Триллер
Спойлер для ЛЛ: Медики сломали мне ключицу и рёбра (6 переломов рёбер по версии СМЭ, 11 переломов рёбер по версии центра им. Алмазова). Другие медики скрыли факт травмирования и вынесли подложные заключения об отсутствии повреждений. Уже более года СК (вместе с полицией и прокуратурой) бездействуют и отказываются возбуждать уголовное дело.
История начиналась довольно банально: в конце января прошлого, 2022-го, года я заболел ковидом.
Тут изначально был приквел на страницу текста, но потом я решил его вырезать, чтобы не растягивать и так длинную историю.
Коротко: сначала было норм, потом не очень, потом стало пахнуть габеллой очень плохо. Я уже почти не мог ходить, сатурация упала до 80% SpO2. В пятницу 10.02 была вызвана скорая, которая доставила меня в больницу Святого Великомученика Георгия (это в Петербурге). При выгрузке из машины, врач СМП переворачивает каталку со мной направо.
Падаю на асфальт. Боль, обида, небо Аустерлица. Врач, который меня уронил:
Так вот, этот врач решает, что «пусть это останется между нами». Говорить об «инциденте» кому-либо и вносить это в документы, конечно же, не стоит.
Меня собирают, грузят обратно на каталку и минуя приёмный покой везут сначала на КТ, а потом сразу в реанимацию (ОРИТ). Врачи больницы, делавшие КТ, видят 64% поражения лёгких и «отсутствие деструктивных и травматических изменений костей в зоне сканирования». Потом неделя медикаментозной комы, нИВЛ, после прон-позиция на правом боку и животе, 18 дней в самом ОРИТе. Ещё одно КТ — снова без «деструктивных и травматических изменений костей».
Перевод в палату, выписка.
Через 4,5 месяца прохожу контрольное обследование у пульмонолога. Он даёт направление на КТ, чтобы посмотреть картину в динамике. 20.07 делаю КТ в больнице Святителя Луки. Мне выносят результат. Я читаю его результаты:
Там, среди прочего, консолидированные переломы ключицы и 1, 2, 3, 4, 7 и 8 рёбер с правой стороны.
Может это не моё? Читаю ФИО — моё. Пазл начинает складываться. Понимаю, что тогда, когда меня уронили с каталки меня не просто ушибли, а нормально так переломали. Но всё ещё не понимаю, почему в двух КТ, которые делали при поступлении и при выписке ничего нет по этому поводу.
Решаю обзавестись копиями дисков исследований и отдельными заключениями по каждому из них. Как оказалось потом, решение было очень правильным.
Обращаюсь в больницу Св. Георгия и запрашиваю копии исследований на дисках и отдельные описания по ним. В описаниях всё по старому (без травм). Некоторое время залипаю, обдумывая, что же делать дальше.
В конце концов принимаю решения обращаться в органы для установления виновных и привлечения их к ответственности.
13 и 14 октября, подаю два первых заявления через интернет-приёмную в СК и МВД. В ходе общения с органами мне сообщают, что в деле могут усматриваться ст. 118 УК РФ и ст. 238 УК РФ.
Чтобы не гуглить:
Статья 118 УК РФ. Причинение тяжкого вреда здоровью по неосторожности
Статья 238 УК РФ. Производство, хранение, перевозка либо сбыт товаров и продукции, выполнение работ или оказание услуг, не отвечающих требованиям безопасности
И дальше начинается цирк с конями, который длится по сей день.
СК не видит оснований для 238-й, а 118-я не входит в подследственность СК и этим должны заниматься в МВД. Но чтобы не совсем уж бездействовать СК
начинает жать капу и рассылать обращения от моего имени по различным инстанциям: Минздрав, Росздравнадзор, фонд ОМС, МВД и пр.. В целом их позицию можно описать как:
МВД, по месту жительства, говорит, что они, конечно, что-то соберут, посмотрят, послушают, но медики при выполнении ими своих обязанностей — это спец. субъект и расследовать в итоге всё равно должны в СК. Почти классическое:
И пропадают с радаров полностью на несколько месяцев. Сроки доследственной проверки пропускают, обращения игнорируют.
Минздрав, Росздравнадзор и пр. говорят, что они ничего не могут поделать, так как вся медицинская документация изъята полицией ещё в ноябре 2022 и обратно не возвращена. А ещё они желали бы, чтобы я предоставил им «информацию о точном наименовании (ИНН) юридического лица, оказывавшего мне скорую медицинскую помощь». Я прямо представляю картину маслом: лежишь такой «никакой», врач собирается тебя госпитализировать, а ты «Парни, давайте сначала утрясём вопрос с вашим юр. лицом и ИНН». И чтобы не было недопонимания: речь идёт про обычную государственную «03», не частников.
СК при повторных обращениях продолжает придерживаться ранее намеченного плана «это не наше». МВД не отвечает и морозится как может. Окей. Время для супергероя — прокуратуры! Ну, сейчас-то мы восстановим законность!
У Прокуратуры района (Выборгского) вопросов, замечаний по материалам проверок нет. «Вы держитесь здесь, вам всего доброго, хорошего настроения и здоровья!» ©
Немного хронологии по движению материалов дела.
13.10.22 Первое заявление в СК РФ
14.10 Первое заявление в МВД
17.10 Заявление регистрируют в 15 о/п. КУСП №12906
11.11 Материал переправляют в УМВД по Выборгскому р-ну. КУСП №8091, откуда потом его спускают в 36 о/п.
18.11 36 о/п изымает медицинскую документацию из больницы Св. Георгия
08.12 Происходит оказия: начальника 36 о/п, полковника Романа Романова, задерживают по подозрению в получение взятки и «крышевании» сети борделей. Подробнее на Фонтанке:
В связи с этим в 36 о/п начинаются весёлые времена с УСБ и СК. И моим делом, видимо, подпирают ножку какого-то стола, чтобы не шатался. Потому, что не до этого сейчас.
07.02.23 В 36 о/п приходит редирект моего очередного обращения в СК (На тот момент уже ГСУ СК по С-Пб и Л.О.). Так как игнорить СК сложнее чем меня, в 36 о/п, вместо того, чтобы приобщить новое обращение к старому КУСП №8091, регистрируют новое КУСП №1771. И все сроки начинают считать заново, не с октября, а с февраля!
Здесь вы можете указать на то, что: «Чувак, у тебя на двух КТ из больницы всё чисто, а переломы выявлены только через 4,5 месяца. Может ты сам где-то за это время навернулся, а сейчас наговариваешь на честных людей?». Забегая вперёд, именно так и скажет СК.
Но здесь всё достаточно просто: полиция или СК направляют изъятые из больницы св. Георгия диски в бюро судебно-медицинской экспертизы, где в рамках доследственной проверки их заново описывают, устанавливают наличие/отсутствие повреждений. И если повреждения есть, то оценивают степень вреда здоровью. За более, чем полгода, ни полиция, ни СК так и не смогли передать диски в БСМЭ.
ОК, «Если гора не идёт к Магомеду...».
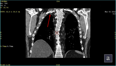
23.02.23 я обратился в центр им. Алмазова, где в рамках услуги «Второе мнение» мне описали два диска с КТ из больницы Св. Георгия, по которым были вопросы. Напомню, первое КТ было при поступлении в больницу, спустя 3-5 минут после травмы (мне кажется, оно может рассчитывать на призовое место в списке «Самое быстрое КТ в России»), второе через 18 дней при переводе из ОРИТ в палату отделения терапии. Результаты были — огонь.
На первом диске переломы ключицы и 1, 3, 5, 6, 7, 8-го рёбер с правой стороны.
На втором: то что было в первом + смещение отломков 1-го ребра, два перелома 2-го ребра, перелом 3-го ребра и два перелома 4-го ребра. Часть со смещением, часть нет. Итого 7 переломов при падении + 5 переломов в реанимации. Суммарно 12 переломов костей: ключица и восемь рёбер (из них три перелома двойные)
Ну, то есть, реально заключения больницы Св. Георгия были подложными и часть повреждений была получена когда меня уронил врач СМП, и часть в ОРИТ.
И получается реально странная ситуация. В деле есть абсолютно вся информация. Кто, как, когда, каким образом, при каких обстоятельствах. Есть куча документации, подтверждающий всё произошедшее. Но, почему-то у органов нет желания и/или сил работать.
МВД, СК и прокуратура решают, кто же всё-таки, будет заниматься делом:
14.04 Я получил восхитительное письмо от начальника СО по Выборгскому р-ну п/п-ка Большакова К.А., от прочтения которого у меня загорелась жопа возникла буря эмоций.
Так, например, п/п-к Большаков утверждал, что 238 ст. УК РФ не может быть применена, так как в ходе лечения вы не умерли и тяжких последствий не наступило. Удивительно, что подполковник юстиции не знает, что степень вреда здоровью определяет не он (или его подчинённые), а судмедэксперт — специальный врач в БСМЭ. Напомню, что заключения судмедэкспертизы ни у СК, ни у МВД нет, потому, что они не смогли его сделать за полгода.
А то, что «ну вы же не умерли», сильно напоминает «когда убьют, тогда и приходите»
И дальше он отмечает, что: «оказанная Вам в СПб ГБУЗ «Городская больница Святого Великомученика Георгия» медицинская помощь соответствовала требованиям и рекомендациям Минздрава РФ, была эффективной и не представляла реальной опасности для Вашей жизни или здоровья»
Бро, проснись! Мне там пачку рёбер сломали. Какие требования и рекомендации Минздрава? Какая эффективность? Отнесите уже диски на экспертизу!
Ну и завершение письма на мажорной ноте. Вбил так, сказать последний гвоздь в крышку. «И вообще, ты сам себе всё сломал, так как в больнице повреждений не было, а появились они через 4,5 месяца» и ссылается на заключения КТ из Св. Георгия, которые я изначально в заявлениях называл ложными. ОТНЕСИТЕ. ДИСКИ. НА. ЭКСПЕРТИЗУ. !
После прокуратуру района, которая ничего не видела и считала, что всё нормально, дохожу до прокуратуры города. Там люди серьёзнее и ответственнее. Они выносят многочисленные постановления о том, что отказы в возбуждении незаконные и необоснованные, разумные сроки уголовного судопроизводства нарушены, выписывают представление на имя начальника РУВД… Но, по существу, ничего не меняется. Всем реально
Летом 2023, после того, как прокуратура в очередной раз отменяет незаконный и необоснованный отказ в возбуждении уголовного дела, материал возвращают в 36 о/п. Наконец-таки назначается судебно-медицинская экспертиза. Ну, сейчас-то всё встанет на свои места! Не встало. Диски, которые затребовала полиция у больницы св. Георгия и которые были направлены на экспертизу, совершенно случайно оказались нечитаемыми. Как удобно.
Ну, действительно, зачем отделу лучевой диагностики св. Георгия записывать диски, которые, их полностью обличат? Я думаю, когда начался весь официальный движ, они пересмотрели сканы КТ, почитали заключения, которые они выдали, и ужаснулись. Ну а дальше, когда пришёл запрос дисков из полиции, было что-то из серии «Блин! Что делать-то будем?». «Что-что. Запиши им мусор какой-нибудь на диск и надейся, что пронесёт». И действительно бы пронесло, если бы у меня не было копии дисков. Со мной связываются из 36 о/п, рассказывают о нечитаемых дисках и спрашивают, нет ли у меня копий дисков? Я скидываю им копии. И-и-и… Очередной «отказ в возбуждении» вместо доп. экспертизы.
Снова Прокуратура. «Галя, у нас отмена!» Дело снова в полиции. В августе 2023, спустя 9 месяцев после подачи заявления, меня в первый раз опрашивают, как заявителя, в 36 о/п. Оперативненько. Назначается новая экспертиза. В сентябре готовы результаты. Вред здоровью средней тяжести.
Хочу ознакомиться с результатами СМЭ и узнать, будут они возбуждаться или нет. 36 о/п: «Мы весь материал уже отправили в отдел дознания в Выборгский УМВД. Решение будут принимать они. Дела к нам больше никогда не вернётся». Жду 30 дней (максимальный срок рассмотрения материала до принятия процессуального решения), еду в отдел дознания. ОД: «Мы материал в тот же день вернули обратно в отдел полиции. 118-я УК подразумевает тяжкие повреждения, у вас средние. Нашей подследственности тут нет». Звоню в 36 о/п: «Да, дело нам вернули, но мы его тут же отправили в Выборгский СК». Звоню в Выборгский СК: «Мы дело вообще в руки не брали. Ищите в полиции». Врали =) Материал находился в СК с 11.09.2023 до 26.10.2023. Полтора месяца. Я звонил им 09.10.2023. Пламенный привет руководителю Выборгского СК Большакову и его заму Захаряну.
Сейчас дело снова в 36 о/п и они уже прямо говорят, что никто ничего возбуждать не будет. И не важно, куда я буду обращаться с жалобами. Хоть к прокурору города. Ничего не измениться.
Но меня, хотя бы, ознакамливают с результатами СМЭ
Средний вред здоровью и 7 переломов (ключица и шесть рёбер справа). Это несколько отличается от заключения центра им. Алмазова (там было 12 переломов). Чем объясняется такая разница — хз.
И не смотря на то, что есть результаты СМЭ, подтверждающие мои объяснения (последовательные и непротиворечивые) полиция бездействует, прокуратура неэффективна, СК полностью отказывается выполнять свою работу. С их точки зрения (почти дословно) «статья 238 УК РФ на вас не распространяется. Вот если бы врачи уронили или иным образом причинили вред сотне людей — то тогда да. А так вред был причинён только вам одному. Так что нет». Для меня это звучит как какой-то бред. Получается, что любой врач может безнаказанно делать с вами всё, что угодно. Главное, чтобы вы не умерли и не получили тяжкий вред здоровью. Это реальная позиция СО СК Выборгского района Санкт-Петербурга, озвученная старшим помощником руководителя Кузнецовым С.Г.
Подведём некую черту. К кому у меня есть претензии из мед. работников и почему?
- К врачу СМП, который меня уронил, чем вызвал многочисленные переломы
- К сотрудникам отделения лучевой диагностики, которые дали два подложных заключения об отсутствии у меня травм и из-за которых мне не оказали своевременную помощь при переломах.
- К сотруднице ОРИТа, которая (единственная из всех врачей) заставляла меня лежать на сломанных рёбрах (прон-позиция), так как её действия привели к ухудшению моего состояния (про то, как было больно я даже не говорю)
За всё время было написано более десятка заявлений в различные инстанции:
- МВД (до ГУ МВД по С-ПБ и ЛО). ID первого обращения: S1MVD6085121
- СК РФ (до ГСУ СК РФ по С-Пб). ID первого обращения: 963921
- Прокуратура (до Прокуратуры С-Пб). Исх. №17ж2023
- Администрация президента. ID обращения: 9796077
- Спортлото (4, 8, 15, 16, 23, 42)
Также было: 5 личных визитов в 36 о/п. 3 визита к дежурному прокурору города. Визит к начальнику 1-о зонального отдела по надзору за уголовно процессуальной деятельностью МВД. Визит к начальнику управления по надзору за уголовно процессуальной деятельностью МВД. Визит в приёмную Президента России. В результате всех этих обращений уголовное дело всё ещё не возбуждено и находиться на этапе доследственной проверки. 13 (ТРИНАДЦАТЬ!) месяцев. Отдельно хочу вкратце картинкой описать визит в Администрацию Президента.
В завершении: текст писал очень долго. Несколько раз откладывал публикацию, так как ждал заключения СМЭ (получил на этих выходных). Хотел избежать комментариев в стиле «ты всё напридумывал» и «ты сам где-то переломался, а теперь гонишь на врачей». Дело в том, что не смотря на то, что «второе мнение» из центра им. Алмазова было готово ещё в феврале, меня смущало то, что мои переломы были описаны как «консолидированные». Я не заметил этого сразу, так как всё внимание было обращено на то, что их нашли и на их количество. Не знаю, была ли это добросовестная ошибка врача, или она сделала это специально. С этим связана отдельная маленькая история. «Каневский.jpg»
Я, как и писал вначале, поскипал из этого текста кучу всяких подробностей, так как текст получился огроменный. Как заболел, как лежал в реанимации. Как ездил на съёмки в 78 телеканал и почему сюжет не вышел. Поскипал немного нытья, которое тут было =) Я не знаю, зайдёт ли кому-то вообще эта история или нет. Если зайдёт — могу вторым постом написать то, что не вошло сюда и ответить на вопросы, которые, возможно, будут.
P.S. Господин Бастрыкин, если вы, совершенно случайно, наткнётесь на этот пост - потыкайте палочкой в Выборгский СК СПб, а то они у вас там мёртвые не шевелятся почему-то.
































