Вся челюсть на 4-х имплантатах - сдача адаптационного условно-съёмного протеза
Вариант 1 - большие зубы, но без розовой десны.
Протез FP2
Вариант 2 - зубы нормального размера, но десна розовая в наличии.
Протез FP3
Что выбираете?
Если выбор есть. Не всем так везёт.
Чем меньше кости остаётся, тем стремительнее набирает обороты ракета, несущая пациента в розовый пластиковый мир.
Чем дольше ждать, тем большее количество пластмассы добавляется на протез. Но это и так ясно, как Божий день.
Естественно, всегда пациентам ПЕРЕД операцией, на этапе первой консультации задаётся вопрос:
Как Вы видите свои будущие зубы? Чего хотите получить?
И проверяем - бьются хотелки с реальностью или же нет.
Где-то в дебрях комментариев старых
За впечатлениями не нужно приезжать. Их тут нет. За лечением - будем рады помочь.
Если дать не можем то, что хочет пациент - расстаёмся с миром. Клиник много, выбор всегда есть.
А вот продолжение истории пациента, который доверился и всё складывается удачно:
Примерка временного протеза "всё на 4-х"
Постановка на воске.
Этот этап, пока что, нужен.
Временный протез "всё на 4-х", постановка на воске
А теперь посмотрим на картину с антагонистами.
Важно - мы не переделывали прикус! А повторили тот, что у пациента уже был, только высоту вернули.
Проверяем попадание в прикус.
Стремимся к новым горизонтам, к максимальной точности сразу же, к уменьшению количества визитов, к сдаче удобного протеза день в день - будет и такое. Это, несомненно, отразится на стоимости работ. Не в сторону удешевления.
Уже введена в эксплуатацию новая аппаратура, позволяющая находить истинный прикус человека, нам остаётся лишь зафиксировать это положение:
Розовый пластик - он не только спереди, он ещё и за зубами.
Временный протез "всё на 4-х", постановка на воске
На фото выше - воск. Протез временный будет поизящнее. Постоянный, когда до него дойдёт, ещё более гладкий и аккуратный получится.
Помещаем протез в полость рта, "прикручиваем" к имплантатам. Очень хорошо попали с первого же раза в комфортное положение.
Фотографируем пациента.
Протез снимается и отправляется обратно в лабораторию - техник учтёт малейшие замечания и в субботу получим протез временный в окончательном варианте.
Временный протез "всё на 4-х", постановка на воске
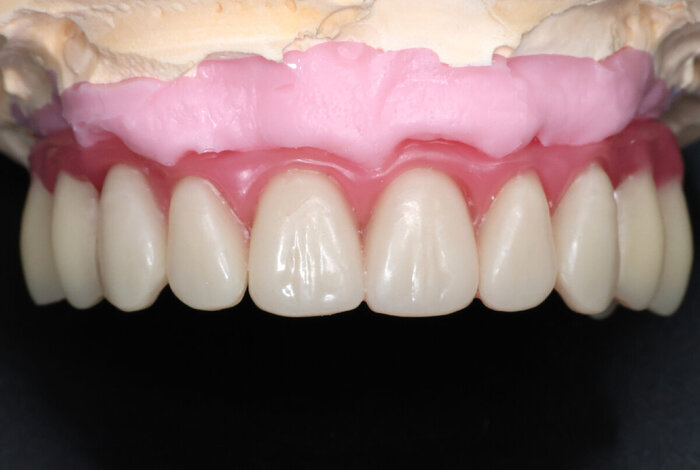
Пациент сам выбрал:
цвет зубов А4;
протез с розовой десной.
Плохо, что ли? Хорошо.
Такая работа стоит +/- 300 000 рублей сейчас (протез временный условно-съёмный). Имплантаты Neodent.
"всё на 4-х", верхняя челюсть, временный протез адаптационный
Операция в понедельник - зубы в субботу, удобные, комфортные, в правильном прикусе. И цвет натуральный.
Кому жёлтый - приходите, сделаем вам Блич самый белый, какой только пожелаете. Это, честно, вообще не проблема.
До/после.
"всё на 4-х" верхняя челюсть



















































