Последствия несвоевременного удаления зубов мудрости. Часть II
Уважаемые друзья! Сегодня я расскажу вам об одном интересном случае, связанном со всеми любимыми зубами мудрости.
Дело было в далеком и беззаботном 2019 году, летом. Поют птички, припекает солнышко, границы открыты, а расплатиться в магазине можно без настоебавшей маски, которую ты как надел перед кассой, так и снял через секунду после оплаты. Так о чём это я…ах да! Зубы мудрости.
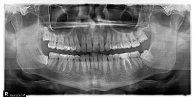
Так вот в один из таких погожих деньков в клинику обратился пациент с жалобой на дискомфорт на нижней челюсти. Ну, видать, зуб мудрости дал о себе знать, думаю я, дело то житейское. Направил на компьютерную томографию, а сам пошел попить чайку с мыслями о том, что без труда, не заморачиваясь, удалю зуб и дело с концом. Размешиваю, значит, сахарок, делаю глоток… Хорошо, думаю, сейчас бы выходной, да на фазенде, а не вот это вот все… Через несколько минут приходит ассистентка с растерянным выражением лица. Ну что, вопрошаю я, пойдем быстренько зуб удалим? Поставил стакан с чаем на стол, уверенный, что успею вернуться до того, как он остынет. Итак, мы с ассистенткой и ее недвусмысленной улыбой пошли в рентгеновский кабинет. И вот, что я увидел на компьютерной томографии:
«Сссука», – мимолетно проскользнуло у меня в голове. Так вот почему лицо ассистентки было таким. В голове крутились мысли: «ведь эта штука росла годами, а раз пациент не обращался к стоматологу, значит, не беспокоила». Вот вам, думаю я, и «не пойду к врачу, пока не заболит».
На нижней челюсти слева у пациента была внушительных размеров фолликулярная киста, которая занимала половину ветви челюсти.
Фолликулярная киста (зубосодержащая киста) развивается из эмалевого органа непрорезавшегося зуба. Поражение доброкачественное, но иногда является источником развития злокачественных опухолей (амелобластомы, плоскоклеточной или мукоэпидермоидной карцином)
Красным пунктиром я выделил границы этой кисты на срезах компьютерной томографии. Зуб, как вы можете заметить, находится аж у угла челюсти. Если говорить простым языком, то зуб сместился ввиду давления, которое формируется внутри кисты, за счёт чего, кстати, она и увеличивается. Киста достаточно большая, в связи с чем корни 6-го и 7-го зуба были вовлечены в воспалительный процесс. Если сравнить расположение 8-ки с противоположной стороны, то можно заметить, что она располагается намного ближе к 7-му зубу.
С 6-кой все понятно. В нем когда-то были вылечены каналы (белые полоски в корнях зуба – пломбировочный материал), а вот в 7-м зубе такую манипуляцию не проводили. Необходимо убедиться, а живой ли он. В данном случае проводится специальная холодовая проба, которая позволяет понять – живой зуб или нет. Выяснилось, что 7-ка пала смертью храбрых. В таком случае каналы в этом зубе также необходимо пролечить, что и сделали наши великолепные терапевты до удаления.
Наступил "день Хэ". Операция прошла в обычном режиме: зуб удалили, кисту тоже, наложили швы, назначили все необходимые лекарства.
Снимок ниже сделан сразу после операции.
Дальше задача наблюдать и ждать, пока костная ткань в этой области восстановится.
После удаления было проведено несколько осмотров, снятие швов – все как обычно. Через месяц – контрольный снимок.
Что мы видим? Темное пятно в области проведенной операции сохраняется, что нормально, потому как прошел всего месяц с момента удаления. Заживление проходит хорошо, каких-либо проблем в восстановлении не наблюдается. Не зря я отметил пунктиром область зуба мудрости с противоположной стороны, потому как там есть точно такая же фолликулярная киста, как и слева, но на начальных этапах своего роста.
Прошёл еще месяц. То самое «темное пятно» начинает постепенно «белеть», а ведь прошло всего 2 месяца со дня удаления.
Красными стрелками я отметил постепенное «появление» периодонтальной щели. Вон та черная полоска (пространство) между корнем зуба и костной тканью. Грубо говоря, там связка, которая выполняет опорно-удерживающую функцию, что позволяет зубу несколько амортизировать при жевании.
Следующий визит был запланирован через три месяца. Итак, новый снимок:
На данном снимке видно, что область удаления продолжает восстанавливаться, всё четче видны очертания нижнечелюстного канала, в котором проходит одноименный нерв.
Снимок спустя ещё три месяца:
А еще через три было проведено удаление 8-го зуба с правой стороны.
В общей сложности между удалениями прошел ровно год:
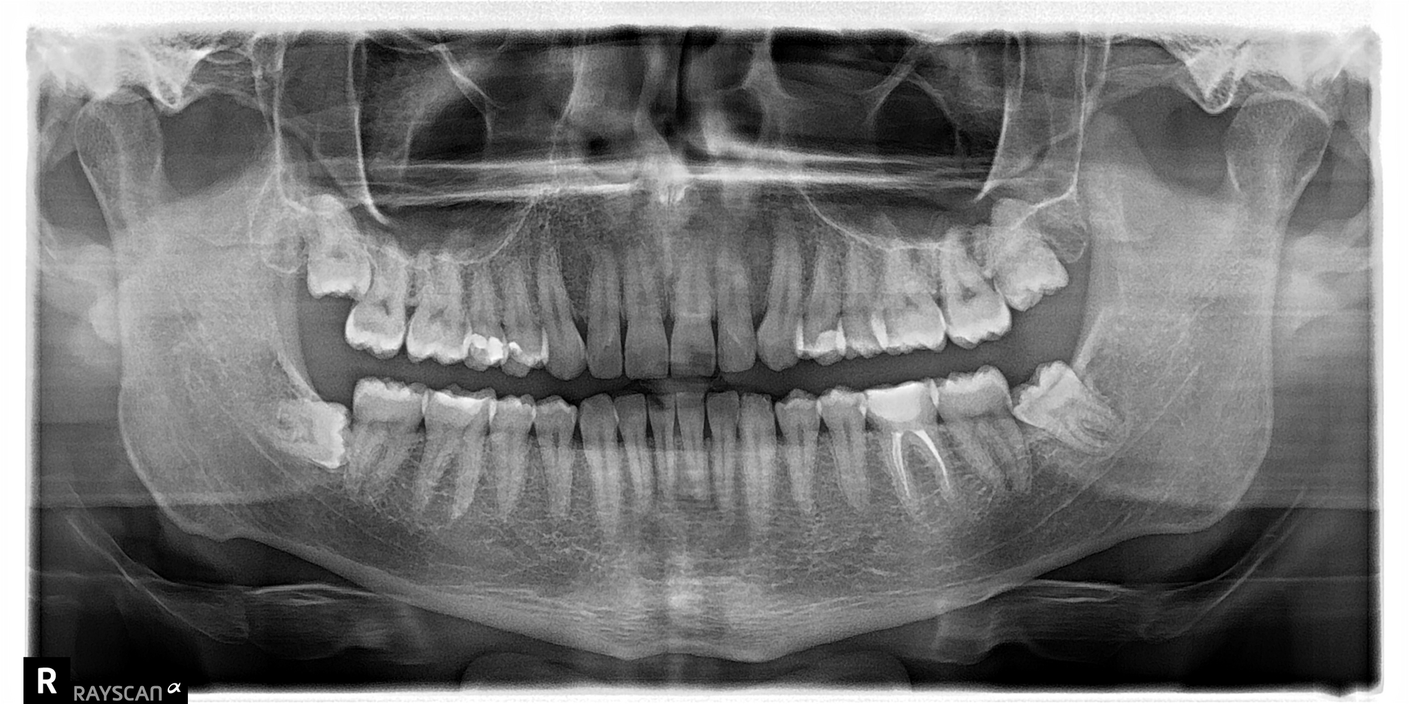
Ниже представлен последний на данный момент контрольный снимок, который был сделан в апреле 2021, спустя ровно полтора года после операции по удалению ретенированного зуба мудрости и фолликулярной кисты на нижней челюсти слева:
Нот бэд, как говорится. Всё четко, все восстановилось. Теперь задача пациента (в идеале) – делать контрольные снимки каждые полгода.
Господа, призываю вас, если вы давно не были у стоматолога и вас ничего не беспокоит, не поленитесь, сходите на осмотр к доктору. Пусть вам сделают элементарный панорамный снимок зубов (я даже не говорю про компьютерную томографию). Всё расскажут по поводу состояния полости рта и зубов. Вы убедитесь, что у вас нет никаких скрытых проблем. А если и есть, то их куда проще устранить на начальных стадиях, чем лечить осложнения. Как физически, так и финансово.
До новых встреч! И stay tuned!
С уважением, Андрей Дашков
------------------------------------------------------------------------------------------------------------------------------------------------------------------------
К слову, выключите запрет на тег "жесть"! В противном случае, некоторые мои статьи вы не увидите.
------------------------------------------------------------------------------------------------------------------------------------------------------------------------
Мои:
------------------------------------------------------------------------------------------------------------------------------------------------------------------------
Что еще почитать?
Про имплантацию зубов и костные пластики:
- Установка имплантата: как это делается?
- Синус-лифтинг: как это делается?
- Расщепление в стоматологии: как это делается?
- Пересадка костного блока: как это делается?
- Синус-лифтинг и одномоментная имплантация
- Имплантация при полном отсутствии зубов, как следствие несвоевременного обращения к
- Тотальное протезирование на имплантатах
Про зубы мудрости и их удаление:
- Зубы мудрости: удалить нельзя оставить
- Последствия несвоевременного удаления зубов мудрости
- Удаление зубов мудрости. Как это делается?
- ЧЛХ или не ЧЛХ? Вот в чем вопрос…
- Онемение после удаления зуба мудрости
- Зубы мудрости: Тянем-потянем!
Про профессиональную гигиену полости рта:
- Профессиональная гигиена полости рта. Часть I. Введение
- Профессиональная гигиена полости рта. Часть II. Как это делается?
И, конечно:
- Удаление кисты малой слюнной железы. Как это делается?
- Удаление зуба, «недорого»... последствия
- Стоматология: ожидание и реальность
- Рекомендации после приёма хирурга-стоматолога
- Как выбрать врача и стоматологическую клинику?
- Голая правда (статья о формировании стоимости лечения в стоматологической клинике)




















История болезни
6K постов6.7K подписчиков
Правила сообщества
1. Нельзя:
- 1.1 Нарушать правила Пикабу
- 1.2 Оставлять посты не по теме сообщества
- 1.3 Поиск или предложения о покупке/ продаже/передаче любых лекарственных препаратов категорически запрещены
2. Можно:
- 2.1 Личные истории, связанные с болезнью и лечением
- 2.2 Допустимы и не авторские посты, но желательно ссылка на источник информации
- 2.3 Давать рекомендации
- 2.4 Публиковать соответствующие тематике сообщества, новостные, тематические, научно-популярные посты о заболеваниях, лечение, открытиях
3. Нужно
- 3.1 Если Вы заметили баян или пост не по теме сообщества, то просто призовите в комментариях
- 3.2 Добавляйте корректные теги к постам
4. Полезно:
- 4.1 Старайтесь быть вежливыми и избегайте негатива в комментариях
- 4.2 Не забываем, что мы живем в 21 веке и потому советы сходить к гадалке или поставить свечку вместо адекватного лечения будут удаляться.
5. Предупреждение:
- В связи с новой волной пандемии и шумом вокруг вакцинации, агрессивные антивакцинаторы банятся без предупреждения, а их особенно мракобесные комментарии — скрываются