Лечение гидроцефалии. Клинический случай1
Здравствуйте! Сегодня хотим вам представить вам клинический случай успешного лечения гидроцефалии.
Гидроцефалия - это заболевание, в основе которого лежит нарушение ликворообращения и избыточное скопление спинномозговой жидкости в ликворных полостях.
⠀
Причинами гидроцефалии может быть гиперпродукция (избыточное образование) спинномозговой жидкости, нарушение ее резорбции (всасывания), а также блокада ликворопроводящих путей.
⠀
В последнем случае формируемся так называемая закрытая или окклюзионная гидроцефалия. Клинический случай которой мы хотим представить.
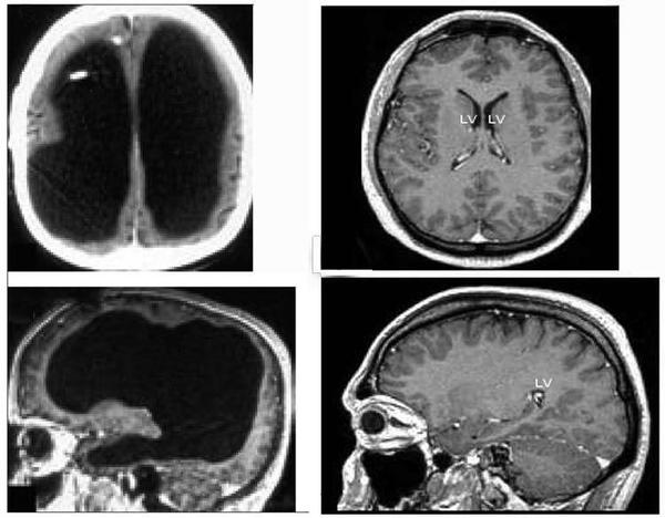
Пациентка Ж, 20 лет. Направлена неврологом по месту жительства.
Предъявляла жалобы на головные боли гипертензионного характера, периодическое онемение левой половины лица, левой руки и ноги, снижение памяти.
⠀
Ухудшение состояния в течение последних 2 месяцев. Консервативное лечение без эффекта. При обследовании по данным МРТ головного мозга выявлена окклюзионная тривентрикулярная гидроцефалия. Стеноз водопровода мозга.
В данном случае методом выбора явилась эндоскопическая вентрикулоцистерностомия дна III желудочка с целью создания обходной ликвороциркуляции.
Нейрохирург: Нездоровин О.В.
Невролог: Смирнов П.В.
⠀
В послеоперационном периоде наблюдается положительная динамика. Пациентка отметила регресс головных болей, улучшение когнитивных функций.
Подробнее с пояснениями и комментариями смотрите в нашем видео-ролике на YouTube-канале. Особая благодарность будет за лайки и подписку!
В случае необходимости, вы всегда можете отправить нам свои снимки МРТ и задать интересующие вас вопросы, решить вопрос в необходимости диагностики или лечения.
Мы всем отвечаем! Бесплатно!
Снимки и описания ситуации можете присылать сюда
123spv@mail.ru
Спасибо!
Спасение щенка дворняги с гидроцефалией
Есть у нас небольшой магазанчик, такой себе небольшой семейный бизнес, и вот в один из дней, подкинули нам под вход щенка, который не переставая жалобно лаял и скулил, хотя видимых травм не наблюдалось. Пригласили знакомого ветеринара (у самих есть 2 таксы, кошка и хорек, успели обзавестись друзьями ветеренарами), тот после осмотра, сказал, что это гидроцефалия, щенок не мог стоять, ничего не видел, только водил глазами из стороны в сторону, на объектах взгляд не фокусировал. Посоветовал не мучать животное и усыпить, так как помочь можно только операбельно, установить шунт в мозг, что бы откачивал лишнюю жидкость. Такую операцию из доступных, могут сделать только несколько врачей, ближайшие один в Одессе, второй в Питере, сами мы из Киева. Ценник в пределах 1500 у.е. ... Картина была грустная, но супруга решила побороться. В таком состоянии мы забрали малыху домой.
Далее нам помогли найти хирурга в Одессе, который согласился провести операцию, а с помощью волонтеров собрали нужную сумму в течении месяца. Этот месяц был адовым, супруга практически не спала, щенок засыпал время от времени, а когда просыпался, начинался вой, лай и скулеж. Определили, что ему месяца 4 отроду. Как он жил эти 4 месяца, непонятно. Спасибо соседям, они тоже стойко пережили этот месяц вместе с нами. И вот настал день операции, которая длилась 4,5 часов, прогноз 50/50.
Потом была реабилитация, приживался шунт плохо, но Эмма (так назвали щенка) очень хотела жить)) так случилось, что первое что услышала и увидела Эмма после выхода из под наркоза, это была моя супруга, и наверное она решила, что это мама. Теперь ни на шаг не отходит от нее, наших собак считает сестрами, тролит кошку и норовит попробовать на зуб хоря. Очень жизнерадостная и игривая... А ведь могло быть совсем все по другому.
Думаю, она благодарна тем людям, которые ее нам подкинули, и всем тем, кто участвовал в ее спасении. И мы благодарны вам. Быть добру. Спасибо за внимание
Нейрохирурги Тюмени и Екатеринбурга прооперировали мозг ребенка в утробе матери
Операцию на головном мозге ребенку в утробе матери сделали врачи из Тюмени и Екатеринбурга. Это вторая в мире подобная операция. Подготовка к ней шла три дня, а сама операция длилась час.
Операция была экстренно сделана в мае, но только сейчас врачи стали о ней говорить. Малыш родился здоровым и уже выписан с мамой домой в Ямало-Ненецкий автономный округ.
- Все было хорошо, мы с мужем очень хотели и ждали малыша, но на 22 неделе УЗИ показало, что у мальчика серьезные проблемы с развитием головного мозга, - вспоминает те тяжелые дни 21-летняя Анна.
У малыша стремительно развивались сразу несколько патологий центральной нервной системы, одно из них – гидроцефалия. Избыточное накопление спинномозговой жидкости в мозге разрушало его и увеличивало голову в размерах.
- Спасибо судьбе, мы попали в Екатеринбург к опытным акушерам-гинекологам. Когда мне предложили внутриутробную операцию, гарантий никто не давал, говорили - это эксперимент, но иначе ребенок останется глубоким инвалидом. Мы с мужем согласились сразу, - рассказывает Анна.
Операцию провели в Уральском НИИ охраны материнства и младенчества. В составе мультидисциплинарной бригады были главврач Тюменского Федерального центра нейрохирургии Альберт Суфианов, заведующая отделением лучевых и биофизических методов исследования Уральского НИИ Охраны материнства и младенчества Наталья Косовцева, заведующий отделением хирургии новорожденных ОДКБ №1 Владислав Чудаков и другие специалисты.
- Я не раздумывая выехал, когда мне сообщили, что пациентке в Екатеринбурге срочно нужна операция, есть угроза для жизни ребенка, - рассказал Альберт Суфианов. - Я понимал, что это риск, ведь внутриутробных нейрохирургических операций эндоскопическим путем еще не делали. К таким вмешательствам мы готовились несколько лет. Оперировали овец, советовались с зарубежными специалистами, учились друг у друга, практиковались на симуляторах, но уверенность появилась, когда полностью была готова материально-техническая база и отточены все хирургические действия.
Операция прошла успешно, мама смогла доносить малыша и 2 июля с помощью кесарева сечения мальчик появился на свет. Своего сына Ярослава Аня увидела сразу, как только проснулась после наркоза.
На днях Анна и маленький Ярослав посетили тюменский Нейроцентр. Молодая мама встретилась с Альбертом Суфиановым и заведующим детским нейрохирургическим отделением центра Юрием Якимовым, он был ассистентом на операции.
- Я безмерно благодарна всем, кто вел меня во время беременности в уральской клинике, благодарна тюменским докторам за проведенную операцию. Меня поддерживали, вселили веру в будущее, - говорит Анна.
Эта история открывает целое направление стандартных нейрохирургических операций, которые будут помогать малышам внутриутробно, - отмечают в Федеральном центре нейрохирургии в Тюмени.
- Чем раньше мы начнем лечить заболевание центральной нервной системы, тем лучше результаты, восстановление, меньше неврологического дефицита, - поясняет руководитель Тюменского Нейроцентра Альберт Суфианов. - Сейчас специалисты возлагают большие надежды на внутриутробную нейрохирургию. Я рад, что в моей практике произошло еще одно открытие. К этому я шел всю жизнь.
Выписка
Здравствуйте, дорогие друзья, отдельный привет подписчикам! У меня все хорошо. Самочувствие прекрасное, последние 3 дня не знал, чем себя занять. Вчера сняли швы. Сегодня после обхода принесли выписку. Жду когда за мной приедет любимая жена. Очень устал отдыхать, хочу на работу.
Очень рад, что эта история закончилась благополучно. Не без вашей поддержки, друзья! Хочу пожелать всем здоровья крепкого и долгих лет жизни.
Нужны контакты хорошего невролога в Москве
Доброе время суток, друзья!
Ситуация: у мамы были жуткие головные боли, сделали мрт головы и шейного отдела, в результатах написано, что в ГМ есть небольшое скопление жидкости. По-другому - наружная гидроцефалия ГМ.
Пожалуйста, подскажите контакты ХОРОШЕГО невролога в Москве. И, если есть здесь медики, успокойте меня, пожалуйста, все же хорошо будет?.. При необходимости скину результаты мрт.
Комменты для минусов внутри.
Бабушка, я - царь или король?
Свидетелем этой истории стала сестра моей жены. Первопост, сильно не ругайте.
Итак, зимнее утро, город, переполненная маршрутка. На одной из остановок в "Газельку" входит грустная бабушка с внуком, больным гидроцефалией - у ребенка большая голова, на которую кое-как натянута шапочка. Больному мальчику тут же уступают место в салоне.
Усевшись на освободившееся сиденье, мальчик тихо спрашивает: "Бабушка, я - царь или король?". Бабушка не отвечат.
Не дождавшись ответа, мальчик вновь задает свой вопрос - пассажиры молча переглядываются, бабушка никак не реагирует.
Наконец мальчик на всю маршрутку громко переспрашивает:
- Бабушка, я - царь или король?!!!
- Ты дебил!!! - не выдерживает бабушка.
Пассажиры в шоке, тут же начинают возмущаться, мол, как вы смеете так говорить на больного ребенка, на что бабушка заявляет:
- Вот... родители.... оставили на выходные... так он вазу на голову надел!!! Везу в больницу снимать!...
Мужчина, который живёт без 90% мозга, озадачил учёных
Магнитно-резонансная томограмма пациента с практически отсутствующим мозгом, но ведущим нормальную социальную жизнь.
Фото: Feuillet et al./The Lancet
Французский мужчина, живущий относительно нормальной и здоровой жизнью, несмотря на отсутствие 90% мозга, заставляет учёных пересмотреть теории о биологической сущности сознания.
Несмотря на десятилетия исследований, специалисты до сих пор не могут объяснить феномен сознания — фундаментального способа, каким человек соотносится с миром. Нам известно, что это нечто формируется в головном мозге, на базе нейронов. Но каким образом сохраняется сознание, если отсутствует подавляющее большинство нейронов?
Впервые описанный в научном журнале Lancet клинический случай уже почти десять лет обсуждается в научном сообществе.
На момент поступления в клинику пациенту было 44 года, и до того момента он не делал томограммы и не знал, что у него практически отсутствует мозг. В научной статье не раскрывается личность пациента для сохранения конфиденциальности, но учёные объясняют, что большую часть своей жизни он прожил вполне нормально, даже не подозревая о своей особенности.
Сканирование мозга мужчине сделали практически случайно. Он пришёл в больницу с жалобой на слабость в левой ноге, но врач направил его на томограмму. Результаты МРТ показали, что череп мужчины практически полностью заполнен жидкостью. Остался только тонкий внешний слой с мозговым веществом, а внутренняя часть мозга практически отсутствует.
На иллюстрации слева показана томограмма мозга пациента, у которого большая часть черепа заполнена жидкостью. Для сравнения, на томограмме справа — череп обычного мозга без аномалий.
Учёные считают, что мозг пациента медленно уничтожался в течение 30 лет по мере накопления жидкости — процесс, известный как гидроцефалия (водянка головного мозга). Ему поставили такой диагноз ещё в подростковом возрасте и провели шунтирование для восстановления движения ликворной жидкости, но в 14 лет шунт убрали. С тех пор жидкость в черепе накапливалась, а мозг постепенно уничтожался.
Несмотря на это, мужчину не признали умственно отсталым. У него не очень высокий IQ 75, но это не мешало ему работать госслужащим, жениться и завести двоих детей.
Когда история необычного пациента была опубликована в научной прессе, она сразу привлекла внимание нейробиологов. Удивительно, что человек с таким анамнезом вообще оставался в живых, а уж тем более находился в сознании, нормально жил и работал.
В то же время этот случай позволил проверить некоторые теории о человеческом сознании. В прошлом учёные предполагали, что сознание может быть связано с различными специфическими областями мозга, такими как клауструм (ограда) — тонкая (толщиной около 2 мм) нерегулярная пластинка, состоящая из серого вещества и расположенная под корой больших полушарий головного мозга в глубине белого вещества. Ещё одна группа исследователей из Принстонского университета выдвигала теорию, что сознание связано со зрительной корой. Но анамнез французского пациента ставит под большое сомнение обе эти теории.
«Любая теория сознания должна быть в состоянии объяснить, почему такой человек, у которого не хватает 90% нейронов, по-прежнему демонстрирует нормальное поведение», — говорит Аксель Клиреманс (Axel Cleeremans), когнитивный психолог из Брюссельского свободного университета (Бельгия). Учёный выступил с лекцией на 20-й международной конференции по научному изучению сознания в Буэнос-Айресе в июне 2016 года.
«Сознание — это неконцептуальная теория мозга о самом себе, полученная через опыт — через обучение, взаимодействие с самим собой, с миром и другими людьми», — говорит Аксель Клиреманс. В своей научной работе учёный объясняет, что наличие сознания означает, что человек не просто обладает информацией, но ещё и знает о том факте, что он обладает информацией. Другими словами, в отличие от термометра, который показывает температуру, сознательный человек одновременно и знает температуру, и заботится об этом знании. Клиреманс заявляет, что мозг непрерывно и бессознательно обучается заново описывать собственную активность самому себе, и эти отчёты «самодиагностики» формируют основу сознательного опыта.
Другими словами, в мозге вовсе нет конкретных регионов, где «живёт» сознание.
Свою теорию Аксель Клиреманс впервые опубликовал в 2011 году. Он называет её «положением о радикальной пластичности» мозга. Этот тезис вполне соотносится с последними научными исследованиями, которые показывают необычную пластичность взрослого мозга, способного восстанавливаться после травм, «перепрограммировать» отдельные участки на новые задачи, восстанавливать сознание и полную работоспособность.
Теория Клиреманса может объяснить случай с французским мужчиной, который сохраняет сознание в отсутствие 90% нейронов. По мнению учёного, даже в этом крохотном мозге оставшиеся нейроны продолжают описывать собственную активность, так что человек отдаёт отчёт своим действиям и сохраняет сознание.
Наши знания о работе мозга увеличиваются с каждым годом. Несмотря на принцип «Ни одна система не может создать систему сложнее себя самой», мы постепенно изучаем работу центральной нервной системы и учимся воспроизводить её функции. Например, буквально несколько дней назад опубликована научная работа с описанием, как слепой мыши частично восстановили зрение с помощью наращивания ганглионарных (нервных) клеток сетчатки глаза — части нервной системы между мозгом и глазом.
В этой области происходит всё новые открытия. Правда, иногда появляется странное чувство, что чем больше мы узнаём о работе мозга, тем более сложным кажется его устройство.
Оригинальный пост - Geektimes












