Про мой перелом
В ночь на 5 апреля неудачно оступилась. Спускалась по лестнице и "забыла" про последнюю ступень. При приземлении услышала хруст. Сразу появилась уверенность, что перелом. Решили ждать утра и ехать в поликлинику. К слову ,повез меня мой дедушка, суровый двухметровый полковник. Мужа отправила на работу.
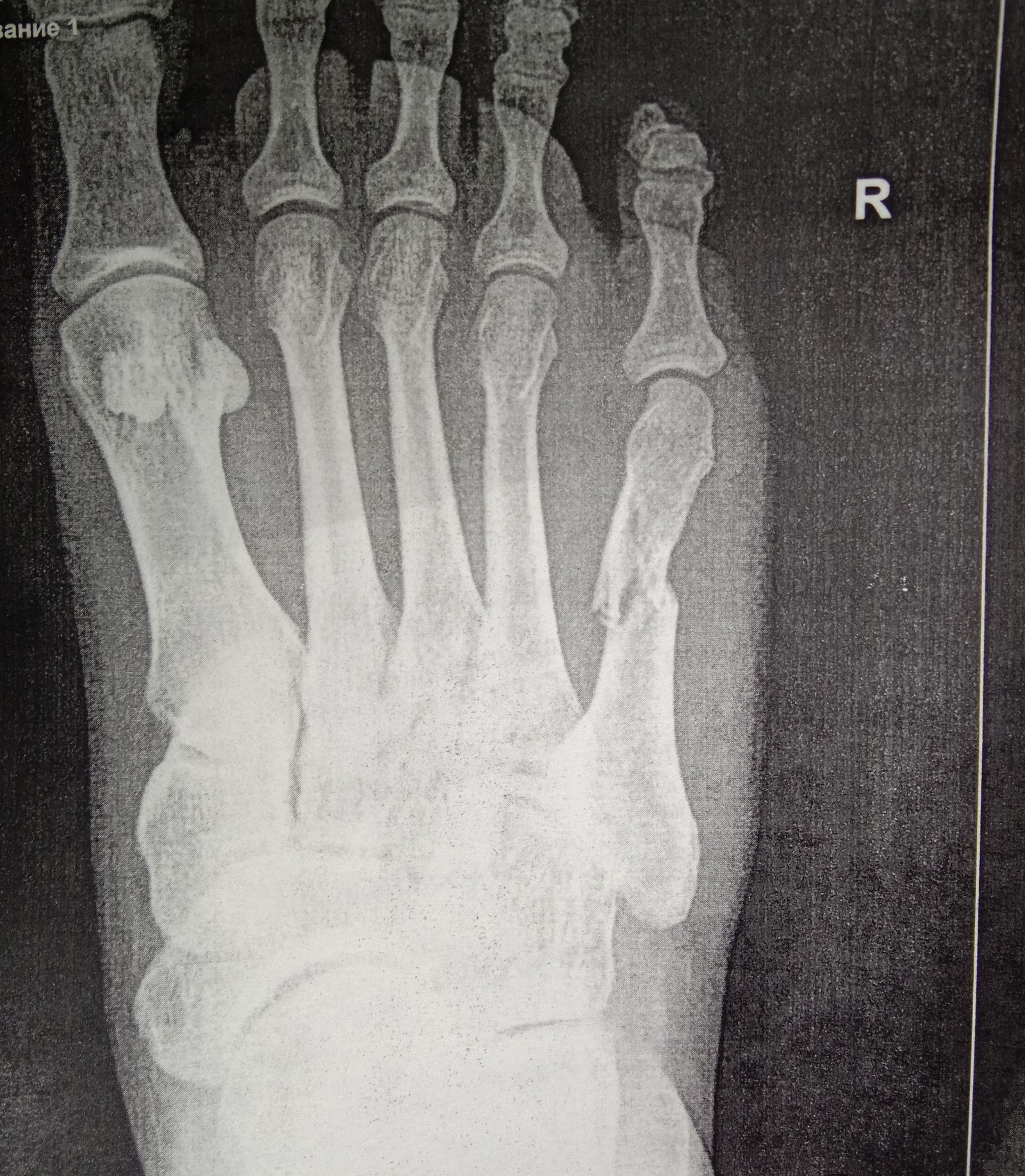
Приехали, взяли талон и направились к травматологу. В кабинете врач осмотрев ногу, направил меня на рентген. И вот увидев снимок, мои опасения подтвердились.
Принесла снимки врачу, он говорит, надо вправлять ,перелом со смещением. Отправляет меня в процедурную (или как там правильно называется), я попросила врача, чтоб дедушка пошел со мной, мол с родней не страшно будет. Вот сидим с дедом смеемся над всей ситуацией, фоткаем друг друга,мол на память. И тут заходит врач, садится ко мне на кушетку и начинает протирать ногу спиртом. И тут начинается кино)) Мне становится дурно и я прошу просто полежать. Все, темнота. Очнулась когда меня уже посадили, вся мокрая и бледная. Вокруг меня бегают несколько врачей, измеряют давление ,смотрят зрачки, а я вроде и пришла в себя, но ничего понять не могу.
Уже дома дед рассказал мне, что когда я завалилась,с криками "#ули ты стоишь?"он метнулся ко мне, чтоб приподнять ,а врач встал как вкопанный.
Дальше больше, травматолог отказывается вправлять мне ногу и отправляет меня в районую больницу, предварительно наложив мне гипс. Мотивируя тем ,что там есть ресурсы в случае чего откачать. Я его понимаю. Ведь он ничего не успел сделать, а я уже без чувств.
Отправились мы в больницу и мне говорят, приезжайте в понедельник, т.к. травматолога сейчас нет.
За выходные нога вообще не давала о себе знать, я уж подумала, может гипс как-то вправил ногу)) Наивная)
Понедельник, мы с мужем в приемном покое встречаем врача. Объясняем ему все , он отправляет нас на рентген. Но увы и ах, кость встала ровнее, но "домик"остался. Идем в процедурную, там мне вправляют кость, делают гипс и опять на рентген. Нога встала чуть ровнее, но может "соскочить " в любой момент. В общем надо вставлять спицу.
Вот лежу уже второй день в больнице и обследуюсь перед операцией.
Скажу честно, боюсь. Переломы и операции для меня страшный сон. Незнаю чего ожидать.
Морали нет,захотелось поделиться своей историей. Пост первый, строго не судите.

