Очень длинный тред об респираторном дистресс синдроме,листайте дальше
На фоне падающего снега за окном напишу обещанный тред об ОРДС или ARDS (англ).Можем назвать его "ОРДС для не анестезиолога или ОРДС для не врача" - т.е упрощать буду максимально.
Братья и сестры - анесты будьте снисходительны, все таки многое будет упрощено.
Поехали...
Честно говоря не знаю как это все может вам пригодится, потому что ОРДС это состояние которое в 100% случаев лечится в ОАИТ исключительно анестезиологами ( интенсивистами ), так как этот синдром сопровождается тяжёлой дыхательной недостаточностью требующей респираторной поддержки
ОРДС или острый респираторный синдром это состояние сопровождающиеся диффузным поражение альвеол ( это когда все они сразу поражаются) и дыхательной недостаточностью. Это не отдельное заболевание, а осложнение многих заболеваний или состояний.
Описан был в 1967 году, хотя конечно же существовал постоянно,просто не был изучен. И при испанки большинство умирало от этого состояния, и от H1N1 гриппа,и сейчас при Covid тоже в основном умирают от него. Если точнее от недостатка кислорода вызванное им.
Врачи стали обращать внимание во время войны во Вьетнаме что у пациентов через 2-3 дня после того как их выводили из шока появлялась тяжёлая дыхательная нед-ть. Это было , как потом установили, из за больших объемов жидкостей , крови, плазмы которые переливались раненым.
Потом все его активно изучали, и стали находить и другие разные причины, при которых он возникал. Это состояние назвали и "влажное лёгкое" и "шоковое лёгкое" и.т.д . И вот в 1967 году этот синдром обозвали респираторным дистресс синдромом взрослых. Почему акцент "взрослых"?
Есть ещё и респираторный дистресс синдром у новорожденных, но там причина другая - дефицит сурфактанта ( вещество которое выстилает наши альвеолы и не даёт им слипаться на выдохе ) . Но речь не о нем, это для примера, вдруг услышите , будете знать что это не одно и то же.
Почему ОРДС это очень хреново для пациента ? Ну это прежде всего высокая летальность. Раньше эта летальность была вообще космической - 80%, сейчас при всех современных подходах она снизилась где то до 40%, но блин, 40% это дохрена
Самое громкое исследование по ОРДС Lung Safe trial проведенное в 50 странах, с участием 29 000 пациентов определило что при "лёгком " течении летальность 35%, при "среднем" - 40%, и при тяжёлом - 46%. И это в настоящее время, когда внедрены современные подходы к ИВЛ.
Во второй части треда, я расскажу о том,что все эти современные принципы лечения, которые позволяют добиться летальности в 40-45% в обычном ОАИТ провинциального города реализовать довольно сложно. И значит летальность будет уже не 40%. Поэтому сидите дома) ,идём дальше...
Чтобы дальше было понятнее, два слова как кислород попадает в кровь. Попадая в бронхи воздух доходит до альвеол и затем диффундирует через мембрану между ткань лёгкого и капилляром. Далее он связывается с гемоглобином в эритроцитах и разносится по организму.
А теперь сравните альвеолы между собой : здоровая и при ОРДС. Альвеола при ОРДС заполнена жидкостью которая сюда вышла из сосудов. И это происходит одномоментно во всех альвеолах ( где то больше, где то меньше), в результате различных пусковых факторов: сепсис, травма, N1N1, nCoV
В просвет альвеол вместе с жидкостью из сосудов устремляют различные клетки, главные из них нейтрофилы. Затем они все там высвобождают активные вещества, и запускается полный пиздец этой мембране, через которую проходит кислород .
Она начинает уплотняться и через нее хрен какие молекулы кислорода теперь в принципе смогут поступить в кровь. Кислород перестает поступать в кровь,падает насыщение кислородом гемоглобина, и возникает дефицит кислорода во всех органах. И они начинают отлетать один за одним.
Именно за счёт отека ( жидкости в альвеолах ) на первой стадии этот синдром ранее и называли "влажным легким", "некард огненным ( т.е без наличия сердечной недостаточности) отеком лёгкого. Это кстати один из критериев ( отек при отсутствии кардиальных причин).
Что далее? Далее эти активные вещества которые были выброшены клетками из крови, которые попали в альвеолы, запускают развитие гиалиноза и фиброза ( если очень просто уплотнение) мембраны через которую должен проходить кислород. И это во всех альвеолах одномоментно происходит
Вот к примеру сравнение нормальных альвеол и альвеол при ОРДС. Вы видите как уже альвеоло капиллярная мембрана ( та через которую проходит кислород) уплотнена - это гиалиноз. ( По простому утолщение, уплотнение за счёт белка )
Если пациент входит в состояние с ОРДС, то выйти из него он может в 3 испостасях:
- трупом
- живым но с фиброзом лёгких ( нарушение эластичности и снижение ёмкости лёгких)
- живым и без фиброза
Думаю понятно, чем тяжелее ОРДС тем больше шансов мой и по первому варианту
Сколько это все длится?
Если пациент идёт по пути выздоровления, то от 10 суток с момента начала до 30 суток.
Причины можно разделить на прямые и опосредованные .
Из прямых причин самые частые это: инфекция ( грипп, коронавирус,пневмония) и аспирация жел.сока.
Из непрямых причин самые частые это шоки, внелегочная инфекция ( перитонит например ) , тяжёлая травма, массивные переливания жидкости. Из за массивных переливания тогда солдаты в основном и погибали. Ожоги ещё.
Так что это некое универсальное повреждение, которое могут запускать различные причины. Многие авторы пишут об универсальности протекания процесса, я больше за то что все таки особенности есть. Кстати и летальность в зависимости от пускового фактора тоже разная.
Наиболее высокая летальность если все таки ОРДС запускается вирусами. И как вы видите, с годами она особо не меняется. Хотя интенсивная терапия постоянно развивается.
Так, лёгкая часть закончилась, в принципе я думаю понятно что происходит, что является причиной смерти.
Давайте теперь поговорим почему о том ,возможно ли лечение согласно современным рекомендациям в условиях ОАИТ провинциального городка. И почему все так бьют тревогу.
Эта часть будет сложнее,не потому что специально я так делаю, просто упростить уже тут мало что получится, но я все равно попробую. Эта часть больше о подходах в ИВЛ, и почему те аппараты которые у нас есть ни хрена не способны адекватно вентилировать пациента с ОРДС .
Перед вам зависимость насыщения гемоглобина кислородом от парциального давления кислорода в крови. В норме PaO2 100 мм.рт ст и при этом 98% гемоглобина насыщено кислородом. Вы видите, в диапазоне PaO2 до 60 всё ещё сохраняется насыщение крови кислородом,а потом идёт обрушение
Т.е при ОРДС проникновение кислорода нарушается, мы разбирали это, и вслед за этим резко начинает снижаться парциальное давление кислорода в крови. И наша задача всеми силами удержать его хотя бы на 60. Иначе смысла лечения нет, пациент умрет.Скажу вам и это не всегда удается.
Что у нас для этого есть:
1. Самое лёгкое это увеличит концентрацию кислорода . Мы дышим воздухом где кислорода 21% . Мы используем один показатель, FiO2 это процент кислорода во вдыхаемом воздухе. В норме он 0.2. и вот мы начинаем увеличивать долю кислорода 0.4, 0.6, 0.8
Это все делается в борьбе за то самое PaO2 в крови. Иначе это все не имеет смысла. Если кислорода в воздухе больше, то и в кровь попадет больше. Это работает,но до поры до времени. Потом это уже не помогает,и пациента нужно переводить на ИВЛ, чтобы дышать уже за него.
И вот тут начинается магия. Представьте себе оркестр. Каждый музыкант это какой то параметр вентиляции: объем, скорость потока, давление и.т.д , а вы дирижёр. И настраиваете каждый параметр индивидуально , чтобы заиграл весь оркестр, и главное - была музыка а не шум.
И вот с этим начинаются проблемы. Вот к примеру допотопные аппараты ИВЛ, которые,я не шучу есть где то и сейчас. Это аппарат может качать, или не качать. Все. Для пациента с ОРДС такой аппарат это гарантированно летальный исход растянутый во времени.
Есть и такие , более современные ,их очень много, и они немного лучше первого, но далеки от идеала. Эти аппараты могут вентилировать только по заданному объему - вы его выбрали, и вот он вдувает его, хочет пациент этого или нет.
Но просто вдувать объем это не решает проблемы: из за отека,растяжимость и эластичность лёгких снижается, и скажем если в такие лёгкие дать объем как нам с вам,альвеолы прорвутся,и будет баротравма. Поэтому современные аппараты могут вентилировать по давлению .
Это космос: такие аппараты оснащены датчиками, которые выводят данные по состоянию лёгких, плюс интеллектуальная система позволяет подстраивать остальные параметры по те основные,которые задаете вы.
При лечении ОРДС мы сидим на шпагате: с одной стороны нам нужно добиться адекватного газообмена,а с другой стороны на нужно не повредить лёгкие. И это пиздец как сложно, из за того что высокие концентрации кислорода - враг, высокие объем - враг,высокое давление лёгких - враг.
Как пример: за рубежом вообще начинают ИВЛ с не инвазивных методов, когда не устанавливается трубка в трахею. Это или специальные маски, или специальный шлем.
Вот тут на видео видно пациентов с такими шлемами.
У нас ни хрена такого нет нигде.
https://news.sky.com/story/coronavirus-they-call-it-the-apoc...Не могу сказать это это идеально,все равно на тяжёлых стадиях нужно инвазивная ИВЛ,с интубацией. Я за раннюю инвазивную ИВЛ, но такая ИВЛ это и дополнительные проблемы.
И теперь, когда вы уже все поняли, блин, извините, легче ну никак, опускаемся на уровень обычного ОАИТ в рядовой ЦРБ.
И начинаем пытаться натянуть все то прекрасное, что рекомендуют в мире, на то что есть по факту в этом отделении. Это реальность господа.
Забирает анестезиолог пациента с одышкой скажем 24 или 26 на фоне коронавируса или гриппа, пофиг. И вот он хочет ему поставить диагноз ОРДС, где нужно сделать КТ + оценить отношение PaO2 к Fio2.
Проблема: КТ не факт что везде сделает, и pao2 далеко не везде измерят.
Начинает он ему кислород - paO2 померять не может, видит что сатурация ( насыщение крови ) падает, одышка сохраняется и переводит он его на ИВЛ. Понятно что инвазивная в этом случае пациенту не светит. И вот пациент на чудесном аппарате БРИЗ.
И этот аппарат начинает качать заданный объем с заданной частотой. Пациент конечно же сопротивляется,но так как интеллектуальных режимов вентиляции нет,то пациента вводят в медикаментозную кому.
PaO2 измерить особо нельзя,фракция кислорода в воздухе уже 80% выше нельзя,можно вентилировать на животе ...но друзья, мои, не с двумя сестрами на пациента,и респираторами бриз. Тут человек 6 надо чтобы пациента перевернуть + опыт + респираторы
И вот снижается респираторный индекс ( PaO2 / FiO2) до отметки ниже 70, ( в норме этот 500, про ОРДС для диагноза это 200) и надо же пациента на экстракорпоральтную мембранную оксигенацию переводить, а нету ее нигде.
Тут все и заканчивается.
И вот вы скажите: гайдлайны,рекомендации - а что толку он того что анестезиолог их? Где он найдет круглосуточное КТ,мониторинг газов крови,современные респираторы, оснащение, персонал? Если у него есть снимок лёгких, пульсоксиметр, и допотопный аппарат ИВЛ.
Так летальность о которой мы говорили в начале, в 40% это летальность при условии что вы ведёте пациента согласно международным протоколам, а какая она , если ведёте его на том что есть в наличии, сказать трудно.
Уже много говорили что коронавирус создаёт пиковые нагрузки на здравоохранения - именно в этом проблема. Основная категория для ОАИТ это пожилые пациенты. У них летальность зависит от возраста.
96% умерших в Италии имели ОРДС. Это сейчас уже более 4000 пациентов. Прикиньте сколько одномоментно нужно персонала, респираторов,лаборантов, честно, врачей, расходников,лекарств, чтобы с этим справится. Поэтому то все и вводят жёсткий карантин чтобы этого не допустить.
Наше здравоохранение и итальянские это параллельные вселенные ( я беру сегмент интенсивной медицины)! Поэтому какая будет у нас летальность при ОРДС в условиях массового поступления таких пациентов,никто вам не скажет, но то ,то она будет далеко не 45% это факт.
Что хотел рассказал,на вопросы уже отвечу по мере возможности. Если сложно было, простите. Тема специфическая просто.
Поэтому нужно сделать все чтобы не допустить массового инфицирования.
Правда, сидите лучше дома!
Благодарю всех кто дочитал это до конца.
P.S привет от анестезиологов Италии .
На картинке:
PaO2 40 (это не минимально допустимые 60) - все это на фоне 100% кислорода, при этом вентиляция на животе . Это крайняя степень тяжести ОРДС, когда даже в ущерб лёгким невозможно добиться адекватного насыщения кислородом.
Все!
ps
Дополню тред на основании вопросов который приходят в личку.
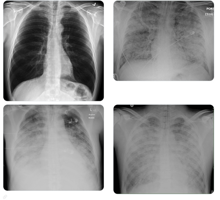
Итак,как выглядит ОРДС на снимке лёгких:
Первый снимок норма - остальные ОРДС
Лечение: ОРДС это синдром - осложнение - наша задача поддержать газообмен на должном для выживания организма уровне,пока не будет устранена основная причина. Скажем при коронавирусе должны выработаться антитела ,замочить вирус с одной стороны, и стихнуть воспаление с другой.
Если скажем ОРДС на фоне перитонита или панкреонекроза то лечим основное заболевание и параллельно поддерживаем газообмен. Задача ИВЛ поддержать парциальное давление кислорода в крови на уровне 60 и не убить своими режимами лёгкое. Воспаление уходит и мы снимаем пациента с ИВЛ
Антибиотики: ОРДС это воспалительный ответ, который развивается в течении 48 -72 часов. Бактерии могут присоединятся уже на фоне ОРДС особенно когда начинается ИВЛ.
Практически у всех через 1-2 суток на ИВЛ есть присоединение бактерий. И тогда идут в ход антибиотики.
В самом начале причина дыхательной недостаточности не бактерии,а именно отек в результате системного воспаления. В эпидемию H1N1 я видел пациентов которые умирали за двое суток, и гноя в лёгких не было, бактерии даже не успевали присоединится. Лёгкие все были пропитаны кровью
Почему раньше летальность была выше: лечили совсем иначе. Позднее начало ИВЛ. Высокие объемы. Ранее отлучение от респиратора. После внедрение проективной ИВЛ ( малые объемы,контроль давления, и.т д) то что применяют сейчас,летальность снизилась на 22%. Это для нас очень круто!
ОРДС это универсальный процесс : при SARS , H1N1 , при COVID это все одно и тоже состояние. Я даже больше чем уверен что при испанке все было тоже самое, только кто тогда мог ИВЛ обеспечить. Вот и умирали все подряд от острой дыхательной недостаточности на фоне ОРДС
Что будет если парциальное парциальное давление кислорода ниже 60: начинает резко снижаться насыщение крови кислородом. При PaO2 40 насыщение крови будет на уровне 65%. Одни из первых отлетают почки, и нужен диализ. У 30% умерших в Италии острая почечная нед.ть была на фоне ОРДС
Т.е была дыхательная недостаточность, добавляется ещё и почечная. Это рождает ещё одну проблему, так как в небольших городах гемодиализ не найдешь. Да даже если и найти, то пациент может быть в другой больнице и нетранспортабельным.
Интенсивная медицина это прежде всего оснащение. Наверное ни одна отрасль так не зависит от оснащения как мы. Можно знать все рекомендации , и быть ничем не хуже западных коллег, но из за отсталого в технологическом плане оборудования мы не можем обеспечить такие же результаты.
Но даже высокоразвитая в технологическом плане ИТ в Италия схлопнулась за 3 недели: пациентов с высокими шансами умереть на фоне ОРДС даже не переводили на ИВЛ. Аппараты ИВЛ доставались только тем, за кого можно побороться. Вдумайтесь только в это! И это в Италии.
pps































