Dr.Mursalov

Dr.Mursalov

Врач травматолог-ортопед Кандидат медицинских наук В целом, хороший человек
На Пикабу
Дата рождения: 1 января
31К рейтинг 2565 подписчиков 49 подписок 36 постов 19 в горячем
Награды:
10 лет на Пикабуболее 1000 подписчиков
26

Коррекция деформаций малых пальцев стопы

Данный материал носит образовательный характер для других врачей травматологов-ортопедов и помогает найти решения в разных случаях.

Сегодня разберем ревизионный случай hallux valgus. И остановлюсь конкретно на малых пальцах (о ревизии первого луча опишу как-нибудь другой раз).

Имеет подобную стопу (ранее была выполнена реконструкция в объёме scarf и akin). По результатам получен рецидив деформации.

Видим характерные проблемы: наличие гиперкератозов под головками малых лучей (это свидетельствует о наличии избыточной нагрузки) и девственно чистую кожу под головкой первой плюсневой кости (значит нагрузка на первом луче отсутствует, что является катастрофой для стопы).

Наличие гиперкератозов (мозолей) свидетельствует о том, что есть избыточная нагрузка под головками малых лучей и отсутствует под первой плюсневой костью.

Наличие гиперкератозов (мозолей) свидетельствует о том, что есть избыточная нагрузка под головками малых лучей и отсутствует под первой плюсневой костью.

Соответственно, цель реконструкции первого луча заключается в том, чтобы обеспечить возврат нагрузки под головкой первого луча. Для этого важно выполнять плантаризацию головки (опустить её) различными вариантами на выбор и исходного состояния кости.

После реконструкции первого луча (в данном случае была выполнена остеотомия Austin, потому что позволяло состояние кости) мы получаем наличие деформации малых пальцев во фронтальной плоскости.

При проверки положения пальцев важно упирать руку под головки малых лучей, т.е. имитировать правильное распределение нагрузки. И мы сразу видим как малые пальцы занимают своё положении. И вот тут встает вопрос, какие пальцы находятся в порочном положении:

третий палец? который ушел плантарно
или второй и четвертый?

Интраоперационная оценка положения пальцев стопы. Видно нарушение нормального положения пальцев.

Интраоперационная оценка положения пальцев стопы. Видно нарушение нормального положения пальцев.

Как это понять интраоперационно? Да довольно простым путём. Мы выводим смежные пальцы для того чтобы определить наиболее оптимальное положении. И ниже представлены два изображения на которых продемонстрировано различное положение пальцев.
В первом случае мы выполняем опускание второго и четвертого пальца, а во втором случае поднимаем третий палец.

Опущение 2 и 4 пальца в положении третьего пальца.

Опущение 2 и 4 пальца в положении третьего пальца.

Поднятие третьего пальца в положении 2 и 4.

Поднятие третьего пальца в положении 2 и 4.

В обоих случаях мы получаем гармоничную картину. И, даже кажется, что элевация третьего пальца существенно лучше выглядит на фотографии. НО! Получается, что 2-3-4 пальцы теряют нормальную опороспобность, потому что они значительно выше линии опоры, которую можно представив проведя прямую от первого к пятому пальцу. И подобное положение пальцев приведет к тому, что частично будет страдать опороспособность пальцев. Поэтому, мы останавливаемся на первом варианте.

Что для этого выполняется?

Важно изменить центр ротации второго и четвертого пальца, т.е. поднять головки малых лучей. С этой целью мной была выполнена чрескожная диафизарная остеотомия соответствующих плюсневых костей и чрескожная удлинняющая тенотомия длинных разгибателей второго и четвертого пальца при помощи иглы 18G.

Такой внешний вид ран получен. Предшествующий рубец от ранее выполненной остеотомии Weil третьей и второй плюсневых костей.

Вид положения пальцев после выполненных процедур.

Вид положения пальцев после выполненных процедур.

Внешний вид стопы. Зашитые раны соответствуют уровням остеотомии 2 и 4 плюсневых костей. Проколы соответствуют уровню тенотомии: важно выполнять на уровне плюсне-фалангового сустава, т.к. там находится капюшон разгибателя.

Внешний вид стопы. Зашитые раны соответствуют уровням остеотомии 2 и 4 плюсневых костей. Проколы соответствуют уровню тенотомии: важно выполнять на уровне плюсне-фалангового сустава, т.к. там находится капюшон разгибателя.

Учитывая что планируется ранняя осевая нагрузка использовать спицы для поддержания коррекции не рекомендую. Но, если пациент уезжает от вас далеко и нет возможности вести его самостоятельно, то спицы это лучшая опция, т.к. позволяет избежать нежелательных последствий неправильно выполненных перевязок.

Внешний вид стопы в повязке.

Внешний вид стопы в повязке.

Помните о том, что в хирургии стопы послеоперационная повязка имеет колоссальное значение. Так, повязка накладывается при помощи самоклеющихся бинтов и оставляется на 14-21 день без замены. Исключением для перевязки является обильное промокание кровью или формирование ранних послеоперационных осложнений (будет соответствующая симптоматика). В противном случае делать перевязки бессмысленно, т.к. только повышаете риск осложнений. Особенно нельзя допускать чтобы перевязки выполнял необученный персонал, т.к. это обязательно приведет к осложнениям.

Надеюсь, что данный материал бы полезен. Если появятся вопросы, то можете задавать их.

Показать полностью 7
119

Возможные причины болей в стопе:

Чуть-чуть пропустил информационную войну инфо-врачей и пикабушников. И довольно щекотливо сейчас делать какие-то публикации. Но, у меня сертификаты есть, аккредитация есть, дипломы есть :D

Я — врач травматолог-ортопед и много занимаюсь хирургией стопы и голеностопного сустава. Что удивляет в моей практие?

Большинство пациентов с болями и деформациями не попали в аварию, не прыгали с парашютом и не бегали сотни километров. Большинство случаев это дегенеративные заболевания ("износ" простыми словами), который возникает на фоне "неправильного" образа жизни.

Рассказываю о наиболее популярных проблемах-привычках, которые незаметно разрушают наши стопы — и о том, что с этим можно сделать.

1. Лишний вес — главный, но незаметный враг стоп

Мы не замечаем, как килограммы «прирастают». Но стопа, да и весь опорно-двигательный аппарат, замечает. Стопа создана так, чтобы выдерживать вес тела, но с запасом, а не с перерасходом. Добавьте 10–15 кг — и свод проседает, суставы перегружаются, что приводит, в конечном итоге, к повреждению свяок и сухожилий. А при каждом шаге нагрузка увеличивается: лишние 10 кг превращаются в 30–40 кг на стопу.

И что особенно обидно — очень часто пациенты искренне не понимают связи между весом и болью. Говорят: «Ну я же не бегаю». Так и не надо.

Что делать: начать с простого — признать, что лишний вес здоровья не добавляет ни в чём. И влияет на ноги. Снизьте хотя бы 5–7 кг. Только, пожалуйста, не при помощи бега по пересеченной местности, а другими низкоэнергетическими безударными нагрузками. И также предварительно получи консультацию врача-диетолога.

Это не про эстетику, это про здоровье суставов. Поверьте, колени и стопы это заметят первыми. Забавно, что в моей практике бывают случаи, когда я первоначально пациентов отправляю к врачу-диетологу и они потом не доходят до хирургического лечения, потому что на фоне коррекции веса проходят ортопедические жалобы.

2. Миф про 10 000 шагов в день

Уъу! Это самая популярная установка последних лет: «ходить много = быть здоровым». Но давайте разберёмся. Цифра в 10 000 шагов появилась в Японии в 60-х годах. Её придумали не врачи, а маркетологи шагомера. И да — она стала популярной. Особенно в фитнес-браслетах.

Если не ошибаюсь, то 10 000 и иероглиф манпо (что на японском означает 10000) походе на идущего человека. Если это ошибочная теория, то, пожалуйста, укажите на это.

Если не ошибаюсь, то 10 000 и иероглиф манпо (что на японском означает 10000) походе на идущего человека. Если это ошибочная теория, то, пожалуйста, укажите на это.

Но она не учитывает состояние суставов, вес тела, обувь и поверхность, по которой вы ходите. Для сердечно-сосудистой системы — возможно, полезно . А для стоп — не всегда. Особенно если есть деформации и хроническая боль.

Я регулярно встречаю людей, которые с болью в заднем или в переднем отделах стопы говорят: «Но я же хожу 10 000 шагов каждый день!» Увы. Если вы идёте через боль, то это путь к хронической проблеме.

Что делать: двигайтесь с умом И не далайте из цифр фетиш. Лучше 5 000 шагов по парку в удобной обуви, чем 12 000 по асфальту в плоских кедах. Слушайте стопы — они подскажут, сколько для вас «норма». А норма у каждого своя. И если ваша норма вас не устраивает, то идите к врачу.

3. Готовые стельки из аптеки — почти всегда бесполезны (а иногда вредны)

Классика: пациент приходит, показывает стельки, купленные «по рекомендации» продавца ортопедического салона, и удивляется, почему от них стало хуже. А всё просто: готовая стелька — как очки на +2,5 “для всех”. Вроде форма есть, а пользы — ноль. А иногда — и минус.

Ваши стопы не похожи даже между собой. У одной может быть более выраженный свод, а на другой 4 пальца (условно, не придумал просто что-то другое для сравнения). А вы надеваете симметричную «универсальную» стельку — и получаете перераспределение нагрузки в худшую сторону.

Что делать: если вы чувствуете боль, нестабильность, или просто усталость в стопах — лучше обратиться к ортопеду. Индивидуальные стельки делаются с учётом реальных анатомических особенностей. И не забывайте: детские «профилактические» стельки просто так — тоже зло. Это прямой путь к избыточной коррекции и перегрузке.

4. Жёсткий спорт без подготовки стопы

Захотелось взять себя в руки. Начать бегать, ходить в зал, танцевать или хотя бы «йогой для начинающих». Звучит хорошо. Но стопа — не мышца. Ей нужно время на адаптацию.

А если до этого вы весь день сидели в офисе, а потом вышли и побежали 5 км по жесткой поверхности — не удивляйтесь, если через неделю у вас вдруг возникнут ноющие боли в области пятки, голеностопного сустава или в области переднего отдела стопы.

Часто встречаются стрессовые переломы, тендиниты (воспаление сухожилий) у людей с правильными целями, но слишком резкими стартами. Это как раз тот случай, когда «хотели как лучше».

Что делать: постепенное увеличение нагрузки. Не более 10–15% прироста в неделю. Учитывать обувь (очень-очень важное значение имеет), местность по которой бегаете, исходное состояние. И давать себе время на восстановление. В спорте и реабилитации выиграет не тот, кто делает больше, а тот, кто делает дольше и без травм.

5. Забытая растяжка "трицепса голени"

Об этом почти никто не думает. А зря. Икроножная и камбаловидная мышцы — ключевой элемент всей задней цепи ноги. Может возникаеть состояние "функционального укорочения", что приводит к ограничению движений в голеностопном суставе. Это за собой влечёт перегрузку переднего отдела стопы и, как результат, формирование хронической боли.

Я регулярно вижу это у пациентов после 30 лет. Особенно у тех, кто весь день проводит в сидячем положении. Или у женщин, которые носят каблуки. А чаще — у всех сразу.

Что делать: ежедневно — простая растяжка у стены. Поставили стопу назад, выпрямили колено, наклонились вперёд. Задержались на 30–60 секунд. Повторили 2–3 раза. И всё. Эффект накопительный, но мощный. У многих моих пациентов боль в пятке уходит уже через неделю регулярной растяжки.

И в целом, заведите себе привычку каждый день минут 20-30 уделять гимнастике. Хотя бы для начала. Это можно делать дома, на работе. И это очень полезно.

Всем спасибо!

Показать полностью 1
3879

Осмотрел пациентку бесплатно. Получил жалобу в Минздрав1

Вечер. Приём давно закончился.
Я сижу в кабинете, классика: бумажки (истории болезни, эпикризы), научные правки, что-то по курсам, мысли о докторской. Это тот самый случай, которые обожают пациенты. Мол доктор сидит в пустом кабинете и ничем не занят, а просто смотрит в компуктер.

Мозг уже в состоянии «на сегодня хватит», когда звонок:
— «Анатолий Камалович, тут пациентка без записи, неясно, по нашему ли профилю. Глянете на минутку?..»

Ну как всегда. Я, конечно, внутренне вздыхаю, как человек, который клялся себе больше «на минуточку» никого не смотреть. И, конечно, соглашаюсь. Ну а как иначе. Минутка же.

Тут возникает вопрос, почему мы так делаем? Потому что центр федеральный, 15 отделений травматологии и ортопедии разных направлений и часто пациентов записывают не по профилю, что приводит к длительным и бесполезным ожиданиям консультаций с последующим перенаправлением. А много пациентов приезжают из других городов, стран, снимают квартиры. По человечески жалко. Просто человеческий фактор, не более.

Заезжает на коляске женщина. Лет под 70. С порога:
— «Я тоже врач. В медицине 40 лет, работала терапевтом, гинекологом, хирургом (и мне кажется там было перечисление еще 3+ специальности точно.). У меня очень большой опыт...» и дальше приходится переступать аллею воспоминаний насущной проблемой
(Спойлер: после таких воодных истории лёгкими не бывают.)

Оказалось, месяц назад она стукнулась голенью. Где — не уточняется. Сделала где-то рентген — «у подруги» (это что-то новенькое, признаться). Снимков, заключения, ничего нет, но она уверена: всё хорошо.
Начала лечиться сама. Компрессы, мази, вера в светлое будущее. Но, как-то день ото дня всё хуже и хуже.
Через месяц — отёк, покраснение, боль, локальная температура.

Смотрю. Всё вроде бы очевидно: нагноившаяся гематома. Посттравматический абсцесс.
Говорю: «Нужно УЗИ, повторный рентген". Это стандартный инструментальный объем обследования.

Ответ классический:
— «А вы мне не верите?! Я же врач!»
И вот именно в такие моменты я особенно не верю. Потому что врач, который сам себе ставит диагноз без снимков — это, знаете, диагноз.

Объясняю, что у нас чистая ортопедия, без инфекций. И что лучше перечисленные исследования выполнить в профильной городской клинике, а не в федеральном центре. Благо в дефолтсити их огромное количество. И с подобной картиной она может обратиться в приёмное отделение любой больницы.

Вскрывать пожилому пациенту абсцесс амбулаторно — не лучший способ закончить день, да и мы не практикуем подобное, не наш профиль.

Говорю: «Вам в хирургическое отделение. Всё объясню регистратуре, вас сориентируют, не волнуйтесь.»

Но тут на сцену выходит регистратор — женщина добрая, сострадательная и абсолютно не обучаемая.

И она договаривается с врачом УЗИ, чтобы посмотреть пациентку. И да, для многих тут будет шоком, но УЗИ — бесплатно. Я правда не знаю как это работает, но врачи часто совершают глупые вещи из желания просто помочь.

Диагноз — подтверждён. Всё, как по учебнику. Ну, почти. Повторно объясняю пациентке , что ей нужен профильный стационар, где высококвалифицированые и правильно обученные люди, выполнят всё то, что надо.

И тут — поворот.
Женщина совершает поворот на 180 градусов и начинает вещать о том, что:
«Вы отказали мне в помощи!»
«Все вы только о деньгах!»
«Я буду жаловаться в Минздрав!»
(даже не в главврачу — сразу наверх, к высшим силам)

А теперь напомню, что она получила:
— Бесплатный осмотр вне записи ( а ко мне довольно тяжело бывает рутинно попасть и консультация стоит 6к)
— Бесплатное УЗИ (что тоже не самое доступное удовольствие в стенах нашего учреждения)
— Точный диагноз
— Конкретный маршрут, куда обратиться

И да, никакой благодарности. Только жалоба. И драматургия.

Вывод?
Сделал всё правильно. Помог. Потратил время. Оказался виноват.
Но, самое забавное, что остыну. Забуду принять таблетку для памяти и вновь окажусь в подобной ситуации.

Показать полностью
16

Неинсерционная тендинопатия ахиллова сухожилия

Данная патология встречается очень часто и носит различные названия, например «тендинит ахиллова сухожилия», «тендинопатия ахиллова сухожилия», «тендиноз ахиллова сухожилия» и даже где-то просто пишут «ахиллодиния.

На мой взгляд, большую часть патологий ахиллова сухожилия можно разделить на инерционные (патология в месте прикрепления) и неинсерционные (патология на протяжении). Сегодня не буду разбирать почему так происходит, а перейду конкретно к тому, как это нужно лечить с указанием уровни достоверности той или иной рекомендации.

1. Ортопедический режим

• Модификация активности

Ограничение беговой и прыжковой нагрузки. Уход от провоцирующих движений (подъёмы, резкие старты/остановки).

Всё логично. Первый пункт лечения любой ортопедической патологии это покой.

Уровень доказательности: APTA Grade A (APTA - это Американская ассоциация физиотерапевтов, их рекомендации построены по системе А(сильная рекомендация, есть соответствующие клинические исследования) до F(просто мнение экспертов))

• Временная разгрузка/иммобилизация

Краткосрочное использование ортезов возможно при выраженном болевом синдроме.

Длительное использование отрезов не рекомендуется из-за негативного влияние на мышечный тонус.

Уровень доказательности: APTA Grade F (экспертное мнение).

• Подпяточники, стельки, полужёсткие супинаторы

Возможны при сочетании с болевым синдромом во время ходьбы. Эффект умеренный.

Использование подпяточников позволяет избегать чрезмерного тыльного сгибания стопы и, соответственно, уменьшать нагрузку на ахиллово сухожилие.

Уровень доказательности: APTA Grade C

2. Лекарственная терапия (включая инъекционные методы)

• НПВП (перорально)

Могут использоваться кратковременно в остром периоде, на функциональное восстановление не влияют.

Обычно назначаются селективные НПВП, курсом на 7-14 дней. Помните о том, что при хронических патологиях нет необходимости назначения инъекционных форм НПВП, т.к. это только повышает риск развития осложнений, так каких инъекционные абсцессы.

Уровень доказательности: APTA Grade D

• Кортикостероиды (инъекции)

Обладают временным эффектом (до 3–6 месяцев), но потенциально повышают риск дегенерации и разрыва сухожилия.

Использование ГКС достоверно приводит к дегенерации сухожильной ткани, поэтому стараемся рутинно их не применять. И также не использовать больше одной - двух инъекций.

Уровень доказательности:  сильное предупреждение о рисках

• PRP

Исследования противоречивы. Использование не рекомендуется как стандарт.

PRP-терапия сильно зависит от множества факторов (состояние и возраст организма, методика приготовления, поэтому результаты плохо прогнозируемы)

Уровень доказательности: Систематические обзоры — низкий уровень

• Гиалуроновые кислоты

Исследования противоречивы. Использование не рекомендуется как стандарт.

Положительная сторона гиалуроновых кислот это однообразность вводимого препарата (в отличии от PRP).

Уровень доказательности: Систематические обзоры — низкий уровень

3. Физиотерапия и лечебная физкультура

• Эксцентрические упражнения (программа Альфредсона)

Ключевая терапия. Выполняется 2 раза в день, по 3×15 повторений, с прогрессивным увеличением нагрузки.

Огромное количество материалов в интернете по тому, как её выполнять.

Уровень доказательности: APTA Grade A

Heavy Slow Resistance (HSR)

Альтернатива эксцентрической программе. Аналогичная эффективность, возможно лучшее соблюдение режима.

Чуть менее популярный алгоритм, но также эффективен.

Уровень доказательности: APTA Grade A

• Растяжка (или миофасциальны релиз)

Допустима при ограниченной дорсифлексии. Не замена эксцентрике.

Одной из причин развития патологий ахиллова сухожилия является его «функциональное укорочение». Поэтому стретчинг необходим.

Уровень доказательности: APTA Grade C

• Ударно-волновая терапия

Возможна как дополнение к ЛФК, не эффективнее эксцентрической нагрузки.

Стимулирует регенеративные процессы.

Уровень доказательности: APTA Grade B

• Ионофорез с дексаметазоном

Допустимо в подостром периоде при болевом синдроме.

Обеспечивает противовоспалительный эффект.

Уровень доказательности: APTA Grade B / DynaMed Level 2

• Низкочастотный ультразвук

Данные непоследовательные. Не может рассматриваться как стандарт.

Стимулирует регенеративные процессы.

Уровень доказательности: APTA Grade C

4. Хирургическое лечение

Показания:

  • Боль и снижение функции сохраняются >6 месяцев несмотря на полноценную консервативную терапию.

  • Подтверждённая дегенерация/фиброз сухожилия по УЗИ или МРТ.

Но, о хирургии будем говорить, как всегда, отдельно.

Заключение для коллег:

Эксцентрическая ЛФК остаётся основой терапии (Grade A).

Инъекции и физиоподдержка — лишь дополнение, не замена.

Терапия должна быть комплексной и держаться на трёх столпах: ортопедический режим, лекарственная терапия и физиотерапия.

Хирургия — после неудачи консервативного лечения ≥6 мес.

После хирургии повторяются все этапы консервативной терапии.

Все рекомендации перечислены тезисно. Если возникают вопросы, то пишите в комментариях: всё обсудим.

Показать полностью
22

Травма — это момент выбора. Рассказываю, как избежать частых ошибок

Как врач травматолог-ортопед, я каждый день вижу последствия неправильного лечения травм — особенно повреждений связок.

Одна из самых распространённых травм это подворот стопы. Казалось бы, подвернул человек ногу — мелочь! Но через пару месяцев приходит с хронической болью, нестабильностью сустава (которая развивается в 20% случаев) и вопросом: «Доктор, а что так долго не проходит?..»

Вторая серьезная проблема хронической нестабильности помимо боли это повреждение хряща голеностопного сустава, но об этом в другой раз. При этом лечить повреждения хряща в сотни раз тяжелей, чем повреждение связок (поверьте, я делаю много подобных операций).

Избежать эти проблемы (в большинстве случаев) можно с одного-единственного выбора сразу после травмы.

И, увы, большинство делают его не в пользу своего здоровья.

Что обычно делают люди?

  • Пойдут домой «перетерпеть».

  • Попробуют «разработать» через боль.

  • Приложат тепло, чтобы «поскорее зажило».

  • Или начнут геройствовать: «Ничего страшного, щас побегаю и всё пройдет!»

Спойлер: не пройдёт.

Почему это важно?

Опорно-двигательный аппарат (да и в целом, наш организм) не прощают глупостей.

Если сразу после травмы не создать нормальные условия для восстановления, организм всё равно начнёт лечить повреждение…

Но по своему, а не по нашему плану:

  • Отёк будет больше.

  • Воспаление — злее.

  • Ткани заживут неправильно.

А через пару месяцев — хроническая боль, повторные подвороты стопы и другие «прелести»

Что спасает? Протокол PRICE:

Протокол PRICE — это не лечение травмы. Это первая помощь, чтобы создать организму шанс на правильное заживление. А дальше уже — грамотная диагностика и полноценная терапия.

Это основа, которую необходимо знать. Я бы сравнил это с приёмом Геймлиха (если не знаете что это такое, то прекратите читать эту статью и прямо сейчас изучите этот приём, особенно если у вас есть маленькие дети), но к счастью, от поврежденных связок опорно-двигательного аппарата никто не умирает.

Данный протокол пришел к нам от зарубежных коллег, поэтому используется английская аббревиатура.

Удивительно, но не смог найти на русском языке подобной картинке (хотя на английском их огромное количество). Поэтому, возможно это первая подобная графика в рунете.

Удивительно, но не смог найти на русском языке подобной картинке (хотя на английском их огромное количество). Поэтому, возможно это первая подобная графика в рунете.

P – Protection (Защита)

Зафиксируйте повреждённую конечность. Шина, ортез, да хоть палками (условно): главное обеспечить правильное положение поврежденной конечности. Правильным является положение покоя (всегда можно сравнить с другой конечностью).

R – Rest (Покой)

Суставу нужен покой. На этом всё.

I – Ice (Лёд)

Холод снижает отёк и воспаление. Лёд, замороженные пельмени — любые средства хороши. Только не на голую кожу и не дольше 20 минут подряд. Эффективность льда максимальна в первые сутки после травмы и постепенно снижается к 3-м суткам.

C – Compression (Компрессия)

Эластичная повязка. Плотно, но без ощущения, что нога вот-вот отвалится. Помните о том, что задача эластичного бинта это профилактика отёчности, а не иммобилизация. Увы «бинт восьмёркой» при травмах связок должно иммобилизации не обеспечивает.

E – Elevation (Приподнятое положение)

Поднимите ногу выше уровня сердца. Меньше крови — меньше отёка. Это самая лучшая профилактика отёчности.

Самая большая ошибка после травмы — торопиться жить как обычно.

Самая большая помощь себе — это соблюдать данный протокол. А после уже обращаться за квалифицированной медицинской помощью.

Иногда самое быстрое восстановление — это самое неторопливое.

Показать полностью 1
12

Дистракционный артродез подтаранного сустава: клинический пример и общие мысли

Переломы пяточной кости не являются редкими случаями в клинической практике. Однако, трудность представляют переломо-вывихи, при которых помимо выраженного изменения анатомии пяточной кости (снижение высоты, увеличение ширины и укорочения) происходит еще и медиальная трансляция. Подобные переломы представляют трудность для лечения.

Еще сложней, когда перелом является застарелым, то есть прошло больше 4-х недель от момента травмы. И чем больше давность от травмы, тем сложней выполнить реконструкцию, так как происходит ретракция тканей и консолидация в порочном положении.

А еще сложней, когда этот перелом был ранее прооперирован, но без достижения значимых клинических и функциональных результатов. Именно такой случай будет мною разобран сегодня.

Пациент получил перелом пяточной кости несколько лет назад. В 2023 году было выполнено хирургическое лечение в объеме артродеза подтаранного сустава и моделирующей остеотомии пяточной кости. Однако, нормальные референсные значения достигнуты не были, а анкилоз (сращение подтаранного сустава) не произошёл.

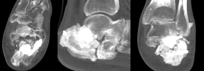
Результаты КТ, которые демонстрируют отсутствие консолидации подтаранного сустава(анкилоза), наличие металлоконструкций (пористый титан, скобы и винты). А также наличие выраженной деформации пяточной кости.

Результаты КТ, которые демонстрируют отсутствие консолидации подтаранного сустава(анкилоза), наличие металлоконструкций (пористый титан, скобы и винты). А также наличие выраженной деформации пяточной кости.

Итого имеем: отсутствие сформированного анкилоза после артродеза, сохранение грубой деформации пяточной кости, наличие металлоконструкции и дополнительной рубцовой ткани от предшествующего хирургического вмешательства.

Предоперационное обследование:

Обязательным является КТ-исследование для построения «хирургической карты»
Рентгенограммы стопы в прямой, боковой и Зальцмана проекциях рекомендуются.

Однако, в данном случае они имеют меньшую ценность, так как даже в условиях фиброзного анкилоза подтаранного сустава мы не ожидаем того, что при вертикализации пациента произойдет существенное изменение паттернов деформации.

Хирургическое планирование:

Если кратко, то необходимо удалить металл и выполнить дистракционный артродез.

Отсюда вытекают вопросы:
Какой доступ использовать?
Как добиться дистракции?
Какой трансплантат использовать?
Как фиксировать?

При ревизионных операциях хирургический доступ обычно диктуется уже выполненной ранее операции. Учитывая, что нам необходим было удалить импланты, то пришлось использовать предшествующий доступ (L-образный, расширенный).
Если бы металлоконструкции не было, то рассматривал бы еще задний доступ.

Для обеспечения дистракции, на мой взгляд, самым удобным является аппарат внешней фиксации простой компоновки: таранная кость - пяточная кость или большеберцовая кость - пяточная кость. Аппарат позволяет нам обеспечить необходимую степень дистракции, а также возможность варизации/вальгизации пяточной кости и поддержание этих показателей на протяжении всей операции.

Учитывая, что ранее уже выполнялось хирургическое лечение и кровоснабжение уже скомпрометировано, то в данном случае рассматривал вариант использования аутотрансплантата, как ключевого, в дополни с аллотрансплантатом (для массы).

Фиксация рассматривалась или в аппарате внешней фиксации, или винтами. Удобство аппаратной фиксации является возможность коррекции во времени, а также отсутствие страха в развитии любых инфекционных процессов. В случае использования винтов, мы лишаемся всех этих преимуществ, но повышаем комфорт для пациента.

Всегда в начале операции выполняю прицелочный снимок, чтобы наглядно видеть с чего мы начинали.

Всегда в начале операции выполняю прицелочный снимок, чтобы наглядно видеть с чего мы начинали.

Положение пациента на боку, выполняется латеральный L-образный доступ по старому послеоперационному рубцу.

Выполняется удаление всей металлоконструкции.

Выполняется удаление всей металлоконструкции.

Ни для кого не секрет, что удаление металлоконструкции довольно непредсказуемый этап хирургической процедуры. Но, в данном случае, на всё это ушло 15 минут. Что, на мой взгляд, очень хороший результат.

Да, операции я выполняю под пневматическим жгутом, наложенным на бедро с давлением 350 мм рт.ст (имеется компромитер, который замеряет давление). Больше двух часов жгут не держу, т.к. с каждой последующей минутой повышается риск необратимой невропатии из-за длительности ишемии. Также наличие временного интервала дисциплинирует.

Пористый титан, в данном случае, был использован как распорка для выполнения дистракционного артродеза в предшествующем случае. Однако, свою функцию он не выполнил, а более того привел к дополнительной деструкции кости вокруг.

Пористый титан, в данном случае, был использован как распорка для выполнения дистракционного артродеза в предшествующем случае. Однако, свою функцию он не выполнил, а более того привел к дополнительной деструкции кости вокруг.

После выполнения удаления металлоконструкции, проводится удаление всей нежизнеспособной костной ткани. Данный этап очень важен. Потому что если сохранить склерозированную кость, то все остальные этапы окажутся неэффективными. И пожалуй, данный этап самый страшный, так как пчяточная кость убывает на глазах. Но, иначе нельзя.

Спицами защищен лоскут от L-образного доступа. Рекомендую использовать именно такой метод, чем использование рук ассистента с крючками. Т.к. при установке спиц вы обеспечиваете равномерное давление на лоскут, снижая риск некроза

Спицами защищен лоскут от L-образного доступа. Рекомендую использовать именно такой метод, чем использование рук ассистента с крючками. Т.к. при установке спиц вы обеспечиваете равномерное давление на лоскут, снижая риск некроза

Подобным образом выглядит ЭОП-снимок на этапе удаления металлоконструкции и склерозированной кости. Можно видеть силуэт дистрактора Хинтермана, который я использовал на данном этапе для временной дистракции подтаранного сустава, чтобы обеспечить лучшую визуализацию. Мы видим насколько уменьшился объем пяточной кости по сравнению с первоначальном этапом. Это результат резекции в пределах жизнеспособной кости. Жизнеспособность кости оцениваю исключительно макроскопически по наличию губчатой структуры и кровяной расы (да, под жгутом она тоже есть).

После выполнения удаления металлоконструкции и всех нежизнеспособных тканей переходим к этапу дистракции.

Внешний вид «простого» дистракционного аппарата». Использую фиксацию таран-пятка. Получается хороший вектор дистракции. Еще можно рассматривать вариант с проведением спицы через передний край большеберцовой кости.

Внешний вид «простого» дистракционного аппарата». Использую фиксацию таран-пятка. Получается хороший вектор дистракции. Еще можно рассматривать вариант с проведением спицы через передний край большеберцовой кости.

Устанавливается спица через шейку таранной кости и через нижний край пяточного бугра. Дуги располагаются таким образом, чтобы они не мешали работать с хирургической раной. Дистальную часть штанги не закреплял гайками для возможности быстрой корректировки положения. Учитывая, что аппарат находится на дистракции, то отсутствие гаек не мешает работе. Обычно, медиальная штанга должна быть короче латеральной. Таким образом мы обеспечиваем варизацию пяточной кости и восстановление ее правильного положения.

Этапный снимок с установкой аппарата.

Этапный снимок с установкой аппарата.

На аппарата мы выполняем дистракцию с визуальным и ЭОП-контролем для определения необходимого предела. Увы, наши возможности одномоментной коррекции всегда ограничены состоянием мягких тканей. Этот случай не исключение. Поэтому, мы должны также контролировать возможность ушивания раны без избыточного натяжения. После того, как определили необходимый уровень дистракции, переходим к этапу забора аутотрансплантата из гребня подвздошной кости.

Данный этап классический, поэтому подробно на нем останавливаться не буду.

Скажу лишь, что выполнил забор трикортикального трансплантата длиной 6 см и глубиной 2 см. Да, трансплантат большой, но и дефект большой. Забор выполняю осцилляторной пилой, а после долотом заканчиваю остеотомию.

Этап забора аутотрансплантата

Этап забора аутотрансплантата

Далее, мы выполняем моделирование полученного трансплантата. И этот этап, как мне кажется, самый сложный. Наша задача определить правильный уровень дистракции, смоделировать правильное положение трансплантата и обеспечить его фиксацию press-fit (то есть, «в распорку»). Для меня только такое положение трансплантата является истинно правильным.

Установленный трансплантат отображен желтыми точками. На этой же фотографии мы видим какая полость получена после обработки пяточной кости.

Установленный трансплантат отображен желтыми точками. На этой же фотографии мы видим какая полость получена после обработки пяточной кости.

После установки трансплантата и фиксации его press-fit, мы обязательно должны выполнить ЭОП-контроль, чтобы убедиться в корректном положении.

ЭОП-контроль положения трансплантата. Можете обратить внимание, что окончательная дистракция больше чем была на промежуточных снимках.

ЭОП-контроль положения трансплантата. Можете обратить внимание, что окончательная дистракция больше чем была на промежуточных снимках.

После выполнения ЭОП-контроля мы переходим к заполнению полученного дефекта пяточной кости. Обычно предпочитаю комбинированную костную пластику (сочетание аллотрансплантатов, аллотрансплантатов и синтетических материалов), потому что это позволяет уменьшить потребность в аутотрансплантате и, соответственно, обеспечить меньшую травматизацию донорского участка.

Окончательный вид после комбинированной костной пластики.

Окончательный вид после комбинированной костной пластики.

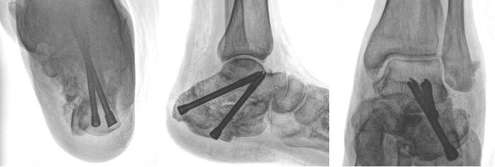
После костной пластики выполняется фиксация винтами. При этом, я аппарат на данном этапе не демонтирую. Связано это с тем, что из-за компрессии винтов, есть риск избыточного давления сдавления трансплантата, что может привести к последующей резорбции костной ткани в области контакта.

Окончательный вид.

Окончательный вид.

Учитывая, что трансплантаты были установлены press-fit, то посчитал достаточным фиксацию двумя компрессионными винтами, что позволяет добиться абсолютной стабильности в зоне реартродеза.

Результаты рентгенографии, по которым видим, что анатомия пяточной кости восстановлена к максимально нативной. Также устранён субфибурялрный импиджмент синдром. Положение металлоконструкции правильнон.

Результаты рентгенографии, по которым видим, что анатомия пяточной кости восстановлена к максимально нативной. Также устранён субфибурялрный импиджмент синдром. Положение металлоконструкции правильнон.

Реабилитационный протокол такого пациента:

8 недель ходьба на костылях, без нагрузки на оперированную конечность ( не даю раннюю нагрузку из-за риска резорбции и разрушения трансплантатов)

2 недели иммобилизация голеностопного сустава (для покоя мягких тканей)

через 2 недели начинаетися разработка движений в голеностопном суставе (без ротационных движений). Сгибание и разгибание будут профилактировать избыточную отёчность, а также стимулировать регенерацию

Остеотропная терапия (считаю обязательным назначение препаратов остеотропной терапии после подобного объеме реконструктивных операций)

Антикоагулянтная терапия на период иммобилизации для профилактики тромбоза

Физиотерапия, начиная с 14-го дня после операции (т.е. после снятия швов). Почему не сразу? Лишь по причине риска поверхностной инфекции, т.к. часто встречаю пренебрежительное отношение к послеоперационным ранам.

Обязательный контроль КТ через 8 недель и с 8-й недели начинается дозированная нагрузка на оперированную конечность.

Данная публикация была посвящена исключительно технической части операции и её нюансам. Будет продолжение этой публикации, в котором мы уже рассмотрим аспекты функциональных результатов, чего мы можем ожидать и на что должны рассчитывать, когда приступаем к ревизионным операциями подобного объема.

Показать полностью 13
20

Подошвенный фасциит: как разорвать порочный круг боли?

«Боль в пятке — это не просто дискомфорт. Это сигнал, что ваша стопа кричит о помощи».

Каждый день я сталкиваюсь с мифами о подошвенном фасциите: одни пациенты уверены, что виновата «пяточная шпора», другие годами мажут пятку гелями, надеясь на чудо. Но правда в том, что это заболевание требует системного подхода — иначе оно превращается в хронического спутника жизни. Давайте разберемся, как не дать боли взять верх.

Почему фасция «сдается»?

Подошвенная фасция — это плотный «канат» из коллагена, который поддерживает свод стопы. Но при постоянной перегрузке (представьте, что вы носите рюкзак весом в 2.5 раза больше вашего) в ней появляются микроразрывы. Со временем развивается дегенерация, а не воспаление — отсюда и термин «фасциопатия».

Кто в группе риска:

- Бегуны, особенно те, кто увеличивает нагрузку резко, а не постепенно (каждый 6-й страдает от боли).

- Люди с плоскостопием или, наоборот, слишком высоким сводом стопы.

- Те, кто проводит весь день на ногах в неподходящей обуви — от учителей до барменов.

- Пациенты с ИМТ >25 — лишний вес удваивает нагрузку на фасцию.

Диагностика: не ищите шпору, ищите причину

Рентген часто показывает пяточную шпору, но она — всего лишь следствие, а не причина боли. Самый доступный диагностический инструмент — УЗИ стопы, а самый информативный – МРТ. Если толщина фасции превышает 4 мм, а структура волокон неоднородна, диагноз ясен.

Простой алгоритм для самопроверки:

1. Утренняя боль при первых шагах — классический признак.

2. Дискомфорт усиливается после долгого сидения.

3. Локализация — внутренний край пятки.

Если совпали 2 из 3 пунктов — пора к ортопеду.

Лечение: от «скорой помощи» к долгосрочной стратегии

Терапия фасциопатии напоминает ремонт дома: можно замазать трещины штукатуркой, но без укрепления фундамента всё рухнет.

Этап 1. Снять остроту

- Кортикостероиды — быстро уменьшают боль, но их повторное использование повышает риск разрыва фасции

- Тейпирование — временно снижает нагрузку, как костыль при переломе.

Этап 2. Восстановить структуру

- Ударно-волновая терапия (ESWT) — «перезапускает» процессы заживления.

Через 6 месяцев 60% пациентов забывают о боли

- Упражнения — скучно, но эффективно.

Эксцентрическая растяжка (медленное опускание пятки со ступеньки) снижает боль на 40%

Этап 3. Предотвратить рецидив

- Индивидуальные стельки — не те, что купили в аптеке, а сделанные по слепку стопы.

Корректируют биомеханику, уменьшая нагрузку на 30%.

- Плазмотерапия (PRP) или иньекции коллагеновыми препаратами — дорого, но работает.

Они «латают» микроразрывы, хотя эффект проявляется через 2–3 месяца

Почему лечение часто проваливается

Пациенты ждут мгновенного результата, но фасциопатия — не аппендицит. Ее нельзя «вырезать и забыть». Вот главные ошибки:

- «Я делал упражнения неделю — ничего не помогло!» — минимальный курс ЛФК при хронической боли: 3 месяца.

- «Купил стельки, но они неудобные» — ортезы должны быть как вторая кожа: если давят или скользят, их нужно корректировать.

- «После укола стало лучше — зачем менять привычки?» — без коррекции образа жизни боль вернется.

Стопа любит заботу, а не героизм

Фасциопатия — болезнь упрямства. Она наказывает тех, кто игнорирует сигналы тела. Но хорошая новость в том, что даже в запущенных случаях можно добиться улучшения.

Что сделать сегодня:

1. Замените обувь на мягкую, с поддержкой свода. Да, кроссовки с платформой — не выход.

2. Начните утро с 5-минутной растяжки икры и подошвы (прижмите пальцы к стене, медленно опускайте пятку).

3. Раз в час вставайте с кресла — 2 минуты ходьбы снизят нагрузку на фасцию.

Важно: Если через месяц самолечения боль не уменьшилась — не превращайтесь в «коллекционера методов». Обратитесь к специалисту, который составит персонализированный план.

Данные подтверждены исследованиями и клиническими рекомендациями AAOS.

Помните: стопы — ваш фундамент. Не дайте боли стать пожизненным арендатором.

P.S.

Эта публикация с моего телеграмм-канала, в котором я больше рассказываю о заболеваниях голеностопного сустава и стопы.

Показать полностью
63

Болезнь, которую легко пропустить — и сложно забыть

Когда-то (уже лет 7 назад), я знал о том, что существует асептический некроз ладьевидной кости, который приводит к сложным деформациям стопы, но не знал, что это называется болезнью Мюллера-Вейса. И это при том, что в литературе она описать уже 100 лет назад практически. Кстати, с названием заболевания меня познакомил будущий друг из НИИ им. Р.Р. Вредена (Виктор Андреевич Фомичёв), который сделал прекрасный доклад по данной патологии. Но, вернёмся к заболеванию.

Первый пациент, который был с болезнью Мюллера-Вейса был представлен следующим образом: боль в средней части, какие-то странности на рентгене, варус, который вроде бы не должен быть при таком своде… И главное — ощущение, что это что-то не то. Тогда я начал копать глубже.

Болезнь Мюллера– Вейса (или асептический некроз ладьевидной кости) — тот самый коварный случай, когда редкость заболевания и его мимикрия под “всё подряд” в среднем отделе стопы, играют нам не на руку. Часто мы видим пациентов уже на стадии, когда речь идёт не просто о болях в средней части стопы, а о сформировавшейся деформации, артрозе и нарушении всех возможных осей стопы. И тогда задача не просто в том, чтобы “снять боль”, а в том, чтобы вернуть стопу в функциональное русло — часто буквально собирая её заново.

Обратите внимание, что продольный свод полностью отсутствует, при этом задний отдел стопы нейтральный (с тенденцией к вирусу). Подобное сочетание и называется парадоксальной плосковарусной деформацией.

Обратите внимание, что продольный свод полностью отсутствует, при этом задний отдел стопы нейтральный (с тенденцией к вирусу). Подобное сочетание и называется парадоксальной плосковарусной деформацией.

В этом обзоре я хочу поделиться тем, что удалось понять за время работы с этой патологией. Мы пройдёмся по диагностике, обсудим, почему консервативная терапия не всегда работает, и конечно, подробно остановимся на хирургических стратегиях.

Если вы ортопед, который хотя бы раз ловил себя на мысли: “что это вообще за деформация такая?”, — значит, мы с вами точно в одной лодке.

Честно скажу: я не фанат бесконечных систематических обзоров, где половина текста — это описание “как мы искали статьи”. Но в этот раз я решил подойти основательно. Да и в целом, в русскоязычном сегменте очень мало данных по данной патологии. Поэтому, я решил основательно над этим поработать и поделиться с вами данными.

Что я сделал? Изучил PubMed и начал вычищать всё подряд по ключевым словам — “Müller-Weiss disease”, “paradoxical pes planovarus”, “arthrodesis”. Статьи были самые разные: от приличных обзоров с канадскими и китайскими данными — до откровенной клинической экзотики. В финал попали только те, у которых был полный доступ к тексту и в которых речь шла именно о хирургии и/или диагностике (почти все публикации 2024-2025 года к которым отсутствует бесплатный доступ, благо у меня есть подписки практически на все основные журналы). В сумме получилось шесть дельных источников, с которыми я и сел разбираться.

Мой отбор был предельно практичен: “Можно применить в клинической практике или нет?”. Если нет — в корзину.

Из каждой статьи я вытаскивал то, что реально влияет на принятие решений: как ставят диагноз, какие рентген-признаки важны, какие суставах чаще вовлечены, и что делать, когда консервативная терапия уже не спасает. Смотрел, кто как оперирует, чем фиксируют, и главное — кто что считает ошибкой. Всё это разбавил своим клиническим опытом и комментариями. Поэтому, буду рад, если вы потом прокомментируете как вам подобный формат подачи материала.

Данный обзор посвящен именно тем, кто читает мой блог и поверьте, это самая актуальная информация, которую вы сможете сейчас найти.

Что говорят статьи — и что это значит для нас.

Первое, что бросается в глаза: болезнь Мюллера–Вейса — это, по сути, диагноз внимательного глаза и подозрительного ума. Пациент — чаще всего женщина 40–60 лет, приходит с болью в средней части стопы, и в большинстве случаев это заканчивается подобным: “Ну, это что-то артрозное…” Выполняется рентген, на которым либо чисто, либо незначительная асимметрия ладьевидной кости (сужение латеральной части, так называемый, «симптом запятой»). Назначаются стельки, НПВС, какие-нибудь инъекции и начинается активная терапия плоскостопия или артроза. Так вот, тут закрадывается первая ошибка.

При наличии подобного пациента, важно выполнить МРТ среднего отдела стопы. Почему? Выше я уже писал о том, что болезнь Мюллера-Вейса это асептический некроз ладьевидной кости. Соответственно, первые стадии заболевания можно увидеть только по результатам МРТ в виде трабекулярного отёка ладьевидной кости.

Если выявлен асептический некроз, то проводится лечении соответствующее протоколу данной патологии. Если есть вопросы по гайдлайну лечения асептических некрозов в патологиях стопы, то напишите и я обязательно подготовлю соответствующие материалы.

Когда первые стадии заболевания пропущены, то происходит деформация ладьевидной кости. И вот подобная ситуация очень путает врача-ортопеда. Что мы увидим? Варус пятки, медиальный свод опущенный, боли по периметру таранно-ладьевидного сустава — уже интересно. И вот это сочетание: плоскостопие и варус заднего отдела должен сразу вас обеспокоить, потому что даже фраза «плосковарусная деформация» не ложится на язык, и данная деформация называется парадоксальный. При наличии такой деформации мы должны полноценно обследовать пациента.

Пример развития деформации стопы на фоне болезни Мюллера—Вейса. На начальных этапах отмечается асимметрия ладьевидной кости, отведение переднего отдела стопы. Далее происходит вывих головки таранной кости и тяжелая многоплоскостная деформация стопы

Пример развития деформации стопы на фоне болезни Мюллера—Вейса. На начальных этапах отмечается асимметрия ладьевидной кости, отведение переднего отдела стопы. Далее происходит вывих головки таранной кости и тяжелая многоплоскостная деформация стопы

А теперь самое главное: нагрузочная рентгенография — обязательно! В прямой проекции, боковой и Зальцмана. Без неё можно спокойно упустить вывих головки таранной кости, экструзию латерального края ладьевидной и её фрагментацию. МРТ для оценки активности процесса некроза, а КТ для оценки всех компонентов деформации и фрагментации.

По классификациям — чаще всего используется старая добрая Maceira. Если хочется глубже — Wong-Chung с их субгруппами тоже годится. Но, мне ни одна из этих классификаций не нравится, потому что они не учитывают первые звенья заболевания в виде асептического некроза ладьевидной кости, а больше ориентировано на компоненты деформации стопы.

Консервативное лечение

Если вы вдруг поймали болезнь на ранних стадиях, то лечится, как уже писал выше по протоколу асептического некроза:

1. Ограничение осевых нагрузок, на срок 2-3 месяца с контрольным МРТ для оценки активности процесса

2. остеотропная терапия с консультацией врача-эндокринолога на выявление любых метаболических расстройств костной ткани

3. Иммобилизация? Тут большой вопрос. В литературе рекомендуется, но я не вижу в этом большого смысла, т.к. наличие подвижности стопы обеспечивает циркуляцию крови и профилактику развития тромбозов, что лишь благоприятно сказывается на трофику.

По достижению купирования основного активного процесса проводится дальнейшее ортезирования. Какие они должны быть? Обязательно индивидуальные стельки с поддержкой медиального свода и наличием латерального клина для пронации стопы. Необычное сочетание, правда? Но и деформация этого заболевания является парадоксальной.

Но если на рентгене уже есть артроз таранно-ладьевидного сустава 3 стадии и более, а угол таранно-первый плюсневый больше 13° (то есть, имеется отведение переднего отдела стопы) — забудьте. Это почти гарантированный результат неэффективности консервативной терапии при наличии исходной симптоматики. Просто бывают случаи бессимптомного MWD.

Словом, если видите артроз TN-сустава и серьёзную абдукцию — не затягивайте с разговором об операции. Будет только хуже — и для пациента, и для вас (потому что потом это уже закончится не изолированным артродезом тараннно-ладьевидного сустава, а трехсуставным и более).

Хирургия: Что? Где? Когда?

Вот тут начинается самое интересное. Мюллера–Вейс — не та история, где “артродез таранно-ладьевидного сустава и будет нормально”. Нет. Если не убрать подвывих головки таранной кости, не восстановить ось, не стабилизировать свод — столкнешься с хроническим болевым синдромом.

Изолированный артродез таранно-ладьевидного сустава годится только в случае отсутствия артроза ладьевино-клиновидногос устава. Но это редкость. Чаще приходится делать артродез таранно-ладьевидно-клиновидного комплекса, а иногда — вовлекать и подтаранный сустав.

Самый главный компонент хирургического лечения заключается в том, чтобы устранить вывих головки таранной кости и стабилизировать медиальный свод.

Стабильная фиксация, корректный угол, восстановленный свод — вот что работает. И забудьте про “всё в одной плоскости” — тут нужно думать три плоскости: сагиттальная, фронтальная и аксиальная.

С какой проблемой чаще всего мы сталкиваемся? Это наличии выраженного склерозирования ладьевидной кости и её фрагментации. В случаях, когда вы сомневаетесь в качестве ладьевидной кости рекомендую выполнять её полную экстирпацию и выполнять комбинированную костную пластику ауто (опорный трансплантат из гребня подвздошной кости) и аллотрансплантатами (губчатые трансплантат). Использовать Коул-подобную остеотомию (клиновидную резекцию среднего отдела стопы), пожалуй, не рекомендую, так как это приводит к выраженному укорочению стопы.

При мер выполнения костной пластики для замещения дефекта ладьевидной кости. Использован трансплантат гребня подвздошной кости и фиксация пластинами.

При мер выполнения костной пластики для замещения дефекта ладьевидной кости. Использован трансплантат гребня подвздошной кости и фиксация пластинами.

Нам важно восстановить угол Мэри в боковой проекции и таранно-первый-плюсневый угол в аксиальной плоскости, поэтому всегда выполняйте помимо визуального, еще и ЭОП-контроль интраоперационно. Фиксация таранно-ладьевидно-клиновидного комплекса рекомедуется двухколонная. И также не забывайте зачищать межклиновидные суставы, чтобы получить монолитное анкилозирование.

Что нам всё это говорит?

Болезнь Мюллера–Вейса — штука, которую я сначала недооценивал. А теперь у меня к ней сложные отношения: с одной стороны, она вызывает уважение, как противник в шахматах, который знает, где ты проморгаешь; с другой — раздражает, потому что любит притворяться кем-то другим. То артроз, то плоскостопие, то сложная парадоксальная деформаци.

Но если не зевать — можно поймать её на ранней стадии и дать пациенту шанс. Главное — помнить: диагностика — это не просто “глянул на рентген”, это ещё и клиника, и умение заметить парадокс.

Консервативное лечение: иногда — да, но чаще — “до свидания”

Я не против ортезов. Более того — я за них. Но только если у нас стадия I или II, минимум деформации и нет артроза. Во всех остальных случаях — не тратьте время, особенно пациенту. Потому что чем позже вы отправите его на операцию, тем больше придётся потом резицировать, корректировать, выравнивать, фиксировать, а в конце ещё и объяснять, почему стопа периодически болит. Поэтому, если уже есть симптоматическая деформация и артроз 3 стадии и более — ортез становится временным компромиссом. А иногда и ловушкой.

Хирургия: тут нужно не просто фиксировать, а переосмысливать ось

Вот где начинается самое интересное. Хирургия при Мюллере–Вейсе — это не про “соединить кости винтом”. Это биомеханическая реконструкция, где ты должен:

• восстановить свод;

• скорректировать подвывих;

• не забыть про задний отдел;

• и при этом не убить кровоснабжение остатков ладьевидной, либо убрать всю ладьевидную и выполнить её замещение.

Самая частая ошибка (и я сам в неё раньше попадал) — не устранять медиальный подвывих таранно-ладьевидного сустава. Кажется, что всё выровнялось. А потом пациент приходит через 6 месяцев с болью и словами “мне стало лучше, но не до конца”. А ты смотришь на контроль — и видишь, что таранно-ладьевидный сустав всё ещё живёт своей жизнью, в стороне от остальной стопы.

Вывод? Всё просто. И всё сложно.

Если коротко: болезнь Мюллера–Вейса — это тест на внимательность, клиническое мышление и умение принимать решения, когда рентген не кричит, а шепчет.

Не стоит надеяться, что всё “само пройдёт” с консервативной терапии. Не стоит бояться хирургии — если ты понимаешь, что именно нужно скорректировать. А нужно, как правило, не просто “что-то артродезировать”, а восстановить стопу как конструкцию: со сводом, с осью, с нормальной биомеханикой.

Восстановление таранно-ладьевидного взаимоотношения это обязательный компонент лечения. Как и честный разговор с пациентом о сроках, восстановлении и реалистичных ожиданиях. А стопа никогда уже не будет »как прежде»

Сделай правильно — и стопа заработает. Ошибись — и она тебя будет помнить. Каждым шагом.

P.S.

Этот обзор я приготовил для своего телеграмм-канала, в котором публикую материалы для своих пациентов и коллег-ортопедов. Увы, телеграф утратил нужный мне формат, для обычного поста это слишком большой текст. А Пикабу в этом плане удобная платформа. Поэтому, прошу прощения, чьи чувства задеваю тем фактом, что использую Пикабу как текстовую площадку для своего канала.

Показать полностью 5
Отличная работа, все прочитано!

Темы

Политика

Теги

Популярные авторы

Сообщества

18+

Теги

Популярные авторы

Сообщества

Игры

Теги

Популярные авторы

Сообщества

Юмор

Теги

Популярные авторы

Сообщества

Отношения

Теги

Популярные авторы

Сообщества

Здоровье

Теги

Популярные авторы

Сообщества

Путешествия

Теги

Популярные авторы

Сообщества

Спорт

Теги

Популярные авторы

Сообщества

Хобби

Теги

Популярные авторы

Сообщества

Сервис

Теги

Популярные авторы

Сообщества

Природа

Теги

Популярные авторы

Сообщества

Бизнес

Теги

Популярные авторы

Сообщества

Транспорт

Теги

Популярные авторы

Сообщества

Общение

Теги

Популярные авторы

Сообщества

Юриспруденция

Теги

Популярные авторы

Сообщества

Наука

Теги

Популярные авторы

Сообщества

IT

Теги

Популярные авторы

Сообщества

Животные

Теги

Популярные авторы

Сообщества

Кино и сериалы

Теги

Популярные авторы

Сообщества

Экономика

Теги

Популярные авторы

Сообщества

Кулинария

Теги

Популярные авторы

Сообщества

История

Теги

Популярные авторы

Сообщества