Прошу консультации
Снова прошу консультации. Понимаю, что лучше обратиться к специалисту, но я уже прошел очень многих врачей.
Мнение разделяются. Один говорят, что надо делать повторный артродез, другое - не нужно.
Тут тоже есть специалисты, возможно, они что-то подскажут.
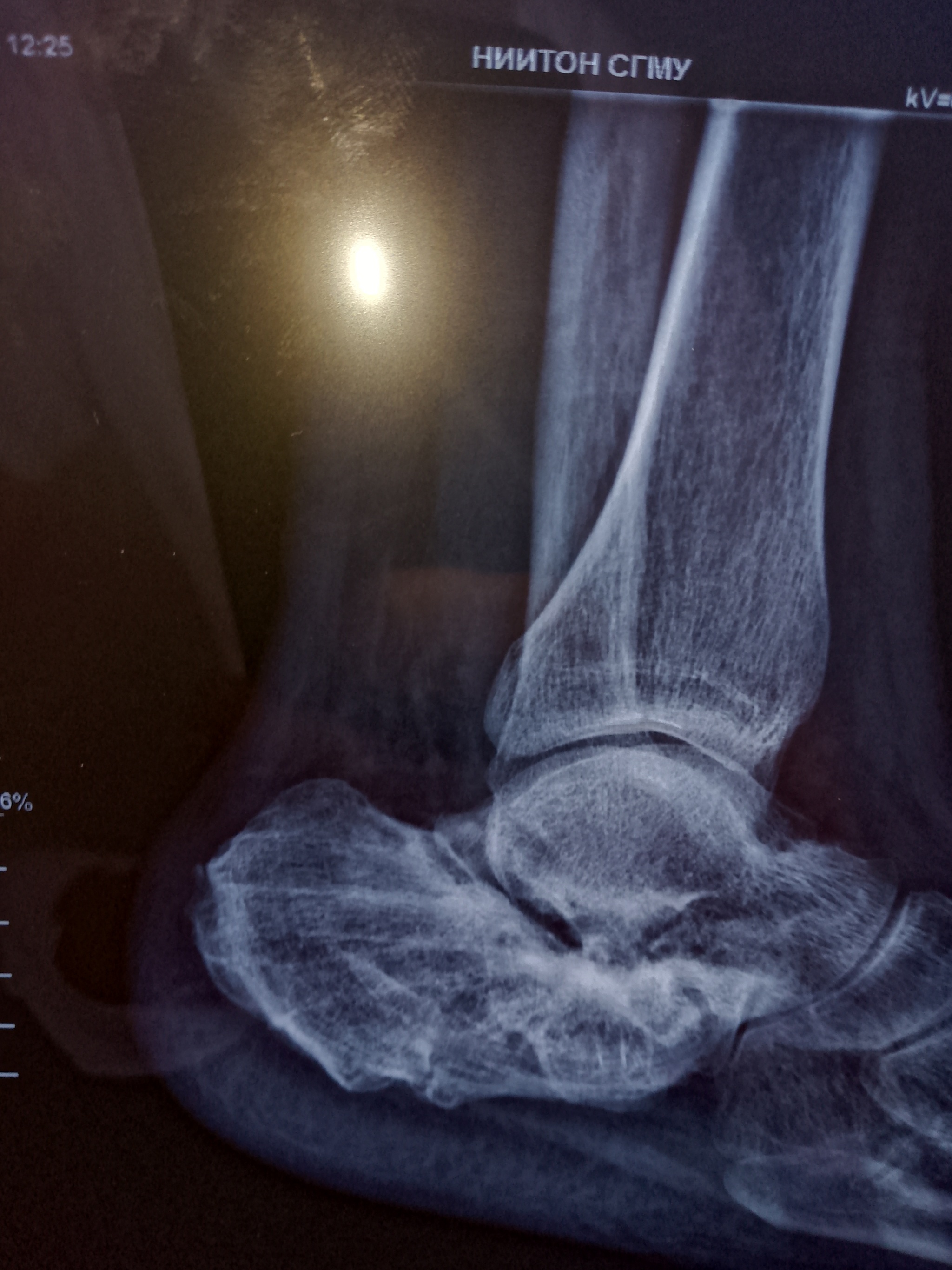
Итак, саморезы удалили. Нога по-прежнему болит. Болит с каждым шагом. Больше или меньше, в зависимости от погоды и нагрузки. Но болит при движении всегда и иногда в покое. Обращаюсь к силе Пикабу, посмотрите, пожалуйста, рентген. Есть шансы?

Все о медицине
14.2K постов41.7K подписчиков
Правила сообщества
1)Не оскорбляйте друг друга
2) Ув. коллеги, при возникновении спора относитесь с уважением
3) спрашивая совета и рекомендации готовьтесь к тому что вы получите критику в свой адрес (интернет, пикабу в частности, не является медицинским сайтом).