Инфаркт в 21 год? Да!2
История возникла пару лет назад, молодой человек 21 год, поступил с жалобами на интенсивную давящую боль по центру грудины, монотонного характера, усиливающуюся при глубоком вдохе и поворотах туловища, с иррадиацией в левую руку, шею, сопровождающуюся общей слабостью, потливостью. Боль возникла при физ. нагрузке ( играл в футбол ), аналогичный приступ болей в грудной клетке был ранее три месяца назад - возник на фоне нагрузки (разгружал мебель ), продолжался 2 дня, купировался самостоятельно, за мед помощью не обращался, не обследовался. Курение отрицает. Употребление наркотических средств отрицает, пиво да.
Осмотрен дежурным кардиологом: с учетом клинических характеристик, результатов ЭКГ и лабораторных обследований, болевой синдром в грудной клетки не укладывается четко в критерии КН, данных за ТЭЛА, расслаивающую аневризму аорты нет, необходимо дальнейшее наблюдение, дообследование по алгоритму дифф. диагноза болевого синдрома в грудной клетке
Вес 86 кг, ;Рост 173 см. ; Индекс массы тела 29 кг/м2.; Вес стабильный
На следующее утро - тошнота, без рвоты , неинтенсивный дискомфорт в грудной клетке тупого характера , без иррадиации. без вегетативной симптоматики Одышки в покое нет, лежит горизонтально. При этом вылез Тропонин T - 0,356 нг/мл (повышен, маркер повреждения миокарда) и КФК - 762,9 (повышение более чем в 4 раза - тоже указывает на некроз сердечной мышцы. На основании этого выставляется диагноз: ИБС: первичный ИМ без подъема сегмента ST неуточненной локализации, вероятно 2 типа. Направлен экстренно на коронарографию.
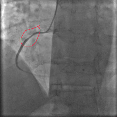
Для начала сразу обратил внимание на это:
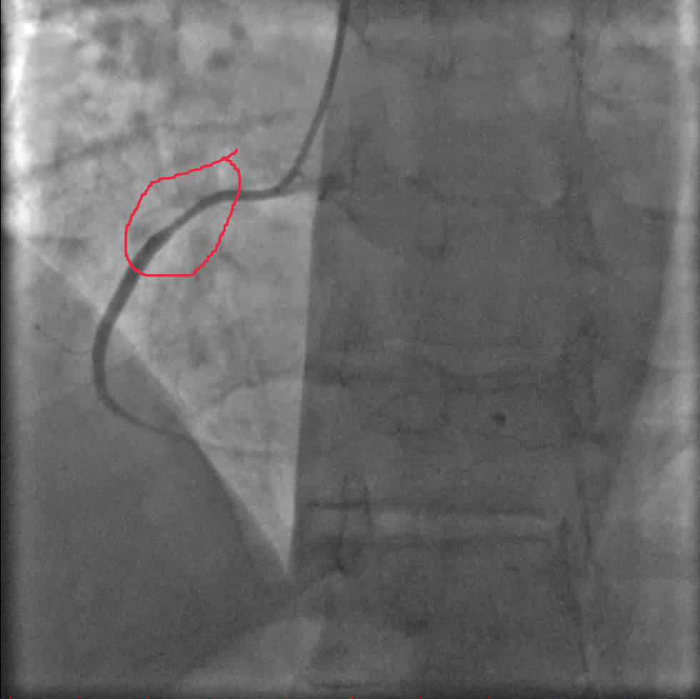
И что же там?? На коронарографии? Для краткости пару проекций (видео)
Пояснение - полная закупорка (стрелкой указано место где закрыт сосуд) передней межжелудочковой артерии - одна из самых важных в кровоснабжении сердца.
Скобками показан пораженный участком правой коронарной артерии (расслоение сосуда, вследствие надрыва стенки). Правая артерия часто вторая по значимости после передней.
Итак мы имеем поражение двух основных сосудов из трех, питающих сердце. Для уточнения характера поражения, решено провести дополнительное обследование - внутрисосудистое УЗИ - заводится специальный датчик и путем его перемещения, смотрим что там происходит внутри (есть УЗИ наружное, тут УЗИ внутреннее в сосуде). Сделали протяжку на протяжении передней артерии:
Тут конечно не специалисту трудно разобрать, что и где, это просто иллюстрация, как это выглядит на экране (все можно с точностью до 0,1 мм измерить и оценить).
Для понимания вот что увидели:
Выявлена протяженная диссекция (надрыв сосуда) с образованием объемной интрамуральной гематомы, сдавливающей просвет сосуда до окклюзии (100% закупорка) + тромбоз в полостях гематомы.
Далее все было стандартно. Два длинных стента с таким результатом:
В дальнейшем молодого человека брали повторно, для оценки результата с контролем внутрисосудистого УЗИ и лечением правой артерии.
В итоге с ним все хорошо.
Интересное было в анализах:
ТТГ-7,63 мкМЕ/мл (повышен)
Пролактин 25,4 нг/мл (референс 4,0-15,2) (повышен)
Эстрадиол (Е2) 49,5 нг/мл (референс 11,3-43,0) (повышен).
Таким образом видим значительные проблемы с гормональным фоном у МЧ (отсюда гинекомастия), все это могло теоретически спровоцировать спонтанную диссекцию (надрыв коронарого сосуда) с гематомой внутри сосуда, которая сдавила просвет артерии с развитием инфаркта (не атеросклероз, как обычно).
Из необычного - такое чаще бывает у женщин (более 80%) со средним возрастом 43 года. Как причина инфаркта спонтанная диссекция встречается в 0,1-0,4% случаев.
Кроме этого, изменения в правой артерии (исход диссекции) скорее всего были обусловлены сердечным приступом ранее, несколько месяцев до поступления (разгружал мебель). Если бы тогда обратился за мед.помощью с коронарографией, возможно, можно было бы избежать повторного (не факт конечно, но тем не менее)
В общем такой вот нетипичный случай молодого инфаркта.
Постарался доступно, насколько можно. Основной посыл - не стесняйтесь, обращайтесь к врачам, лучше "перебздеть" чем...
Пост не для рейтинга, только с образовательной целью. Мне этот случай запомнился )












Все о медицине
14K поста41.6K подписчиков
Правила сообщества
1)Не оскорбляйте друг друга
2) Ув. коллеги, при возникновении спора относитесь с уважением
3) спрашивая совета и рекомендации готовьтесь к тому что вы получите критику в свой адрес (интернет, пикабу в частности, не является медицинским сайтом).