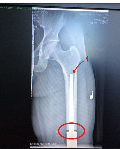
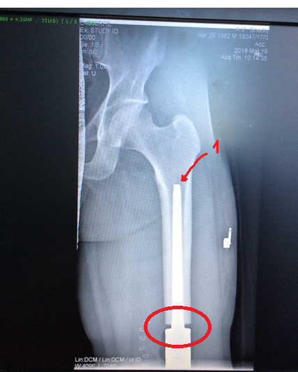
Год на протезе
Видел как-то пост про протезирование бедренной кости.( в комментах ссылку дам) Там фотки ещё скидывал, отвечал на вопросы. Напишу про своё.Сегодня ровно год, как хожу с эндопротезом.
В психологическом плане такое довольно сложно принять. Но!!! Когда все доктора говорят, что у меня онкология, встаёт вопрос о собственной жизни, о её сохранении... ампутация/сохранение ноги было соотношение 9/1. Остеосаркома- вещь хреновая, только резекция , химиотерапия не помогает, только приостанавливает рост раковых клеток и метастаз. Главное- чётко соблюдать рекомендации онколога. Сейчас хожу без палки, метастаз нет( на кт показало) . Врач сказал, что нехер организм травмировать кт. Сейчас раз в 3 месяца только рентген. Хочу отдельно поблагодарить Богдаева Юрия Михайловича и Белякова Сергея Васильевича за то, что спасли мою ногу... хотя 7 марта я был у них один на операции... могли бы ампутировать за час и пойти бухать , но они меня чинили около 10 часов...







