Господи, сколько гонору. Кому хуже сделал? Руководитель пошел собеседовать следующего, а ты все еще в поиске работы.
У меня есть работа. Периодически хожу на собесы, а вдруг что лучше предложат. Так что я ничего не потерял.
Вот прям нежный какой, пиздец, ьез уважения к нему, дверь вон, пиздуй дальше ищи, тоже мне ситуация, всякое бывает, тоже бывало что назначаешь собеседование и форсмажором на это время по факту накладывается например срочне вкс. Нет ничего страшного попросить подождать. Да и соискатели такие же бывают, договариваещься и даде не приходят и не отзваниваются.
То есть у вас в любом случае соискатель виноват 🤣 Не ждёт "важняшку" – хреновый; не пришёл вовремя – хреновый. А "важняшка" всегда молодец, оно же НАЧАЛЬНИК!
Уже говорилось– с таким подходом устраиваться на работу к вам будут не специалисты, а "лояльные руководству". Спустя время вы и ваши клиенты будете разочарованы качеством их работы, ибо лояльность лояльностью, а качество специалиста всё- таки важнее.
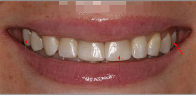
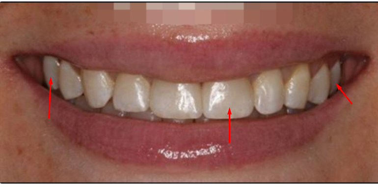
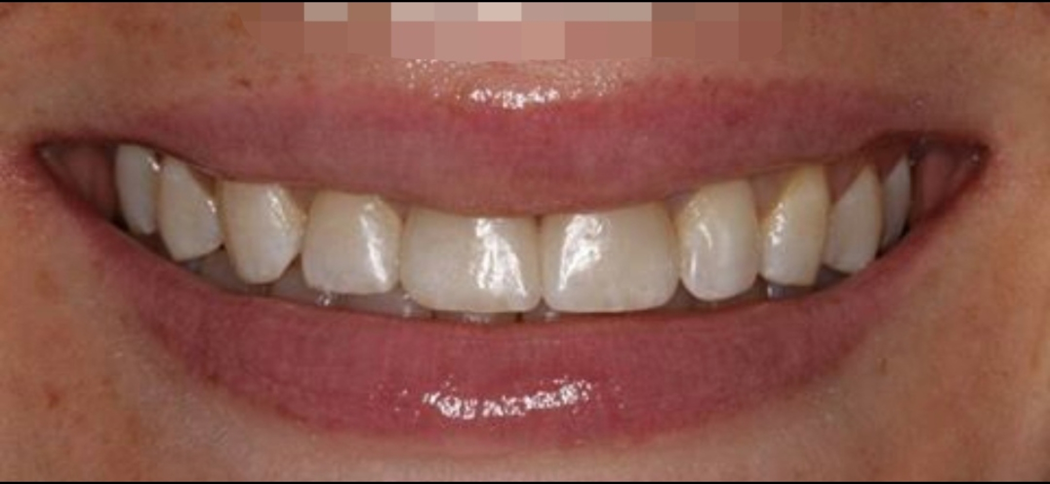
Смотря какой. Я – коронки, виниры.
Есть ещё те, кто съемные протезы делает.
Есть те кто индивидуальные ортодонтические аппараты для исправления прикуса и/или положения зубов изготавливает.
Нет, коммерческая организация, очень крупная с соответствующим и качественным топ менеджментом, работающим на результат и требующего того же от сотрудников. А если у сотрудника начинает подгорать пятая точка уже только от того, что с ним недостаточно учтиво поговорили, не принесли глубочайшие извинения и задержали, то это можно воспринимать как первоначальный отсев не пригодных по личностным качествам претендентов. Работать приходится в сложной отрасли, решать сложные и не тривиальные проблемы, а у человека акценты совсем не на то расставлены
Я это воспринял как первоначальный отсев не пригодного по личностым качествам руководства. На собеседовании он заставит ждать под дверью, далее при получении зарплаты он попросит подождать, войти в положение и т.д., при отсутствии необходимых материалов он предложит как-нибудь выкрутиться из положения (смешать керамические массы как-нибудь и потом подкрасить коронку для достижения необходимого цвета или, если есть, воспользоваться своими материалами (и такое бывает в нашей профессии). Так что да, это первый звоночек, который сразу показал отношение руководства к сотрудникам, был подобный опыт.
И как верно подметил в другом посте @ldlu,
Ненормально. Вообще дичь–выдай нам всю информацию о себе, а потом мы с тобой побеседуем. Капец, странные личности!
Какой важняк)) зубной техник экстра класса)) это сколько же стоитьталя минута, что на ЦЕЛЫХ 28 минут задержади🤣🤣🤣
Какой важняк)) зубной техник экстра класса)) это сколько же стоитьталя минута, что на ЦЕЛЫХ 28 минут задержади🤣🤣🤣




