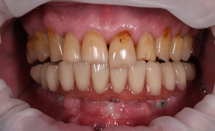
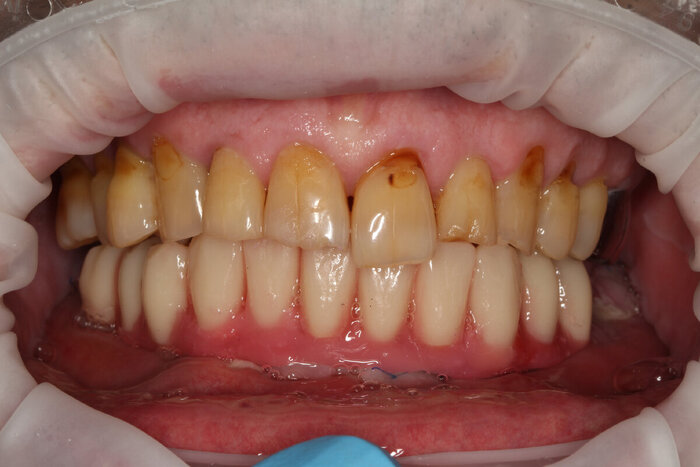
"Всё на 6", низ - Андрей Михайлович, Москва
3 поста
3 поста
4 поста
4 поста
3 поста
2 поста
2 поста
2 поста
5 постов
Поговаривают, что "чистить камни зубные" нужно далеко не всем. Что это даже вредно. Ведь именно камни защищают корни от бактерий, на них держатся зубы, без них эмаль ничем не защищена.
Ну ладно - эти, что выше, совсем инфузории. Остальные противники гигиены не такие.
Они имеют железные аргументы.
Хочу пройтись по основным тезисам и выяснить, что является правдой, а что - точно ложь. Потому что, конечно же, не всё так однозначно.
"Камень" - скопление большого числа разнообразных (в зависимости от локализации - злых или добрых) бактерий. Они живут и делают всё то, что положено живым - едят, какают и пукают, размножаются, умирают. Во рту человека.
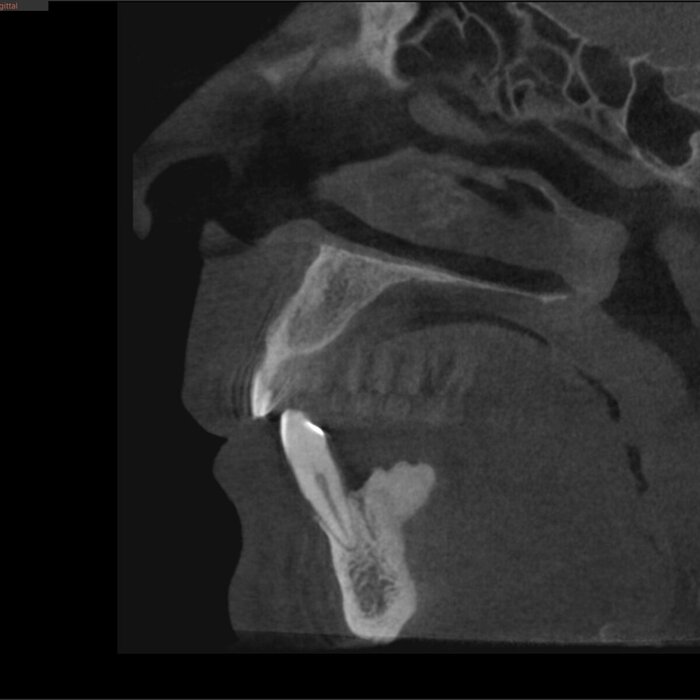
Есть такое. Видела лично и не раз. Кости нет совсем, зубы на снимке КТ "висят в воздухе" или цепляются за жизнь верхушками корней.
Такими зубами не получится жевать, это диагноз "пародонтит тяжёлой степени тяжести", подвижность 3-4 класса (шевеление от акта дыхания). Действительно, уберёшь шинирующую конструкцию из "камня" - зубы посыпятся. Ведь зубные отложения "срастаются" (в кавычки беру это слово) как с корнями, так и с десной.
Пациенты с подобным сокровищем расставаться не желают ни в какую, даже зондом трогать не дают при осмотре. Зубы выполняют декоративную и успокоительную функции. Понять человека можно - "уйдёт" то, что имеется сейчас, заменить будет нечем. Потому что состояние в 95% случаев (навскидку, опираясь на клинический опыт) носит генерализованный характер, затрагивает все (или почти все) зубы.
Дальше - съёмный протез (если кость осталась для фиксации) или тотальная имплантологическая работа. Первое - не факт, что будет держаться (пародонтит уничтожает кость). Второе - очень дорого и может не повезти с хирургом (ортопедом).
Поэтому тут, пожалуй, спешить некуда - хуже уже не будет, кости и так нет. Посыпется всё - решение принимать придётся, вынужденно, экстренно, как обычно в самый неподходящий момент.
Как говорил один мой коллега в прошлом: - "Зубы я могу и дома почистить". Тем, у кого с зубами и дёснами полный порядок, можно не заморачиваться с профгигиеной. Только вот ощущение порядка и истинное положение дел не всегда совпадают.
Вроде ничего так:
В процессе гигиены - окраска зубных отложений
И вот такие сюрпризы под десной:
Пациенту 22 года, а тут такое - в перспективе развитие серьёзных проблем обеспечено
Не зря пародонтит называют "тихий убийца зубов". Он коварен и незаметен. Многие понимают, что что-то не так, лишь на стадии серьёзного костного дефицита.
Поэтому, только убедившись в том, что у вас нет диагноза "пародонтит" можно позволять себе игнорировать профгигиену (но тогда бойтесь кариеса).
Бывает же, что проблемы есть и человек нацелен на их решение - он отправляется к стоматологу сдаваться. Тот что-то там шуршит, где-то жужжит, водой поливает и отправляет на кассу счастливого пациента. Не больно было, ура! И без крови - вау! И быстро. И дёшево (не всегда).
"Приду ещё" - уверен человек.
Только кровоточивость дёсен как была, так и осталась. Шероховатость никуда не делась. Камни нарастают с новой силой.
Потому что процедура была выполнена некачественно. Вот и всё. Качественная гигиена с полной проработкой поддесневого пространства ВСЕГДА эффективна. Всегда после становится лучше - на длительный срок (но тут есть нюансы, иногда требуется подключить более серьёзную пародонтологическую артиллерию).
И вот такой пациент будет считать, что гигиена = деньги на ветер. Но проблема не в процедуре, а в мастере, её проводившем.
"Заставь дурака Богу молиться, он и лоб расшибёт".
Если очень захотеть, можно раздраконить всё - эмаль, дентин, дёсны и даже гланды вырезать. Ультразвуком.
Насадка острая и тонкая, травмоопасная. Но нужно быть совсем профаном в деле гигиены, что бы нанести вред зубам. Ставить рабочий инструмент под неправильными углами, острой частью буравить зубы, выбирать неоправданную мощность - получИте проблемы, распишитесь.
Такую процедуру пациент запомнит надолго - будет в ушах отдавать мерзкое ощущение "дзззз" и боль, жуткая боль будет сопровождать экзекуцию.
Если у вас нет повышенной чувствительности эмали, то процедура не вынудит лезть на стену. Терпимо - точно терпимо. И без укола выдерживают даже пациенты с глубокими патологическими зубоденевыми карманами. И ультразвук, и кюреты, и Аирфлоу - всё переносится.
При правильной (обычной, любой) профессиональной гигиене полости рта повредить эмаль не представляется возможным, она даже не истончается. И корни в безопасности. Страшилки - это всё редкий печальный опыт тех, кому не повезло с исполнителем.
Чувствительность сразу после процедуры тем сильнее, чем массивнее камни обитали на корнях. И корни должны быть не в кости, не в десне - это всё признаки довольно серьёзного патологического процесса. Дентинные канальцы закроются и чувствительность уйдет. И только от вас зависит, чем они закроются - новыми камнями или правильными элементами (гидроксиаппатит и пр.).
Что бы такого не случилось не стоит лезть под десну тогда, когда эта самая десна воспалена - опухла, кровит, болит. Это же убережёт и от усиления воспаления, от появления стоматита (но не всегда).
Сначала медикаментозно успокаиваем дёсны, после - очищаем зубы вместе с корнями.
Зубы в альвеолярной кости удерживает ПЕРИОДОНТАЛЬНАЯ СВЯЗКА, состоящая из коллагеновых и эластановых волокон. Когда ткани пародонта воспалены, связка рыхлая - зубы подвижны.
После устранения воспаления подвижность или прекратится, или уменьшится.
Один момент - зубы могут застыть в новом, непривычном положении. Верно это для случаев серьёзного поражения с большими костными дефицитами. Это не врач чёрт. Это пародонтит "тяжеловатый". При такой печальной печали не всегда усилия оправданы. См пункт №1.
Правильная профессиональная гигиена полости рта, выполненная ВОВРЕМЯ - никому ещё не навредила. Никогда. Состояние дёсен после процедуры всегда лучше, чем было до.
И всё, как всегда, зависит от исполнителя. Всем желаю найти своего мастера - качественные спецы точно должны быть в каждом городе.
Если имеются вопросы, прошу задавать мне их в тг канале.
Большое спасибо за внимание!
Если думаете, что без зубов остаются только видавшие виды старики да наркоманы, то у меня для вас плохие новости.
Хотя...кому и в 30 старость мерещится. Речь не о таких.
И всё, тут пошли ярлыки. Если до 45-50 остался с гнилушками - маргинал или по тюрьмам мотался с юных лет.
Некоторые вообще считают, что после 50 надо завернуться в саван и ползти в сторону крематория (или кто там куда собрался). Тут я без комментариев.
Редкий наркоман (думается мне, маргиналов тоже касается) способен накопить внушительную сумму на то, что бы "починить рот". Как вы думаете?
Дело в том, что у человека были ДРУГИЕ ЗАБОТЫ. Другие приоритеты. Это не преступление, не челюстями едиными запариваться в этой жизни. И чистить зубы никто ведь не обязан, дело добровольное. Упустили здоровье - можно поправить. Платно. Дорого.
Не принимаю позицию тех, кто из-за своих других приоритетов и нежелания заниматься гигиеной, лечением потерял зубы и сетует, что стоматологи слетели с катушек. А нечего было разбрасываться природным даром. Не стоматологи должны с кнутом и щёткой контролировать взрослую особь.
А жалею тех, кому именно дантисты помогли с избавлением от челюстей. И такое бывает, цветёт буйным цветом. Но это была не я (отвечаю), на меня ругаться бесполезно.
История нашего знакомства с пациентом началась в декабре 2023 года. Точнее, первой на контакт в моём тг канале вышла его супруга.
Отправила снимок КЛКТ, дождалась ответа и плана лечения, в январе проводила мужа в СПб из своего города (северного) сразу же на операционный "стол".
Синус лифтинг:
Всё хорошо, но есть ещё правая сторона, которая посложнее.
Так же удаляли зубы, выполняли пластику десны.
Пока верх не закончен, можно переходить к низу. Тут всё проще (как это часто и бывает). Выбор сделан в пользу тотальной работы на 6 имплантатах (сверху, по итогу, будет то же самое).
Для операции нам требовался снимок КЛКТ и цифровой слепок челюстей. Всё это пациент сделал в своём городе.
Мы распечатали шаблоны, которые помогал проектировать зубной техник Михаил:
Напомню, что шаблон не один, их много - базис, для сверления и досверливания (2 штуки), постановка и ложка. К базису крепятся составные части магнитами. Хотя, когда случаются особые случаи, всё крепится по-старинке, острыми и длинными "копьями" - пинами.
В ТГ уже выложила ход операции.
Делаем фото до:
С лицом и со всех сторон лица, но показывать не буду
И во рту:
Удалили остатки зубов, установили базис шаблонов и пошло-поехало.
Часа через 2.5-3 имплантаты были установлены.
Кстати, вдруг вы не знали, но с шаблонами время операции УВЕЛИЧИВАЕТСЯ. То есть, без применения хирургических шаблонов операция проходит БЫСТРЕЕ.
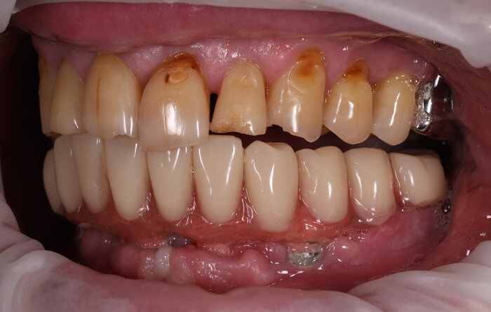
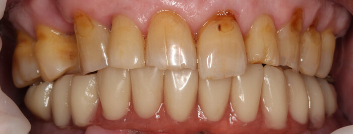
Результат такой - торки получены эталонные везде, кроме двух крайних имплантатов слева (3.4 и 3.6). Но не страшно, сверху зубов-антогонистов нет, нагрузки на протез не будет серьёзной. Да и "всё на 6" прощает подобное.






Протез будет с розовой десной и-за дефицита тканей (FP3).
Среда (7 августа 2024), в субботу примерка протеза, в понедельник сдача работы.
Всё у всех хорошо. Берегите зубы.
Работа имплантолога клиники. Не я занимаюсь имплантацией.
Сама операционная жесть - https://t.me/parodoc/1285
- У вас ирригатор есть? - спрашиваю пациента.
- А это что такое? - удивляется он.
Для 2016 года и филиала государственной поликлиники нормальная ситуация. Но воз и ныне там - в 2024 не все знают, что это за зверь такой.
А, между прочим, пародонтологическому (и многому другому) пациенту без этого чуда техники счастья не видать. Успеха не будет.
Очень упрощая - прибор, который создаёт мощную струю воды и ею "промывает зубы и межзубные промежутки".
Всем, кроме генетических счастливчиков - тех, у кого ни пломб, ни кариеса, ни проблем с дёснами. Таким и без щётки житие возможно.
Самые опасные места - межзубные пространства. Именно там развивается кариес, именно там зарождаются пародонтологические проблемы (и карманы). Щёткой пробраться почти не реально. Зубная нить - далеко не каждый пользуется, а если и пользуется, то не факт, что качественно.
От ёршиков вообще "вой на болотах" случается.
И, знаете что? Пусть вы из ответственных и всё делаете верно, чётко, да просто регулярно. Прошлись нитью - надо бы смыть результаты труда. Ёршиком? То же самое. Прополоскать полость рта водой и успокоиться - не эффективно.
И тут ирригатор в помощь. Вот уж кто справится на ура.
Использовать можно всем, но есть временные ограничения:
воспалённые дёсны - сначала нужно купировать воспалительный процесс;
2 недели после хирургических вмешательств в полости рта;
при приживлении имплантатов (+/- 4 месяца) - в моей клинике принято именно так, но вы слушайте своих докторов;
герпес - я бы не рисковала;
стоматит - после консультации с доктором.
Ну и когда проблемы имеются посерьёзнее, чем чистка зубов. Лень к таким не относится.
Каждый день! Можно один раз вечером перед сном.
Не понимаю тех, кто советует пользоваться 3 раза в неделю. Потому что что? Зубы повылетают или пломбы? Ерунда. Если есть такая вероятность, то это не с жужжащим приборчиком что-то не так. Понимаете?
Дёсны сползут? Нормальным это не грозит, а воспалённые и кровавые ирригатором пытать не следует. Помним - сначала ликвидация воспаления, потом водная струя.
Хотя, пародонтологические пациенты любят себя обманывать - песня про "хорошие дёсны" до чистки, а после неё появившиеся чёрные треугольники не нова. Классика. Вот только видимость здоровья была создана за счёт распухших от воспаления сосочков да камней. А кость давно покинула этот мир.
Десна всегда должна лежать на кости! Кость в деструкции - вот и правильная десна будет на том же уровне.
зубная щётка и паста;
межзубные ёршики и/или зубная нить;
ирригатор.
Заливать в прибор можно обычную воду (часто и этого достаточно вполне), так же продаются специальные растворы и концентраты. Не предназначенные специально для ирригатора растворы применять не рекомендую.
Особенно отвары всяческие. Засорится и всё, придётся покупать новый.
Если в ванной комнате имеется розетка (или можно её там организовать) - идеальный вариант. Хотя сейчас выпускают приборы на аккумуляторах, что вообще пушка.
Плюсы стационарного прибора:
большой резервуар для воды - самый главный (для меня) бонус, потому что портативный за один сеанс очищения зубов приходится заправлять несколько раз. Что меня раздражает;
большое количество насадок - выберете всё равно одну) Зато можно поделиться другими с членами семьи остальными, использовать один ирригатор, но насадка будет у каждого своя;
удобная, маленькая рабочая часть - ручка со шлангом. Не надо орудовать всем весом прибора + воды в нём.
большое количество режимов и широкий спектр мощности - на любой вкус и чувствительность.
Но минусы тоже имеются, правда, все они связаны с его размещением и перемещением:
занимает место - особо не спрячешь;
требуется розетка в ванной - может быть опасно;
не возьмёшь с собой в путешествие.
Плюсы:
удобно прятать и не занимает много места в ванной (вообще не занимает);
удобно брать с собой;
розетка не нужна, а заряда аккумулятора хватает на долго;
Минусы:
рабочая часть - весь ирригатор. Не всем удобно держать в руке вес прибора, да ещё и вес воды, при этом очищая зубы;
резервуар для воды мелкий. Не хватает никогда на качественное очищение одной заправки (а мне и 4-х). Даже приборы с увеличенным резервуаром не справляются, а вес приобретают значительный, что идёт в минус к удобству использования;
меньшее разнообразие режимов и меньшая мощность - относительные минусы, потому что вполне достаточно того, что в них есть.
Прикручивается к крану - готово.
Плюсы:
дёшево;
удобно.
Минусы:
напор зависит от давления воды в системе дома;
нет режимов;
не получится использовать растворы.
Без ирригатора жизнь большинства людей в современном мире сложно себе представить. Никаких минусов у данного прибора я не вижу, а плюсы идут сплошной чередой.
Многие жалуются, что пользоваться неудобно - так тут вопрос привычки и сноровки. Это дело наживное, была бы практика. В интернете полно видео о том, как правильно использовать ирригатор. Не ленитесь, изучите.
Купить и засунуть в шкаф - ну такое себе. Доставайте быстренько, расчехляйте и давайте договоримся - будем использовать.
А вопросы мне можно задавать в тг канале https://t.me/parodoc
"Если брать билет впопыхах, то надо выложить целое состояние!" - переживает Андрей Михайлович, который уже с нами связан "кровно" - 6 имплантатов установлены на этой неделе.
Человек очень хочет домой, хотя и остановился в гостинице у Казанского собора. Рассказывает, как украшают город к Новому году, как гуляет по Петербургу. Делать после операции особо не чего, вот и коротает дни, как может. А мне слушать интересно - сама из клиники почти не выбираюсь) Как крот подземельный, хорошо хоть этаж не цокольный и окна имеются - можно наблюдать за летящим снегом. Красиво.
Андрей Михайлович коренной Москвич, в Санкт-Петербурге бывать приходилось, но 21 год назад. Говорит, метро у нас глубокое и пролёты между станциями ого-го. В общем, особо ничего и не поменялось) В Москве совсем другой ритм жизни и даже он уже начинает путаться в нововведениях - постоянно что-то новое появляется, районы растут как грибы. Приглашал приехать и прогуляться по Зябликово) Очень мне понравилось название, надо бы посетить))
Но вернёмся к нашим "баранам". Отвлеклась я что-то.
Осталось сдать финальную работу. Вот с этого момента у многих и начинаются проблемы - перекосы, сколы, ощущение чужеродной лопаты во рту.
При установке имплантатов "на глаз" до мм рассчитать углы наклона "болтов" крайне затруднительно, перекосы будут. Протез нужно адаптировать к положению имплантатов. Расчёты, проведённые ДО имплантации, дают преимущество - имплантаты в чётких позициях и под чёткими углами в кости. Не протез адаптируется к постановке имплантатов, а имплантаты к протезу - по шаблонам.
Могут быть с такой работой проблемы? Да, могут. Но это умудриться надо.
В понедельник операция, в понедельник сдача. Один нюанс - между ними неделя.
Бывает, справляемся быстрее. Бывает - дольше. Неделя является усреднённым вариантом. "Зубы за день" никому не обещали и не сдавали. Есть куда стремиться.
Событие стандартное, намечено на среду.
Я уже писала о распечатанном прототипе, точно повторяющем верхнюю челюсть пациента - вот, теперь показываю его вам.
Доктор сразу видит то, что идеально протез на примерке не сядет. Но на то она и примерка - что бы выявить все нюансы и скорректировать моменты.
Посмотрим на восковой протез нижней челюсти поближе.
Примеряем в полости рта. Посмотрим, даст мне робот за зубы человека на пряники или пощадит.
Теперь наносим фиолетовую коррекцию, что бы техники оценили весь масштаб поправок.
Андрей Михайлович дарит нам крутой пряник!)
Рановато, конечно) Протез же ещё не сдан.
Встретимся в субботу. Обратный билет пациент берёт на понедельник - успевает "зацепить" по адекватной стоимости.
Очень важный момент, о котором почти никто из пациентов не знает - после операции на десну протезом сильно давить нельзя. Никакой боли быть не должно, никакой белой слизистой, которая розовой не становится через 3 минуты.
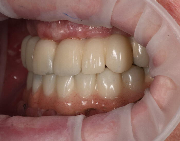
Временный адаптационный протез с опорой на 6 имплантов.
Лучше временный протез "подпилить", чем получить усадку за счёт давления на десну. Потому что по физике - это давление будет предано на имплантаты, оно будет пытаться вытянуть их наверх из кости. Прогноз для приживаемости хуже.
Получается, что и усадка тканей будет, и протез временный щадящий - такое на постоянной основе не годится.
Случается она на 4-6 месяце после имплантации. Протез снимают и отправляют в лабораторию. Занимает это меньше дня - утром отправили, вечером прикрутили обратно. Стоит 16 000 рублей (у нас, пока, так). Получаем новую посадку - чётко по новой форме десны. Ни щелей, ни зазоров.
Всем ли нужно? Нет. Всё всегда по ситуации.
Бывает, что прикус нужно скорректировать или даже изменить его. Тогда в помощь нейромышечная стоматология - на основании исследований жевательных мышц, пропорций лица и прочих важных показателей изготавливаются дополнительные протезы/протез. Пациент какое-то время использует их, потом только переходят к протезированию постоянному.
Андрея Михайловича я показывала как в статьях, так и видео снимала - аж 2 раза. До имплантации и после сдачи протеза. Ещё в ТГ - ник, кстати, тот же у меня там.
За неделю, от понедельника до понедельника, провели операцию по имплантации и сдали адаптационный протез. Всё удачно, всё успешно!
Но вот техники ОЧЕНЬ любят накидать побольше розовой пластмассы - не жадные ребята. Но столько не требуется, приходится убирать. Слова, почему-то, на работников лаборатории действуют не совсем так, как хотелось бы нам. Но это мелочи жизни.
Временный адаптационный протез с опорой на 6 имплантов
Посмотрим, что во рту:
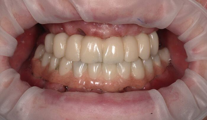
Временный адаптационный протез с опорой на 6 имплантов. Нижняя челюсть.
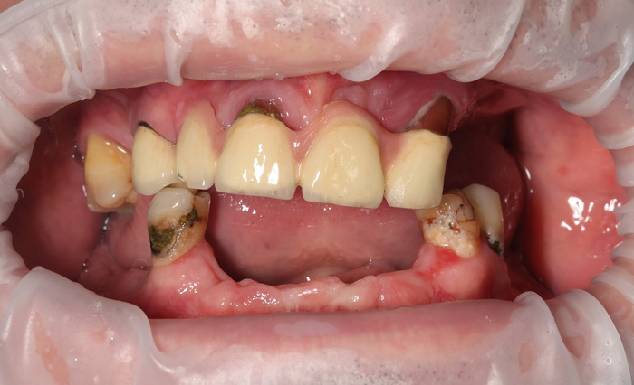
До.
До имплантации.
А вот что стало после.
Временный адаптационный протез с опорой на 6 имплантов. Нижняя челюсть.
Верх пока не трогаем. Там останутся свои фронтальные зубы, нужно пройти через этап синус-лифтинга и прочее разное. Пока дадим пациенту восстановиться и отдохнуть.
На вопросы отвечаю тут - https://t.me/parodoc
Новый, 2024 год Андрею Михайловичу запомнится. Подарок сам себе сделал весьма занятный - за праздничным столом он будет красавчиком!) Правда, отведать яств полноценно не удастся.
Почему? Потому что детская мечта быть роботом понемногу сбывается - на нижней челюсти вместо своих 4-х зубов теперь 6 титановых болтов - имплантатов. И протез.
С возрастом на всё смотришь иначе и начинаешь ценить комфорт. Как без зубов обойтись? Можно, конечно, но грустно. Хотя Андрей Михайлович очень весёлый и жизнерадостный. Даже не представляю, что же будет с зубами! Затмит всех, в этом не сомневаюсь.
Встретились в клинике мы в середине октября, да не с праздным любопытством - человек приехал из Москвы на консультацию, почитал блог и решил, что мы точно должны познакомиться. Конечно, я же такие классные работы выкладываю - делюсь с подписчиками всем, разбираю каждый случай с лупой.
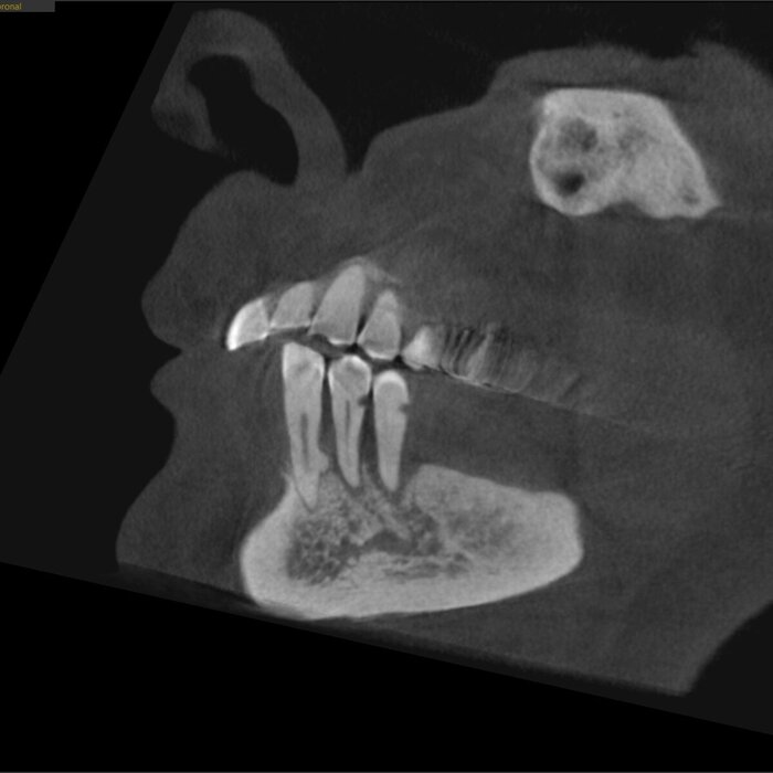
КЛКТ
Скан добавлять не буду (ищите в ТГ, ник тот же), что бы мои планируемые человекороботы не злили робота местного. Он, поверьте, товарищ резкий и дерзкий.
Да и смысл добавлять скан - всё видно и понятно. На нижней челюсти 4 зуба, которые никуда не годятся.
Справа - одинокий воин.
Слева - компания друзей навынос.
На консультации было предварительно решено - быть 5-ти имплантатам. "Всё на 5-ти". Пациенту всё показано на экране монитора компьютера, всё рассказано. Пришла пора возвращаться в Москву и думать.
Честно сказать? Своему имплантологу, Егору Романовичу, доверила бы челюсти без раздумий, будь у меня с ними проблема. Мозг невероятный, ум и стремление всё сделать идеально сочетаются с мануальным мастерством. Это подтвердят те пациенты, кому повезло оперироваться у него. А я являюсь наблюдателем всей внутренней кухни процессов и с уверенностью могу сообщить - мне повезло дружить и работать с этим невероятным и, пока ещё недооценённым широким кругом людей, специалистом. Но всё впереди.
Вот и Андрей Михайлович подумал и понял - зубам быть. Позвонил нам и решение своё обозначил.
Подготовка к имплантации потребовала дополнительного визита в клинику. Одним днём пациент приехал на рентген с маячками. Мы разработали и распечатали на 3Д принтере протез зубов с пазами, которые заполнили рентгеноконтрастным материалом - пломбировочным композитом.
Белые точки на нижней челюсти - маячки.
Для чего это нужно? Доктору необходимо провести имплантацию в цифре - подобрать оптимальное расположение зубов (протеза), к этому положению подобрать оптимальные имплантаты - по диаметру, по длине, по расположению в кости. Для этого Егор Романович "склеивает" в специальной программе данные рентгена (КЛКТ) и цифровой слепок (3Д скан). Так как зубов нет почти, то нет и ориентиров - программа не может соединить корректно одно с другим. Мы не видим границу зубов предполагаемых. Вот и создаём ориентиры самостоятельно.
Отправляем пациента домой, предварительно записав на операцию - 27 ноября.
Изначально планировалось провести работу на имплантатах Неодент. Но позже, пораздумав, имплантолог решил внести коррективы - имплантатов стало не 5, а 6. Неодент заменили на Осстем. Пациенту всё рассказали, всё одобрил. Так удалось сделать идеальную постановку для этого конкретного случая лечения.
К моделировке шаблонов привлекаем обученного (единичного) техника - Егор Романович добился от него хорошей работы в команде, теперь сам доктор разгружен на 30%. И, поверьте, оно того стоит.
Печать шаблонов на мне - загружаю 3Д принтер, вклеиваю втулки, магниты.
Делаю фото пациента до.
На компьютере доктора открыт прототип операции - имплантаты, пины, нервы. Всё продумано заранее, естественно.
Перед операцией делают внутриротовые фото, фиксируют все этапы после - но тут такой контент под запретом. Всё всегда добавляю в ТГ канал (ник тот же, что и тут).
Сама операция стандартна - я уже 100 раз описывала течение подобных манипуляций. Ищите в блоге, кому интересно.
Имплантаты установлены и пациент отправляется на КЛКТ. Каждый раз очень радуется имплантолог, что аппарат находится в клинике. Я тоже рада)
Позиция 4.6
Имплантолог видит, сколько мм можно докрутить безопасно для структур челюсти (нервов, сосудов). Делает дело.
Дальше продолжение - мягкотканная пластика, добавление костного материала, шитьё, слепок для техника. Не очень быстро.
Цвет зубов протеза планируемого пациент просит подобрать под цвет зубов протеза прошлого, но можно и чуть светлее. Хорошо! Будет сделано.
Измеряем давление, хирург даёт рекомендации. Строгие. Пациент отправляется в апартаменты неподалёку. Следующий визит в среду.
А мы, в свою очередь, за ночь составляем и печатаем новый протез-постановку - верхняя челюсть пациента в натуральную величину. Это нужно техникам. Очень жаль, что я не додумалась сфотографировать изделие... Но остались 3Д модели на компьютере.
Вот так прошла ещё одна тотальная работа на имплантатах. Впереди примерка и финишная сдача.
Будут вопросы - задавайте тут - https://t.me/parodoc. А я побежала дальше.
Имплантаты вывалятся, они на 4-10-15 лет. Кто больше? Делайте ставки, господа. И живите. Времени у нас с вами должно быть много впереди, что бы узнать, кто победил.
Жить без зубов, с гнилыми корешками или с пародонтитными торчашками, гнойным отделяемым из карманов и непередаваемым ароматом "неванили" - выбор каждого, самостоятельный выбор. Зависит от желания и от финансов.
Кто-то будет ждать, пока японская мышь поделится зубами. Оптимизм - хорошее качество)
А про тех безумцев, что решились на титановые "болты", я буду писать статьи. Блог ведётся в реальном времени, пришёл пациент, прооперировали - статья. Следующий этап - статья. Никаких заготовок. Всё честно.
Ничего ни от кого не скрываю. Потеряли с апреля 2023 года по май 2024 один имплантат - написала статью в Дзен и тг канал:
"Ищем виноватого, находим доктора - что думают читатели об отторжении нашего имплантата в раннем послеоперационном периоде
Parodoctor27 февраля"
Больше ни одной потери не было. Может, везение. Может, удача. Возможно, имплантолог толковый. Склоняюсь к тому, что всё вместе взятое сыграло роль, но врач тут ключевое звено. Остальное - фантазии на тему. И выбор плохих спецов. Они, к сожалению, разные бывают.
При качественной постановке и работе, при тщательном планировании что имеем - 1 имплантат за год ушёл. Пародонтит, гингивит, панкреатит и радикулит - не важно.
Я считаю, что мой имплантолог спец крутой. Но не магический. Это не магия, такой результат. Это показатель реальной приживаемости тогда, когда сделано всё верно. И да, это и будут те пресловутые 99.9, о которых кто-то беспокоится.
Как вам быть? Искать нормального доктора.
Отторжения бывают и это нормально. Но они очень редки, надо это уяснить для себя. Имплантат ставится не на 15 лет, а на всю жизнь (мы именно на это рассчитываем) - это тоже надо уяснить. И не писать глупости с такой уверенностью, от которой мне становится не по себе. Я с вами спорить не хочу и, пожалуй, не буду.
Жизнь ваша, сами выбирайте свой путь. Я никому ничего доказывать желания не имею.
Продолжаю вести дневник наших работ. Опять всё хорошо.
Устанавливали 6 имплантатов Андрею Михайловичу за месяц до Нового года:
Зубастый человек, которому нельзя отведать праздничного гуся. «Всё на 6-ти».
Parodoctor28 ноября 2023
Андрей Михайлович, если кто забыл)
Прошло 6 месяцев.
Сделали КЛКТ:
КЛКТ
Что бы точно никаких вопросов не осталось у доктора, сделали ОПТГ:
ОПТГ
Всё ок, всё прижилось.
В следующий раз сканирование для перебазировки.
Перебазировка - замена розовой искусственной десны протеза на новую. Нужно это по той причине, что за 6 месяцев костные и десневые структуры претерпели изменения, дали усадку. Это нормально, для этого и устанавливался временный адаптационный условно-съёмный протез.
Условно-съёмный протез на нижней челюсти
Таким образом удастся нивелировать пространства между протезом и десной.
Протез снимается и к мультиюнитам прикручиваются сканмаркеры:
Сканмаркер
Они служат ориентирами для сканера и для техника, который будет выполнять работу.
Вот как это выглядит на челюсти:
Через пару недель (всё индивидуально) назначается 2 визита для перебаза.
Как это реализуется - утром протез снимаем (в 10 часов), пациента отпускаем до вечера (19.30). Всё, дело сделано. Отпускаем погулять ещё на пару месяцев (индивидуально) и можно устанавливать протез постоянный.
До новых встреч.
Меня всегда можно найти тут https://t.me/parodoc. Отвечаю на вопросы быстро.
Я знаю, как трудно вам даётся понимание зубной темы. Своих дел хватает, своих забот невпроворот. И работу вы выполняете на совесть - не сомневаюсь. В зубах ещё разбираться требуется? Увольте.
Но не все специалисты такие ответственные, как вы. Особенно, когда дело касается больших финансов. У стоматологии, к большому сожалению, слава в народе не белая и пушистая.
Мнение пробегавшего мимо Суслика
Я продолжаю писать и делать стоматологию чуть более понятной и, возможно, даже немножко интересной для тех, кто готов читать. Приходится изворачиваться, что бы тексты не были сухим набором профессиональных терминов. И фотографии - куда без них, самое интересное)
А сегодня я хочу, что бы вас меньше терзали раздумья насчёт того, какую коронку выбрать (если финансовый вопрос не стоит остро) - металлокерамическую или циркониевую. Для этого покажу макрофотографии и расскажу о способе изготовления.
Чаще всего используется кобальто-хромовый сплав (КХС).
На МРТ ходить можно - этот сплав не магнитится!
Каркас металлокерамического протеза - КХС
Основные методы изготовления каркасов:
1. Отливка - самый древний и самый распространённый. Происходит в муфельных печах, расплавленный металл по специальным литникам заливается в литейную опоку.
"+" - дёшево и быстро.
"-" - есть % погрешности, который может сыграть негативную роль при изготовлении протяжённых конструкций.
2. Фрезеровка - каркас вырезается из блока в специальном фрезере.
"+" - точность.
"-" - дорого.
3. Селективное лазерное плавление - 3Д печать металлом. Наши техники пользуются этим методом.
"+" - точность, оптимальное соотношение цена/качество.
"-" - не нашлись.
Селективное лазерное плавление каркаса металлокерамического протеза
сначала на каркас наносится слой опака (непрозрачный слой, который при запекании закрывает тёмную серость металла и создаёт первичный цвет конструкции) - запекается;
затем техник наносит саму керамическую массу вручную. Он может использовать разные цвета керамики, что бы созавать градиент, например. Запекается.
обрабатывает фрезой - выпиливает фиссуры, бугры, мамелоны и прочую красоту. Запекается.
покрывает глазурью - запекается.
Таким образом, металлокерамическая конструкция - СЛОИСТАЯ. Запеканий может быть до 8. Но это не в +.
Металлокерамический протез
А теперь приблизим фотографию:
Металлокерамические коронки
Вот это место в пришеечной области и является СЛАБЫМ ЗВЕНОМ металлокерамических конструкций. Имеет свойство РАССЛАИВАТЬСЯ со временем.
Срок эксплуатации таких коронок не столь велик в масштабах человеческой жизни. Но для протезирования на своих зубах они вполне годятся. У меня во рту с 2016 года такая и всё ок.
При протезировании на имплантатах мы ВООБЩЕ НЕ ИСПОЛЬЗУЕМ металлокерамические коронки именно по той причине, что они могут расслаиваться в самом важном месте - в пришеечной области. Это может привести к проблемам с имплантатом, бактерии непременно воспользуются ситуацией и заселят всё то, что распушилось.
Нужно помнить, что имплантат не столь надёжно защищён, сколь защищён свой зуб. Связки периодонтальной нет - вот и причина.
Подробнее писала об этом в статье:
Важная статья о чистке имплантатов. Почему нельзя трогать десну, даже если очень хочется
Parodoctor6 декабря 2023
Из цельного бруска выпиливается коронка или протез. Всё.
Изготовление циркониевой коронки - скрин из видео, находящегося в открытом доступе
Никаких слоёв, никаких запеканий. Не расслоится.
Циркониевый протез
Теперь приблизим фотографию:
Циркониевые коронки
Думаю, все всё поняли.
Циркониевые коронки для имплантатов
Вот то место, где белое переходит в металлическое - не расслоится. Оно будет точно таким же, как и при установке коронки, очень длительное время. Возможно, целую вечность.
На вопросы отвечаю в тг канале https://t.me/parodoc
Это жёсткая история, если честно. Подписчица Марина с Камчатки, которая с лета читала мой блог в Дзен и решилась прилететь в СПб на операцию, получила протезы позже, чем кто либо доселе. А обещали быструю сдачу работы...
Начало можно прочитать в подборке, в которую добавляется эта история.
Всё оказалось совсем примитивно.
Техники решили внедрить в практику новую технологию - ЦИФРОВАЯ ПРИНТОВАННАЯ ПОСТАНОВКА. Раньше присылали постановки на воске (я 100 раз об этом писала и показывала), а теперь у них ноу хау🙄
То, что раньше сдавалось за день, сейчас требовало минимум 4-х. Жесть. Очереди, оказывается. У лаборатории хорошая загрузка, но почему-то они об этом не подумали как следует.
Вот как выглядит цифровая принтованная постановка:
Цифровая принтованная постановка
А вот как выглядел наш любимый, быстрый воск:
Постановка на воске
Разница - в первом варианте зубы не из стандартного набора, а те, что пациенту подходят больше. С этим прототипом можно даже пожить какое-то время, попривыкать к нему. Понять, что нравится, а что не особо.
И было бы прекрасно, если бы сроки никто не затягивал. Ведь примерки на то и нужны, что бы исправлять "косяки", какие-то нюансы. И всё это быстро! А тут...
И так всё затянуто. Но то зуб на зуб не попадает, то губы не смыкаются:
В общем, работу должны были сдать в пятницу, 19 апреля 2024 года. И тут вот что происходит:
Просто пипец - смс о переносе и будьте здрастье
И я на стороне пациентки, 100%.
Ничего не понятно, никаких пояснений - смс. Приплыли.
Спасибо Марине, она ещё хорошо держалась. Кажется, что я была бы не такой сдержанной.
Потому что самолёт уже оплачен! На Камчатку. Перенести полёт? Пожалуйста, но только бизнес класс:
Билеты СПб-Петропавловск-Камчатский
От 157 000 рублей!
Остальные варианты только в мае. А человек уже у нас задержался слишком, в снежном Питере. Без обещанных зубов🥲
Ужасно.
Кстати, хирург обещал оплатить билеты, если что-то опять не срастётся, пациентке это было озвучено. Я бы его поддержала, не обсуждается. Отвечали бы вместе, разделили ответственность.
Как вы понимаете, всё было хорошо.
Зубы:
Протезы
Получилось так, что сверху всего 8 зубов, по 4 с каждой стороны. Чёрная точка (которую вы точно увидите, скос эмали на зубе 1.1) - конструктивные особенности, всё это будет закрыто пломбировочным материалом. Зуб 1.1 - дополнительный имлантат, который потом планируем убрать. Он нужен лишь для усиления, ибо торк полноценный был получен только на одном из остальных 6-ти установленных.
Напоминаю - протезы временные адаптационные
Так же важный момент - верхний протез соприкасается с нижним только в точках полученного торка (их всего 2), остальное "на весу" и жевать не способно.
Рекомендации - мягкая, жидкая пища 4 месяца! Это важно.
Низ - всё ок.
Теперь посмотрим, как это выглядит во рту:
2 недели после тотальной работы на имплантатах - 2 челюсти
Шахты имплантатов закрыты временным материалом на 2 дня, он не очень эстетичный по цвету.
В понедельник винты будут подтянуты, а шахты закроются постоянным пломбировочным.
Поднутрения, дефекты слизистой - на то протезы и временные адаптационные, что костная ткань должна перестроиться и прийти в себя перед постоянным протезированием.
Главное - всё комфортно. Этот вариант, действительно, отвечает физиологии мышц.
А вот и мы с Мариной:
И очень важное, не описанное мню ранее:
не играет решающей роли ,сколько дней от имплантации до постановки протеза прошло. Важен торк (усилие) и пассивность конструкции. То есть протез на имплантаты должен усаживаться без боли, пассивно.
И будет успех.
Вот такая история получилась.
С лабораторией возвращаемся к прежнему варианты работы, воск.
Они и сами это поняли.
То, что они делали сейчас для временных протезов, использовать будем при переходе с временного на постоянное. Этот вариант оправдан на 100%. Остальное блажь. Пока так.
Я обитаю в ТГ канале https://t.me/parodoc, там же отвечаю на вопросы.