ЧЛХ или не ЧЛХ? Вот в чем вопрос…
ЧЛХ или не ЧЛХ? Вот в чем вопрос…
Дорогие друзья, мы с вами уже обсуждали какие бывают зубы мудрости, что бывает, если их не трогать, и как проходит само удаление.
или вот
Казалось бы, что в этом сложного?
Но! До сих пор, приходят на консультацию пациенты и говорят, что — «А вот в другой клинике доктор сказал…» Мол, такие дико сложные зубы удалять вне стационара, отделения ЧЛХ (челюстно-лицевой хирургии), да еще и без общего наркоза никак нельзя. Типа, чревато последствиями.
Мало того, что слова — «больница» и «челюстно-лицевая хирургия» у многих пациентов вызывают чувство страха на грани панической атаки, так еще и после подобных заявлений убедить их в обратном крайне сложно.
После подобных запугиваний, а по-другому я это назвать не могу, многие действительно идут в больничку, собирают анализы, соглашаются на интубационный наркоз и лежат несколько дней в палатах, наслаждаясь местным обществом, внимательным отношением санитарок и внутрибольничной инфекцией.
При этом, на вопрос «А как же Вам обосновали необходимость удаления зуба исключительно в отделении ЧЛХ?» я ни разу не получил внятного ответа.
Единственное, что обычно говорят: «Ну, мне сказали зуб сложный… он глубоко… рядом нерв…». Да, я вполне могу представить, что всё это — правда, и нерв там есть, еще и лунка глубокая, но… какая принципиальная разница в технике стационарного и амбулаторного удаления?
Обследование?
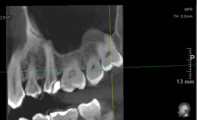
Ну, компьютерную томографию (3D объемный снимок) можно сделать - где угодно.
Для чего?
А для того, что ортопантомография (ОПТГ, обзорный или панорамный снимок зубов), является плоскостным, а значит происходит наложение каждой детали снимка послойно друг на друга. Следовательно, рассмотреть объект исследования, в частности, область зуба мудрости, расположенного рядом нижнечелюстного нерва, во всех плоскостях, под иным углом или другой проекции невозможно. КЛКТ (Конусно-лучевая компьютерная томография), напротив дает нам такую возможность.
Может быть, в этих ваших ЧЛХ, работают специально обученные доктора, обладающие методикой бесконтактного удаления зубов? Которые без разрезов и каких либо усилий одной лишь силой мысли заставят 8ку рассосаться?
Так ведь тоже нет!
А я все продолжаю спрашивать: «Видимо зуб быстро удалили и ничего не беспокоило?» Блин! Даже тут не попал.
Среднее время удаления нижних ретинированных зубов мудрости (тех, что находятся полностью под десной) в подобных учреждениях, со слов пациентов, составляет 2,5 часа. Пару раз я слышал, только вдумайтесь, про 4(!) часа. Вы не считаете это перебором? За это время можно провести синуслифтинг с двух сторон, установить 8 имплантатов, заказать себе обед, да еще и успеть вздремнуть. На мои заявления типа «у нас в клинике удаление подобного зуба занимает в среднем 25-30 минут, от анестезии до шва», многие, мягко говоря, смотрят с удивлением.
Я думаю,что вы, проведя 4 часа в кресле стоматолога, да еще и какого-нибудь профессора, обвешанного свистелками-перделками, вряд ли поверите в то, что все это можно было сделать «немного» быстрее. И в более дружественной, спокойной и комфортной атмосфере. Без лишних рисков и беспокойств.
Так почему для удаления зубов мудрости людей отправляют в стационар ЧЛХ? Кто это делает?
А вот кто:
— либо доктор не умеет/боится удалять подобные зубы и хочет перестраховаться, направив вас к другому специалисту (что вероятнее всего)
— либо вас хотят развести на деньги.
С первым пунктом всё понятно. Не умеешь — отдай другому. Это правильно.
Но причём тут деньги и почему «развести»? Потому, что вы платите за услуги, в которых, как мы только что выяснили, нет никакой необходимости:
— стоимость проведенных суток в стационаре составляет около 4 тыс.руб. В зависимости от того, будет ли у вас одиночная палата, или вы в течение нескольких ночей будете слышать храп еще двадцати таких же «счастливцев» с зубами мудрости.
Но это еще не все.
При необходимости общего наркоза, добавьте к вашим потраченным на палату деньгам консультацию врача анестезиолога-реаниматолога (около 1,5 тыс. руб), необходимое лабораторное обследование (в среднем, 3 тыс. рублей), ну и саму процедуру общей анестезии. Минимум, два часа, но бывает и больше. И это может обойтись вам от 8 до 30 тыс. рублей.
А ведь еще сама хирургическая операция чего-то стоит, верно? Как правило — удаление ретинированного зуба обходится от 14 до 23 тыс. рублей. Можем предположить, что в хорошей больничке стоимость удаления будет сопоставимой (не считая палаты, анестезии, анализов, консультаций и наркоза).
Чувствуете разницу? Ну не развод ли? Вас пугают, потом трясут с вас деньги. Немаленькие деньги.
Для чего я вообще всё это написал?
Я хочу сказать вам, дорогие друзья, что практически не существует таких зубов мудрости, которые нельзя было бы удалить вне стационара, на обычном амбулаторном приеме. Потратив, от силы, сорок минут на консультацию, обследование и саму операцию, вы решите проблему раз и навсегда. В минимальные сроки вы снова будете в строю, сможете заниматься своими делами, почти не выбиваясь из обычного образа жизни. Не нужно брать больничный и нанимать сиделку. Живите обычной жизнью, но с небольшими послеоперационными рекомендациями, назначениями и осмотрами.
Спасибо, за внимание. Буду рад ответить на ваши вопросы в комментариях здесь, в блоге или социальных сетях.
С уважением, Андрей Дашков.























