zverkoff

Пикабушник
Дата рождения: 29 октября
37К рейтинг 3886 подписчиков 104 подписки 44 поста 36 в горячем
Награды:
5 лет на Пикабуноминант «Продуктивность года – 2018»За серию постов "Из жизни рентгенолога"более 1000 подписчиков
72

Ложный сустав - последствия выстрела в плечо

Серия Записки рентгенолога

Давненько я не писал)

Планово для МСЭ обследовали мужчину, которому в 1983 г. в пьяной драке выстрелили из ружья в левое плечо. Плечевая кость была сломана выстрелом, перебеты все нервы (до сих пор не двигаются пальцы на руке, плохо гнется рука в плечевом суставе. Сформировался лодный сустав (т.е. кость не срослась вообще). Кость деформировна. В проекции перелома множественные металлические осколки дроби.

Так выглядит плечевая кость в прямой проекции

Так выглядит плечевая кость в прямой проекции

А так если он поднимает руку кверху - рука как бы "болтается" на этом ложном суставе.

А так если он поднимает руку кверху - рука как бы "болтается" на этом ложном суставе.

Почему сразу не сделали никакую операцию - непонятно. Всю жизнь на инвалидности.

Всегда выбирайте, с кем выпивать, иначе последствия могут быть и такими.

Всем здоровья!

Показать полностью 2
54

Записки рентгенолога

Серия Записки рентгенолога

Часть 25

Часть 24

Часть 23

Сегодня посмотрим на эндопротезы суставов. Для начала коленных. На снимке видно, что они разные по конструкции, т.к. ставились с промежутков почти в 10 лет - в 2014 и в 2023 году:

На снимке ниже эндопротезы тазобедренных суставов, которые ставились с разницей в три года:

На следующей Rn-грамме правого тазобедренного сустава №3911 определяется состояние после металлоостеосинтеза пластиной и винтами после трансцервикального перелома проксимальной трети бедренной кости в 2021 г. Было проведено несколько операций, но сращение так до конца и получилось. Теперь такая картина:

Ну и напоследок снимок с травмы, обратился мужчина: работающая бензопила упала на ногу по время работы, пропилила мягкие ткани и кусочек первой плюсневой кости. Будьте аккуратнее во время работы)

Показать полностью 4
63

Записки рентгенолога (часть 25). Миома матки, камни мочевого пузыря, культи бедренных костей, обызвествление бедренных артерий

Серия Записки рентгенолога

Прошло 4 года с момента моей последней публикации постов "Из жизни рентгенолога". Частично вернулся в профессию, по вечерам удаленно описываю снимки для районной больницы. Буду делиться с вами, друзья)

Начнем с миомы матки. Выглядит она вот так (но это уже достаточно давнишняя миома):

Еще один снимок таза, в котором можем наблюдать сразу три выраженных патологии (артроз тазобедренных суставов тут тоже есть, но про артрозы будет отдельный пост):

- множественные камни в мочевом пузыре

- культи обеих бедренных костей после ампутации в следствии обморожения

- выраженное обызвествление бедренных артерий

Показать полностью 2
47

Нужен совет про сферу гос.закупок

Друзья! Немного сменил сферу деятельности, посему пока постов про рентген нет.

Зато есть несколько вопросов про гос.закупки. Ситуация следующая. Несколько лет назад у нашей мед.организации был заключён договор с провайдером на аналоговую и IP-телефонную связь. Платили прямыми договорами каждый квартал. В июле этого года приняли закон, позволяющий платить по прямым договорам не более 5 тыс. Приходится организовывать электронный аукцион. И возникает ряд вопросов.

Часть 1. Как оставить старого поставщика.
1. Как написать ТЗ, чтобы выиграл именно наш старый поставщик? (К нему привязаны все телефоны, и если сменится поставщик, вероятно сменятся все телефоны организации, а это огромный геморрой)
2. Можно прямо в ТЗ написать, что нам необходимо, чтобы остались старые номера? Не будет ли это ограничением для других организаций, которые потом пожалуются в ФАС?
3. Если так нельзя, то как можно написать?

Часть 2. Если все-таки поставщик сменится
1. Городские номера телефонов - это имущество провайдера или города? Имеем ли мы право сохранить номера, сказав что они нам нужны?
2. Можем ли мы выкупить городские номера в собственность клиники?
3. Если нет, то обязан ли один провайдер передать эти номера другому, который выиграет этот аукцион?

Заранее спасибо всем за ответы, а особенно за пруфы законодательства, позволяющие разобраться в этой непростой и новой для меня ситуации.

Показать полностью
704

Из жизни рентгенолога. Часть 24.

Предыдущие части: 23, 22, 21

Сегодня будет пост о том, какие последствия могут быть после переломов бедра. Несколько интересных снимков с металлоостеосинтезом, фистулаграфией и остеомиелитом.

Для начала вспомним, как выглядит на рентгенограмме бедро и бедренный сустав в относительной норме (чтобы было в дальнейшем с чем сравнивать):

А теперь к травмам и патологиям.

1.

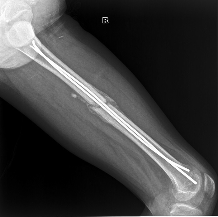
Ребенок 13 лет, перелом бедренной кости. Вставили два тена. Как видно, эндостальная консолидация (сращение внутри кости) слабо выражена, зато резко выраженная периостальная консолидация (костная мозоль вокруг перелома).

И вот еще один снимок с разницей почти в 4 месяца, видно, что срослось хорошо.

2.

Мужчина, 27 лет, перелом вертлужной впадины, установлены металлические пластины с болтами, фиксирующие вертлужную впадину.

3.

Ребенок, 8 лет, надвертельный перелом шейки левой бедренной кости. Установлены 4 спицы, фиксирующие перелом.

4.

Мужчина, 40 лет, состояние после остеосинтеза штифтом и клином бедренной кости по поводу перелома верхней трети диафиза бедренной кости. Консолидация умеренная, смешанная

5.

Мужчина, 28 лет, после автомобильной аварии были множественные переломы бедра, вторично установлены 3 штифта и 3 пластины, одна из которых сломана. Костная структура с выраженным остеопорозом.

6.

Ну и напоследок самое интересное, на мой взгляд.

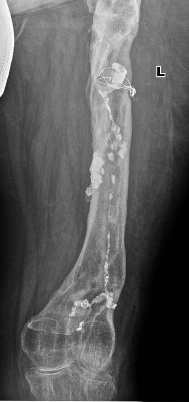
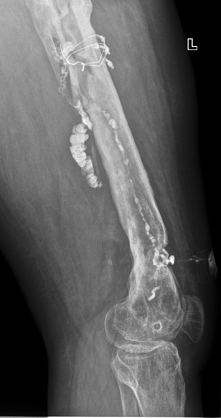
Женщина, 42 года, состояние после перелома левой бедренной кости в верхней и нижней трети, выраженный хронический остеомиелит. В верхней трети диафиза бедренной кости визуализируются остатки проволоки и булавовидной формы инородное тело.

Подозрение на свищ (свищевым ходом (свищем) называется канал, который соединяет место воспаления с какой-либо полостью и создает отток воспалительной жидкости (экссудата) или гноя. Это защитная реакция организма: выведение токсических (отравляющих) продуктов, вырабатываемых микробами).

Выполнена фистулография (методика рентгенологического исследования свищевых ходов с введением контраста) через свищевой ход на передней поверхности нижней трети бедра. Визуализируется свищевой ход, извитой формы. Контрастное вещество распространяется по костно-мозговому каналу бедренной кости от дистального метадиафиза до верхней трети кости (до места установки проволоки) с затеканием в мягкие ткани.

Снимки в прямой и боковой проекциях. Белые штуки вокруг костей - это контраст.

На сегодня все.

Берегите себя!

Показать полностью 9
1730

Из жизни рентгенолога. Часть 23. Как я спалил, что сын лаборанта курит

Предыдущие части: 22, 21, 20

Вспомнил, историю, которая произошла пару лет назад еще на предыдущем месте работы.

Лаборант, работавшая в тот день со мной говорит - после обеда сын придет, школу заканчивает, хочет на лето куда-то на подработку устроиться, попросили флюорографию.

Не вопрос, говорю, сделаем. Пусть приходит.

Приходит молодой парень 16 лет, лаборант его снимает, я открываю на втором компе снимки и смотрю на них. Обычные легкие, без всяких патологий.

И тут в голову приходит шутка, дескать, а ящас разыграю парня, скажу, что по легким видно, что он курит. Ну и спрашиваю такой его, строго: ты что, куришь??

Думаю, щас парень скажет нет и все. А он замешкался, засуетился, покраснел, стоит, на мамку смотрит не мигая. Тут я понял, что зря так пошутил - спалил парня, сам того не желая.

Лаборант такая - так, сына, ну рассказывай. Давно ли? Нравится, аль нет?

Он что-то начал говорить в свое оправдание, типа недавно совсем, только попробовал, больше не буду.

Ладно, говорит мамка, иди сына домой. Вечером поговорим.

Парень, если ты читаешь это - прости меня! Я не думал, что шутка окажется не шуткой. Хотя курить - вредно!

Показать полностью
1801

Из жизни рентгенолога. Часть 22. Травматическая.

Предыдущие части: 21, 20, 19

Сегодня в посте:

1. Сложный перелом плечевой кости

2. Прыжок с высоты на пятку

3. Трепанация черепа

4. Забор костного материала для аутотрансплантации

Случай 1. Сложный перелом плечевой кости

Бабушка, 88 лет, упала на дороге. Понятно, что чем старше человек, тем его кости более хрупкие. Но тут плечевая кость, что называется, просто “разлетелась”.

Вот как выглядит относительно здоровое плечо:

А вот такой перелом у бабушки:

Случай 2. Прыжок с высоты на пятку

Мужчина, 44 года, упал с высоты на пятку. Травма больше 4 месяцев назад, пришел на контроль. Определяется состояние после металлоостеосинтеза 5-ю шурупами по поводу перелома пяточной кости.

Случай 3. Трепанация черепа

Мужчина, 36 лет. В состояние алкогольного опьянения попал под поезд. Множественные переломы, ампутация правой нижней конечности (середина голени), оскольчатый перелом левой теменной кости. Вот эти осколки как раз и убрали во время трепанации черепа, а мы смотрели размер костного дефекта (3,5х2,7 см).

Случай 4. Забор костного материала для аутотрансплантации

Интересный случай, впервые в моей практике. Женщина после автомобильной аварии, сломана вся левая сторона – голень, бедро (видно штифты и там и там, но сейчас не про них). Для того, Чтобы закрыть костный дефект голени, ей забирали костный материал с повздошных костей таза. Эти костные дефекты мы и измеряли. Выглядят они вот так:

А так выглядит голень, где этот костный материал был “вставлен” в большую берцовую кость:

Интересно, что здесь наружный фиксатор (обычно внутренние, прям на кости). Железо лежит сверху ноги, а в кость входят только фиксирующие винты – для того, Чтобы не повредить замещенный костный участок.

На сегодня все. Всем добра и поменьше травм!

Показать полностью 8
Отличная работа, все прочитано!

Темы

Политика

Теги

Популярные авторы

Сообщества

18+

Теги

Популярные авторы

Сообщества

Игры

Теги

Популярные авторы

Сообщества

Юмор

Теги

Популярные авторы

Сообщества

Отношения

Теги

Популярные авторы

Сообщества

Здоровье

Теги

Популярные авторы

Сообщества

Путешествия

Теги

Популярные авторы

Сообщества

Спорт

Теги

Популярные авторы

Сообщества

Хобби

Теги

Популярные авторы

Сообщества

Сервис

Теги

Популярные авторы

Сообщества

Природа

Теги

Популярные авторы

Сообщества

Бизнес

Теги

Популярные авторы

Сообщества

Транспорт

Теги

Популярные авторы

Сообщества

Общение

Теги

Популярные авторы

Сообщества

Юриспруденция

Теги

Популярные авторы

Сообщества

Наука

Теги

Популярные авторы

Сообщества

IT

Теги

Популярные авторы

Сообщества

Животные

Теги

Популярные авторы

Сообщества

Кино и сериалы

Теги

Популярные авторы

Сообщества

Экономика

Теги

Популярные авторы

Сообщества

Кулинария

Теги

Популярные авторы

Сообщества

История

Теги

Популярные авторы

Сообщества