511

Про выживаемость раздолбаев

Это продолжение поста: Про хамство и пофигизм пациентов


Сегодня пришел ко мне снимать гипс тот самый паренёк, который сломанной рукой арбузы разгружал. Прошмыгнул в кабинет тихий, как мышь. Без отца пришёл. Тот, видимо, не горит желанием со мной общаться после произошедшего.

Отковыряв гипс от данного субъекта, отправляю его на снимок. И там *барабанная дробь*... Вопреки здравому смыслу, всё прекрасно сраслось!

Поофигевав от выживаемости пациента, сообщил ему, что всё отлично и отпустил на все четыре стороны.


P.S. Снимки прилагаю. Разница во времени между первым и вторым - 25 дней. Был еще снимок в чисто боковой проекции, но его как-то коряво сохранили и я не отыскал его в базе.

Вы смотрите срез комментариев. Показать все
62
Автор поста оценил этот комментарий

А ткните где было сломано?

раскрыть ветку (28)
28
Автор поста оценил этот комментарий

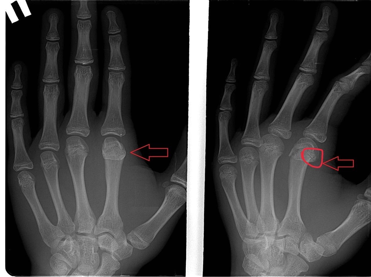
Вот здесь

Иллюстрация к комментарию
раскрыть ветку (27)
58
Автор поста оценил этот комментарий
Спасибо но понятнее не стало)
раскрыть ветку (9)
9
Автор поста оценил этот комментарий
Насколько я поняла - вот трещина, красной линией, напоминающей круг, выделила.
Иллюстрация к комментарию
раскрыть ветку (8)
18
Автор поста оценил этот комментарий
То что вы обвели красным кружочком это зона роста:) если присмотритесь подобные линии просветления есть и на остальных пястных костях
Для вашего удобства обвёл линию перелома синим, видно дефект кортикального слоя
Иллюстрация к комментарию
раскрыть ветку (4)
4
Автор поста оценил этот комментарий
Ага, поняла, а почему на втором рентгене тоже видно перелом? Получается, все-таки не срослась кость или я не так вижу?
раскрыть ветку (3)
13
Автор поста оценил этот комментарий
Второй снимок это процесс консолидации или сращения костной ткани. Линия перелома действительно прослеживается, но если обратите внимание, то заметите, что контуры уже более гладкие, сама линия менее четкая и в ней имеются более плотные участки. Это происходит формирование так называемой костной мозоли
Иллюстрация к комментарию
раскрыть ветку (2)
5
Автор поста оценил этот комментарий
Большое спасибо за объяснение!
раскрыть ветку (1)
4
Автор поста оценил этот комментарий
Пожалуйста!:)
28
Автор поста оценил этот комментарий
Понятно что на врача учат долго и не зря. Если пересмотреть тысячи снимков мозг адаптируется. Да после выделения красным поиск сузился, но если врач пошутил и ткнул стрелочку не туда можно с тем же успехом найти и другие аномалии) очень всё зыбко очень... А врачам респект и уважуха!
раскрыть ветку (2)
2
Автор поста оценил этот комментарий

Именно поэтому я несчадно пизжу свою жабу только в случае необходимости оплаты чего-нить медецинского толка. Тем более один раз допустил ошибку - чуть не испортил себе жизнь)

раскрыть ветку (1)
2
Автор поста оценил этот комментарий

ну платная медицина бывает разная. Давеча вон делал тесты на ковид, будь он не ладен. В одной конторе за 1200 делают тест результат которого не протухает на госуслугах 48 часов, а вторые за 1400 делают тест который на госуслугах протухает через 14 часов и очень обижаются когда получают единичку в дубльгисе)))

28
Автор поста оценил этот комментарий

как вы там что-то видите... по мне одинаковые фото)

раскрыть ветку (6)
20
Автор поста оценил этот комментарий

Да вооще, это заговор докторов, точно говорю. Друг вон ногу на хоккее подвернул, ходил хромал. Ну и ходил бы себе, чё там. Так нет, затащила его жена в травму. Всё зло от баб, точно говорю! Там его поймали, скрутили и намотали гипс, сказали - порвал связку, теперь ходи как дурак три недели. И палку дали.

А ещё дали снимки, мы их изучали пристально - вот не видно там нифига, всё тёмное и целое. Точно заговор!

раскрыть ветку (2)
8
Автор поста оценил этот комментарий
А врачебный почерк ещё одно доказательство.
2
Автор поста оценил этот комментарий
Так связки на рентгене и не видно, диагноз ставят по анамнезу, по клинике (по осмотру))))
Рентген сделали, потому что травма, ну и убедиться, что не отломился кусочек кости, где связка присоединяется.
И поверьте, лучше уж в остром периоде иммобилизовать, походить в гипсе, чем потом полгода-год мучиться с этой связкой. Так она за месяц-полтора срослась и ходи на здоровье))
2
Автор поста оценил этот комментарий
Аналогично
0
Автор поста оценил этот комментарий

Полукруглая верхушка кости вбита вниз, в кость

раскрыть ветку (1)
0
Автор поста оценил этот комментарий
У меня на обеих руках так. Не все пальцы до конца разгтбаются.
3
Автор поста оценил этот комментарий
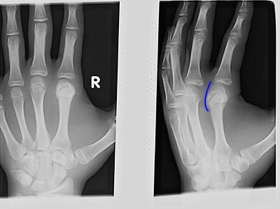
Док,а тут чего?
Иллюстрация к комментарию
раскрыть ветку (6)
9
Автор поста оценил этот комментарий

Головка 2 пястной сломана

раскрыть ветку (5)
10
Автор поста оценил этот комментарий

Ничего непонятно, но очень интересно!)

Немного завидую)

1
Автор поста оценил этот комментарий
Блин, свою лодыжку выложить, что ле... Тоже ни черта ни вижу на снимках, но раз врачи сказали - перелом, значит, перелом :)
1
Автор поста оценил этот комментарий
Две недели в гипсе и ещё чуть на больняке. Пока гипс носил немного работал. Спустя месяц после травмы работать перфоратором или ломиком можно? Ну пожалуйста)
раскрыть ветку (2)
3
Автор поста оценил этот комментарий

Смотря, что за перелом. В большинстве случаев спустя месяц после сращения перелома можно давать физ. нагрузки (отсчитывать месяц с момента снятия гипса).

раскрыть ветку (1)
1
Автор поста оценил этот комментарий
Спасибо. Расстроился. Нужно шевелится, по другому никак.
Кстати,пацан с арбузами возрастом взял плюс живучие они.
2
Автор поста оценил этот комментарий

Спасибо!

1
Автор поста оценил этот комментарий

Для чайников в травматологии, можно кружочком обвести где там сломано?

0
Автор поста оценил этот комментарий

а паренек то боксер видимо)

Вы смотрите срез комментариев. Чтобы написать комментарий, перейдите к общему списку

Темы

Политика

Теги

Популярные авторы

Сообщества

18+

Теги

Популярные авторы

Сообщества

Игры

Теги

Популярные авторы

Сообщества

Юмор

Теги

Популярные авторы

Сообщества

Отношения

Теги

Популярные авторы

Сообщества

Здоровье

Теги

Популярные авторы

Сообщества

Путешествия

Теги

Популярные авторы

Сообщества

Спорт

Теги

Популярные авторы

Сообщества

Хобби

Теги

Популярные авторы

Сообщества

Сервис

Теги

Популярные авторы

Сообщества

Природа

Теги

Популярные авторы

Сообщества

Бизнес

Теги

Популярные авторы

Сообщества

Транспорт

Теги

Популярные авторы

Сообщества

Общение

Теги

Популярные авторы

Сообщества

Юриспруденция

Теги

Популярные авторы

Сообщества

Наука

Теги

Популярные авторы

Сообщества

IT

Теги

Популярные авторы

Сообщества

Животные

Теги

Популярные авторы

Сообщества

Кино и сериалы

Теги

Популярные авторы

Сообщества

Экономика

Теги

Популярные авторы

Сообщества

Кулинария

Теги

Популярные авторы

Сообщества

История

Теги

Популярные авторы

Сообщества