Профессиональная гигиена полости рта. Часть I
Здравствуйте, дорогие друзья!
Все мы знаем, насколько важно поддерживать гигиену полости рта и к чему может привести халатное к ней отношение. Но, увы, не все придают этому должного значения.
А ведь после установки имплантатов и при наличии ортопедических конструкций, это особенно важно!
Я не раз говорил, что при корректном протезировании и качественном уходе за полостью рта, с имплантатами, со временем, ничего не происходит. Они как стояли, так и продолжают стоять. А вот то или иное воспаление, которое возникает в области своих зубов, может вовлекать в себя рядом стоящие имплантаты. Очень важно проходить профилактические осмотры, проще говоря ТО, каждые полгода. Это требуется для контроля и выявления тех или иных проблем на начальных этапах. Исправить которые не составит труда.
ВНИМАНИЕ!-Uwaga!-Pažnju!-Attention!-Achtung!-Attenzione!-ВНИМАНИЕ!-Uwaga!-Pažnju!
Ниже будут представлены фотографии сделанные в полости рта! С видами зубов, дёсен, "испорченных" зубов и т.д.. Слабонервных прошу отказаться от прочтения данной статьи.
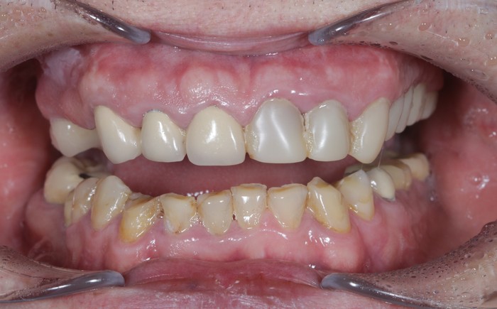
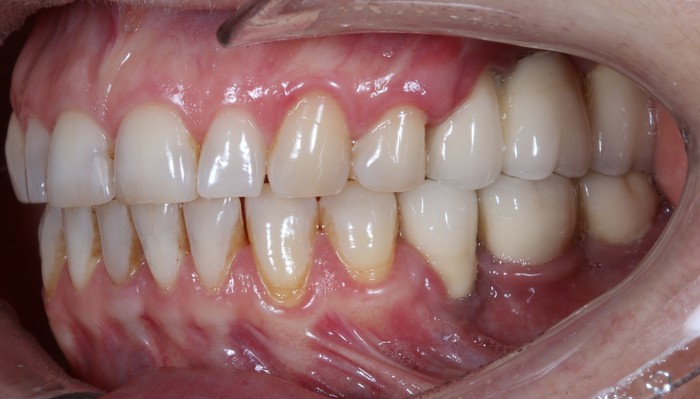
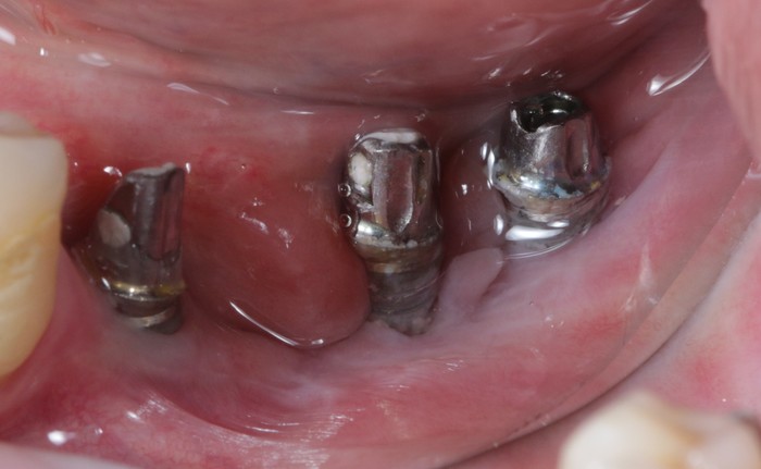
Вот пример того, когда пациент пренебрёг данным правилом:
Мужчине были установлены и спротезированы (временными коронками) имплантаты в другой клинике. После этого он пропал на несколько лет, не закончив полностью свое лечение. Явился лишь тогда, когда почувствовал «дискомфорт».
Кроме несостоятельности старых коронок и пломб, патологической стираемости зубов и т.д. - все эти годы сильно страдала гигиена.
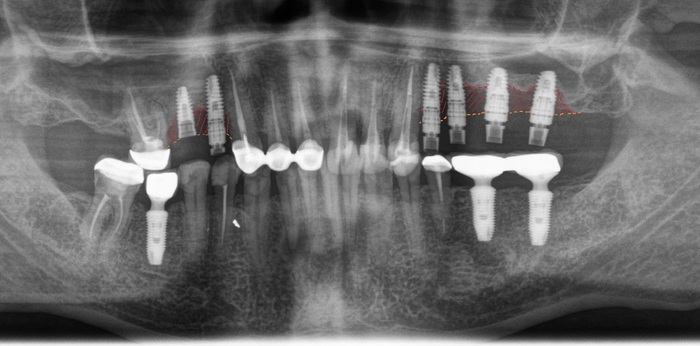
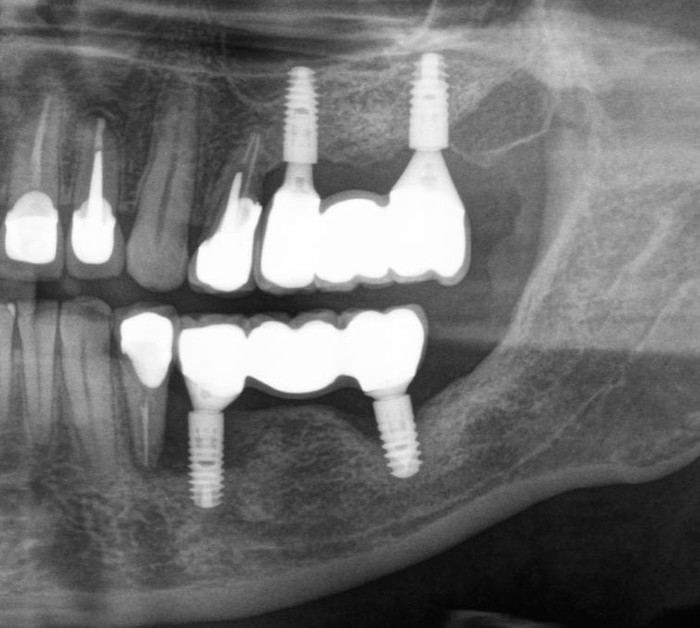
Ниже, на панорамном снимке зубов, мы наблюдаем критичную убыль костной ткани вокруг имплантатов на верхней челюсти.
Оранжевая пунктирная линия - было,
красная - стало.
Как же отсутствие банальной гигиены полости рта так сильно повлияло на область имплантации, - спросите вы.
А вот как:
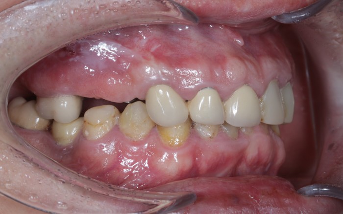
Так выглядят временные (пластмассовые) коронки после их снятия. Они просто утопают в говне налёте. (К слову – поверхность временных коронок отлично собирает на себе налёт, чего в таком количестве не бывает на постоянных, сделанных из керамики.)
Но пациента, видимо, это не особо то беспокоило. Если, даже, выпавшие пару лет назад временные коронки на противоположной стороне его не шибко волновали.
Интересно ли вам на сколько «попал» пациент только лишь потому, что не соблюдал элементарных вещей и забил на дальнейшее восстановление зубов? Так вот, около 500К. Это сумма выкинутых на помойку денег. Не говоря уже о том, что при повторном протезировании и исправлении сложившейся ситуации ценник будет выше, если не в два, то в полтора раза точно.
Поэтому я призываю вас - не пренебрегайте профилактическими осмотрами у стоматолога. Тем более, если у вас есть те или иные ортопедические конструкции. Этого пиздеца можно было легко избежать, если бы мужчина приходил на плановые приёмы, где доктор проводил бы ТО в виде снятия коронок, их чистки и, как не смешно это звучит, заново учил бы правильно ухаживать за зубами. (К слову - постоянное протезирование никак не умоляет необходимости в профилактических осмотрах)
Пару слов об уходе за ортопедическими конструкциями. Если для поддержания должной гигиены своих зубов, как правило, достаточно зубной щётки и умения с ней обращаться, то, в случае с коронками и мостовидными протезами, одной лишь щётки будет недостаточно. Существует большое разнообразие разных ёршиков и нитей, но без ирригатора вам не обойтись. Ирригатор – это такой керхер для полости рта, который под сильным напором подает пульсирующую струю воды, которая выбивает всё, что забивается как между зубами (если они у вас «родные, не биты не крашены), так и в области ортопедических конструкций, таких как коронки и мостовидные протезы. Особенность вторых заключается в том, что между телом протеза и десной остается некоторое свободная пространство, - «промывная часть», созданное для облегчения гигиенического ухода. В области передних зубов используются «касательные» мостовидные протезы, тело которых касается десны или незначительно от неё отстаёт. Так же есть седловидный (овоидный) тип расположения промежуточной части. Хоть этот вариант самый эстетичный, но не самый лучший, так как способствует забиванию пищи, не обеспечивает гигиену и может вызывать пролежни на десне.
Этот чудесный девайс выглядит примерно так:
У него много различных насадок, все фиг пересчитаешь! Кстати - эта незаменимая и прекрасная вестчЪ пригодится обладателям брекетов. С уверенностью заявляю, как человек, носивший их дважды, и по два года. Если этот ирригатор стационарный, то ещё есть портативный – с ним вы уже не отвертитесь от хорошей гигиены в командировке или в отпуске.
Ирригаторов на рынке огромное множество, выбирай не хочу. Более того на том же алиэкспресе можно заказать себе изготовленный на официальном заводе, но «после полуночи», оригинальный ирригатор, лишь с другим названием, но в разы дешевле тех, что продают у нас.
Уже в следующей статье я расскажу вам подробнее о этапах профессиональной гигиены полости рта и о её особенностях, связанных с установленными имплантатами и ортопедическими конструкциями.
Не переключайтесь!
С уважением, Андрей Дашков
Мои:
------------------------------------------------------------------------------------------------------------------------------------------------------------------------
Что еще почитать?
Про имплантацию зубов:
- Установка имплантата: как это делается?
- Синус-лифтинг и одномоментная имплантация
- Имплантация при полном отсутствии зубов, как следствие несвоевременного обращения к стоматологу
Про зубы мудрости и их удаление:
- Зубы мудрости: удалить нельзя оставить
- Все еще тянешь с удалением зубов мудрости, потому что "не болит"? Ну-ну...
- Удаление зубов мудрости. Как это делается?
- ЧЛХ или не ЧЛХ? Вот в чем вопрос…
- Зубы мудрости: Тянем-потянем!
И, конечно:
- Стоматология: ожидание и реальность
- Рекомендации после приёма хирурга-стоматолога
- Как выбрать врача и стоматологическую клинику?
- Голая правда (статья о формировании стоимости лечения в стоматологической клинике)























































































