Chitalka2019
Перелом ч.4
И снова здравствуйте) Вчера вытащили спицу. Вытащили за СЕКУНДУ и совсем не больно,было чутка неприятно,но терпимо.
Перелом схватился, но к сожалению, не зажил до конца. Ходить с лангеткой еще 3 недели. От такой новости невольно слезы пошли, устала. Уже сны снятся, как я хожу на двух ногах. Да и из-за неравномерной нагрузки позвоночник начал кривить(то понос, то золотуха 😁) Надеюсь, за данный срок, все пройдет)
На сколько больно?
Уважаемые пикабушники,подскажите,пожалуйста...
Сегодня созванивались с врачом, который делал мне операцию. Решали с ним когда вытаскивать спицу (дата в "3 недели" выпадает на праздники) ,в общем назначил день приема и сказал, что вытаскивать будут без какой либо анестезии. Вопрос такой, как сильно больно мне будет?
Повторюсь, спица торчит между 4 и 5 пальцем ноги.
Перелом ч.3
Всем доброго времени суток! Вот решила написать еще один пост про свою ногу))
Прошло уже полторы недели после операции. Нога почти не ноет, но перевязки делаю с опасением.Жутко мне смотреть на шов и спицу торчащую меж пальцев. От того, что нога практически не напрягается,она заметно уменьшилась, я бы сказала так УМЕНЬШИЛАСЬ. Природной мне даны, массивные ,такие ноги и нет там не жир. Поэтому больная нога на фоне здоровой выглядит одновременно смешно и жутко. Она усохла достаточно сильно. Лангетка, которая раньше жутко терла икру, теперь болтается на ноге и приходится поверх обычных бинтов ,крутить эластичный. Фото прилагается.
Ходить на костылях для меня целое испытание,уже натерла подмышки и появились синяки. Еще к этому руки выросли в объеме) Ночами, чтоб не будить домашних,передвигаюсь на четвереньках,от этого и синяки.
Вот и сама потерпевшая)Под колпочком от шприца спрятана спица, это мне еще в больнице сделали, чтоб не зацепить случайно железку. К слову, первые дня 3 у меня была жуткая паранойя на счет этого ,мне казалось, что она вот вот выскочит сама)) Наложили 4 шва, но на момент фото, я признаюсь честно, просто зассала смотреть на рану и увидела только вечером, когда приехал муж и обрабатывал ее😂
Вот как установили мне саму спицу. 3 мая надо вытаскивать. Швы по идее надо снять уже завтра, но в поликлинике мне сказали, что они не знают, сможет ли принять меня врач, у него все по записи.
Что еще хотелось добавить...
Из-за перелома стала жутко нервной. Я по натуре человек не требовательный и не капризный, но от того, что сама ничего не могу толком сделать злилась на всех. Пока лежала в больнице, гоняла мужа по делу и без.О нем скажу следующее, он старше меня на 8 лет, такой типичный глава семьи, и по характеру и по делу, не любит сюсюкаться,ласковым его не назовешь. Так вот... Забирал меня на пару часов покататься и развеяться.Только требовала и истерила... В общем вела себя как ребенок капризный.Так помимо этого, он ,пока я была в больнице, взял отгул и сидел с ребенком. И уже приехав домой, в привычную обстановку, вечером пошла курить на балкон и расплакалась. Вся эта неделя проносилась в голове снова и снова и я поняла какая я сука .Всю заботу принимала как должное...Вроде успокоилась,пошла к мужу. Села рядом с ним и опять в слезы, меня прям прорвало на истерику. Я извинялась за свое поведение, благодарила за помощь, ведь я ПОНЯЛА, что он делает для меня. Я очень благодарна своему мужу и теперь каждый день говорю ему об этом.
Строго не судите, захотелось поделиться))
Берегите себя и своих близких))
Неужели правда?
Пока лежала в больнице, бороздила просторы интернета о советах как ускорить срастание костей. Помимо витаминов и питания наткнулась (и не раз) на статьи, что алкоголь ускоряет этот процесс чуть ли не лучше вышеперечисленного. Неужели правда?
Возможно, многим вопрос покажется глупым, но мне действительно интересно так это или нет?))
UPD :В запой уходить не собираюсь))Все в меру)
Случай в палате
Пока писала второй пост, привезли девчонку молодую. Третий день боли, тошнота , в общем все указывает на аппендицит. Поставили ей капельницу и она просит мать :
- Мам привези все тетради, что есть. Абсолютно все.
Я подумала, что девчонка рисует или стихи пишет и хочет скоротать время за хобби.
И тут же добавляет :
- Я учить тут буду.
Оказывается ЕГЭ скоро. Даже аппендицит не отговорка.
Про мой перелом ч. 2
Сегодня была операция. Наркоз кололи в позвоночник(ножки потом как холодец, так прикольно). Пугало меня то, что я была в сознании и могла все слышать,но медсестра ввела в капельницу какой-то чудо укольчик и стало по барабану на все. Сама операция длилась не долго, точно сказать не могу,но что-то около часа. В комментариях к первому посту писали, что будут сверлить. Сверлить не стали, просунули спицу между костяшками 4 и 5 пальцами. Всех тонкостей описать не могу, т.к. вся движуха была за ширмой,да и смотреть на все это желания нет.
Все прошло хорошо. Теперь ждет меня ходьба с железкой около месяца. Да и потом, сказали, реабилитация столько же)) Уже запаслась курсом кальция. Сил мне и терпения)))
Отдельно хочется сказать спасибо людям за слова поддержки и за юмор! Вы прибавили мне сил)
Про мой перелом
В ночь на 5 апреля неудачно оступилась. Спускалась по лестнице и "забыла" про последнюю ступень. При приземлении услышала хруст. Сразу появилась уверенность, что перелом. Решили ждать утра и ехать в поликлинику. К слову ,повез меня мой дедушка, суровый двухметровый полковник. Мужа отправила на работу.
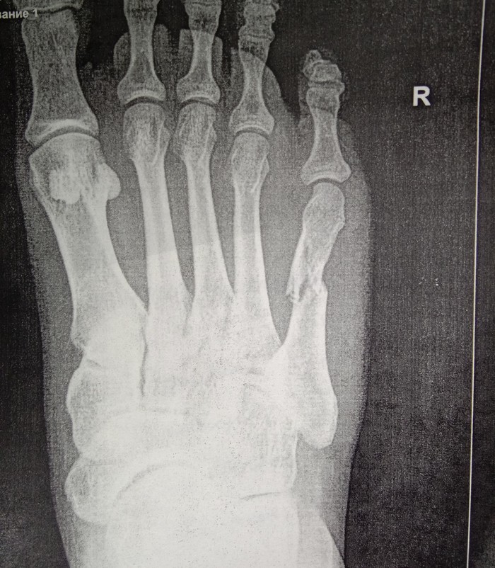
Приехали, взяли талон и направились к травматологу. В кабинете врач осмотрев ногу, направил меня на рентген. И вот увидев снимок, мои опасения подтвердились.
Принесла снимки врачу, он говорит, надо вправлять ,перелом со смещением. Отправляет меня в процедурную (или как там правильно называется), я попросила врача, чтоб дедушка пошел со мной, мол с родней не страшно будет. Вот сидим с дедом смеемся над всей ситуацией, фоткаем друг друга,мол на память. И тут заходит врач, садится ко мне на кушетку и начинает протирать ногу спиртом. И тут начинается кино)) Мне становится дурно и я прошу просто полежать. Все, темнота. Очнулась когда меня уже посадили, вся мокрая и бледная. Вокруг меня бегают несколько врачей, измеряют давление ,смотрят зрачки, а я вроде и пришла в себя, но ничего понять не могу.
Уже дома дед рассказал мне, что когда я завалилась,с криками "#ули ты стоишь?"он метнулся ко мне, чтоб приподнять ,а врач встал как вкопанный.
Дальше больше, травматолог отказывается вправлять мне ногу и отправляет меня в районую больницу, предварительно наложив мне гипс. Мотивируя тем ,что там есть ресурсы в случае чего откачать. Я его понимаю. Ведь он ничего не успел сделать, а я уже без чувств.
Отправились мы в больницу и мне говорят, приезжайте в понедельник, т.к. травматолога сейчас нет.
За выходные нога вообще не давала о себе знать, я уж подумала, может гипс как-то вправил ногу)) Наивная)
Понедельник, мы с мужем в приемном покое встречаем врача. Объясняем ему все , он отправляет нас на рентген. Но увы и ах, кость встала ровнее, но "домик"остался. Идем в процедурную, там мне вправляют кость, делают гипс и опять на рентген. Нога встала чуть ровнее, но может "соскочить " в любой момент. В общем надо вставлять спицу.
Вот лежу уже второй день в больнице и обследуюсь перед операцией.
Скажу честно, боюсь. Переломы и операции для меня страшный сон. Незнаю чего ожидать.
Морали нет,захотелось поделиться своей историей. Пост первый, строго не судите.






