор обучающих изображений, чтобы научить программу, создавать изображения мозга из относительно разреженных данных, говорит Хан Сиддики, главный медицинский директор и директор по стратегии Hyperfine. «Вот тут-то и пригодится наш секретный соус».
В Hyperfine говорят, что их СВУП-СКАНЕР продемонстрировал довольно блестящее начало. Было продано более 100 машин, в основном в США, по цене около 250 000 долларов за штуку. По словам Сиддики, цель состоит не в том, чтобы заменить высокопольные сканеры, а в том, чтобы расширить возможности использования МРТ. «Наш портативный сканер приближает МРТ к пациенту как по времени, так и по расстоянию». Hyperfine предполагает использовать его в нейрореанимации для быстрой оценки пациентов, которые слишком больны или нестабильны, чтобы их можно было подвезти к обычному аппарату МРТ или КТ, который производит трехмерный рентгеновский снимок.
Магнит Свупа состоит из двух дисков и создает поле в 64 миллитесла. Сканер чем то похожий на шлем с антеннами, удерживает вашу голову так плотно, что может касаться вашего носа, но при этом ваши руки и ноги свободны. Звук работы сканера мягкий, даже успокаивающий.
Джонс Обунголох (второй справа), Джошуа Харпер (второй слева) и коллеги с магнитом для сканера, который будет использоваться при операциях в педиатрической больнице в Уганде.
В конце 2019 и начале 2020 года, когда разразилась пандемия коронавируса, Шет и его коллеги просканировали 50 пациентов отделения интенсивной терапии, в том числе 20 с COVID-19. Поскольку многие были подключены к аппаратам ИВЛ и находились под действием седативных средств, «мы понятия не имели, каков их неврологический статус, и не имели возможности проверить их с помощью любого доступного метода визуализации», — вспоминает Шет. «И это дало нам возможность сделать это у постели больного». Сканирование выявило травму головного мозга в 37 случаях, в том числе у восьми пациентов с COVID-19, сообщили исследователи в январе 2021 года в JAMA Neurology .
Сказ о том как я МРТ с металлом в руке проходил
Всем привет!
Как знают мои подписчики, я занимаюсь проектом по изучению имплантируемой электроники, у меня у самого два подкожных электронных устройства, да и других людей я тоже "чипирую".
Так выглядит чип как у меня, фото Алексея Надёжина (ammo1) с моего стенда на Geek Picnic
Одним из важных вопросов в плоскости "какова жизнь с имплантом" является возможность диагностики теми или иными методами, и больше всего сомнений у людей вызывала именно магнитно-резонансная томография (МРТ). Данный вид диагностики задействует мощный электромагнит, который может нагревать и приводить в движение металлические предметы. Известны даже случаи смерти людей из-за подобных инцидентов.
Мне же, зная некоторые технологические тонкости, и ощущая на себе тяжесть долга испытателя, необходимо было пройти обследование лично.
Найти клинику было непросто, на это ушло несколько месяцев, пока на клич не откликнулся московский центр магнитной томографии (да, они полностью сосредоточены на этом) под названием "Мед-7", на улице 1905-го года. При этом в клинике отметили, что исследование для меня проходит в порядке исключения, других же имлантированных не примут без документов и сертификатов, подтверждающих безопасность устройств (а их, конечно же, нет, т.к. нет сертификационной базы для данного класса устройств).
Обследование я проходил на современном томографе Phillips с напряженностью поля в 1.5 Тесла, что является средним значением для современного оборудования такого класса. Процедура длилась 25 минут.
Ради чистоты эксперимента обследовал я непосредственно саму кисть, содержающую в себе гибридный имплант NExT от американской компании Dangerous Things, содержащий в себе сразу два контура - 13.56МГц NFC и 125кГц RFID, он крупнее обычных - 2х14мм против стандартных 2х12мм.
Обследование прошло хорошо, без дискомфорта, правда показало значительные искажения в области имплантации, в радиусе нескольких сантиметров от импланта, исключающие возможность диагностики данного участка выбранным методом.
Пример подобного артефакта в моем случае:
Как объяснили специалисты клиники, подобное могло бы быть скорректировано программно, но программа корректировки разрабатывается под заранее известный металлический элемент, и алгоритмов на такой гаджет у них не было, а вот с более крупным, но заранее описанным титановым коленным суставом томограф справиться в состоянии.
Видеоверсия с более подробным анализом для всех желающих.)











