Не успел
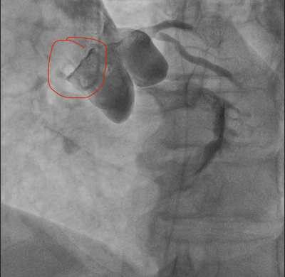
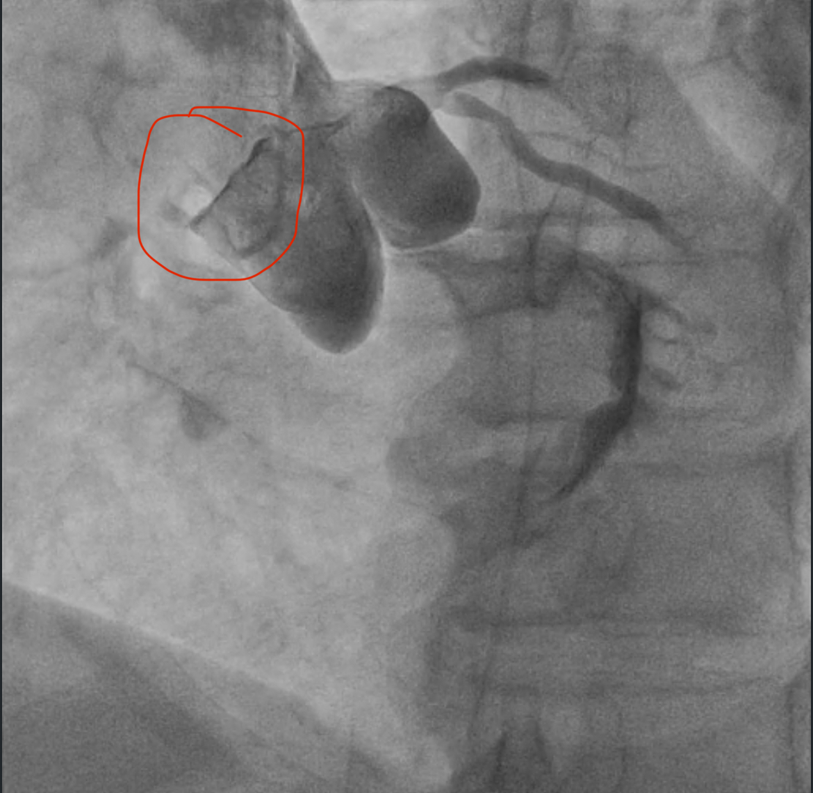
8 утра, мужчина 66 лет, боли в груди с 3 ночи, скорая, в машине 7 раз фибрилляция желудочков, ЭДС, перевод на ИВЛ, с приемника на стол на коронарографию, при перекладывании опять остановка, наружный массаж, адреналин, ЭДС, пункция по ориентирам, введен катетер и такая картина - закрыты все три артерии, сердце стоит, на ЭКГ электрическая активность сохранялась еще минут 15 (электромеханическая диссоциация). На вскрытии циркулярный инфаркт, шоковые органы.
Upd: пояснения к видео (многим непонятно что произошло)



Все о медицине
13.8K поста41.5K подписчик
Правила сообщества
1)Не оскорбляйте друг друга
2) Ув. коллеги, при возникновении спора относитесь с уважением
3) спрашивая совета и рекомендации готовьтесь к тому что вы получите критику в свой адрес (интернет, пикабу в частности, не является медицинским сайтом).