КТ-Гидроторакс
Гидроторакс — это скопление не воспалительной жидкости (транссудата) в плевральной полости — пространстве между легкими и внутренней стенкой грудной клетки.
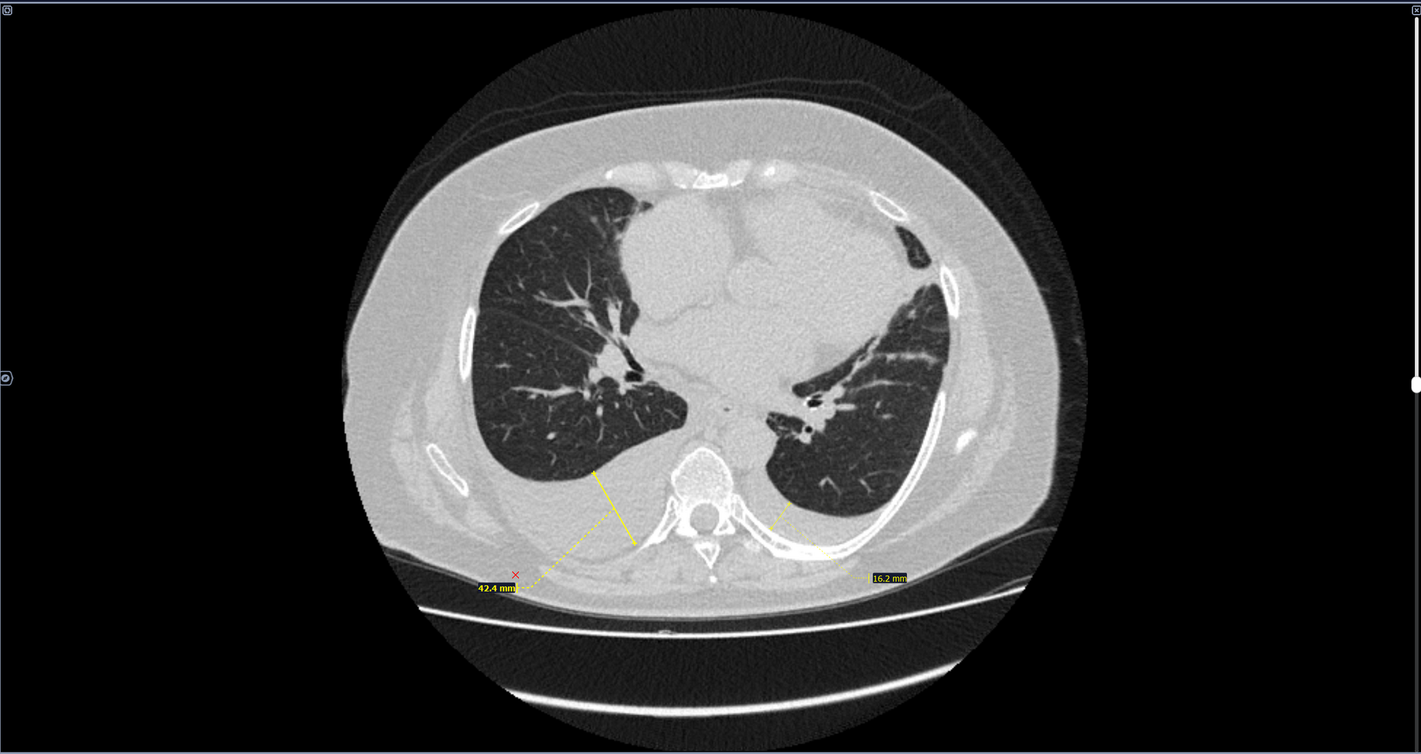
Двустороннее ассиметричное скопление жидкости плотностью +10-20 HU,с максимальной толщиной выпота справа -42мм,слева-16мм(ориентировочный объем жидкости справа-530мл,слева-157мл).
Заключение: Двусторонний гидроторакс, средний по объему-справа, малый-слева.
Классификация по гидроторакса по объему жидкости:
-Минимальный до 50мл.
-Малый 50-150мл.
-Средний 150-500 мл.
-Большой 500-1000 мл.
-Массивный >1000мл.
Классификация гидроторакса по уровню жидкости:
-Малый -жидкость в пределах реберно-диафрагмального синуса.
-Средней-жидкость от угла до уровня середины лопатки.
-Большой — уровень жидкости выше середины лопатки.
С диагнозом гидроторакс категория годности по ст.53(Временные функциональные расстройства органов дыхания после острого заболевания, обострения хронического заболевания, травмы или хирургического лечения),Г-временно не годен к в/сл., сроком на 3 мес.

