Дратути
В общем, у меня пара вопросов к знающим, я в обоих делах первый раз.
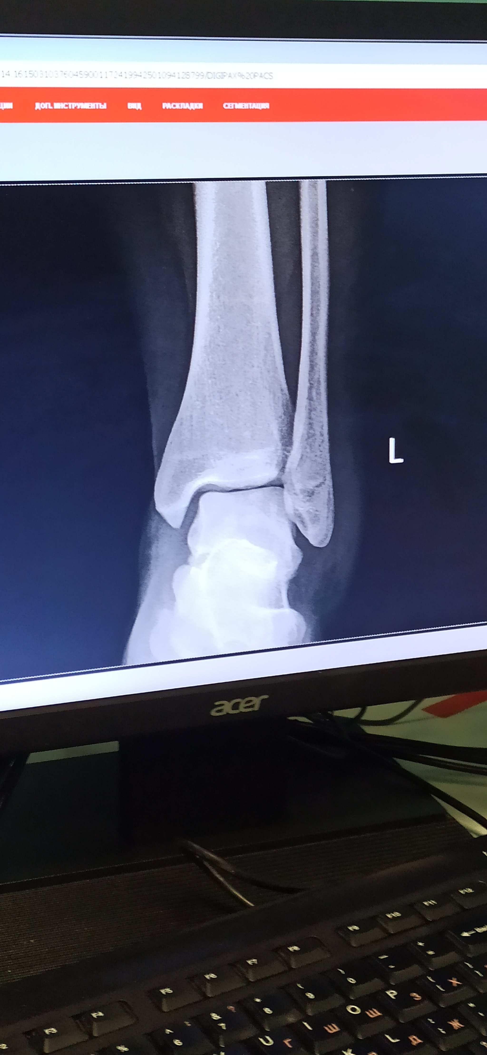
Поскользнулась (очнулась, гипс), закрытый перелом наружной лодыжки.
Вопрос первый:
Кто носил, норм?
Вопрос второй:
кто отвечает за тротуар около жилого дома? В Питере второй или третий день скользко, но дорожки не посыпаны. Я вчера упала, удачно. Сегодня не удачно. И потеря работы для меня не очень хорошо, хоть хоть какую-то подушку безопасности себе обеспечила, но всё же. Сколько ещё человек может так же упасть...
Пруфы, если надо. Ну мало ли, вдруг кто-нибудь дельного посоветует. И гипс буду менять.
Пы.сы: хз какие теги нужны 🥲




