LaFa26

Пикабушник
10К рейтинг 1896 подписчиков 32 подписки 15 постов 8 в горячем
Награды:
10 лет на Пикабуболее 1000 подписчиков
535

Медицина простым языком: Ишемическая болезнь сердца

Серия Медицина простым языком

Доброго времени суток, дорогие пикабушники! Решил вот возродить свою старую рубрику, некогда пользовавшуюся небольшим успехом и начать я решил с довольно актуальной и хорошо знакомой мне проблемы - ишемической болезни сердца (ИБС).


Сразу оговорюсь, что посты я делаю для простых пикабушников, с медициной никак не связанных, поэтому писать постараюсь максимально доступным и простым языком. При этом, у меня не стоит цель написать научную статью или диссертацию, поэтому ссылки на какие-то исследования/данные будут минимальны, в основном по запросу в комментариях, если заинтересует что-то конкретное.

Итак, что же из себя представляет ИБС? Это одно из самых распространенных заболеваний на планете, по некоторым данным именно ИБС лидер по показателям смертности среди всех сердечно-сосудистых заболеваний. При этом этот показатель в целом выше в странах постсоветского пространства.

Немного об анатомии:

Выделяют 2 основные коронарные артерии: правая и левая, причем левая дает 2 важных ветки: передняя нисходящая артерия и огибающая артерии. Поэтому хирурги чаще всего говорят именно о 3-х сосудистых бассейнах: правая, передняя нисходящая и огибающая артерии. Более мелкие ветки трогать не будем за ненадобностью.
При ишемической болезни, в сосудах сердца возникают бляшки, которые закрывают просвет артерии, из-за чего сердце перестает получать кровь в необходимом количестве для питания сердечной мышцы, вследствие чего возникает основной, и чуть ли не единственный симптом этого заболевания - стенокардия.

Причин появления этих бляшек множество. Это и наследственная предрасположенность, и неправильное питание, ожирение, высокий уровень холестерина и липопротеинов низкой плотности, сахарный диабет, возраст, мужской пол и многое другое. Эти причины называются факторами риска, и именно на них направлена вся профилактика развития бляшек.

Важный момент: бляшки НЕ РАССАСЫВАЮТСЯ, если они появились, их по сути уже нельзя убрать, можно лишь уменьшить их прогрессирование и "стабилизировать" - сделать их более плотными, чтобы они не надрывались и не вызывали инфаркт. Но об этом чуть позже.

ИБС - одно из немногих заболеваний, диагноз которого можно в большинстве случаев заподозрить просто собрав грамотно анамнез и выслушав симптомы пациента.

В подавляющем большинстве случаев имеет место классическая стенокардия - этот приступ болей ЗА ГРУДИНОЙ (то есть ровно посередине груди, а не слева, как многие считают), эти боли обычно довольно интенсивные, ощущаются как сдавление или жжение. Иногда боль отдает в разные участки - чаще всего в левую руку, подмышку, челюсть, лопатку. Возникает стенокардия, как правило, на фоне физической нагрузки, вследствие несоответствия потребности сердца в крови и тем, сколько крови она реально получает из-за сужения сосудов сердца. Боль, как правило, проходит в короткие сроки после прекращения нагрузки либо после приема нитратов.

Важный симптом: если боль не проходит в течение получаса, есть все основания предполагать развитие инфаркта миокарда, что требует немедленного вызова скорой и дальнейшего специализированного лечения.
Нагрузка, которая вызывает боли у всех индивидуальна, для ее стандартизации врачи обычно просят сказать, сколько метров может пройти пациент прежде чем боль возникнет, либо на сколько этажей может пациент подняться, исходя из этих данных ставят функциональный класс стенокардии от I до IV.


Есть довольно характерная картина возникновения стенокардии - после обильного приема пищи, пациент выходит из теплого помещения на холод и начинает куда-то идти, и из-за недостатка кровоснабжения сердца у него возникают боли за грудиной.

Стоит упомянуть о нестандартных формах стенокардии - иногда она может проявлять себя болью в животе, иногда одышкой, а может вообще не возникать почти никогда - часто безболевая форма встречается у пациентов с диабетом.

Что нужно делать, если вы заподозрили у себя или у своих родных стенокардию? Постараться в ближайшее время попасть на прием к кардиологу в стационар, где вам скорее всего предложат госпитализация на пару дней для выполнения коронарографии.


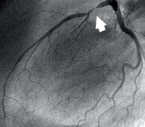
Коронарография на данный момент - золотой стандарт диагностики ИБС, поскольку ни одно другое исследование не позволит достоверно увидеть причину ИБС - стенозы (сужения) коронарных артерий. Вот так выглядят здоровые артерии:

А вот так: стенозы, вызванные бляшками:

Условно, принято считать, что значимым с точки зрения гемодинамики является уменьшение диаметра сосуда на 70-75%. Чем выше степень стеноза, тем выше вероятность того, что в зоне кровоснабжения этой артерии сердце испытывает кислородное голодание - ту самую ишемию.


Мне задавали вопрос: помогают ли статины от бляшек? И да, и нет.
Статины - одна из групп препаратов, снижающих уровень холестерина в крови, что коррелирует с образованием бляшек. Так же считается, что статины помогают "стабилизировать" бляшки - делают их более плотными и не поддающимися разрыву. Но статины не избавляют вас от бляшек, не уменьшают количество приступов стенокардии - они лишь позволяют замедлить прогрессирование бляшек и образование новых. Есть более новые группы препаратов, снижающих холестерин, но суть у них та же-уменьшить уровень холестерина в крови, какой конкретно препарат нужен каждому пациенту - решает кардиолог.


ЛЕЧЕНИЕ
Самый важный аспект всей этой статьи. К сожалению, нельзя сказать, что ИБС можно "вылечить" в классическом понимании этого слова - эта гадость уже никуда от вас не денется. Но лечение направлено на:

1) уменьшение симптомов заболевания - что позволяет сохранять трудоспособность

2) улучшение прогноза и снижения вероятности развития инфаркта.


Лекарства имеют вспомогательную роль в этом случае. Но ими нельзя ни в коем случае пренебрегать - каждый пациент с ИБС обязан получать базовую терапию согласно рекомендациям. И в качестве надстройки к этой терапии необходимо использовать два диаметрально противоположных метода хирургического лечения - операция коронарного шунтирования и стентирования коронарных артерий.

Вкратце опишу отличия этих двух вмешательств:

Шунтирование: это большая кардиохирургическая операция, с большим (как правило) разрезом грудной клетки и (часто) подключением аппарата искусственного кровообращения и остановкой сердца. Во время операции хирург пришивает разные сосуды в обход пораженных участков - по сути "байпас" (пациенты электрики и сантехники радовались, услышав знакомый термин). По новым сосудам кровь начинает поступать к сердцу в необходимом объеме, что уменьшает симптомы ишемии и профилактирует развитие инфаркта.

Минусы: - достаточно травматично (хотя и не всегда, есть вариации этой операции через мини-доступ)

- выше риск осложнений во время самой процедуры, так и после него

- достаточно болезненное заживление грудины, накладывающее большое количество ограничений на несколько месяцев после операции

- повторное шунтирование делают достаточно редко, поскольку это еще более сложная технически процедура


Стентирование:

Это совершенно не травматичная процедура, которую выполняют через прокол в ноге/руке, по специальным инструментам в саму бляшку вводят стент, который эту бляшку раздавливает и прижимает к стенке сосуда, за счет этого восстанавливается просвет артерии.

Минусы: - считается, что долговечность результата стентирования меньше, чем после шунтирования

- не профилактирует развитие инфаркта, а только устраняет проблему в одном конкретном месте, по сути достаточно симптоматическое лечение

- показано не всем пациентам - условно, чем больше сосудов поражено в разных местах, тем меньше эффективность от процедуры.

О том, какой из этих методов лучше или хуже идут до сих пор самые ожесточенные баталии на любой конференции, посвященной этой проблематике. Поэтому скажу по простому - для каждого из этих методов есть свои оптимальные показания и противопоказания, которые хороший врач должен учитывать при принятии решения.


Несколько слов о самом страшном последствии ИБС - инфаркт миокарда. Это ситуация, при которой какой-то участок сердца остался без кровоснабжения. Это случается либо из-за полного закрытия артерии бляшкой, либо из-за надрыва бляшки, приводящего к тромбозу.

ВАЖНЫЙ ПРИЗНАК как отличить приступ стенокардии от развивающегося инфаркта:

Стенокардия проходит в течение 10-15 минут покоя, либо после приема препаратов нитроглицерина. Если ничего из этого не помогает в течение получаса - высокая вероятность развития инфаркта. И здесь очень важно этот момент вовремя поймать, потому что здесь есть терапевтическое окно, длиной в несколько часов, когда возможно выполнить тромболизис - растворение тромба и установку стента, причем без серьезных последствий для сердца. Если же затянуть, разовьется полноценный инфаркт, который помимо собственно смерти может закончится большим количеством осложнений - кардиогенный шок, острая сердечная недостаточность, развитие аневризмы желудочка и тд.

Итак, краткая выжимка:

- ИБС возникает, как правило, из-за формирования атеросклеротических бляшек в сосудах сердца

- к формированию бляшек приводит повышенный уровень липидов крови, диабет, ожирение, гиподинамия и тд

- вылечить ИБС невозможно, можно лишь замедлить прогрессирование и уменьшить симптомы, лучше профилактировать развитие этого заболевания, чем бороться с последствиями

- самый частый симптом - стенокардия - проявляется давящими/жгущими болями за грудиной после нагрузки

- если в течение получаса не проходит - срочно скорую

- 2 вида хирургического лечения - шунтирование и стентирование, для каждого есть свои показания и противопоказания

- каждый пациент с ИБС обязан получать базовую кардиологическую терапию


На самом деле по этой теме можно писать 10 аналогичных постов и все равно все не охватить, поэтому давайте договоримся, что вопросы, которые остались необсужденными вы адресуете в комментариях и я постараюсь оперативно на них ответить.
Желаю всем вам и вашим родным крепкого здоровья!

Показать полностью 7
1813

Медицина простым языком: актуальные темы

Дорогие друзья и подписчики, которые по доброте душевной и лени до сих пор от меня не отписались!

В связи с сильно освободившимся графиком ввиду определенных жизненных изменений, решил узнать, насколько будет востребовано продолжение моей очень короткой, но информативной серии "Медицина простым языком". Хотел бы узнать, есть ли какие-то темы, больше всего интересующие? И есть ли большой интерес к моей непосредственной специальности - сердечно-сосудистой хирургии? Я мог бы делать обзор основных заболеваний, методах их лечения, делая важные ремарки о том, куда конкретно в России обратиться для лечения тех или иных заболеваний.

Пожалуйста, дайте знать, если это кому-то интересно)

2982

2 месяца работы с COVID-19: анализ данных

Доброго времени суток, уважаемы пикабушники!
Когда-то, будучи еще студентом/ординатором, я начал писать здесь посты с желанием объяснить какие то базовые медицинские вещи простым языком для всех людей, не связанных с медициной, попытаться повысить медицинскую грамотность населения и тд. Цель конечно благородная, но колоссальная по объему и затраченным силам, так что меня хватило всего на пару постов, надеюсь, для кого то они оказались полезными)

Сейчас же, в связи с тем, что моя больница потихоньку перепрофилируется с ковида снова на плановую помощь, у меня появилось свободное время, чтобы рассказать несколько наблюдений, которые я сделал за это время, привести несколько клинических случаев и тд.
Я понимаю, что тема эта уже всем ужасно надоела,я не хочу очередного срача, просто хочу показать то, что видят врачи, работающие с этим контингентом больных, чего не видят все остальные люди по ту сторону экрана)

Заранее извиняюсь за то, что не буду приводить статей на те или иные данные, потому что, моей целью не является написание диссертации (ну точнее является, но не на пикабу:)), а донесение некоторых данных до обывателей. Если очень нужны будут какие то исследования, их можно найти легко на англоязычных ресурсах медицинских, если кому то очень нужно будет, скину в комментах потом)


Постараюсь донести информацию в формате вопрос-ответ.
1) Собственно, а был ли вирус?

Несмотря на общую грамотность населения, присутствует огромное количество людей, которые по прежнему верят, что никакого вируса нет, что это обычные сезонные пневмонии/ОРВИ и тд.
Ну так вот, поверьте, люди которые проводят всю свою жизнь в медицине, лечат все эти сезонные ОРВИ, пневмонии, видят их на КТ и тд, они не могут ошибаться. И когда они говорят, что то что происходит сейчас это беспрецедентная ситуация в мировой истории, поверьте, это так и есть. Дальше я постараюсь вам показать, чем же все таки ковид отличается от всего вышеперечисленного.


2) Чем же он отличается от остальных ОРВИ?
Во-первых, несравнимо более высокой контагиозностью, то есть степенью заразности окружающих. В средем, по разным данным, ковид заразнее того же гриппа примерно в 3 раза. Многие ложились к нам в больницу целыми семьями, заболевали все кто был дома. С учетом того, что эпидемии гриппа бывают тоже довольно масштабные, не трудно представить, что такое приличное усиление заразности приводит к печальным последствиям.

Другое, и наверное, самое важное отличие - ОН НИХРЕНА НЕ ИЗУЧЕН. И в этом самая главная проблема нынешней пандемии. Поверьте, через несколько лет, ковид займет свое место в структуре сезонных ОРВИ, на долю которого будут приходиться какие то жалкие проценты, и все это будет благодаря тому, что за ближайшие годы это заболевание изучат, к нему подберут этиотропное лечение и изобретут вакцину. А пока всего этого нет, эта хрень доставляет много неприятностей.


3) Можно ли переносить COVID-19 и не иметь при этом никаких симптомов?
По всей видимости, да, но точных данных пока нет. Однако, если не ошибаюсь ВОЗ недавно обновила на своем сайте данные по ковид, и там они согласились с тем, что до 40% заражений могут протекать бессимптомно. Это еще один очень коварный подвох этого заболевания, которое позволяет ему распространяться по человеческой популяции в геометрической прогрессии.


4) Что происходит с легкими во время COVID-19? Обратимы ли изменения?
Наверное, это самый интересный вопрос, на который пока только предстоит найти ответ. Я постараюсь дать вам пищу для размышлений, прикрепив несколько КТ снимков и рассказав несколько случаев.

Вот так выглядят девственно-чистые от ковида легкие

Обратите внимание на однородную структуру, на то, что они везде во всех отделах темного цвета - так на КТ отображаются ткани, в которых содержится много воздуха. Чем чернее ткань, тем более она воздушна, чем более, тем более она плотная. Обратите внимание, какие белые позвонки в сравнению с легкими.

Теперь следующая картина: барышня 58 лет, поступила в один из первых дней открытия нашего ковидария, чувствовала себе средне паршиво, сатурация (насыщение кислородом артериальной крови) составляла 90-92% (при норме от 96 и до 100), сделали ей КТ и увидели вот такую бяку:

Процент поражения ее легких составлял 100%. То есть, не было ни одного здорового сегмента ее легких. И тем не менее, она как-то додержалась до момента, пока мы ее осматривали в приемном отделении и срочно перевозили в реанимацию. Человеческий организм - удивительная штука, в нем огромное количество резервов, чтобы перенести любую гадость.
В общем, она оказалась в реанимации, довольно скоро ее подключили к ИВЛ. Я периодически следили за ее судьбой, и честно, думал, что она вряд-ли выкарабкается.

На нескольких подряд КТ у нее не было вообще никакой положительной динамики, она провела на ИВЛ почти месяц, не очень хорошие прогностические факторы. Вот для примера еще КТ через 1 месяц:

Согласитесь, даже для не владеющего знаниями по лучевой диагностике рядового человека, выглядит довольно страшно. От прежде воздушных темных легких практически ничего не осталось, сплошные белые участки, указывающие на отек и накопление жидкости в альвеолах.


Но тем не менее, в один день я заступил на смену, и увидел ее уже в своем, не реанимационном отделении - ее перевели на кануне. И она была бодрячком, я прям искренне за нее порадовался.

И вот ее последнее КТ:

Конечно, пока еще сохраняется много участков пневмонии, но согласитесь, выглядит уже пооптимистичнее?) На днях она выписалась, чтобы продолжить лечения в обсерватории.

Или вот например, стандартный случай, поступает мужчина, без сопутствующих проблем со здоровьем, ему 57 лет, симптомы средне выражены, ничего особенного, поражения по КТ тоже средние, около 30-40%:

Обратите внимание, на такие белесоватые вкрапления прямо посреди нормальной ткани легких, КТ-шники называют их "участки матового стекла" (в медицине очень много пафосных названий для симптомов). Это очень характеная КТ картина ковидной пневмонии, которую вы не увидите при обычной бактериальной пневмонии. Еще одно важное отличие - чаще всего, бактериальная пневмония локализована в одном относительно небольшом участке, вирусная ковид пневмония, как правило, равномерно форшмачит все легкие во всех отделах.

Этот же пациент через пару недель:

Процесс очень прилично усугубился, пациент полечился в реанимации, в том числе и побыл на аппарате ИВЛ, вернулся к нам в отделение. По КТ - 96% поражения легких. Но вот в чем парадокс, человек лежит в кровати, получает кислород через носовые канюли с небольшой скоростью, у него сатурация 99% - идеально. Я пытаюсь его поднять, посидеть, поактивизировать, как только это происходит, сатурация стремительно падает до 85%, после чего я его снова кладу, и она так же быстро возвращается в норму. Я если честно думал, что дела у него плохи и он кандидат на пересадку легких такими темпами, потому что очень многие в медицинских кругах высказывали опасения, что после ковид-пневмонии вместе ткани легких формируется фиброз, то бишь рубцы. А у чувака со 100% поражением легких по такой логике должны остаться два шматка рубцовой ткани вместо легких.

Но не тут то было. Наш мужичок медленно, но верно шел на поправку, и к моменту его перевода в другой стационар на дальнейшее лечение уже вполне себе бодро гулял с кислородным баллоном в тележке по всему отделению, не роняя сатурацию.

Вот его последнее КТ:

Обратите внимание на то, как участки нормальной воздушности легких снова пробиваются сквозь толщу гадких засветлений, вызванных вирусом.


Таким образом, лично я из этого делаю следующий вывод, и я его никому не навязываю, вы вправе со мной не согласиться, но мне кажется, что многие изменения в легких при ковиде обратимы и не должны значимо сказаться на здоровье перенесшего их пациента.


5) Если все так радужно, изменения в легких рассасываются, чем же тогда он так опасен?
Опять же, пока болезнь изучена недостаточно, но основные теории патогенеза следующие: первая, это непосредственно отек альвеол(мельчайшие структурные единицы легких), в результате которого там накапливается жидкость и повреждаются клетки легких и у человека развивается гипоксия, которая приводит к повреждению жизненно важных органов, и вторая-это тромбоз мелких сосудов, которая может приводит в дальнейшем и к тромбоэмболии легочной артерии, и к инфарктам и тд. По опыту могу сказать, что хуже ковид переносят люди с сахарным диабетом и ожирением.

При этом, сложность течения ковида в том, что не всегда есть корреляция между процентом поражений легких и клиническим течением. Выше я показал 2 случая больных со 100% поражением, которые справились и в конечном итоге пойдут на поправку. Но при этом было множество случаев, где у пациентов с поражением 25-30% развивалась тяжелая гипоксия, их подключали к ИВЛ, но они в конечном итоге погибали.


6) Каково это перенести COVID-19?
Тут я уже расскажу о своем личном опыте. Я заболел 16 числа, я начал чувствовать общую слабость и недомогание, так же как и при других ОРВИ, под вечер температура поднялась до 39 градусов. Слава богу, других симптомов, таких как кашель, одышка у меня не было, так что могу сказать, что я перенес в довольно легкой форме. При этом мой брат дома температурил пару дней до 37,5 и потом и вовсе пошел на поправку. Моя мать болела примерно так же как и я, а мой отец вообще никаких симптомов не испытал, так что вероятно он был как раз тем бессимптомным носителем.

В общем, извиняюсь за длиннопост, надеюсь кому то этот пост покажется интересным и полезным. Хотелось бы много еще рассказать, но полотно итак уже приличное вышло, так что лучше буду отвечать в комментариях, если у кого то еще возникнут вопросы.
Всем спасибо за внимание, и крепкого вам здоровья!

Показать полностью 11
2

Как вам Джихад?

Знакомая ездила в Ливан на практику, и прислала мне оттуда вот такое интересное фото)

Как вам Джихад?

"Как ваша поездка с Джихадом?"
Думаю, в таком окне должна стоять возможность ставить только 5 звезд))

180

Медицина доступным языком pt.3: Обезболивающие

Часть 1: https://pikabu.ru/story/meditsina_dostupnyim_yazyikom_antibi...
Часть 2: https://pikabu.ru/story/meditsina_dostupnyim_yazyikom_pt2_or...

Доброго времени суток, дорогие пикабушники! К сожалению, последние месяцы были для меня очень напряженными, так как я был в процессе окончания медицинского вуза и поступления в ординатуру, поэтому не было никакой возможности продолжить свою серию постов (ага, серию, из 2-х постов скажете вы – и будете правы), за что я дико извиняюсь! Надеюсь, что сегодняшняя наша тема снова заинтересует вас и будет вам полезна :)
Заранее извиняюсь за некоторую сухость текста, к сожалению, по этой теме особо картинок интересных не найдешь.

Сегодня мы поговорим про препараты, которые в народе называются «обезболивающие». Начнем, как обычно, с терминологии. В медицинской практике обезболивающими,или анальгетиками, называют препаратами, снижающими болевую чувствительность , при этом не влияя на сознание (в отличие от препаратов для наркоза). При этом к группе обезболивающих препаратов относится большое количество препаратов из разных фармакологических групп, включая наркотические (морфин), ненаркотические (парацетамол), смешанного действия (трамадол), а также нестероидные противовоспалительные средства (НПВС). Вот про и НПВС мы с вами сегодня и поговорим, потому что, как правило, препараты, которые обыватели используют для обезболивания как раз и относятся к этой группе.

НПВС – это средства, которые снимают, в первую очередь, ВОСПАЛЕНИЕ, которое и могло вызвать у Вас боль, следовательно, если причина вашей боли в другом, например в спазме сосудов, кишечника, или боли в желудке при гастрите – они вам не помогут.


Сейчас будет блок для нердов и задротов, всем кому это неинтересно, переходите сразу к разделу с описанием препаратов :)

Немного про механизм действия НПВС:
Медицина доступным языком pt.3: Обезболивающие

Существует два фермента – циклооксигеназа (ЦОГ) и липоксигеназа. 1-ый фермент работает всегда, и способствует образование других биологических важных и активных веществ – простагландинов, тромбоксанов, у каждого из которых есть своя функция в организме. Например, простагландины ответственны в нашем организме за воспалительную реакцию, но кроме этого также защищают слизистую оболочку желудка, препятствуя язвообразованию, а так же стимулируют родовую деятельность у беременных. Тромбоксаны участвуют в свертывании крови.

Следовательно, чтобы избавиться от воспаления, нужно прекратить образование простагландинов, чем НПВС и занимаются.


В свою очередь липооксигеназа образует другие активные вещества – лейкотриены, основная роль которых иммунная. НПВС ингибируют циклоксигеназу, и как следствие, количество простагландинов и тромбоксанов становится меньше, а количество лейкотриенов – больше. И с этим связаны все побочные эффекты этих препаратов – они способствуют язвообразованию, повышают риск кровотечений, могут вызвать тромботические осложнения, за счет нарушения равновесия в содержании простациклинов, препятствующих тромбооброзованию, и тромбоксанов - способствующих ему. НПВС также могут вызывать астму у предрасположенных лиц, так как лейкотриены участвуют в формировании аллергического ответа и развития анафилаксии.


Кроме того, у циклооксигеназы есть две изоформы – 1-ая и 2-ая. ЦОГ - 1 работает в организме постоянно, а ЦОГ -2 образуется только в ответ на воспаление. Стало быть, логичнее использовать препараты, которые избирательно ингибируют только 2-ую изоформу, не влияя на 1-ую. И такие препараты есть, и вы наверняка с ними даже встречались, просто не знали об этом.

Теперь когда мы немного поговорили о механизме действия препаратов, можно перейти к самым часто используемым препаратам в нашей стране с их кратким описанием:


1) Аспирин(ацетилсалициловая кислота) – первый в истории противовоспалительный препарат, который сразу же получил бешеную популярность. Однако, на данный момент как обезболивающее средство применяется редко, ввиду более низкой эффективности по сравнению с конкурентами. В основном используется в средствах от похмелья и, самое главное, как препарат, снижающий риск тромбообразования у людей с сердечно-сосудистыми заболеваниями. НЕ ПРИМЕНЯЕТСЯ У ДЕТЕЙ, в связи с возможностью развития опасного побочного эффекта – синдрома Рея.


2) Парацетамол – по классификации является ненаркотическим анальгетиком центрального действия, а не НПВС. Обладает слабой противовоспалительной активностью, но хорош для снижения температуры. Особенно часто применяется у детей и даже у беременных, так как редко вызывает побочные эффекты. Но есть одно «но». Терапевтическая широта у препарата не очень большая, поэтому при передозировке этого средства оно сразу бьет по печени. Поэтому пить СТРОГО в рекомендованных дозах и не злоупотреблять. Беременным рекомендован только парацетамол начиная со 2-ого триместра, ибупрофен – с большой осторожностью в первых двух триместрах после консультации с врачом, в третьем – запрещен.

3) Ибупрофен – одно из самых востребованных и широко используемых НПВС, во многом благодаря выраженной противовоспалительной активности и обезболивающему действию, а также низкой частоте побочных эффектов. Также широко применяется у детей.

4) Анальгин - вообще навсегда забудьте про этот доисторический препарат, запрещенный во всем цивилизованном мире. Причина проста – очень высокий риск схлопотать проблемы с кроветворением, этот препарат того не стоит, когда есть полно более хороших и безопасных НПВС. Применять стоит только в крайних случаях, при неэффективности всех остальных препаратов и эпизодически, что звучит довольно казуистичнго

5) Диклофенак
– тоже довольно популярное средство, входит в состав множества гелей и мазей, используемых при разных травмах и болях в суставах и тд. Есть и инъекционные формы, и суппозитории. В целом довольно эффективное средство, однако стоит помнить, что при длительном применении, возрастает риск тромботических осложнений. Поэтому у больных сердечно-сосудистого профиля применяется с большой осторожностью.

Все, перечисленные выше препараты относятся к группе неселективных ингибиторов ЦОГ-1,2. Стало быть, у них имеются побочные эффекты, описанные выше. Сейчас я расскажу про более новую и совершенную группу препаратов – селективные ингибиторы ЦОГ-2. К ним относятся следующие препараты:

1) Нимесулид – этот препарат здесь с небольшой натяжкой, поскольку этот препарат ингибирует и ЦОГ-1, просто в меньшей степени, чем ЦОГ-2, поэтому считается условно селективным. В принципе, очень хороший препарат, многие наверняка видели различные его торговые названия, например «найз». В целом, он чуть лучше препаратов, описанных выше, но тем не менее все равно не безвредный, поэтому жрать его пачками тоже не рекомендуется. Плюс, в отличие от препаратов описанных дальше, по нему мне так и не удалось найти никаких крупных клинических исследований его безопасности/эффективности. Согласно некоторым небольшим исследований, его безопасность и эффективность примерно на уровне диклофенака.

2) Мелоксикам, Целекоксиб, Эторикоксиб – это новое поколение селективных ингибиторов ЦОГ-2, что значительно уменьшает их побочные эффекты при длительном применении. Конечно, они и стоят дороже, но цены у них не баснословные, и при длительном применении это вполне оправдано, здоровье все-таки важнее. Но опять же стоит помнить о том, что применять их нужно в строго рекомендованных дозах, потому что чем выше доза и длительность приема, тем выше риск развития побочных эффектов.


Теперь давайте разберемся, в каких случаях все же надо применять эти пресловутые НПВС.

Вообще изначально НПВС предназначены в первую очередь для ревматологических больных, для больных с суставными болями, для болей ассоциированных с разными травмами опорно-двигательной системы, повреждении связок, мышц. С успехом используют НПВС и при зубных болях. Также НПВС широко применяется у представительниц прекрасного пола при болезненных менструациях.

А вот использование этих препаратов при головной боли неясной природы нецелесообразно, поскольку если причина в мигрени – то есть группы препаратов более для этого подходящие. Если причина какая-то другая, то в первую очередь нужно найти причину, и потом уже разбираться непосредственно с ней. Если у вас болит живот, НПВС вам вряд ли поможет, потому что чаще всего причиной болей в животе является либо спазм, либо повреждение слизистой желудка, например при гастрите и язвах.

Теперь несколько слов о побочных эффектах НПВС и как с ними бороться.
К самым частым и клинически важным относится поражение желудочно-кишечного тракта: проблемы с пищеварением, раздражение слизистой и, как следствие, образование язв желудка и 12-перстной,а так же желудочно-кишечные кровотечения. Чтобы избежать этого, нужно использовать эти препараты НЕ ДОЛЬШЕ 15 ДНЕЙ(в идеале гораздо меньше), а так же параллельно с приемом этих препаратов пить препарат из группы ингибиторов протонной помпы, например омепразол, для того, чтобы защитить слизистую желудка и двенадцатиперстной кишки от избытка агрессивных факторов в отсутствии защитных простагландинов, которые мы собственно и подавляем НПВС.


На этом наверное все, всем спасибо за внимание! Пожалуйста, не стесняйтесь предлагать какие-то новые фишки, как сделать мои посты лучше, если возникли вопросы – не стесняйтесь задавать их в комментариях. А самое главное – предлагайте темы для новых выпусков, самые востребованные темы скорее всего будут описаны в течение августа, пока у меня остаются крупицы свободного времени до поступления в ординатуру)

Не болейте)

Показать полностью 1
746

Медицина доступным языком pt.2: ОРВИ, грипп, противовирусные препараты

Первая часть: http://pikabu.ru/story/meditsina_dostupnyim_yazyikom_antibio...

Пикабушники, доброго времени суток! Я наконец-то нашел время для следующего поста. Спасибо всем за неравнодушность, я постарался учесть все замечания, советы, надеюсь, каждый следующий пост будет лучше предыдущего. При этом я буду понемногу экспериментировать, что-то добавлять, что-то убирать, чтобы в конечном итоге определиться с итоговым форматом, так что прошу вас проявить терпение, а главное, оценить, какие изменения вам понравились/не понравились). В этом посте будет немало справочной информации, кому на неинтересна - листайте сразу до интересующих вас моментов)


Сегодня мы с вами поговорим про ОРВИ, в основном про грипп и про противовирусные препараты, при этом заболевании. Но для начала, как меня просили в комментариях, пару слов о том, что же собственно такое вирусы, и почему антибиотики не могут на них действовать априори.


Вирусы – отдельное и самое загадочное царство, они представляю собой неклеточные частицы, которые не размножаются вне своего окончательного хозяина, и в принципе не проявляют никаких признаков жизни, поэтому их принято считать «неживыми» инфекционными частицами.


Они имеют довольно простое строение: нуклеиновую кислоту(ДНК или РНК), белковую оболочку(капсид), и, в некоторых случаях – липидную оболочку(суперкапсид). Последняя формируется из мембраны клеток хозяина.

Вирусы поражают не только человека и других животных, но и растения и даже бактерии. Такие вирусы называются бактериофагами, и их роль в лечении бактериальных инфекций уже давно изучается, а многими и успешно используется.


Общи механизм действия большинства вирусов следующий – они попадают в организм человека, в зависимости от пути распространения, достигают клеток-мишеней(будь то эпителий верхних дыхательных путей или кишечника), прикрепляются к своим специфическим рецепторам, затем проникают в эти клетки, начинают синтезировать свой генетический материал, белки, используя ресурсы самой клетки, после чего эти новые частицы собираются в новые «вирионы», которые отпочковываются от мембраны клетки хозяина и выходят в кровь и дальше распространяются по организму.

Есть еще один способ размножения вирусов – они могут встраиваться в геном пораженной клетки, и таким образом при каждом делении этой клетки будет также делиться и вирусный генетический материал, и затем в нужный момент эти вирусы активируются и вызывают гибель клетки.


Вирусы, в зависимости от своего генетического материала могут быть ДНК-содержащими, РНК-содержащими, содержащими и ДНК и РНК, и использующими обратную транскриптазу(ретровирусы), то есть синтезирующие ДНК на базе собственной РНК.

Кстати, для всех тех, кому понравились антимимикотики(то есть, скорее всего только мне), оказывается, что есть мимивирусы!Я не шучу, они действительно так называются) И выглядят они примерно вот так:

Правда няшные?)


Теперь несколько слов о том, почему антибиотики не могут действовать на вирусы. Я думаю вы уже догадались, там попросту нет никаких точек приложения для этого. В вирусах нет никаких клеток, у них нет собственного синтеза белка, есть только нуклеиновая кислота и капсид, в то время как антибиотики действуют либо на клеточную стенку бактерий(которой у вирусов нет), либо на синтез белка бактерий(который вирус не синтезирует самостоятельно) и тд., поэтому все противовирусные препараты действуют по совершенно другому механизму.


Пожалуй, хватит о вирусах в целом, давайте перейдем непосредственно к ОРВИ. Это острые респираторные вирусные инфекции, похожие по клинике, по механизму заражения, но при этом вызываемые огромным количеством самых разнообразных вирусов, самым известным из которых является вирус гриппа. Прилагаю табличку с дифференциальной диагностикой самых распространенных возбудителей ОРВИ, но, скажу вам честно, их отличить получится не всегда даже у хорошего опытного врача.


Ну а так как грипп - самый частый возбудитель ОРВИ, о нем мы и поговорим.


Вирус гриппа бывает трех типов: А,В и С.

Тип А – самый опасный, вызывает эпидемии и пандемии, поражает и человека и животных, благодаря чему могут возникать так называемые «реассортантные» штаммы – гибрид человеческого и животного вируса.


Тип В – чуть менее опасный, чем А, вызывает только сезонные и локальные вспышки заболеваемости, поражает только людей.


Тип С – менее опасный(в данный момент), инфицирует только людей, мало изучен.


У вируса гриппа есть несколько белков, имеющих важное значение для нас. Есть внутренние белки – нуклеопротеины (NP) и мембранные (М). А есть поверхностные – гемагглютинин (H) и нейраминидаза (N).

Нейраминидаза отщепляет от некоторых гликопептидов на мембране наших клеток определенный участок, благодаря чему эти пептиды становятся рецепторами для гемагглютинина, который, присоединяясь к рецептору, обеспечивает проникновение вируса внутрь клетки.


По строению этих пресловутых гемагглютинина и нейраминидазы и называются разные штаммы гриппа: H1N1, H3N2 и тд. Постинфекционный иммунитет также связан именно с этими белками.


Инкубационный период: от 12 часов до 3-х суток, заболевание обычно начинается резко, больные обычно могут назвать точный час, когда им стало хуже.


К сожалению, симптомы не очень специфичны, что затрудняет дифференциальную диагностику с другими ОРВИ и ОРЗ. Но, тем не менее, есть несколько признаков, по которым можно заподозрить именно грипп:


1) резкое ухудшение состояния, подъем температуры

2) головные боли, боль в глазах, слабость

3) мышечная ломота

4) сухой кашель в первые дни заболевания

5) покраснение рото- и носоглотки, слизистые сухие, гладкие, блестящие, на них часто присутствуют мелкие кровоизлияния

6) Заложенность носа с небольшой ринореей слизистого характера без цвета

7) Преобладание интоксикации (высокой температуры, боли в глазах, голове, мышцах и тд) над собственно поражением дыхательной системы.

Что же касается лечения гриппа, тут начинается самое сложное. На российском рынке продается множество препаратов, позиционирующих себя как средства против ОРВИ.

Но согласно Американскому Обществу Инфекционных заболеваний(IDSA) только два препарата действительно помогают при гриппе устранить симптомы и быстрее избавиться от заболевания, действуя напрямую на нейраминидазу вируса – это осельтамивир и занамивир. Причем принимать их нужно начать в первые 48 часов с момента первых симптомов, если опоздать – то толка от них не будет. При этом осельтамивир одобрен для использования детьми начиная с 2-хнедельного возраста. Но главная проблема приема этих препаратов – они очень дорогие. И именно этим фактом и пользуются недобросовестные фармкомпании, производящие множество дешевых препаратов, чья эффективность против ОРВИ, и в частности гриппа не доказана. К ним относятся арбидол, ингавирин, кагоцел и иже с ними.


Таким образом, выходит, что простым гражданам, кто не может себе позволить дорогостоящее лечение, приходится довольствоваться симптоматическими средствами, и ждать, пока организм справится с инфекцией сам.


В принципе, при гриппе легкого и среднетяжелого течения у лиц без сопутствующей патологии это вполне оправдано. Нужно соблюдать постельный режим, пить много жидкостей, чтобы снизить интоксикацию, стараться хорошо питаться, хотя аппетит как правило сильно страдает, принимать противовоспалительные жаропонижающие средства, при температуре выше 39 градусов. Из жаропонижающих лучше пить парацетамол(детям) и ибупрофен(взрослым).


Кстати, что касается вот этих всех новомодных препаратов, позиционирующих себя средствами ОТ ГРИППА, которыми нас настолько зазомбировали в рекламе и в аптеках. Запомните раз и навсегда, все вот эти препараты типа: Фервекс, Колдрекс, Терафлю, Ринза.... можно продолжать бесконечно, НИКАК НАС НЕ ЛЕЧАТ! Это - симптоматическая терапия, никак не влияющая на возбудителя заболевания.


Вы можете хоть сейчас посмотреть состав каждого из этих препаратов, и увидите там одно и то же: они все содержат парацетамол(который, вообще-то, довольно вредный в больших дозах у взрослых), витамин С(про него мы много спорили в комментах к предыдущему посту и пришли к выводу, что он бесполезен чуть меньше, чем полностью), и какой-нибудь из препаратов, снижающих заложенность носа. Каждый производитель изголяется как хочет, добавляя туда любые компоненты, например кофеин.


Задача у этих препаратов одна - чтобы вы себя почувствовали лучше, и думали, что они лечат грипп. Да, после них вам действительно станет лучше, вы собьете температуру, у вас будет дышать нос, кофеинчик вам придаст бодрости и энергии. Но не обманывайте себя, ваш организм продолжает болеть, а вы уже радостные вскочили с кровати и побежали на работу/учебу/к друзьям. Не надо так.


Если пить эти препараты с умом, только при температуре выше 39, понимать, что это симптоматическое лечение - тогда хорошо. Но ведь столько людей уверено, что это действительно лечит грипп, или повышает иммунитет, или бог весть что(проверено на моих родителях). Так что мой вам совет - читайте инструкцию, там все всегда написано.


Однако нужно внимательно следить за развитием осложнений. Если у пациента продолжает расти температура, нарастают интоксикационные синдромы, усиливается боль в голове, присоединяется неврологическая симптоматика, падает давление, становится труднее дышать – это тревожный признак развивающихся осложнений, поэтому нужна срочная госпитализация в таких случаях.


На российском рынке также есть множество препаратов из группы индукторов интерферона или собственно препараты интерферона. Честно, пытался найти какие нибудь исследования западные, какие либо упоминания этих препаратов на pubmed, ничего кроме российских исследований нет. Поэтому не могу ничего сказать на этот счет, кроме своего мнения и мнения моего преподавателя по инфекциям, которому я доверяю. Вообще, если чисто логически рассуждать, эндогенные интерфероны действительно участвуют в противовирусном иммунитете. Поэтому препараты, усиливающие синтез эндогенных интерферонов или сами интерфероны действительно должны помогать справляться с вирусом. Но есть и другая сторона: если эти препараты вызывают усиленный синтез интерферона, значит в этот момент будут истощаться защитные силы организма, которые потом нужно будет восстанавливать. А в случае с препаратами интерферона, еще хуже – при их приеме прекращается выработка собственных интерферонов, и должно пройти немалое время, прежде чем они снова начнут вырабатываться.


Так что вопрос, стоит ли принимать эти препараты остается открытым – пусть каждый делает этот вывод сам для себя.


Ну и последний актуальный вопрос, касательно гриппа – это вакцинация. Приведу данные Центра Профилактики и контроля заболеваемости(CDC organization) департамента здравоохранения США:


1) Рекомендованы к использования трехкомпонентные вакцины, включающие в себя штаммы типа A (H1N1),типа A (H3N2) и типа В.


2) Вакцинироваться нужно начиная с октября, чтобы иммунитет успел сформироваться


3) Каждый сезон специалисты делают прогнозы о том, какой конкретно штамм вызовет эпидемию в этом году. И в зависимости от этого выпускают каждый год разные вакцины. И если повезет, и прогноз будет верным – тогда вакцина предотвратит развитие гриппа с вероятностью 50-60%, а если все-таки заражение произойдет, то течение гриппа будет более легким и без осложнений.


4) Вакцина способствует уменьшению госпитализаций от гриппа у больных, страдающих различными хроническими заболеваниями (сахарный диабет, ишемическая болезнь сердца и тд)


Еще раз оговорюсь, что это американские рекомендации. Насколько они жизнеспособны в российских реалиях – судить сложно. В комментариях многие жаловались, что заболели, несмотря на то, что прививались. Но даже американцы пишут, что только в 50-60% случаев вакцина предотвращает развитие гриппа. А еще нужно угадать с вакциной, чтобы она совпала с тем штаммом, который будет циркулировать у нас осенью-зимой.


В общем, постарался ничего не забыть, но так обычно редко удается, так что постараюсь ответить на что-то, что упустил в комментариях.

P.S. Вот вам еще одна табличка, надеюсь, поможет вам отличить бактериальные и вирусные инфекции в случае чего

Всем спасибо за внимание! Не болейте)

Показать полностью 6
2788

Медицина доступным языком: Антибиотики

Доброго времени суток, пикабушники! Я студент 6 курса мед.института, и меня, если честно, очень расстраивает пропасть между медиками и несвязанными с медициной людьми. Во многом причиной этому является низкий уровень знаний, касательно базовых основ медицины среди населения. В связи с чем, мне пришла следующая мысль: попробовать устранить эти пробелы в знаниях, хотя бы локально, здесь, на пикабу. Посмотрим, что из этого получится, если все сложится удачно и моя писанина будет востребована, темы следующих постов буду выбирать среди комментов.

Итак, сегодня я решил обсудить с вами такую вещь, о которой нынче знают уже все, от мала до велика, вещь, которой многие бабушки считают панацеей от каждой болячки - об АНТИБИОТИКАХ.


1) Факт для  для зануд интеллектуалов: Антибиотиками называются только природные или полусинтетические  препараты, способные уничтожать БАКТЕРИИ. А все, что синтезировано и с нуля и не имеет природных аналогов называется антибактериальный химиопрепарат. Но это настолько  занудно  интеллектуально, что в повседневной жизни все этим пренебрегают и называют любые антибактериальные препараты антибиотиками.

2) Вся суть антибиотиков - в том, что они действуют, в основном, только против БАКТЕРИЙ (ну еще и против простейших, но с ними вы не так уж и часто сталкиваетесь, так что опустим)
Таким образом, вполне логично предположить, что нет никакого смысла лечить ВИРУСНУЮ или ГРИБКОВУЮ инфекцию препаратом против БАКТЕРИЙ. К слову, противогрибковые препараты называются антимими микотики

Медицина доступным языком: Антибиотики

3. Плавно мы подходим к главному камню преткновения - для чего же все-таки нужны антибиотики, что можно ими лечить, а что нет. Вообще, антибиотики - одно из величайших открытий человечества, именно благодаря ним человечество до сих пор не вымерло, от множества инфекционных заболеваний. Особенно во время войн и локальных вспышек тех или иных инфекций они были просто незаменимы.
Но люди видимо привыкли, что антибиотики спасали их в самых сложных случаях, и решили использовать их всегда и везде, не задумываясь о последствия. А последствия, к сожалению, очень серьезные. Потому что бактерии - очень хитрые сукины дети, они постоянно мутируют, модифицируются, пиздят друг у друга плазмиды (да, прям как в Bioshock) чтобы приобрести новые свойства. И таким образом, используя постоянно антибиотики там, где в этом нет необходимости, мы помогаем бактериям вырабатывать устойчивость к нашим препаратам.
Поэтому, давайте разберемся с тем, когда нам использовать антибиотики

4. Самый главный пункт, когда нам нужно использовать антибиотики - если их назначил врач. В общем то, по хорошему, это должен быть единственный пункт, но я же прекрасно понимаю, что вас ссанными тряпками к врачу не загонишь, поэтому попробую рассказать в каких случаях стоит пить антибиотики самостоятельно дома, а в каких - нет.
DISCLAIMER. Я ни в коем случае не призываю Вас отказаться от походов к врачу, как раз таки с точностью да наоборот. Но зная менталитет нашей страны (РФ), зная, как люди ненавидят походы в поликлиники и тд., я хочу дать небольшие подсказки, чтобы если уж вы себя и травили препаратами, то делали это по всем правилам)

Итак, расскажу несколько клинических случаев, с которыми вы наверняка встречались, на их примере легче разобраться, кому нужны антибиотики, а кому нет.
Офисный работник Б., 32 лет, в декабре, в разгар сезона гриппа (несколько человек уже на больничном), пролистывая ленту на пикабу, почувствовал боли в глазных яблоках, небольшое недомогание, ломоту в мышцах. Позже, придя домой и померив температуру и увидев цифры 38.3, он решил что приболел, и нужно выпить его любимый антибиотик, который почти всегда ему помогает.
Вопрос: Нужен ли Б. антибиотик в данном случае?
Ответ: Нет, поскольку, с большой долей вероятности, он, как и многие его товарищи, находясь целыми днями в замкнутом помещении, словили грипп или другое острую респираторную вирусную инфекцию(ОРВИ) от кого-то из коллег. Стало быть, ему тоже надо взять больничный, лежать дома, пить много жидкости, чай с лимоном,и сбивать температуру, если она будет выше 38

Другой пример: Студент П., 22 лет, не глянув прогноз погоды пошел в своей летней кожанке и без шарфа на пары. Но к вечеру сильно похолодало, а на следующее утро студент почувствовал неприятное саднение и боль в горле. Для него ангины - частое дело, поэтому он всегда носит с собой в сумке пачку антибиотика, которым он с радостью закидывается каждый раз, когда болит горло.
Вопрос: правильно ли он поступает?
Ответ: НИ В КОЕМ СЛУЧАЕ. Во-первых, если у студента ангины это частое явление - то надо поднять свою ленивую задницу, и сходить один раз к врачу, и узнать, в чем причина.
Во-вторых, у каждой бактерии есть определенный спектр чувствительности к тому или иному антибиотику. Грубо говоря, у каждой бактерии есть список препаратов, которые ее могут убить, и другой список препаратов, к которым она выработала устойчивость. И вслепую пытаться бить антибиотиком, которым ты до этого сто раз лечился - откровенно плохая идея.

5. Я расскажу вам, как в таких ситуациях с антибиотиками разбираются в стационарах, и как надо будет разбираться нам с вами.
В больнице, когда попадает пациент с какой-нибудь тяжелой инфекцией, допустим пневмония, когда нет возможности ждать результата анализа на чувствительность к антибиотикам(он может длится до 7 дней) назначают группу антибиотиков широкого спектра, специализирующихся именно на этой патологии, в частности есть группы для легочных заболеваний, для заболеваний мочеполовой системы и тд. И параллельно с этим делают посев на чувствительность к антибиотикам. В итоге, когда приходит результат, корректируют схему, подбирая антибиотик более узкого спектра, действующий на эту бактерию.
Теперь вернемся к нашему студенту. У него часто болит горло, он пьет один и тот же антибиотик, и он не шибко ему помогает. Все что нужно ему сделать, либо пойти к врачу и сдать посев из носоглотки у него, или, если у него какая то дикая неприязнь к врачам, пойти в любую из миллиона частных лабораторий, где берут все те же самые анализы, но за деньги( в принципе, за не самые большие). Получив ответ, он узнает, что за конкретная зараза у него сидит, и вызывает эти ангины каждый раз (Сам так у себя обнаружил как-то раз Hemophilus influenzae, не самый частый гость, но именно он был причиной всех бед именно у меня). И пролечившись от конкретного возбудителя, наш студент избавился бы от вечных ангин.
6. Теперь еще одна частая ошибка людей, не связанных с медициной и не читающих инструкции (то есть, в принципе всех людей в нашей стране) :люди  пьют антибиотик ПАРУ ДНЕЙ и прекращают его пить как только им стало лучше. ЭТО САМАЯ ГРУБАЯ ОШИБКА.

И вот почему: как я уже говорил, бактерии - те еще живучие твари. И чтобы их полностью уничтожить, нужно выдержать определенную дозу и определенное время нахождения препарата в вашем организме. В процессе лечения вам становится довольно быстро лучше, потому что бактерии начинают погибать. НО ОНИ НЕ УМИРАЮТ СРАЗУ ВСЕ. Таким образом, прекратив пить антибиотик сразу после того, как вам полегчало, вы оставите определенное количество бактерий, которым удалось выжить после вашей химической атаки. И эта группа бактерий в дальнейшем, немного модифицируется, принимает так называемую L-форму, вырабатывает устойчивость к данному антибиотику и становится причиной хронического инфекционного процесса у вас в организме. Это ведь никому не нужно, верно? Ну, кроме бактерий. Поэтому важно прочитать инструкцию, посмотреть необходимую дозу и продолжительность курса(обычно, не меньше недели). Что касается доз - в инструкциях всегда пишут разные дозы для заболеваний разной степени тяжести. Соответственно, если у вас немного болит горло, не надо жрать лошадиную дозу антибиотика, рассчитанную на то, чтобы вернуть пациента с того света после сепсиса.
7. Еще одна популярная байка - вред антибиотиков. И они действительно вредные - как и любой другой препарат. У всех лекарств есть свои противопоказания, побочные действия и тд. Но они, как правило, развиваются довольно редко, самая частая из них - аллергическая реакция. Поэтому если вы аллергик, не рекомендую прием антибиотиков самостоятельно, особенно пенициллинового ряда - обязательно сходите к врачу.
Второе по частоте осложнение антибиотикотерапии - дисбактериоз кишечника. Для того, чтобы с этим бороться с этим существует множество про- и пребиотиков, о которых вы наверняка все сто раз слышали из реклам.

В принципе, на этом все. Извините за много букв, пытался рассказать все самое основное(видимо не вышло). Буду рад, если эта информация будет кому-то полезна. Пишите в комментариях ваши вопросы, или предложения для следующего поста, о чем медицинском вы бы хотели узнать доступным языком.
Всем удачного дня!

Показать полностью 1
Отличная работа, все прочитано!

Темы

Политика

Теги

Популярные авторы

Сообщества

18+

Теги

Популярные авторы

Сообщества

Игры

Теги

Популярные авторы

Сообщества

Юмор

Теги

Популярные авторы

Сообщества

Отношения

Теги

Популярные авторы

Сообщества

Здоровье

Теги

Популярные авторы

Сообщества

Путешествия

Теги

Популярные авторы

Сообщества

Спорт

Теги

Популярные авторы

Сообщества

Хобби

Теги

Популярные авторы

Сообщества

Сервис

Теги

Популярные авторы

Сообщества

Природа

Теги

Популярные авторы

Сообщества

Бизнес

Теги

Популярные авторы

Сообщества

Транспорт

Теги

Популярные авторы

Сообщества

Общение

Теги

Популярные авторы

Сообщества

Юриспруденция

Теги

Популярные авторы

Сообщества

Наука

Теги

Популярные авторы

Сообщества

IT

Теги

Популярные авторы

Сообщества

Животные

Теги

Популярные авторы

Сообщества

Кино и сериалы

Теги

Популярные авторы

Сообщества

Экономика

Теги

Популярные авторы

Сообщества

Кулинария

Теги

Популярные авторы

Сообщества

История

Теги

Популярные авторы

Сообщества