Какими бывают брекеты?
Какие виды брекетов предлагают ортодонты:
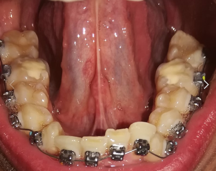
1. Металлические брекеты. Данные брекеты относятся к классическим системам, которые одними из первых завоевали ортодонтический рынок.
Металлические брекеты - это надежность, устойчивость и удобство для ортодонта.
2. Сапфировые брекеты. Прозрачные брекеты, которые являются достаточно дорогим видом лечения.
Сапфировые брекеты сложно заметить на зубах, так как они полностью пропускают свет и сливаются с эмалью зубов.
Сапфировые брекеты - это легкость, эстетика, отсутствие аллергии.
Минусы сапфировых брекетов: цена, хрупкость, сложность в работе.
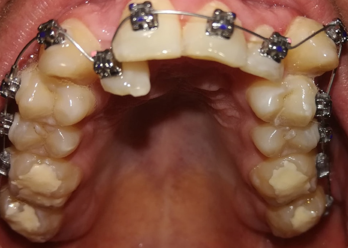
3. Керамические брекеты. Белые брекеты, которые способны создать эстетическое лечение. Керамические брекеты имеют доступную цену, которая заметно отличает их от сапфировых брекетов. Данные брекеты частично пропускают свет, что сразу переводит их в разряд эстетических.
4. Комбинированные брекеты. Данные брекеты могут сочетать в себе несколько материалов. Например: металл и керамику. Каждый материал выполняет определённые задачи и способен гарантировать надежность и качество всей системы.
Из каких материалов состоят брекеты?
Чаще всего - это никель-титан. Брекеты также состоят из керамики, сапфира, драгоценных сплавов.
По расположению
Если брекеты стоят на передней поверхности зубов, то данную систему называют: наружные брекеты (вестибулярные). Если брекеты стоят на задней поверхности зубов, то данная система называется лингвальной (внутренней).
Брекеты - это ваши ровные зубы, ваша естественная (природная) красота и отсутствие осложнений, которые вызваны неправильным прикусом.
Брекеты - это возможность избавиться от комплексов, найти хорошую работу и наладить личную жизнь.


















