Продолжение поста «Закрытая репозиция - вправление отломков»1
Это обещанный текстовый вариант предыдущего поста (Закрытая репозиция - вправление отломков).
Допустим, у вас перелом со смещением и врач решает, что у него получится руками сопоставить отломки. Процесс сопоставления и называется "закрытая одномоментная ручная репозиция отломков". Сразу отметим, что закрытая репозиция чаще всего используется при переломах пальцев, пястных и плюсневых костей, костей предплечья и при вывихах. При переломах плечевой кости, бедренной кости и костей голени закрытая репозиция практически всегда нецелесообразна.
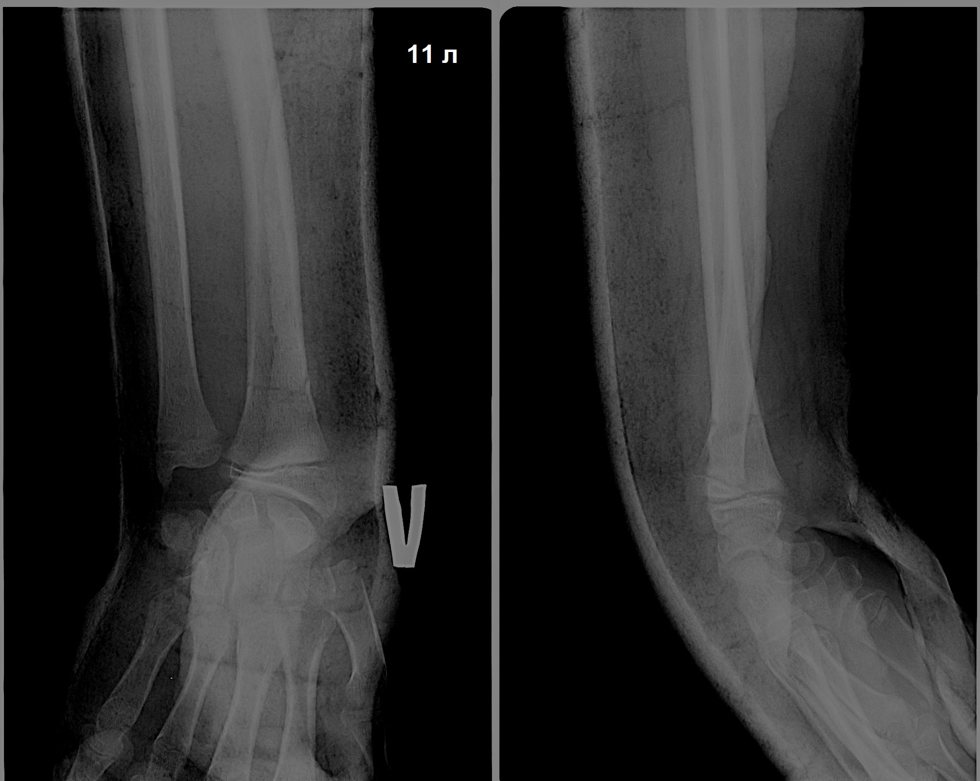
Давайте разберём алгоритм действий на конкретном примере. Девочка одиннадцати лет упала на руку и сломала её.
Ещё до рентгена понятно, что лучевая кость сломана в нижней трети и отломок смещен "к тылу", то есть это перелом Коллеса. Смотрим рентген.
Выясняется, что сломан ещё и шиловидный отросток локтевой кости.
Поскольку сломаны обе кости предплечья, можно отправить больную в стационар. Но я решаю, что в условиях травмпункта смогу нормально обезболить место перелома и самостоятельно вправить отломок, чтобы не гонять людей в другую больницу.
Плюсом к этому в нижней трети локтевой кости имеется образование, судя по всему, фиброзная киста.
Поэтому рекомендуем пациентке после сращения перелома обратиться к ортопеду по месту жительства, чтобы дообследоваться на предмет фиброзно-кистозной дисплазии, провести дифференциальную диагностику и наблюдаться.
Итак, приступаем к обезболиванию. Сейчас будет полезная информация для медиков. Сначала делаем аллергическую пробу. Далее с тыльной стороны предплечья посредством пальпации определяем место перелома и медленно вводим в него 10 миллилитров 0,5% новокаина. Этого может быть недостаточно. Хорошо обезболить кость непросто, а у нас здесь сломано две кости. Поэтому сделаем ещё и футлярную блокаду. На предплечье находятся три костно-мышечных футляра. Поскольку нервные стволы проходят в переднем костно-мышечном футляре, введём в него 20 мл новокаина с внутренней поверхности на глубину приблизительно 8-10 миллиметров.
После этого ждём 10 минут и приступаем к репозиции, вправляем отломок на место вот таким движением (см. видео Репозиция | рассказывает доктор Драганик - YouTube (2:11)).
Сложность состоит в том, чтобы приложить ровно столько силы, чтобы отломок встал на место. Ни больше, ни меньше. При отсутствии навыка есть большой риск того, что вы надавите либо слабо (и не устраните смещение), либо слишком сильно и тогда отломок сместится в противоположную сторону, что сильно осложнит ситуацию. Успешно провести репозицию не всегда удаётся даже опытным врачам. В том случае, если с первого раза сопоставить отломки не получилось, пациента отправляют в стационар, где используются варианты, которые мы рассматривали в предыдущем видео (Перелом со смещением. Как врачи вправляют отломки? | рассказывает доктор Драганик - YouTube). Сразу после репозиции накладываем гипс, ждём, пока он затвердеет и делаем рентген. На контрольной рентгенографии мы видим отсутствие смещения. То есть у нас всё получилось.
Следующий рентгенконтроль - через неделю. На нём тоже всё хорошо.
Общий срок иммобилизации - 4 недели.
Если этот пост вам понравится, мы разберём еще несколько конкретных примеров закрытой репозиции.






