1556

Цвет глаз человека.

Давно хотел сделать подобный пост)

для начала кратко: цвет глаз определяется генетически пигментацией радужки. один из ее слоев содержит меланин - природный пигмент.

Согласно классической генетике, гены, дающие тёмные глаза, — доминантные, а светлые — рецессивные. Однако в действительности генетика цвета глаз очень сложна, поэтому их комбинации у родителей и детей могут быть крайне разнообразны.

Еще 10 000 лет назад у всех людей были карие глаза. Но по определенным причинам в организме человека произошла мутация, и в мире появились люди с разными оттенками глаз.



Синий цвет

Наружный слой сосудов радужной оболочки отличается тёмно-синим цветом. В радужной оболочке и в глазе вообще нет ни синих, ни голубых пигментов. Синий цвет — результат рассеяния света в строме. Внутренний слой радужной оболочки, в отличие от внешнего, всегда насыщен меланином и имеет чёрно-коричневый цвет. Чем меньше плотность стромы, тем насыщеннее синий цвет. Такой цвет глаз имеют многие младенцы в первые месяцы жизни.



Голубой цвет

В отличие от глаз синего цвета, в данном случае плотность коллагеновых волокон стромы выше. Поскольку они имеют беловатый или сероватый оттенок, то цвет будет уже не синий, а голубой. Чем больше плотность волокон, тем светлее цвет.


Голубой цвет глаз — это результат мутации, из-за которой у носителей такого гена снижена выработка меланина в радужной оболочке глаза.


Голубые и синие глаза наиболее распространены среди населения Европы, особенно — в Прибалтике и Северной Европе. Например в Эстонии такой цвет глаз имеют до 99 % населения, синие и голубые глаза встречаются и на Ближнем Востоке и Центральной Азии, например, в Ливане, Сирии, Иране, Афганистане. Носители этого гена встречаются даже  среди негроидной расы.



Серый цвет

Определение серых и голубых глаз схоже, только при этом плотность волокон внешнего слоя ещё выше и их оттенок ближе к серому. Если же плотность не так велика, то цвет будет серо-голубой. Наличие меланина или других веществ даёт небольшую жёлтую или коричневатую примесь.
Серый цвет глаз наиболее распространён в Восточной и Северной Европе, но встречается и в Арабии.



Зеленый цвет

Зелёный цвет глаз определяется небольшим количеством меланина. Во внешнем слое радужной оболочки распределён жёлтый или светло-коричневый пигмент липофусцин. В сумме с получившимся в результате рассеяния в строме синим или голубым цветом получается зелёный. Окраска радужной оболочки обычно неравномерная и бывает очень много разнообразных оттенков. По данным исследований взрослого населения Исландии и Голландии, зелёные глаза у женщин встречаются гораздо чаще, чем у мужчин.

Чисто зеленым как на фото цвет бывает редко, фактически это самый редкий вариант. Одна из причин - зеленый цвет глаз в древние времена всегда ассоциировали с ведьмами и колдунами, а следовательно Святая Инквизиция яро боролась с обладателями таких глаз



Янтарный цвет

Янтарные глаза имеют монотонную светлую жёлто-коричневую окраску. Иногда они характеризуются золотисто-зелёным либо красновато-медным оттенком. Это обусловливает пигмент липофусцин (липохром), содержащийся также в зелёных глазах.



Болотный цвет

Болотный цвет глаз является смешанным цветом. В зависимости от освещения, он может иметь золотистый, коричнево-зелёный, коричневый оттенок. Во внешнем слое радужной оболочки содержание меланина довольно умеренное, поэтому ореховый цвет получается, как комбинация коричневого цвета, и синего или голубого.
Могут присутствовать и жёлтые пигменты. В отличие от янтарного, в данном случае окраска не монотонна, а довольно разнородна



Карий цвет

В данном случае во внешнем слое радужной оболочки содержится много меланина. Поэтому  отражённый свет в сумме даёт коричневый. Карий — самый распространённый цвет глаз в мире.


У природы свои законы. И люди с карими глазами чаще всего встречаются в жарких, южных странах. Карий цвет глаз выполняет свою определенную функцию. Чем больше солнечного слепящего света, тем темнее глаза у людей, которые живут в таких зонах. Именно темные глаза способны защитить человека от яркого, палящего солнца.


Практически у каждого жителя Крайнего Севера, в местах, где никогда не бывает жары, глаза именно карего цвета. И темный цвет глаз защищает уже от белоснежного, режущего глаза снега. Поэтому многим светлоглазым очень трудно зимой смотреть на белый снег.



Чёрный цвет

Строение чёрной радужной оболочки аналогично коричневой, но концентрация меланина в ней настолько велика, что падающий на неё свет практически полностью поглощается. Помимо чёрной радужки, цвет глазного яблока может быть желтоватого или сероватого цвета. Данный тип распространён, прежде всего, среди монголоидной расы, в Южной, Юго-Восточной и Восточной Азии. В этих регионах новорождённые сразу рождаются с насыщенной меланином радужной оболочкой.



Желтый цвет

Жёлтый цвет глаз встречается крайне редко. Это случается только тогда, когда сосуды радужной оболочки содержат только пигмент липофусцин (липохром) очень бледного цвета. Но в большинстве случаев такой цвет глаз связан с заболеванием почек.



Красный цвет

У альбиносов встречается красный цвет глаз. Он связан с отсутствием во всех слоях радужной оболочки меланина, поэтому определяется цветом крови в прозрачных сосудах радужной оболочки. В некоторых случаях красный цвет, смешиваясь с синим цветом стромы, может давать фиолетовый. Однако такие отклонения встречаются крайне редко. И лично я в это не верю.



Аниридия - отсутствие радужки

Радужная оболочка отсутствует  полностью или частично.



Гетерохромия полная

Различие в окраске радужных оболочек глаз называется гетерохромией. Она может быть полной — когда глаза полностью отличаются по цвету,
и

Гетерохромия неполная/секторная

Секторная гетерохромия— когда только часть отличается цветом от остальной радужной оболочки глаза.

У кошек и собак данное явление распространено гораздо шире, чем у человека.


Гетерохромия центральная

Также встречается центральная гетерохромия - наиболее распространенная из трёх, когда внешняя или внутренняя часть радужки отличается цветом.



Цвет глаз новорожденного

Цвет глаз может меняться в течение жизни. Большинство новорождённых европеоидной расы рождается с синими или голубыми глазами, однако на 3—6 месяце жизни цвет глаз может потемнеть. Это связано с накоплением меланоцитов в радужной оболочке. Окончательно цвет глаз устанавливается к 10—12 годам. У пожилых людей глаза иногда бледнеют, что связано с депигментацией, происходящей по причине развития склеротических и дистрофических процессов. Также цвет глаз может меняться из-за болезни.

Вы смотрите срез комментариев. Показать все
81
Автор поста оценил этот комментарий
Как можно было такую красивую часть тела так ужасно сфотографировать?
Фото хуже, чем в патанатом атласе
раскрыть ветку (65)
66
Автор поста оценил этот комментарий

прости, но самые красивые фотографии всегда с фш) а редких глаз вообще днём с огнём не сыщешь.

раскрыть ветку (38)
34
Автор поста оценил этот комментарий
Мои не такие темно-зеленые, как у девушки сверху, но вроде бы тоже зелень)
Иллюстрация к комментарию
раскрыть ветку (3)
8
Автор поста оценил этот комментарий

Оооочень красивые глаза:)

4
Автор поста оценил этот комментарий

Охохох, еще одна рыжая! Привет, собрат)

0
Автор поста оценил этот комментарий
Просто нереально красивые глаза!
52
Автор поста оценил этот комментарий
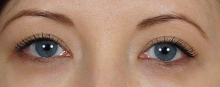
Не знаю редкий это цвет или нет..вот вам ещё один глазик:))
Иллюстрация к комментарию
раскрыть ветку (24)
55
Автор поста оценил этот комментарий
именно редкий зеленый цвет)) вы потомственная ведьма)
раскрыть ветку (9)
13
Автор поста оценил этот комментарий

я видела много людей в Азии (Индия, Шри-Ланка и Восточная Индонезия), у которых глаза внутри чёрные, а ободок скраю радужки - ярко-голубой! причём все индонезийцы с такими глазами, которых я встречала были супер-пупер аристократами

6
Автор поста оценил этот комментарий

короче пытался показать что у меня зеленый цвет, но как то не вышло...

на телефоне зеленый, в зеркале зеленый, а сука фотошоп не хочет меня к ведьмакам приписывать

Иллюстрация к комментарию
Иллюстрация к комментарию
Иллюстрация к комментарию
раскрыть ветку (1)
0
Автор поста оценил этот комментарий

Они у тебя аквамариновые

2
Автор поста оценил этот комментарий
У меня ещё мама тогда с редким(светло-зелёным), а папа так вообще ведьмак ещё тот)))))А вот скажите, что значит вот эта чёрная кайма по контуру радужки?Я почти ни у кого такой не видела.Она у меня иногда просто темная, а иногда прям чёрная становится.
раскрыть ветку (5)
14
Автор поста оценил этот комментарий
да ничего не значит) просто концентрация меланина максимальна там.
7
Автор поста оценил этот комментарий
у меня такая кайма есть)) глаза серо-зеленые
раскрыть ветку (1)
1
Автор поста оценил этот комментарий

У меня тоже есть, правда только на левом глазе, достаточно чёткая, а на правом почему-то не видно)

0
Автор поста оценил этот комментарий
У меня тоже есть кайма. А еще вокруг зрачка глаза карие, потом зеленые, а по контуру черные)) И как это называть?)
раскрыть ветку (1)
0
Автор поста оценил этот комментарий

О у меня также!

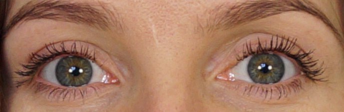
23
Автор поста оценил этот комментарий

Зеленоглазое братство ;) Тоже есть кайма, только она от освещения то более заметна, то нет

Иллюстрация к комментарию
Иллюстрация к комментарию
раскрыть ветку (11)
9
Автор поста оценил этот комментарий

Я к вам в братство сестрой)

Иллюстрация к комментарию
раскрыть ветку (6)
11
Автор поста оценил этот комментарий
Рыжая, да еще и с зелеными глазами? точно ведьма! сжечь! во славу Вечного Огня!
раскрыть ветку (5)
4
Автор поста оценил этот комментарий

но она же красивая...

раскрыть ветку (4)
20
Автор поста оценил этот комментарий

Как ты это понял?

Иллюстрация к комментарию
раскрыть ветку (3)
3
Автор поста оценил этот комментарий
ну она разок светанула лицо около 2 лет назад
http://pikabu.ru/story/moyo_khobbi__multki_2488977
раскрыть ветку (2)
4
Автор поста оценил этот комментарий

Это не я

Иллюстрация к комментарию
раскрыть ветку (1)
Автор поста оценил этот комментарий

Покажись!)

Не, ну серьёзно, можно фото?

5
Автор поста оценил этот комментарий
очень красивые глаза)
2
Автор поста оценил этот комментарий

Вклад в Лигу Зеленоглазых)

Иллюстрация к комментарию
1
Автор поста оценил этот комментарий

Красные уставшие глаза. Закапал бы чего туда. Не издевайся так над ними.

раскрыть ветку (1)
1
Автор поста оценил этот комментарий

Они всегда у меня такие, я уже привык и все знакомые мои тоже)

0
Автор поста оценил этот комментарий

глаз красивый. Прям ваще

0
Автор поста оценил этот комментарий
Великолепный цвет! *-*
10
Автор поста оценил этот комментарий
Ну попросил бы, пикабушники своих бы накидали, тут вон сколько народу))
11
Автор поста оценил этот комментарий

Я не знаю редкие или нет но у меня что-то такое, правда от освещения они от серого к зеленому меняются.

Иллюстрация к комментарию
Иллюстрация к комментарию
раскрыть ветку (2)
17
Автор поста оценил этот комментарий

на очень ярком свету вот так

Иллюстрация к комментарию
0
Автор поста оценил этот комментарий
Какой глаз :3
4
Автор поста оценил этот комментарий

Мои, без фш и фильтров.

Иллюстрация к комментарию
раскрыть ветку (1)
1
Автор поста оценил этот комментарий

Какие красивые!

1
Автор поста оценил этот комментарий
Что означают черные точки на глазах, у меня по несколько черных точек в глазах разных размеров выглядят как маленькие зрачки
раскрыть ветку (2)
1
Автор поста оценил этот комментарий
вкрапления пигмента) просто подчеркивают индивидуальность  и ни на что не влияют.
раскрыть ветку (1)
Автор поста оценил этот комментарий
Ну почему??? Я тоже хочу быть мутантом, я уже дизайн костюма придумал себе! Ты уверен что я не мутант?
112
Автор поста оценил этот комментарий

Разбавлю фотки своими)

Иллюстрация к комментарию
Иллюстрация к комментарию
Иллюстрация к комментарию
Иллюстрация к комментарию
раскрыть ветку (10)
226
Автор поста оценил этот комментарий
Расскажи, какого иметь 4 глаза
раскрыть ветку (4)
153
Автор поста оценил этот комментарий

Причём правых.

раскрыть ветку (1)
29
Автор поста оценил этот комментарий

Очень... непривычно

39
Автор поста оценил этот комментарий

Как-то так)

P.s. я знаю, у них 8

Иллюстрация к комментарию
раскрыть ветку (1)
15
DELETED
Автор поста оценил этот комментарий

судя по фото все правые, так что остальные 4 он просто не фоткал)

9
Автор поста оценил этот комментарий
Ой, вот умничка. Аж глаз радуется))
5
Автор поста оценил этот комментарий

Какие красивые цвета... До сих пор порой грущу, что глаза у меня банального карего цвета, когда у кого-то такое буйство красок и оттенков.

раскрыть ветку (2)
12
Автор поста оценил этот комментарий

Гордись, что у нас геном не такой мутировавший. Было сказано, что 10000 лет назад у всех были карие глаза. За чистоту генов! Brown pride!

раскрыть ветку (1)
6
Автор поста оценил этот комментарий

Burn the mutants!

Автор поста оценил этот комментарий
А фоток черных глаз нет? А то что-то во всей теме ни одной.
15
Автор поста оценил этот комментарий

Вот держи, из моей личной коллекции)

Иллюстрация к комментарию
Иллюстрация к комментарию
Иллюстрация к комментарию
Иллюстрация к комментарию
Иллюстрация к комментарию
раскрыть ветку (10)
82
Автор поста оценил этот комментарий
Иллюстрация к комментарию
раскрыть ветку (8)
78
Автор поста оценил этот комментарий
Иллюстрация к комментарию
раскрыть ветку (1)
5
Автор поста оценил этот комментарий

Владимир Владимирович Гейб

14
Автор поста оценил этот комментарий
Сашка :)
раскрыть ветку (4)
26
Автор поста оценил этот комментарий

Но как, Шерлок?

Иллюстрация к комментарию
раскрыть ветку (2)
17
Автор поста оценил этот комментарий

это же очевидно:

шишка встала)

5
Автор поста оценил этот комментарий

Её ты узнаешь из тысячи...

3
Автор поста оценил этот комментарий

Так вот этот самый друг

3
Автор поста оценил этот комментарий

Четвёртые озорно-развратные какие то.

1
Автор поста оценил этот комментарий
У ти мамина мормотуля))
Черных не хватает, очень красиво смотрятся...
ещё комментарии
Вы смотрите срез комментариев. Чтобы написать комментарий, перейдите к общему списку

Темы

Политика

Теги

Популярные авторы

Сообщества

18+

Теги

Популярные авторы

Сообщества

Игры

Теги

Популярные авторы

Сообщества

Юмор

Теги

Популярные авторы

Сообщества

Отношения

Теги

Популярные авторы

Сообщества

Здоровье

Теги

Популярные авторы

Сообщества

Путешествия

Теги

Популярные авторы

Сообщества

Спорт

Теги

Популярные авторы

Сообщества

Хобби

Теги

Популярные авторы

Сообщества

Сервис

Теги

Популярные авторы

Сообщества

Природа

Теги

Популярные авторы

Сообщества

Бизнес

Теги

Популярные авторы

Сообщества

Транспорт

Теги

Популярные авторы

Сообщества

Общение

Теги

Популярные авторы

Сообщества

Юриспруденция

Теги

Популярные авторы

Сообщества

Наука

Теги

Популярные авторы

Сообщества

IT

Теги

Популярные авторы

Сообщества

Животные

Теги

Популярные авторы

Сообщества

Кино и сериалы

Теги

Популярные авторы

Сообщества

Экономика

Теги

Популярные авторы

Сообщества

Кулинария

Теги

Популярные авторы

Сообщества

История

Теги

Популярные авторы

Сообщества