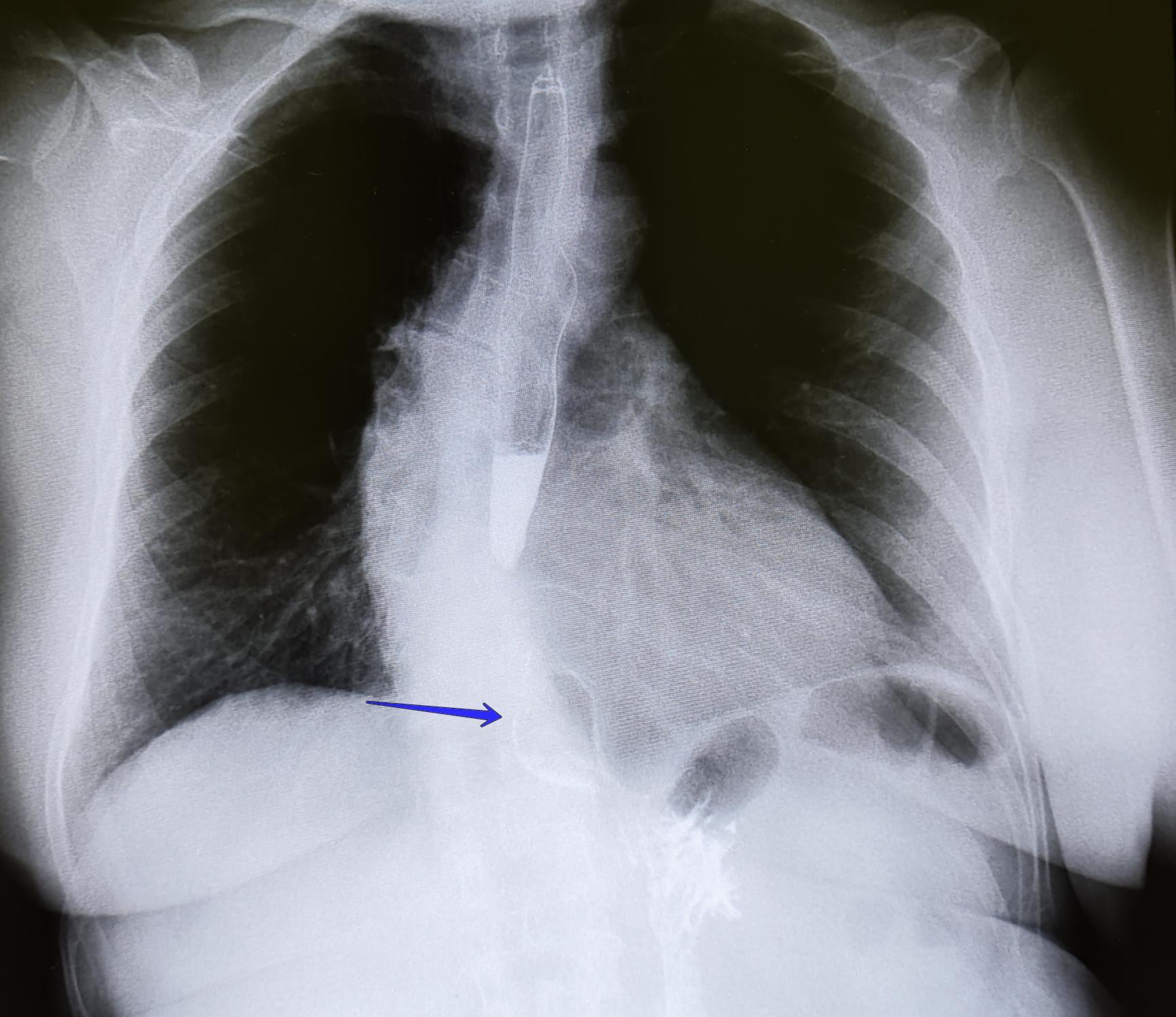
ГПОД 1 ст
Грыжа пищеводного отверстия диафрагмы (ГПОД) – смещение брюшной части пищевода и желудка в грудную полость через пищеводное отверстие диафрагмы.
Симптомы: изжога, отрыжка, ощущение горечи или кислоты во рту, срыгивания пищи, ощущение "застревания пищи" ,загрудинные боли(дискомфорт) во время еды и ночью.
Факторы приводящие к развитию ГПОД:
-расширение отверстия в диафрагме, через которое проходит пищевод;
-ослабление связочного аппарата пищевода;
-повышение внутрибрюшного давления.
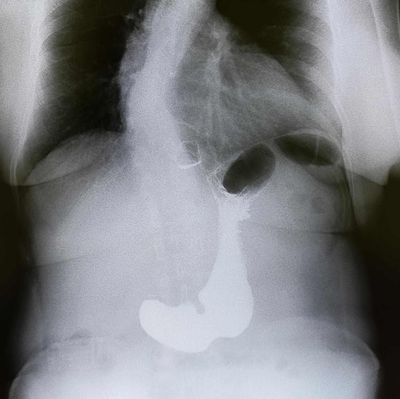
Диагностика ГПОД:ФГДС, МРТ ОБП, Рентгеноскопия желудка(для определения степени ГПОД-выполняется Р-скопия желудка в положении Тренделенбурга).
Описание: на рентгеноскопии желудка положении Тренделенбурга -над диафрагмой находится мешковидно расширенный брюшной сегмент пищевода, кардия расположена на уровне диафрагмы. Заключение: ГПОД 1ст
Комплекс лечения ГПОД включает в себя симптоматическую консервативную терапию и хирургическую помощь. Необходимость операции оценивается лечащим врачом. Полностью устранить заболевание и вернуть органам анатомически правильное положение возможно только хирургическим путём.
По 565 постановлению, I ст. ГПОД- над диафрагмой находится брюшной сегмент пищевода, кардия расположена на уровне диафрагмы.
II ст.-преддверие желудка и кардия расположены над диафрагмой.
III ст.-вместе с брюшным сегментом пищевода и кардией в грудную полость выпадает часть тела желудка;
Ds:ГПОД I ст. соответствует ст.60(Грыжи)г, Б-4(годен к военной службе с незначительными ограничениями)- годен в части военных спецсооружений (инженерные войска, железнодорожные войска, дорожные войска), специалисты охраны и обороны боевых ракетных комплексов, части связи, радиотехнические части, технические грузовые части, части материального обеспечения; остальные части Вооружённых сил Российской Федерации, других войск, воинских формирований и органов









