Пластика десны (гингивопластика) в области установленного имплантата
Здравствуйте, дорогие друзья и недруги! Давненько я тут ничего не выкладывал.
Полноценные статьи удается писать все реже, но я, наконец-то, нашел для этого время.
Сегодня я расскажу вам про мою самую ненавистную манипуляцию в полости рта – пластику мягких тканей. Лечение рецессий десны, в частности. Вы спросите, что за хирург такой? А я отвечу – у каждого в своей профессии есть что-то, что он умеет и практикует, но по тем или иным причинам делать не любит. Так вот, в моем случае – это закрытие рецессий. В большей степени причина в том, что пластика десны – крайне непредсказуемая манипуляция. Основная причина их появления - это перегрузка. Она возникает из-за неправильного смыкания зубов (неправильного прикуса).
----------------------------------------------------------------------------------------------------------
----------------------------------------------------------------------------------------------------------
ВНИМАНИЕ!-Uwaga!-Pažnju!-Attention!-Achtung!-Attenzione!-ВНИМАНИЕ!-Uwaga!-Pažnju!
Ниже будут представлены фотографии, сделанные во время приема! С видами зубов, дёсен, крови и расчлененки. Слабонервных прошу отказаться от прочтения данной статьи!!!
----------------------------------------------------------------------------------------------------------
----------------------------------------------------------------------------------------------------------
Поэтому, до тех пор, пока есть причина в виде этой самой перегрузки – делать пластику рецессий бессмысленно. Могу вас понять, в интОрнете вы видите красивые картиночки, где корни зубов оголены на половину, все вкривь да вкось, а какой-то «гуру» провел пластику десны, и вуаля – все прекрасно и эстетично. Только вот незадача, самый отсроченный результат, как правило, – это момент снятия швов. Подчеркну – я не говорю о том, что проводить пластику десны бессмысленно и ненужно. Я говорю о том, что сначала необходимо избавиться от причины их возникновения. В противном случае со временем рецессии появятся снова.
То ли дело закрытие рецессий в области имплантатов. О них я сегодня и расскажу.
Тает, тает, тает на дороге грязный снег, а меня марток встречает. Март 2022, запахло весной. На деревьях начинают набухать почки, а у «нестабильных» граждан – шишки. Весеннее обострение никто не отменял.
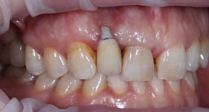
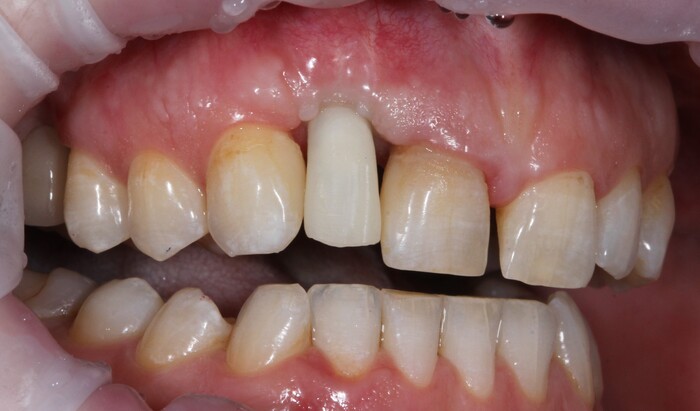
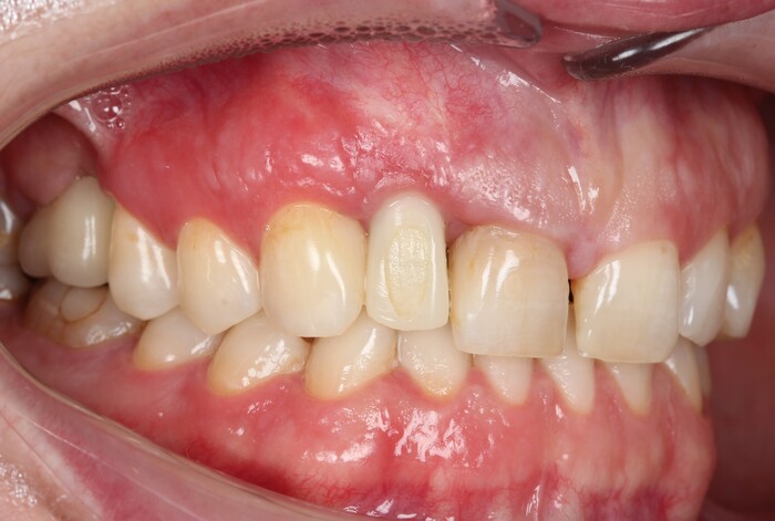
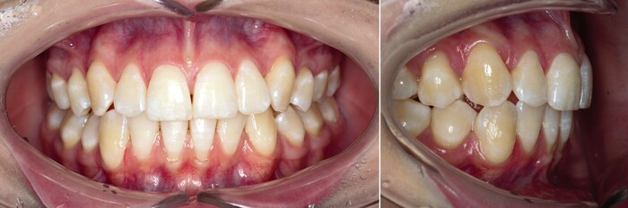
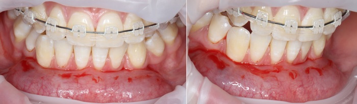
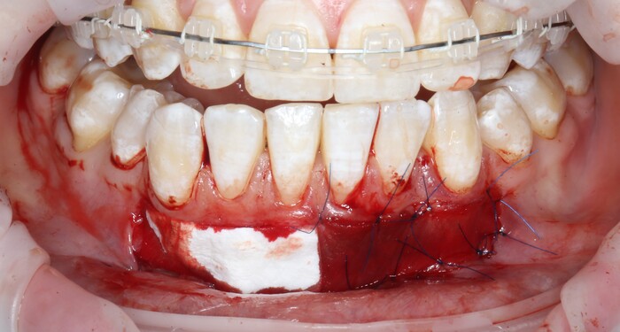
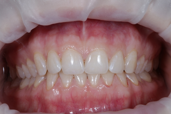
Но мне повезло, ко мне на прием пришла прекрасная девушка (а не усатый господин в плаще на голое тело) с ужасной, с ее слов, проблемой. Когда-то давно ей поставили имплантат в области верхнего бокового резца, но в связи с тем, что положение имплантата было неправильным, а одномоментно с имплантацией пластики десны не проводилось, последняя начала постепенно «подниматься», оголился абатмент (та часть, «за которую держится коронка»). Со слов пациентки, тем же доктором была предпринята попытка сделать пластику десны, не снимая этой коронки. Но, увы, развился некроз, что только усугубило ситуацию.
На момент моего осмотра это выглядело так:
Согласитесь, не особо эстетично. Ортопантомограмма:
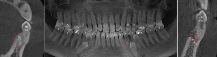
Фрагмент компьютерной томографии (вид сбоку):
Первый вопрос, который я задал, – почему не было проведено исправление прикуса до имплантации?
Пациентка сказала, что обсуждала этот вопрос, но финансово она не тянула.
Ходить без зуба в свои 25* очень уж не хотелось, и она решила рискнуть.
Выдыхайте.
На этот раз я не буду показывать фотографии того, как проводится сама пластика, чтобы какой-нибудь нежный котик на антидепрессантах, да еще и с неуравновешенной психикой, не навалил кирпичей и не написал: «Где, блядь, тег "жесть"?!» (Который, кстати, советую отключить. Статей с таким тегом у меня немало, а вы рискуете ими не насладиться). Тогда как любой здравомыслящий человек, увидев в самом начале статьи предупреждение, написанное жирными, как скифское тело, буквами о том, что дальше будет мясо, – не продолжит чтение.
Но из раза в раз я замечаю, что нет-нет, а кто-то забьет болт на предупреждение и начнет оголтело листать картинки, медленно от них охуевая. Время такое. Меньше читаем, больше листаем. Молодежь, блядь. Пора в статьи добавлять рилсы, тогда точно «залетит». Главное, чтобы не ты.
Кстати, да, мат тоже может проскакивать. Я хоть и хирург, но человек. Ничто человеческое мне не чуждо.
Так вот!
Пойдем поэтапно. Не по тому этапу, что вы подумали.
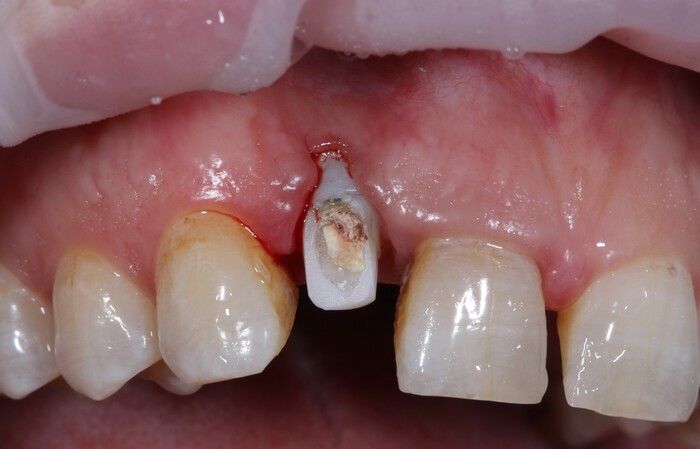
1 – снятие старой коронки.
Было необходимо дождаться, пока десна полностью «не успокоится».
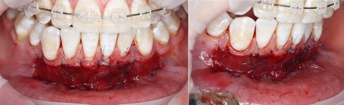
2 – проведение пластики десны.
Был взят трансплантат в области бугра верхней челюсти (это то место, где раньше был зуб мудрости).
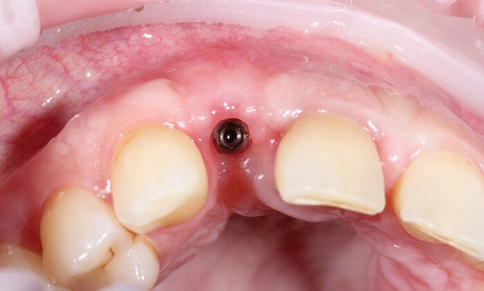
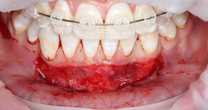
3 – установка нового формирователя десны.
4 – изготовление временной коронки.
5 - изготовление постоянной коронки (забегу вперед, постоянную коронку, увы, пациентка не сделала в связи с теми же финансовыми затруднениями).
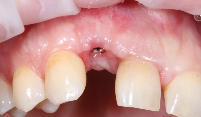
После снятия коронки:
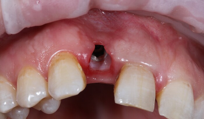
Выкрутили абатмент:
Установлена заглушка, которая закрывает шахту имплантата.
Теперь необходимо выждать около 2-х месяцев для того, чтобы десна восстановилась (Пациентка это время ходила со специальной капой, которая имитирует наличие зуба).
Далее проведена пластика десны, снова два месяца ожиданий и установка временной коронки:
Ну, такое, согласен, но это начало.
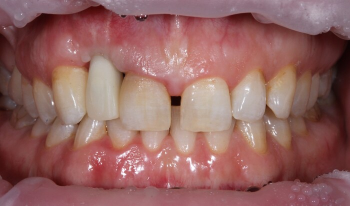
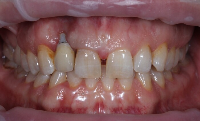
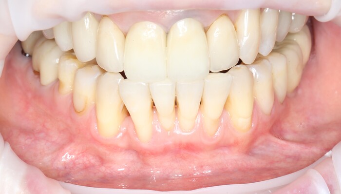
Еще через пару месяцев временную коронку сняли для изготовления новой:
И вот картинка спустя полгода «ношения» новой временной коронки:
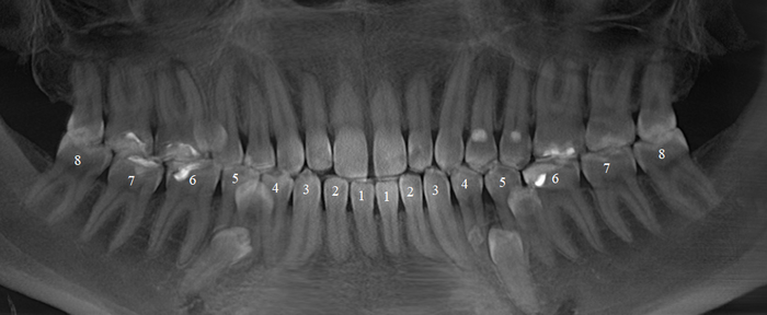
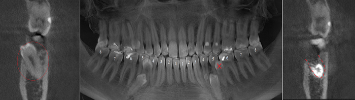
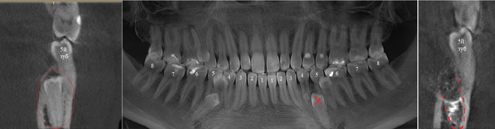
Контрольная ортопантомограмма:
Прицельный снимок:
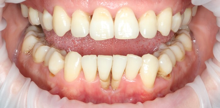
Я согласен, что эстетика хромает. Давно пора менять временную коронку на постоянную, что улучшит результат. Но, как я говорил, все упирается в финансы.
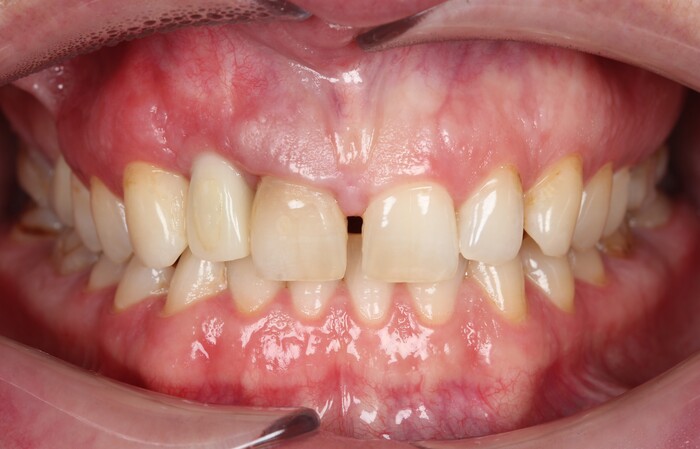
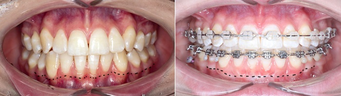
С другой стороны… с этого мы начали:
а на этом остановились:
Пациентке настоятельно рекомендована консультация ортодонта. Но я не уверен, что она до нее дойдет. Но если это случится, я обязательно буду дополнять статью фотографиями и комментариями к ним.
Спасибо за внимание.
С уважением, Андрей Дашков
----------------------------------------------------------------------------------------------------------
----------------------------------------------------------------------------------------------------------
К слову, выключите запрет на тег "жесть"! В противном случае, многие мои статьи вы не увидите.
----------------------------------------------------------------------------------------------------------
----------------------------------------------------------------------------------------------------------
Что еще почитать?
Про имплантацию зубов и костные пластики:
Про зубы мудрости и их удаление:
Про профессиональную гигиену полости рта:
И, конечно:
- Голая правда (статья о формировании стоимости лечения в стоматологической клинике)












































































































































