Бруксизм, или дентальный компрессионный синдром
Здравствуйте, друзья! В продолжение к предыдущей моей статье про связь имплантации и ортодонтического лечения, сегодня я расскажу про проблемы, которые возникают при гипертонусе жевательных мышц.
Немного скучного введения (дальше будет интереснее).
Бруксизм – это скрежет зубами. То есть непроизвольное сжимание челюстей и/или их интенсивное движение относительно друг друга.
В основе проявления бруксизма лежит комплекс различных причин, среди которых выделяют следующие:
– Психологические. Следствие эмоциональной нестабильности, стрессов, перегрузок, перенапряжения, которые вызывают непроизвольные мышечные сокращения и скрежет зубами.
– Неврологические. Проблема заключается в нарушении деятельности центральной и периферической нервных систем, которые приводят к неврологическим и двигательным расстройствам.
– Стоматологические. Расстройство является последствием отклонений в строении и функционировании зубочелюстной системы: это могут быть аномалии зубов, неправильный прикус, некачественное лечение зубов, артрит или артроз височно-нижнечелюстного сустава. Но не у всех людей с окклюзионными нарушениями развивается бруксизм.
Шел 2018 год. Не 2007-й, но было тоже относительно легко и беззаботно. Апрель. Хотелось бы сказать, что запахло весной, метелям отбой, но середина весны, помнится, выдалась морозной. Легкость и беззаботность витали в воздухе. А я тем временем витал в облаках, проебав покупку квартиры в ипотеку, которая в этом же доме к сегодняшнему дню стоит в три раза дороже. Наша уютная клиника только-только открылась. Первые месяцы сего грандиозного события сопровождались приятной воодушевляющей суетой. Глаза горели аки огонь, а рук не хватало. Хотелось всего и сразу.
Буквально первая неделя работы на новом месте. Меня посетил пациент, который начал свое лечение еще в другой клинике.
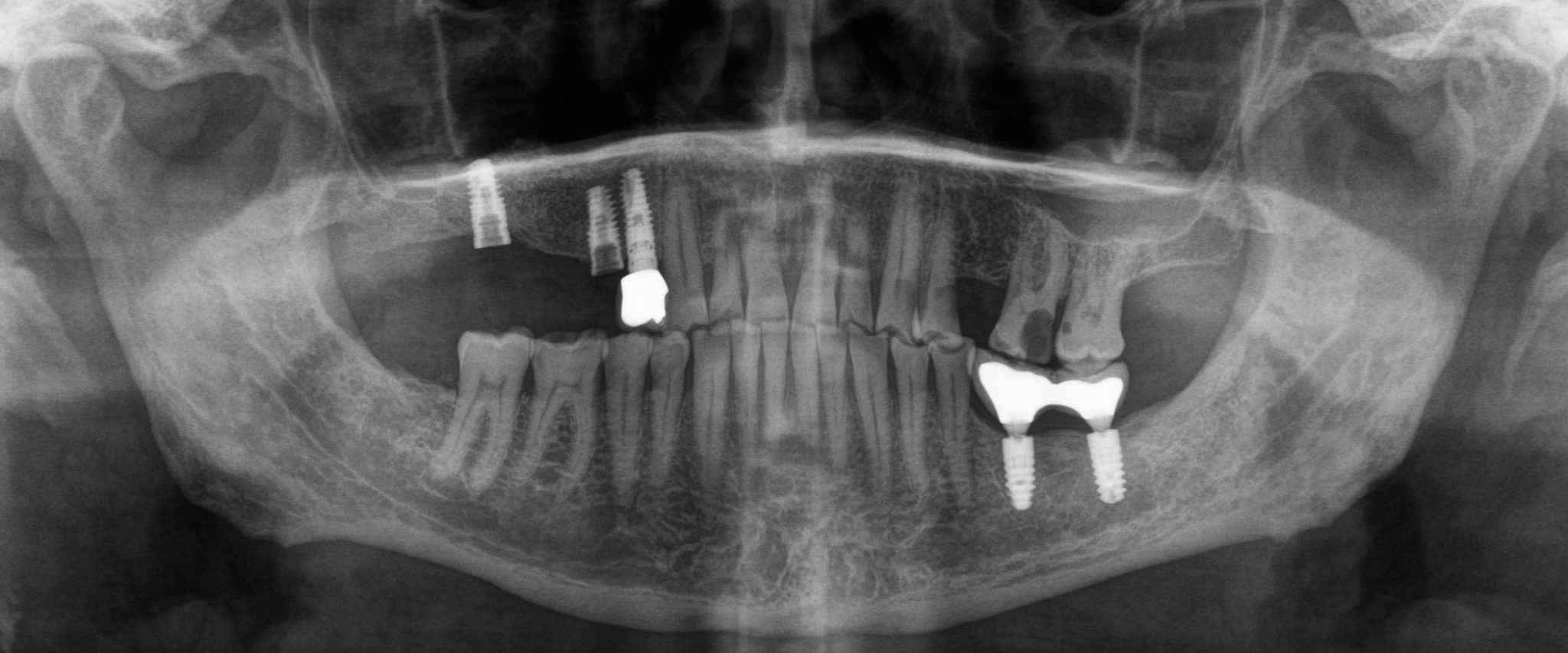
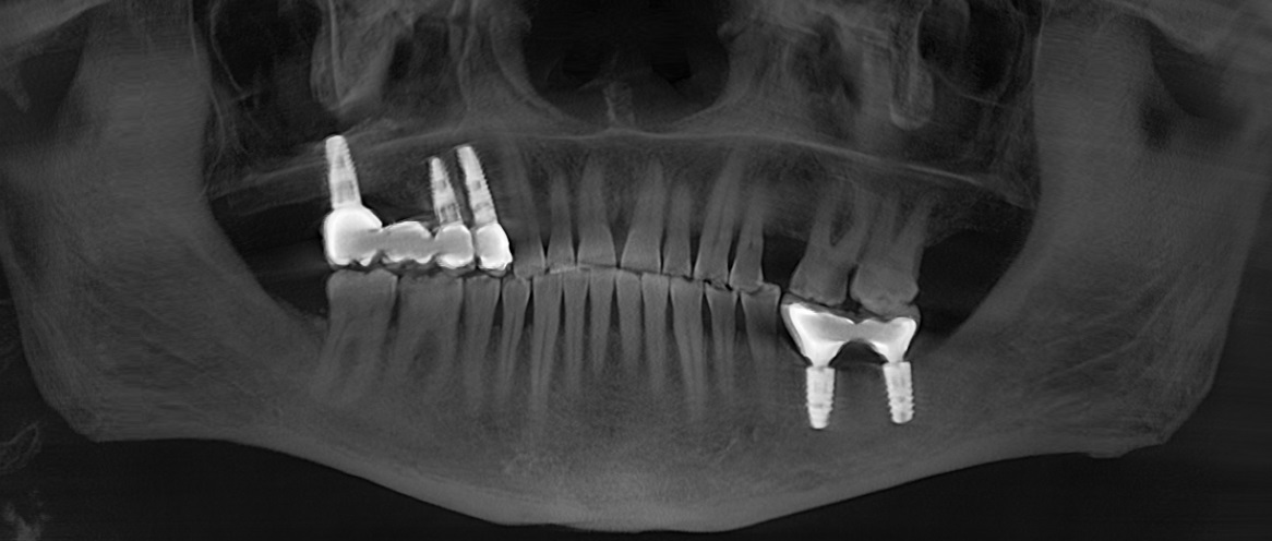
Первым контрольным рентгеновским снимком был этот:
На установленных ранее имплантатах в области 5 и 7 зубов на верхней челюсти справа (на снимке слева) стоял временный мостовидный протез. Пластик, из которого изготовляются временные конструкции не рентгеноконтрастен. Поэтому ничего кроме «белых полосок» в этой области вы не увидите. Средний срок службы подобных конструкций три месяца, но «по семейным обстоятельствам» пациент пользовался ими дольше обычного. Это привело к тому, что мостовидный протез треснул, аки старый трухлявый деревенский мост. В связи с этим, собственно, пациент и явился на прием. Напомню название статьи – «бруксизм». Сложно не заметить отсутствие зубов на противоположной стороне челюстей. Отсюда можно сделать логичный вывод, что основное (если не единственное) пережевывание пищи осуществлялось на стороне, где установлены имплантаты.
Обратите внимание, как сильно истерты зубы, а в области шеек этих зубов – клиновидные дефекты (некариозное поражение твердых тканей зубов, при которых зуб приобретает форму клина).
Основной причиной появления клиновидных дефектов является перегрузка из-за неправильного смыкания зубов.
На снимке ниже перелом временной коронки:
Пациенту были сняты слепки для изготовления нового мостовидного протеза. Но до этого были проведены воспитательные работы с применением мощного колдунства.
А именно:
– Объяснена необходимость протезирования отсутствующих зубов слева.
– Консультация невролога на тему бруксизма.
– Применение ботокса в области жевательных мышц с целью их расслабления.
– Изготовление ночных кап, функция которых заключается в предотвращении смыкания зубов, благодаря чему во время спазма они не трутся друг о друга.
– Тотальное протезирование всех зубов с целью восстановления высоты прикуса, что способствует устранению чрезмерного напряжения мышц.
И никак, блять, иначе!
Вроде понял. Начали с первых трех этапов:
Было проведено удаление 6 и 8 зуба на нижней челюсти слева (на снимке справа).
После чего пациент был направлен на ботулинотерапию с целью коррекции гипертонуса жевательных мышц. Пропав на три месяца, в июле 2018 он вернулся для установки новых временных коронок на верхней челюсти справа:
Судя по всему, моя магия не сработала, и пациент забил болт еще на 8 месяцев. На звонки не отвечал, на депеши тоже.
Вдруг звонок!
– «Алё, у аппарата»
– «Добрый день, Андрей, я готов продолжать»
– «Тю»
– «Выезжаю»
Пациент созрел на замену временных коронок постоянными на верхней челюсти справа и установку временных коронок на нижней челюсти слева:
Этот человек, как вы поняли, не поддавался объяснениям и «запугиванию», поэтому временные коронки были сделаны на металлическом основании. Они несколько прочнее.
Разницу в материалах можно видеть по белым полоскам в месте, где должна быть коронка. Если обычную временную коронку не видно, то при наличии металла на рентгеновском снимке его будет отчетливо видно.
Увы, продвинуться дальше третьего пункта не удалось. Капу пациент так и не сделал. На контроль и коррекцию инъекций ботокса не явился. Кремень, хуле.
Прошел год. Январь 2020. Начало. «28 дней спустя». По новостям то и дело крутят Ухань. Как китайцы ходят с «дымовыми пушками» как в лучших фильмах про зомбиапокалипсис и окуривают все вокруг. До нас бесноватые на тот момент еще не добрались. Это позже будут маски, куар коды, закрытые магазины, походы в сортир по расписанию. Ну все то, что сейчас воспринимается, как беззаботная, спокойная и яркая жизнь.
Отвлеклись. Год. Да. Прошел год с момента последнего посещения пациента нашей, не побоюсь этого слова, уютной клиники.
Час замены временных коронок на постоянные (на нижней челюсти слева):
После очередных разговоров, что при несоблюдении рекомендаций все со временем пойдет по бороде, пациент, махнув рукой, ушел в закат. Аж на 3.5 года.
Итак, август 2023. Тепло, еще поют птички. Недавно был корпоратив, посвященный «дню основания клиники». Хорошо. Или, как любят говорить наши администраторы «УниХуютно».
Пациент пришел на осмотр с острой болью и подвижностью мостовидного протеза на верхней челюсти справа. «Ага, блять!» Подумал я.
Ладно, шучу, я слишком добрый.
Я искренне надеялся, что это раскрутился винт, фиксирующий коронку к имплантату, но все оказалось куда прозаичнее. Так же, как и в предыдущей статье, причиной был перелом винта:
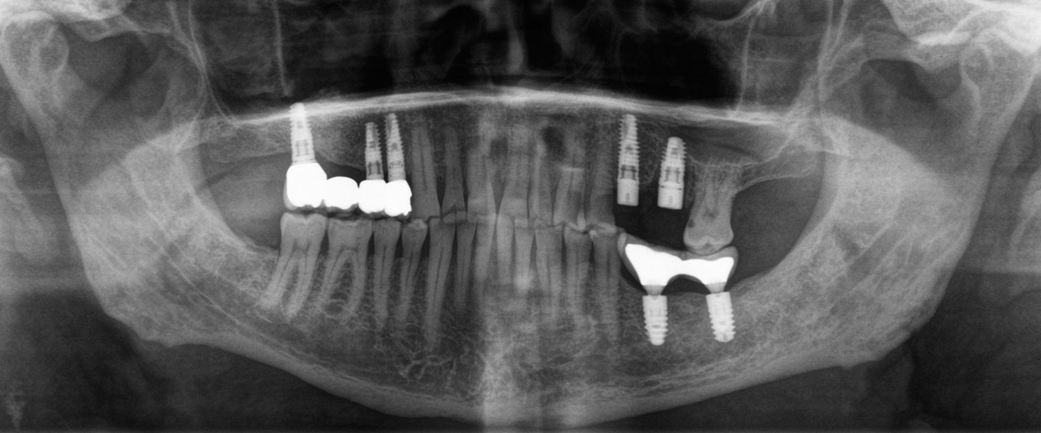
Рентгеновский снимок после извлечения винта и снятия мостовидно протеза:
Временным (!) решением данной проблемы была замена фиксирующего винта на новый и фиксация этого же мостовидного протеза на место:
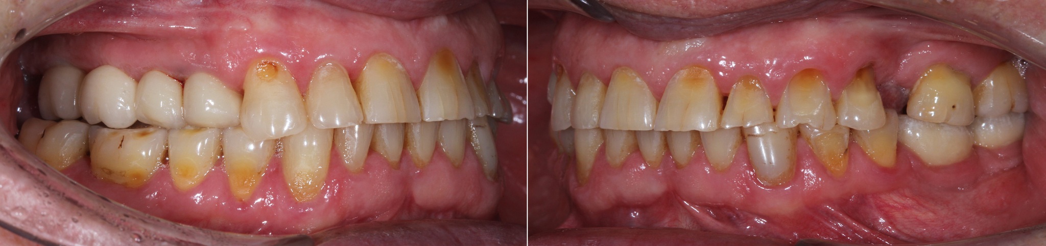
Зубы за 3.5 года жизнь потрепала. Режущие края истерлись, появилось больше клиновидных дефектов:
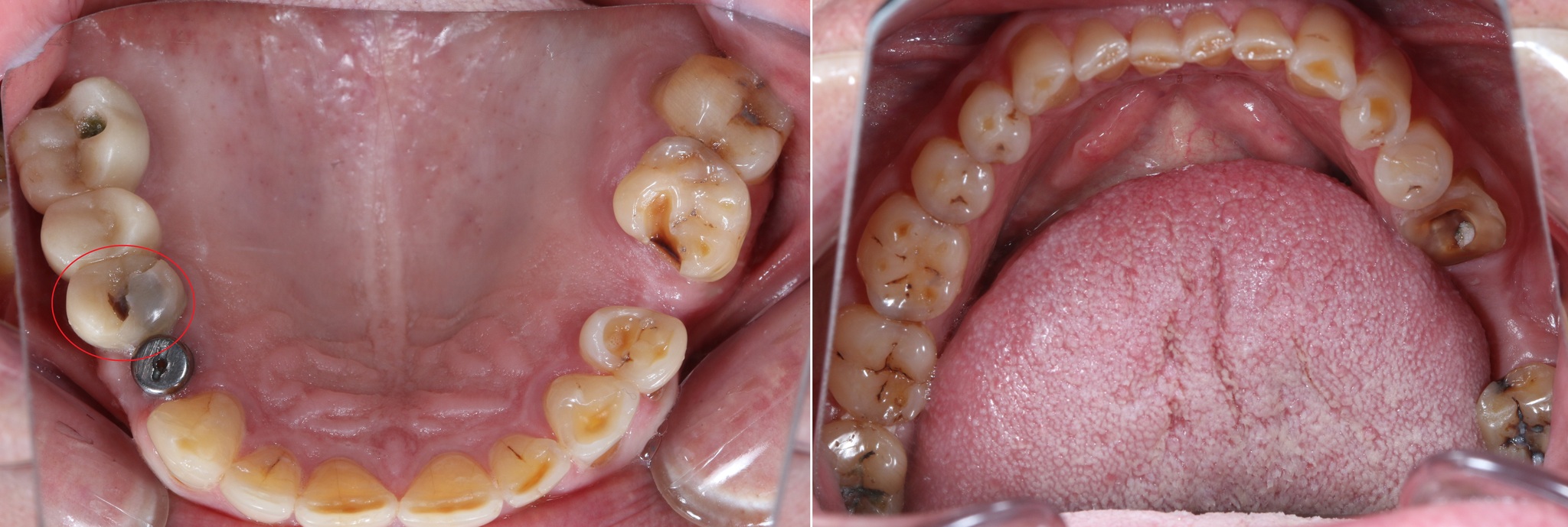
Особенно не выдержал натиска времени 6й верхний левый зуб:
Бедолагу изъело кариесом:
В том числе кариес появился и на контактной поверхности 7о зуба. Маленькая черная точка.
Было принято решение об удалении зуба и установке имплантатов в области 5 и 6 зубов:
Параллельно необходимо залечить 7-ку, пока нет коронок на имплнататах. Так подобраться к зубу проще.
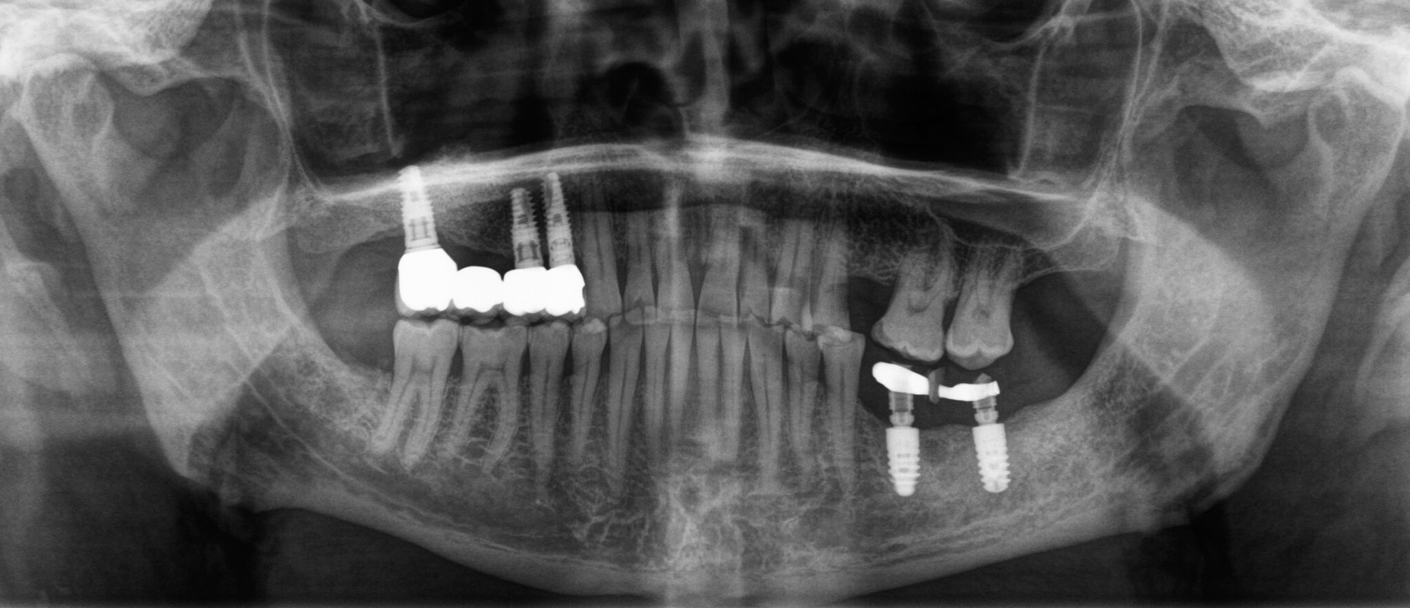
Январь 2024. Наши дни. Установка постоянных безметалловых коронок слева сверху:
Сканирование челюстей для изготовления ночной капы:
Моделирование капы:
Далее планируется самый «большой» этап – это тотальное протезирование всех зубов. Вероятнее всего, это случится еще через несколько лет. Поэтому, статью актуальнее разместить уже сейчас.
Теперь то вы поняли какими проблемами может обернуться такой, казалось бы, пустяк, как бруксизм?
Ну а вообще, буду держать вас в курсе, чем закончилась эта история длинною (пока еще) в 6 лет.
Пы. Сы. Ни одно животное не пострадало.
С уважением, Андрей Дашков
----------------------------------------------------------------------------------------------------------
----------------------------------------------------------------------------------------------------------
К слову, выключите запрет на тег "жесть"! В противном случае, многие мои статьи вы не увидите.
----------------------------------------------------------------------------------------------------------
----------------------------------------------------------------------------------------------------------
Что еще почитать?
Про имплантацию зубов и костные пластики:
Про зубы мудрости и их удаление:
Про профессиональную гигиену полости рта:
И, конечно:
- Голая правда (статья о формировании стоимости лечения в стоматологической клинике)























