124

Зубы мудрости: «Выше только...»

Здравствуйте, дорогие друзья! Давненько я ничего не выкладывал, поэтому врываюсь с относительно простым для восприятия случаем. Восьмерки. Да-да, снова они. Ни имплантация, ни даже костная пластика не вызывают у вас бОльший интерес, чем зубы мудрости.


----------------------------------------------------------------------------------------------------------

----------------------------------------------------------------------------------------------------------

ВНИМАНИЕ!-Uwaga!-Pažnju!-Attention!-Achtung!-Attenzione!-ВНИМАНИЕ!-Uwaga!-Pažnju!

Ниже будут представлены фотографии, сделанные во время операции! С видами зубов, дёсен, крови и расчлененки. Слабонервных прошу отказаться от прочтения данной статьи!!!

----------------------------------------------------------------------------------------------------------

----------------------------------------------------------------------------------------------------------


Итак, январь 2019, тот самый злополучный год, с которого все пошло по бороде. Правда, в январе еще не было к этому предпосылок.


Так о чем я, ах да…


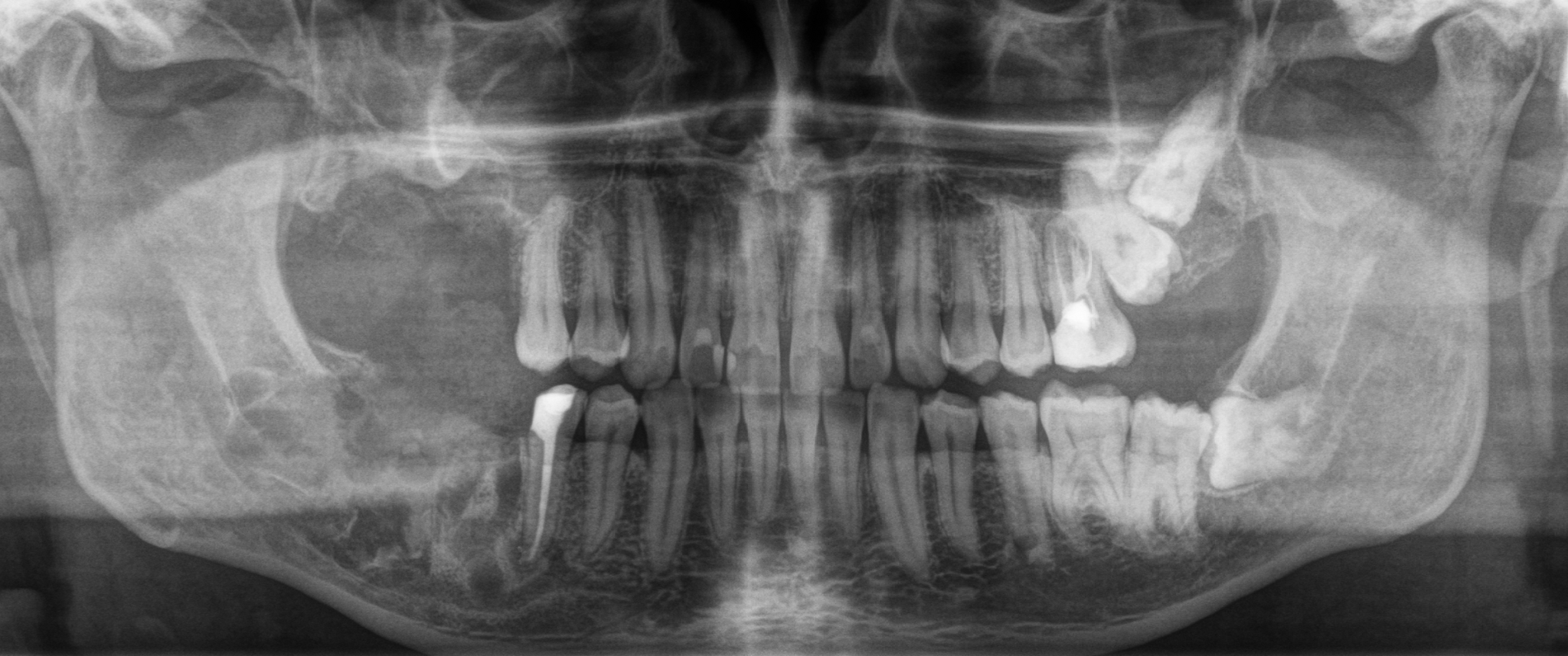
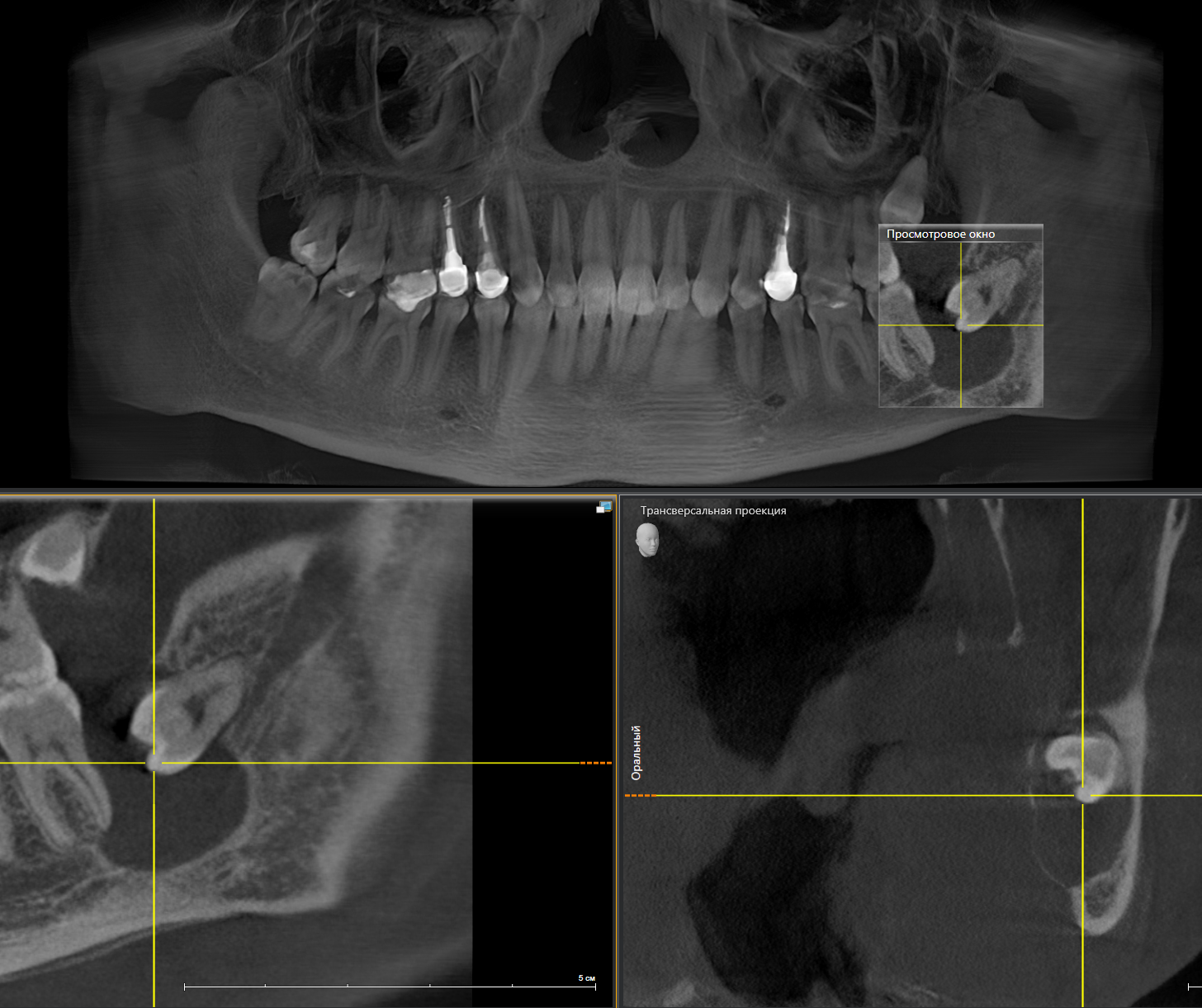
На прием пришла девушка с пожеланием восстановить удаленный ранее в другой клинике зуб на верхней челюсти справа. Ну что ж, без проблем. Направляю пациентку на компьютерную томографию для оценки ситуации. И вдруг я вижу «её» – притаившуюся в пазухе омерзительную восьмерку, которая, противно ухмыляясь, смотрит прямо на меня.

Кроме того, что она сама по себе противная, так еще она успела навредить 7му зубу.

Красным пунктиром отмечено разрастание фолликулярной кисты, которая распространилась в область корней зуба по соседству.


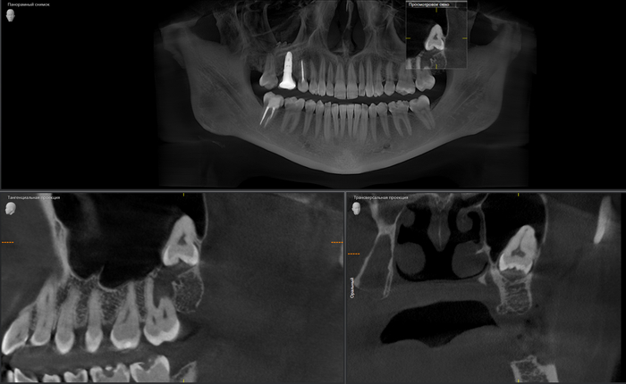
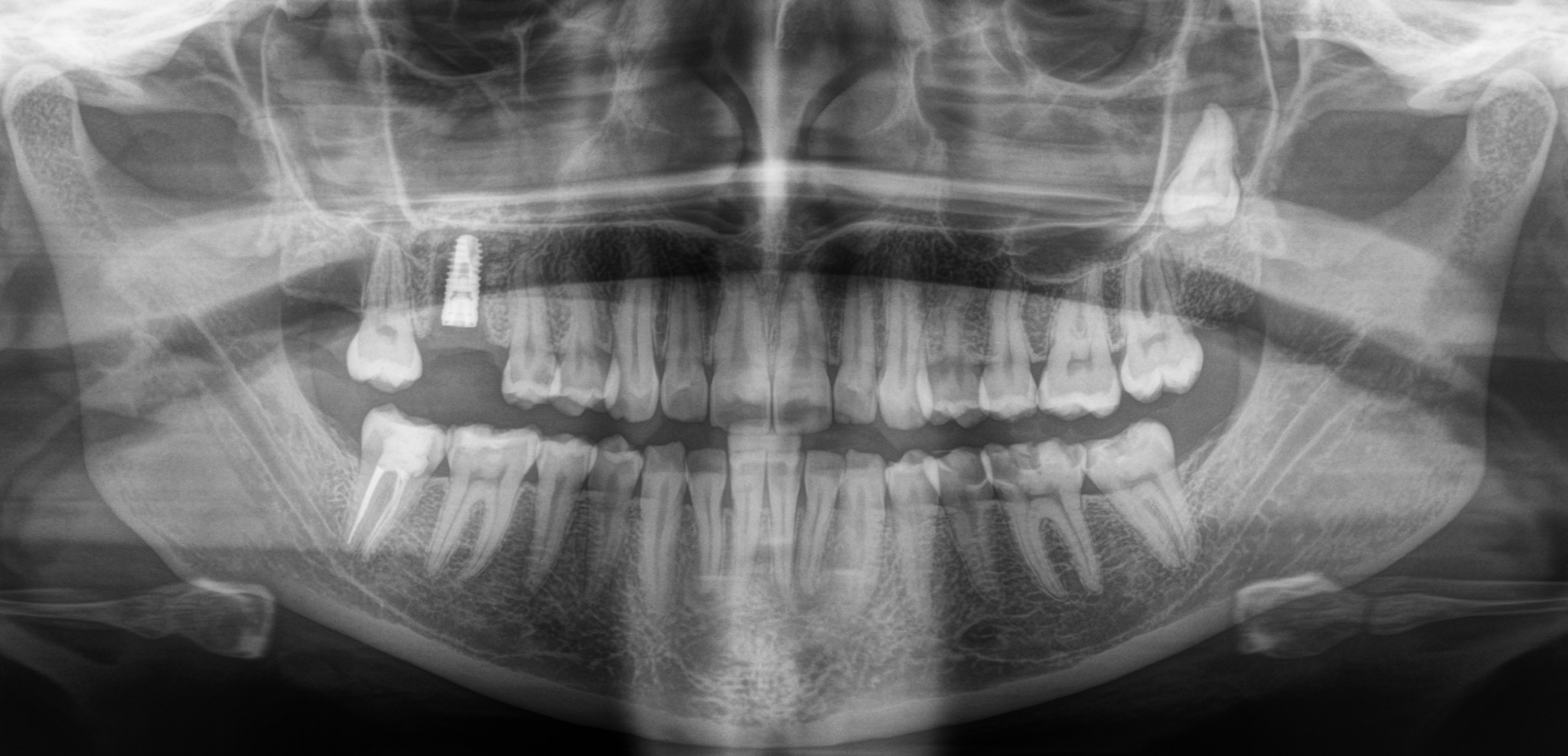
На панорамном снимке, сделанном после имплантации, хорошо видно, насколько высоко и неудачно она располагается:

Кстати, про этот клинический случай с имплантацией я рассказывал в этой статье.


Зуб, как мы выяснили, не самый приятный. Удалять его не особо-то и хотелось, поэтому я принял решение за ним понаблюдать и повторить снимок через год.


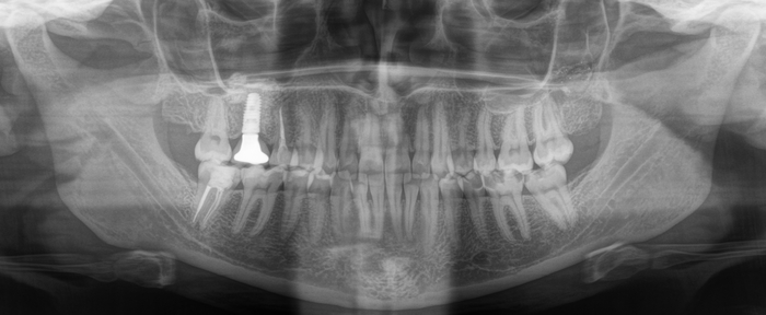
Вжух и год позади:

В целом, каких-то явных изменений нет. В подтверждение тому, что это не один и тот же снимок, вы можете обратить внимание, что на имплантате уже установлена постоянная коронка.


Ну, думаю, заебись. Наблюдаем дальше


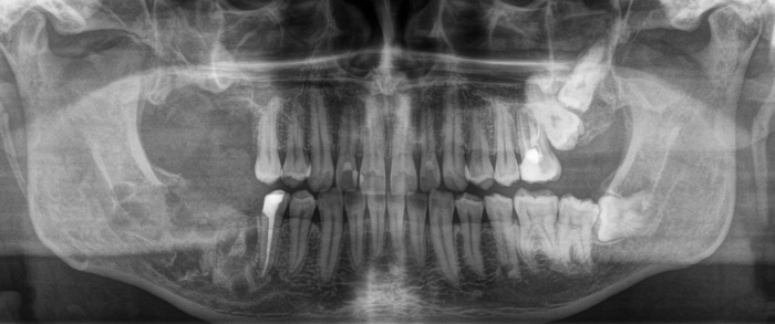
Время нещадно и неумолимо проносится, пациентка приходит в очередной раз на осмотр, ассистентка делает снимок и…

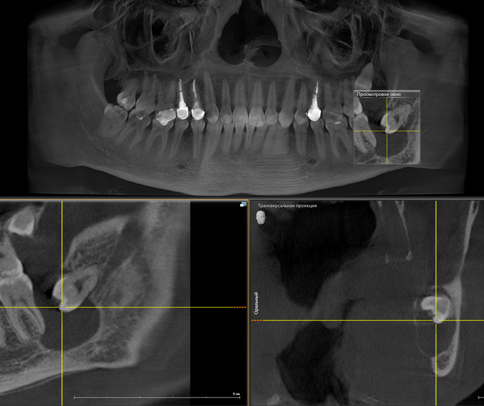
Добрый вечер… А что это значит?... Прекрасно видно, что фолликулярная киста начала расти и оттеснять зуб мудрости дальше в пазуху, что несколько затрудняет его удаление. Блять, подумал я, надо было сразу удалять.


Сделал глубокий вдох, тихонечко выдохнул и говорю пациентке, что этот день настал. Надо, дескать, зуб удалять, иначе пиздец. Девушка боевая, ее это не напугало. Она, кивнув головой, дала добро, и я приступил к операции.


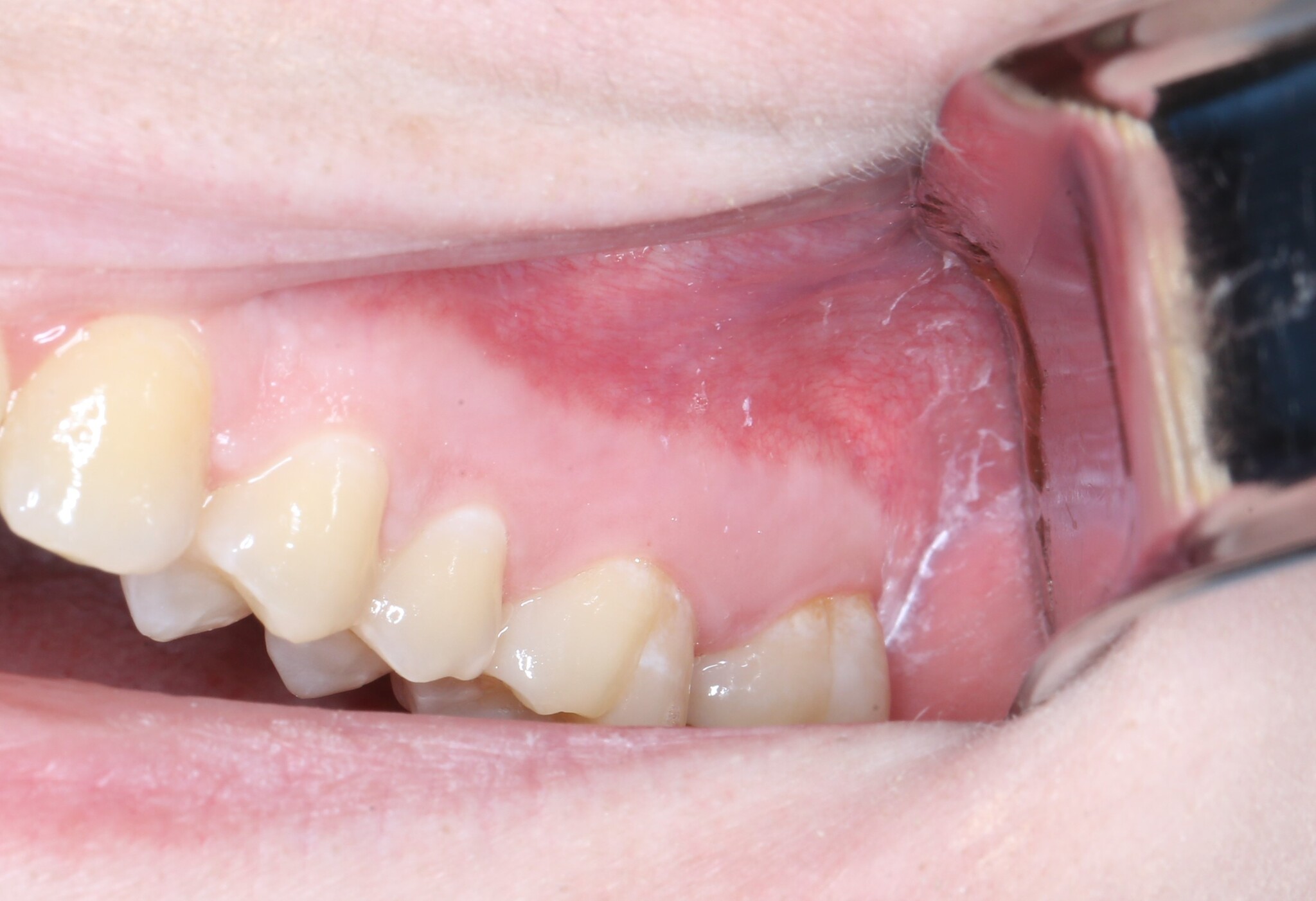
Вот так выглядит область, в которую мы планируем вмешаться:

Обычно я подробно расписываю этапность всех манипуляций – от анестезии до швов. Однако после 10-го раза мне написали о том, что я повторяюсь. Поэтому вкратце.


(Если кому-то интересен ход практически любой операции с картинками и объяснениями, то вы можете прочесть любую статью на тему костных пластик, например).


Я сделал анестезию, разрез и отслоил слизисто-надкостнечный лоскут:

Добрался до кости и при помощи специального прямого наконечника и шаровидного бора сделал окошко в проекции верхнечелюстной пазухи и удаляемого зуба мудрости:

Вооон там сверху уже можно увидеть жевательную поверхность зуба (белого цвета).


Понял, что окошко маловато. Немного «расширяемся»:

и начинаем подтягивать зуб при помощи элеватора:

Вот и он «красавчик». Берем зажим и хватаем эту мразоту за хвост, точнее за фолликул и извлекаем:

Зуб мудрости и та самая «киста»:

Далее швы и в общем-то и все:

Контрольный снимок после удаления:

На всё про всё ушло минут 25, а вы говорите стационар


После снятия швов пациентка была направлена к терапевту для принятия решения о необходимости лечения каналов в 7м зубе. После проведения холодовой пробы стало понятно, что зуб живой, поэтому необходимости в его лечении на данный момент нет. Оставляем под пристальным наблюдением.


К слову, про стационар и зубы мудрости…


Когда же вы уже поймете, что для удаления подобных зубов:

требуется 20 минут, а никак не трехчасовой наркоз и трое суток в стационаре. (подобный случай я описывал подробнее в этой статье)

А для таких:

Чуть меньше часа (отдельно верх, отдельно низ):

В данном случае я очень долго и подробно рассказывал молодому человеку обо всех возможных осложнениях, особенностях восстановления и дальнейшем протезировании. Более того, я планирую написать полноценную статью по этому клиническому случаю, когда у пациента будут стоять имлантаты.


На сегодня всё! Спасибо, что дочитали!


С уважением, Андрей Дашков.


----------------------------------------------------------------------------------------------------------

----------------------------------------------------------------------------------------------------------

К слову, выключите запрет на тег "жесть"! В противном случае, некоторые мои статьи вы не увидите.

----------------------------------------------------------------------------------------------------------

----------------------------------------------------------------------------------------------------------


Мои:


Инстаграм


Фейсбук


-----------------------------------------------------------------------------------------------------------------------------------------------------------------------


Что еще почитать?


Про имплантацию зубов и костные пластики:


- Установка имплантата: как это делается?


- Синус-лифтинг: как это делается?


- Расщепление в стоматологии: как это делается?


- Пересадка костного блока: как это делается?


- Синус-лифтинг и одномоментная имплантация


- Имплантация при полном отсутствии зубов, как следствие несвоевременного обращения к

стоматологу


- Тотальное протезирование на имплантатах


- Одномоментная имплантация и немедленная нагрузка


Про зубы мудрости и их удаление:


- Зубы мудрости: удалить нельзя оставить


- Последствия несвоевременного удаления зубов мудрости. Часть I


- Последствия несвоевременного удаления зубов мудрости. Часть II


- Удаление зубов мудрости. Как это делается?


- ЧЛХ или не ЧЛХ? Вот в чем вопрос…


- Онемение после удаления зуба мудрости


- Зубы мудрости: Тянем-потянем!


Про профессиональную гигиену полости рта:


- Профессиональная гигиена полости рта. Часть I


- Профессиональная гигиена полости рта. Часть II. Как это делается?


И, конечно:


- Дистализация зубов


- Удаление кисты малой слюнной железы. Как это делается?


- Сверхкомплектные зубы


- Удаление зуба, «недорого»... последствия


- Удаление зуба: как это делается?


- Стоматология: ожидание и реальность


- Рекомендации после приёма хирурга-стоматолога


- Как выбрать врача и стоматологическую клинику?


- Голая правда (статья о формировании стоимости лечения в стоматологической клинике)